相关产品推荐更多 >

Eukaryotic aspartyl protease Rabbit pAb(bs-0613R)-50ul/100ul/200ul
¥1180
GRK5 Rabbit pAb(bs-7540R)-50ul/100ul/200ul
¥1180
RNA polymerase II CTD repeat YSPTSPS (phospho S2) Rabbit pAb, BF555 conjugated(bs-6581R-BF555)-100ul
¥2980
GPR125 Rabbit pAb, Cy5.5 conjugated(bs-12021R-Cy5.5)-100ul
¥2980
TBR1 Recombinant Rabbit mAb(bsm-60877R)-50ul/100ul/25ul
¥800
万千商家帮你免费找货
0 人在求购买到急需产品
- 详细信息
- 文献和实验
- 技术资料
- 应用范围:
产品信息以Bioss网站为准
- 规格:
50ul/100ul/200ul
| 规格: | 50ul | 产品价格: | ¥1180.0 |
|---|---|---|---|
| 规格: | 100ul | 产品价格: | ¥1980.0 |
| 规格: | 200ul | 产品价格: | ¥2800.0 |
| 产品编号 | bs-8729R |
| 英文名称 | TPH2 Rabbit pAb |
| 中文名称 | 5色氨酸羟化酶2抗体 |
| 英文别名 | ADHD7; Neuronal tryptophan hydroxylase; NTPH; TPH 2; Tph2; TPH2_HUMAN; Tryptophan 5-hydroxylase 2; Tryptophan 5-monooxygenase 2; Tryptophan hydroxylase 2. |
| 产品应用 | WB=1:500-2000, IHC-P=1:100-500, IHC-F=1:100-500, IF=1:100-500 Not yet tested in other applications. |
| 交叉反应 | Human, Rat (Mouse, Cow, Horse) |
| 抗体来源 | Rabbit |
| 免疫原 | KLH conjugated synthetic peptide derived from human TPH2 |
| 亚型 | IgG |
| 性状 | Liquid |
| 纯化方法 | affinity purified by Protein A |
| 克隆类型 | Polyclonal |
| 理论分子量 | 54 kDa |
| 浓度 | 1mg/ml |
| 储存液 | 0.01M TBS (pH7.4) with 1% BSA, 0.02% Proclin300 and 50% Glycerol. |
| 研究领域 | Neuroscience > Neurotransmitter > Biogenic Amines > Serotonin / 5HT |
| 组织特异性 | Brain specific. |
| 相似性 | Belongs to the biopterin-dependent aromatic amino acid hydroxylase family. Contains 1 ACT domain. |
| 保存条件 | Shipped at 4℃. Store at -20℃ for one year. Avoid repeated freeze/thaw cycles. |
| 注意事项 | This product as supplied is intended for research use only, not for use in human, therapeutic or diagnostic applications. |
| 背景资料 | Phenylalanine hydroxylase (PAH), tyrosine hydroxylase (TH), tryptophan hydroxylase (TPH) and tryptophan hydroxylase 2 (TPH2) comprise a small family of monooxygenases that catalyze the rate-limiting step in the catabolism of aromatic L-amino acids and utilize tetrahydropterine as a cofactor. TPH2 is highly expressed in the central nervous system (CNS), mainly in the brain. TPH2 catalyzes the first step in the biosynthesis of serotonin in the CNS and melatonin in the pineal gland, and may be involved in the pathology of several neuropsychiatric disorders. Glucocorticoid-mediated reduction of TPH2 is associated with the etiology of mood disorders, specifically psychotic major depression, and TPH2 may be related to dysregulation of serotonin neurotransmission in the brain which commonly leads to suicidal behavior. |
| 应用 | 推荐稀释比例 |
| {WB} | {1:500-2000} |
| {IHC-P} | {1:100-500} |
| {IHC-F} | {1:100-500} |
| {IF} | {1:100-500} |

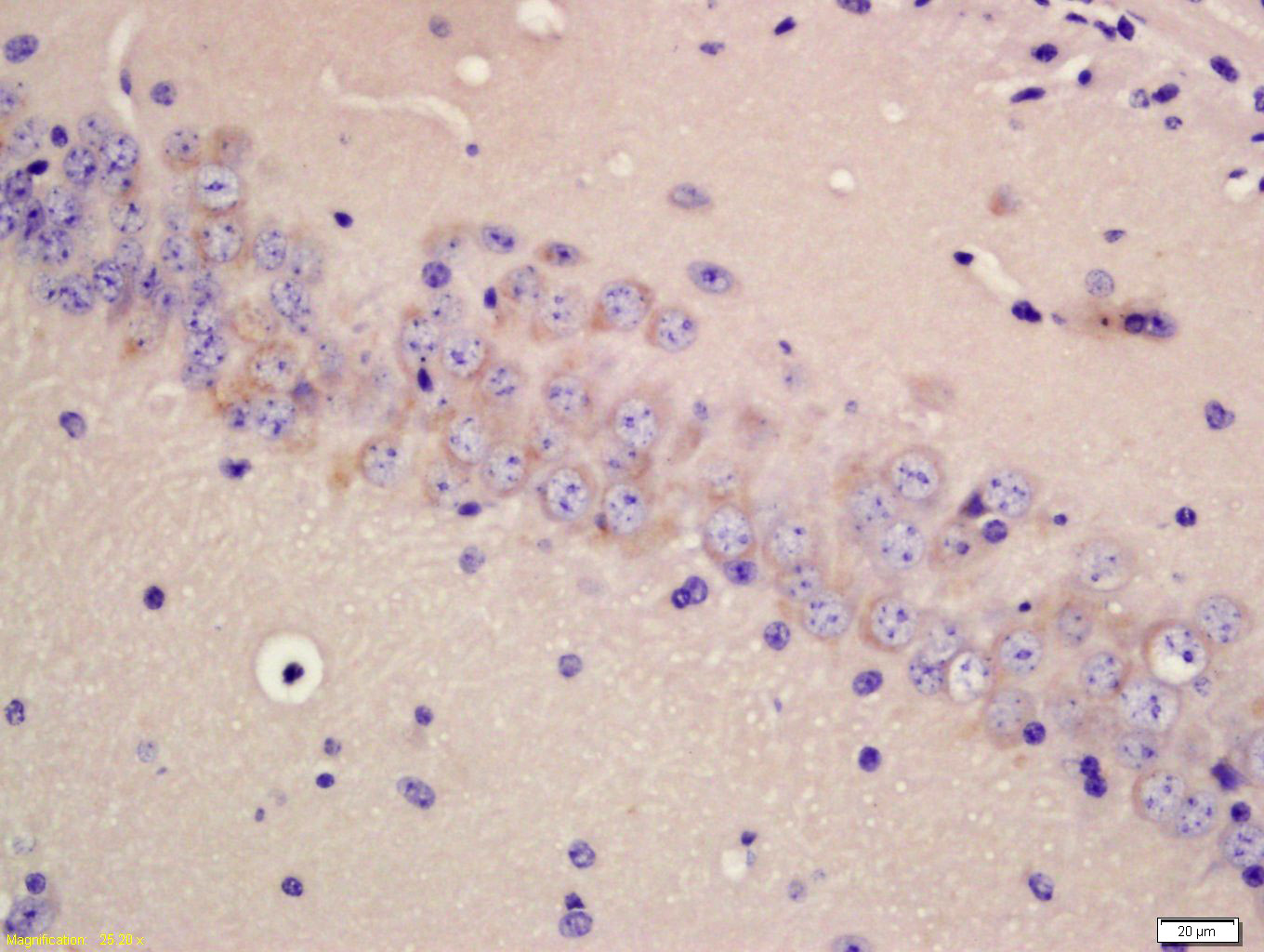
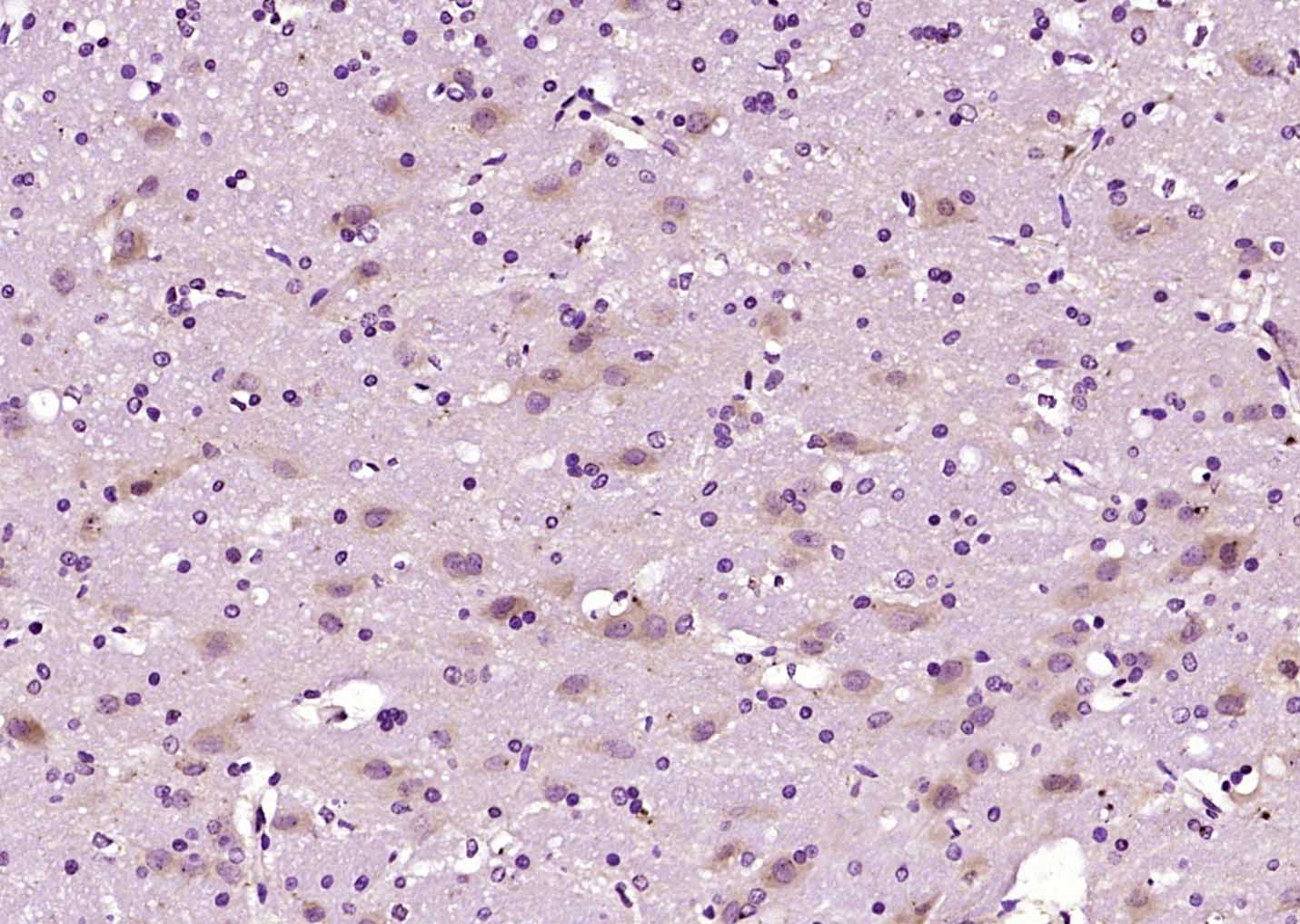
Antigen retrieval: citrate buffer ( 0.01M, pH 6.0 ), Boiling bathing for 15min; Block endogenous peroxidase by 3% Hydrogen peroxide for 30min; Blocking buffer (normal goat serum,C-0005) at 37℃ for 20 min;
Incubation: Anti- TPH2 Polyclonal Antibody, Unconjugated(bs-8729R) 1:200, overnight at 4°C, followed by conjugation to the secondary antibody(SP-0023) and DAB(C-0010) staining

U87MG(Human) Cell Lysate at 30 ug
U251(Human) Cell Lysate at 30 ug
Primary: Anti- TPH2 (bs-8729R) at 1/1000 dilution
Secondary: IRDye800CW Goat Anti-Rabbit IgG at 1/20000 dilution
Predicted band size: 54 kD
Observed band size: 60 kD

风险提示:丁香通仅作为第三方平台,为商家信息发布提供平台空间。用户咨询产品时请注意保护个人信息及财产安全,合理判断,谨慎选购商品,商家和用户对交易行为负责。对于医疗器械类产品,请先查证核实企业经营资质和医疗器械产品注册证情况。
文献和实验[IF={{ 8.786 }}] {Qi Li. et al. Serotonin system is partially involved in immunomodulation of Nile tilapia (Oreochromis niloticus) immune cells. FRONT IMMUNOL. 2022; 13: 944388} {WB} {Fish}
[IF={{ 5.561 }}] {Lei Wu. et al. Ethanol Extract of Mao Jian Green Tea Attenuates Gastrointestinal Symptoms in a Rat Model of Irritable Bowel Syndrome with Constipation via the 5-hydroxytryptamine Signaling Pathway. FOODS. 2023 Jan;12(5):1101} {WB} {Rat}
= NAL), appears to form upon oxidative cyclization of the nonfluorescent 2:1 lysine-HNE Michael adduct-Schiff base cross-link (Scheme 1). Polyclonal antibody (PAb) to the NAL-HNE fluorophore was raised in rabbit and found to be highly specific
Characterization and Validation of Cre‐Driver Mouse Lines
of Cre activity at histological level in the Tph2‐CreERT2 and Ins1‐CreERT2 mouse lines. (A ) Sections through the pons, midbrain, and medulla revealing Cre activity in the raphe nuclei through Cre‐mediated expression of the reporter gene β‐galactosidase
GE Healthcare Benzamidine Sepharose™ 6B is p-aminobenzamidine covalently attached to Sepharose 6B by the epoxy coupling method. p-Aminobenzamidine (PAB), is a synthetic inhibitor of trypsin-like serine protease. Trypsin and trypsin
技术资料暂无技术资料 索取技术资料






