相关产品推荐更多 >

SPINK8 Rabbit pAb(bs-17675R)-50ul/100ul/200ul
¥1180
SBNO2 Rabbit pAb, Biotin conjugated(bs-23726R-Bio)-100ul
¥2980
phospho-ITGB2 (Thr758) Rabbit pAb, PerCP-Cy7 conjugated(bs-10462R-PerCP-Cy7)-100ul
¥2980
FAM71D Rabbit pAb, HRP conjugated(bs-11008R-HRP)-100ul
¥2980
Cytokeratin 19 Mouse mAb(bsm-33057M)-50ul/100ul/200ul/200ug
¥1180
万千商家帮你免费找货
0 人在求购买到急需产品
- 详细信息
- 文献和实验
- 技术资料
- 应用范围:
产品信息以Bioss网站为准
- 规格:
50ul/100ul/200ul
| 规格: | 50ul | 产品价格: | ¥1180.0 |
|---|---|---|---|
| 规格: | 100ul | 产品价格: | ¥1980.0 |
| 规格: | 200ul | 产品价格: | ¥2800.0 |
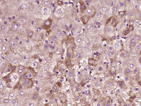
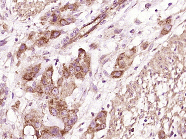
| 产品编号 | bs-14060R |
| 英文名称 | CRISP10 Rabbit pAb |
| 中文名称 | 富含半胱氨酸分泌蛋白10抗体 |
| 英文别名 | CRISPLD1; CocoaCrisp; CRISP 10; CRISP-10; CRISP10; CRISPLD 1; Crispld1; CRLD1_HUMAN; Cysteine rich secretory protein 10; Cysteine rich secretory protein LCCL domain containing 1; Cysteine-rich secretory protein 10; Cysteine-rich secretory protein LCCL domain-containing 1; LCCL domain containing cysteine rich secretory protein 1; LCCL domain-containing cysteine-rich secretory protein 1; LCRISP1; Trypsin inhibitor Hl; UNQ342/PRO541. |
| 产品应用 | WB=1:500-2000, IHC-P=1:100-500, IHC-F=1:100-500, IF=1:100-500 Not yet tested in other applications. |
| 交叉反应 | Human, Mouse (Rat, Dog, Pig, Cow, Horse, Rabbit) |
| 抗体来源 | Rabbit |
| 免疫原 | KLH conjugated synthetic peptide derived from human CRISP10 |
| 亚型 | IgG |
| 性状 | Liquid |
| 纯化方法 | affinity purified by Protein A |
| 克隆类型 | Polyclonal |
| 理论分子量 | 54 kDa |
| 浓度 | 1mg/ml |
| 储存液 | 0.01M TBS (pH7.4) with 1% BSA, 0.02% Proclin300 and 50% Glycerol. |
| 亚细胞定位 | Secreted. |
| 相似性 | Belongs to the CRISP family. Contains 2 LCCL domains. |
| 保存条件 | Shipped at 4℃. Store at -20℃ for one year. Avoid repeated freeze/thaw cycles. |
| 注意事项 | This product as supplied is intended for research use only, not for use in human, therapeutic or diagnostic applications. |
| 背景资料 | Cysteine-rich secretory proteins (CRISPs) represent a family of evolutionarily conserved proteins which may play a role in the innate immune system and are transcriptionally regulated by androgens in several tissues. CRISP proteins are highly expressed in the mammalian reproductive tract and in the venom secretory ducts of some reptiles. CRISP-10 (cysteine-rich secretory protein 10), also known as CocoaCrisp and Trypsin inhibitor Hl, is a 500 amino acid protein containing 2 LCCL domains, which are thought to function as autonomous folding domains used to construct modular proteins through exon shuffling. CRISP-10 differs from other CRISP proteins in that it does not contain the 10 conserved cysteine residues or ICR domains that are usually conserved throughout the CRISP family. |
| 应用 | 推荐稀释比例 |
| {WB} | {1:500-2000} |
| {IHC-P} | {1:100-500} |
| {IHC-F} | {1:100-500} |
| {IF} | {1:100-500} |

Heart(Mouse) Lysate at 40 ug
Primary:Anti-CRISP10 (bs-14060R) at 1/1000 dilution
Secondary: IRDye800CW Goat Anti-Rabbit IgG at 1/20000 dilution
Predicted band size: 54 kD
Observed band size: 54 kD


风险提示:丁香通仅作为第三方平台,为商家信息发布提供平台空间。用户咨询产品时请注意保护个人信息及财产安全,合理判断,谨慎选购商品,商家和用户对交易行为负责。对于医疗器械类产品,请先查证核实企业经营资质和医疗器械产品注册证情况。
文献和实验= NAL), appears to form upon oxidative cyclization of the nonfluorescent 2:1 lysine-HNE Michael adduct-Schiff base cross-link (Scheme 1). Polyclonal antibody (PAb) to the NAL-HNE fluorophore was raised in rabbit and found to be highly specific
GE Healthcare Benzamidine Sepharose™ 6B is p-aminobenzamidine covalently attached to Sepharose 6B by the epoxy coupling method. p-Aminobenzamidine (PAB), is a synthetic inhibitor of trypsin-like serine protease. Trypsin and trypsin
Nucleic Acid Programmable Protein Arrays: Versatile Tools for Array‐Based Functional Protein Studies
.g., Sigma) 50 mg/ml bis‐sulfosuccinimdylsuberate (BS3 ;Pierce, cat. no. PI 21580) in dimethylsulfoxide (DMSO) 5 mg/ml
技术资料暂无技术资料 索取技术资料






