相关产品推荐更多 >

MAP3K14/NFkB Inducing Kinase Rabbit pAb, AP conjugated(bs-0074R-AP)-100ul
¥2980
phospho-AKT1 (Ser129) Rabbit pAb, Cy7 conjugated(bs-10996R-Cy7)-100ul
¥2980
Contactin 1 Rabbit pAb(bs-13973R)-50ul/100ul/200ul
¥1180
ADGRE1 Recombinant Rabbit mAb(bsm-41204R)-50ul/100ul/200ul/200ug/25ul
¥800
ZNF22 Rabbit pAb(bs-12803R)-50ul/100ul/200ul
¥1180
万千商家帮你免费找货
0 人在求购买到急需产品
- 详细信息
- 文献和实验
- 技术资料
- 应用范围:
产品信息以Bioss网站为准
- 规格:
50ul/100ul/200ul
| 规格: | 50ul | 产品价格: | ¥1180.0 |
|---|---|---|---|
| 规格: | 100ul | 产品价格: | ¥1980.0 |
| 规格: | 200ul | 产品价格: | ¥2800.0 |
| 产品编号 | bs-4315R |
| 英文名称 | MGLAP/GIG36 Rabbit pAb |
| 中文名称 | 细胞生长抑制基因36蛋白抗体 |
| 英文别名 | MGP; Cell growth inhibiting gene 36 protein; Cell growth-inhibiting gene 36 protein; GAMMA-CARBOXYGLUTAMIC ACID PROTEIN, MATRIX; GIG36; Matrix Gla protein; MGLAP; MGP; MGP_HUMAN; NTI. |
| 产品应用 | IHC-P=1:100-500, IHC-F=1:100-500, IF=1:100-500 Not yet tested in other applications. |
| 交叉反应 | Human (Mouse, Rat) |
| 抗体来源 | Rabbit |
| 免疫原 | KLH conjugated synthetic peptide derived from human MGLAP/GIG36 |
| 亚型 | IgG |
| 性状 | Liquid |
| 纯化方法 | affinity purified by Protein A |
| 克隆类型 | Polyclonal |
| 理论分子量 | 12 kDa |
| 浓度 | 1mg/ml |
| 储存液 | 0.01M TBS (pH7.4) with 1% BSA, 0.02% Proclin300 and 50% Glycerol. |
| 研究领域 | Signal Transduction > Cytoskeleton / ECM > Extracellular Matrix > ECM Proteins > Other ECM Proteins Signal Transduction > Cytoskeleton / ECM > Extracellular Matrix > Structures > Bone |
| 亚细胞定位 | Secreted. |
| 翻译后修饰 | Requires vitamin K-dependent gamma-carboxylation for its function. |
| 相似性 | Belongs to the osteocalcin/matrix Gla protein family. Contains 1 Gla (gamma-carboxy-glutamate) domain. |
| 功能 | Associates with the organic matrix of bone and cartilage. Thought to act as an inhibitor of bone formation. |
| 保存条件 | Shipped at 4℃. Store at -20℃ for one year. Avoid repeated freeze/thaw cycles. |
| 注意事项 | This product as supplied is intended for research use only, not for use in human, therapeutic or diagnostic applications. |
| 背景资料 | The protein encoded by this gene is secreted and likely acts as an inhibitor of bone formation. The encoded protein is found in the organic matrix of bone and cartilage. Defects in this gene are a cause of Keutel syndrome (KS). Two transcript variants encoding different isoforms have been found for this gene. [provided by RefSeq, Jun 2010] |
| 应用 | 推荐稀释比例 |
| {IHC-P} | {1:100-500} |
| {IHC-F} | {1:100-500} |
| {IF} | {1:100-500} |

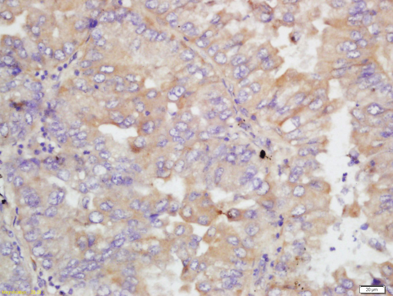
Antigen retrieval: citrate buffer ( 0.01M, pH 6.0 ), Boiling bathing for 15min; Block endogenous peroxidase by 3% Hydrogen peroxide for 30min; Blocking buffer (normal goat serum,C-0005) at 37℃ for 20 min;
Incubation: Anti-MGLAP Polyclonal Antibody, Unconjugated(bs-4315R) 1:200, overnight at 4°C, followed by conjugation to the secondary antibody(SP-0023) and DAB(C-0010) staining
风险提示:丁香通仅作为第三方平台,为商家信息发布提供平台空间。用户咨询产品时请注意保护个人信息及财产安全,合理判断,谨慎选购商品,商家和用户对交易行为负责。对于医疗器械类产品,请先查证核实企业经营资质和医疗器械产品注册证情况。
文献和实验= NAL), appears to form upon oxidative cyclization of the nonfluorescent 2:1 lysine-HNE Michael adduct-Schiff base cross-link (Scheme 1). Polyclonal antibody (PAb) to the NAL-HNE fluorophore was raised in rabbit and found to be highly specific
. Retrieved 2010-11-29. ^ Nielsen BS, Jørgensen S, Fog JU, Søkilde R, Christensen IJ, Hansen U, Brünner N, Baker A, Møller S, Nielsen HJ (October 2010). "High levels of microRNA-21 in the stroma of colorectal cancers predict short disease-free survival
3BPAkNHeZbAxoknWOPsDS0sDPy3eI6wn0x9tcLz64SWbSH3bJmGW0SOuqItUeSEJZOqnryFHRC9Y3/s83LSUtca28w5545HEtWDLcZh12uP36kSXWs6PLnn76acsWWu2mW+6yb3zrm3bs0ZNt7ty59g9/93UR87Sdfs659vyLL9tQ5bthwxpbsWql1WQi8m+33G4/vOon9o6zTlff6rX7H1gsrx0t9r2rf2JXX3+jffETH7efXX+tXfKej9t1133fvvf9q/x+XPjzm60
技术资料暂无技术资料 索取技术资料






