相关产品推荐更多 >

Anti-human Tau (Bepranemab Biosimilar)(BIO0777SM)-1mg/5mg/20mg
¥3200
SOX10 Rabbit pAb, APC conjugated(bs-20563R-APC)-100ul
¥2980
KSR1 Rabbit pAb(bs-3549R)-50ul/100ul/200ul
¥1180
influenza B virus nucleoprotein Rabbit pAb(bs-1262R)-50ul/100ul/200ul
¥1180
phospho-BLNK (Tyr96) Rabbit pAb(bs-3054R)-50ul/100ul/200ul
¥1180
万千商家帮你免费找货
0 人在求购买到急需产品
- 详细信息
- 文献和实验
- 技术资料
- 应用范围:
产品信息以Bioss网站为准
- 规格:
50ul/100ul/200ul
| 规格: | 50ul | 产品价格: | ¥1180.0 |
|---|---|---|---|
| 规格: | 100ul | 产品价格: | ¥1980.0 |
| 规格: | 200ul | 产品价格: | ¥2800.0 |
| 产品编号 | bs-14101R |
| 英文名称 | CTPS2 Rabbit pAb |
| 中文名称 | CTP合成酶2抗体 |
| 英文别名 | CTP synthase 2; CTP synthase II; CTP synthetase 2; CTPS2; CYTIDINE 5 PRIME TRIPHOSPHATE SYNTHETASE 2; FLJ43358; MGC32997; PYRG2_HUMAN; UTP--ammonia ligase 2. |
| 产品应用 | IHC-P=1:100-500, IHC-F=1:100-500, IF=1:100-500 Not yet tested in other applications. |
| 交叉反应 | Human (Mouse, Rat, Cow, Horse, Rabbit, Sheep) |
| 抗体来源 | Rabbit |
| 免疫原 | KLH conjugated synthetic peptide derived from human CTPS2 |
| 亚型 | IgG |
| 性状 | Liquid |
| 纯化方法 | affinity purified by Protein A |
| 克隆类型 | Polyclonal |
| 理论分子量 | 66 kDa |
| 浓度 | 1mg/ml |
| 储存液 | 0.01M TBS (pH7.4) with 1% BSA, 0.02% Proclin300 and 50% Glycerol. |
| 研究领域 | Epigenetics and Nuclear Signaling > DNA / RNA > DNA Synthesis Metabolism > Pathways and Processes > Metabolic signaling pathways > Amino acid metabolism Metabolism > Pathways and Processes > Metabolic signaling pathways > Energy transfer pathways > Energy Metabolism Metabolism > Pathways and Processes > Metabolic signaling pathways > Nucleotide metabolism Signal Transduction > Metabolism > Amino Acids Signal Transduction > Metabolism > Energy Metabolism |
| 相似性 | Belongs to the CTP synthase family. Contains 1 glutamine amidotransferase type-1 domain. |
| 功能 | Catalyzes the ATP-dependent amination of UTP to CTP with either L-glutamine or ammonia as the source of nitrogen. Constitutes the rate-limiting enzyme in the synthesis of cytosine nucleotides. |
| 保存条件 | Shipped at 4℃. Store at -20℃ for one year. Avoid repeated freeze/thaw cycles. |
| 注意事项 | This product as supplied is intended for research use only, not for use in human, therapeutic or diagnostic applications. |
| 背景资料 | The protein encoded by this gene catalyzes the formation of CTP from UTP with the concomitant deamination of glutamine to glutamate. This protein is the rate-limiting enzyme in the synthesis of cytosine nucleotides, which play an important role in various metabolic processes and provide the precursors necessary for the synthesis of RNA and DNA. Cancer cells that exhibit increased cell proliferation also exhibit an increased activity of this encoded protein. Thus, this protein is an attractive target for selective chemotherapy. Alternative splicing results in multiple transcript variants. [provided by RefSeq, Aug 2013] |
| 应用 | 推荐稀释比例 |
| {IHC-P} | {1:100-500} |
| {IHC-F} | {1:100-500} |
| {IF} | {1:100-500} |

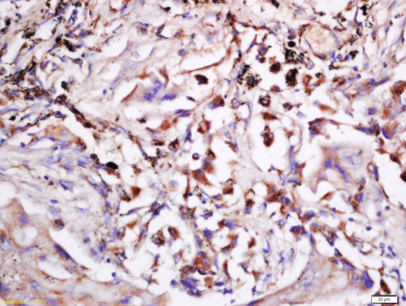
Antigen retrieval: citrate buffer ( 0.01M, pH 6.0 ), Boiling bathing for 15min; Block endogenous peroxidase by 3% Hydrogen peroxide for 30min; Blocking buffer (normal goat serum,C-0005) at 37℃ for 20 min;
Incubation: Anti-CTPS2 Polyclonal Antibody, Unconjugated(bs-14101R) 1:400, overnight at 4°C, followed by conjugation to the secondary antibody(SP-0023) and DAB(C-0010) staining
风险提示:丁香通仅作为第三方平台,为商家信息发布提供平台空间。用户咨询产品时请注意保护个人信息及财产安全,合理判断,谨慎选购商品,商家和用户对交易行为负责。对于医疗器械类产品,请先查证核实企业经营资质和医疗器械产品注册证情况。
文献和实验= NAL), appears to form upon oxidative cyclization of the nonfluorescent 2:1 lysine-HNE Michael adduct-Schiff base cross-link (Scheme 1). Polyclonal antibody (PAb) to the NAL-HNE fluorophore was raised in rabbit and found to be highly specific
GE Healthcare Benzamidine Sepharose™ 6B is p-aminobenzamidine covalently attached to Sepharose 6B by the epoxy coupling method. p-Aminobenzamidine (PAB), is a synthetic inhibitor of trypsin-like serine protease. Trypsin and trypsin
Nucleic Acid Programmable Protein Arrays: Versatile Tools for Array‐Based Functional Protein Studies
.g., Sigma) 50 mg/ml bis‐sulfosuccinimdylsuberate (BS3 ;Pierce, cat. no. PI 21580) in dimethylsulfoxide (DMSO) 5 mg/ml
技术资料暂无技术资料 索取技术资料






