相关产品推荐更多 >
万千商家帮你免费找货
0 人在求购买到急需产品
- 详细信息
- 技术资料
- 应用范围:
产品信息以Bioss网站为准
- 规格:
50ul/100ul/200ul
| 规格: | 50ul | 产品价格: | ¥1180.0 |
|---|---|---|---|
| 规格: | 100ul | 产品价格: | ¥1980.0 |
| 规格: | 200ul | 产品价格: | ¥2800.0 |
| 产品编号 | bs-6193R |
| 英文名称 | SMYD2 Rabbit pAb |
| 中文名称 | 组蛋白甲基转移酶SMYD2抗体 |
| 英文别名 | HSKM B; HSKM-B; HSKMB; Histone methyltransferase SMYD2; HSKM-B; Lysine N-methyltransferase 3C; MGC119305; N lysine methyltransferase SMYD2; N-lysine methyltransferase SMYD2; SET and MYND domain containing 2; SET and MYND domain containing protein 2; SET and MYND domain-containing protein 2; Smyd2; SMYD2_HUMAN; Zinc finger MYND domain containing 14; ZMYND14. |
| 产品应用 | WB=1:500-2000, IHC-P=1:100-500, IHC-F=1:100-500, IF=1:100-500 Not yet tested in other applications. |
| 交叉反应 | Mouse, Rat (Human, Dog, Pig, Cow) |
| 抗体来源 | Rabbit |
| 免疫原 | KLH conjugated synthetic peptide derived from human SMYD2 |
| 亚型 | IgG |
| 性状 | Liquid |
| 纯化方法 | affinity purified by Protein A |
| 克隆类型 | Polyclonal |
| 理论分子量 | 50 kDa |
| 浓度 | 1mg/ml |
| 储存液 | 0.01M TBS (pH7.4) with 1% BSA, 0.02% Proclin300 and 50% Glycerol. |
| 研究领域 | Epigenetics and Nuclear Signaling > Chromatin Modifying Enzymes > Methylation Epigenetics and Nuclear Signaling > Chromatin Modifying Enzymes > Methylation > Lysine methylation |
| 亚基 | Interacts with RNA polymerase II and HELZ. Interacts with SIN3A and HDAC1 (By similarity). Interacts (via MYND-type zinc finger) with EPB41L3. Interacts (via SET domain) with p53/TP53. Interacts with RB1 and HSP90AA1. |
| 亚细胞定位 | Cytoplasm; cytosol. Nucleus. |
| 相似性 | Contains 1 MYND-type zinc finger. Contains 1 SET domain. |
| 功能 | Protein-lysine N-methyltransferase that methylates both histones and non-histone proteins. Specifically methylates histone H3 'Lys-4' (H3K4me) and dimethylates histone H3 'Lys-36' (H3K36me2). Has also methyltransferase activity toward non-histone proteins such as p53/TP53 and RB1. Monomethylates 'Lys-370' of p53/TP53, leading to decreased DNA-binding activity and subsequent transcriptional regulation activity of p53/TP53. Monomethylates 'Lys-860' of RB1/RB. |
| 保存条件 | Shipped at 4℃. Store at -20℃ for one year. Avoid repeated freeze/thaw cycles. |
| 注意事项 | This product as supplied is intended for research use only, not for use in human, therapeutic or diagnostic applications. |
| 背景资料 | SET domain-containing proteins, such as SMYD2, catalyze lysine methylation (Brown et al., 2006 [PubMed 16805913]).[supplied by OMIM, Nov 2008] |
| 应用 | 推荐稀释比例 |
| {WB} | {1:500-2000} |
| {IHC-P} | {1:100-500} |
| {IHC-F} | {1:100-500} |
| {IF} | {1:100-500} |

Sample:
Lane 1: Rat Cerebrum tissue lysates
Lane 2: Rat Spleen tissue lysates
Primary: Anti-SMYD2 (bs-6193R) at 1/1000 dilution
Secondary: IRDye800CW Goat Anti-Rabbit IgG at 1/20000 dilution
Predicted band size: 50 kDa
Observed band size: 53 kDa

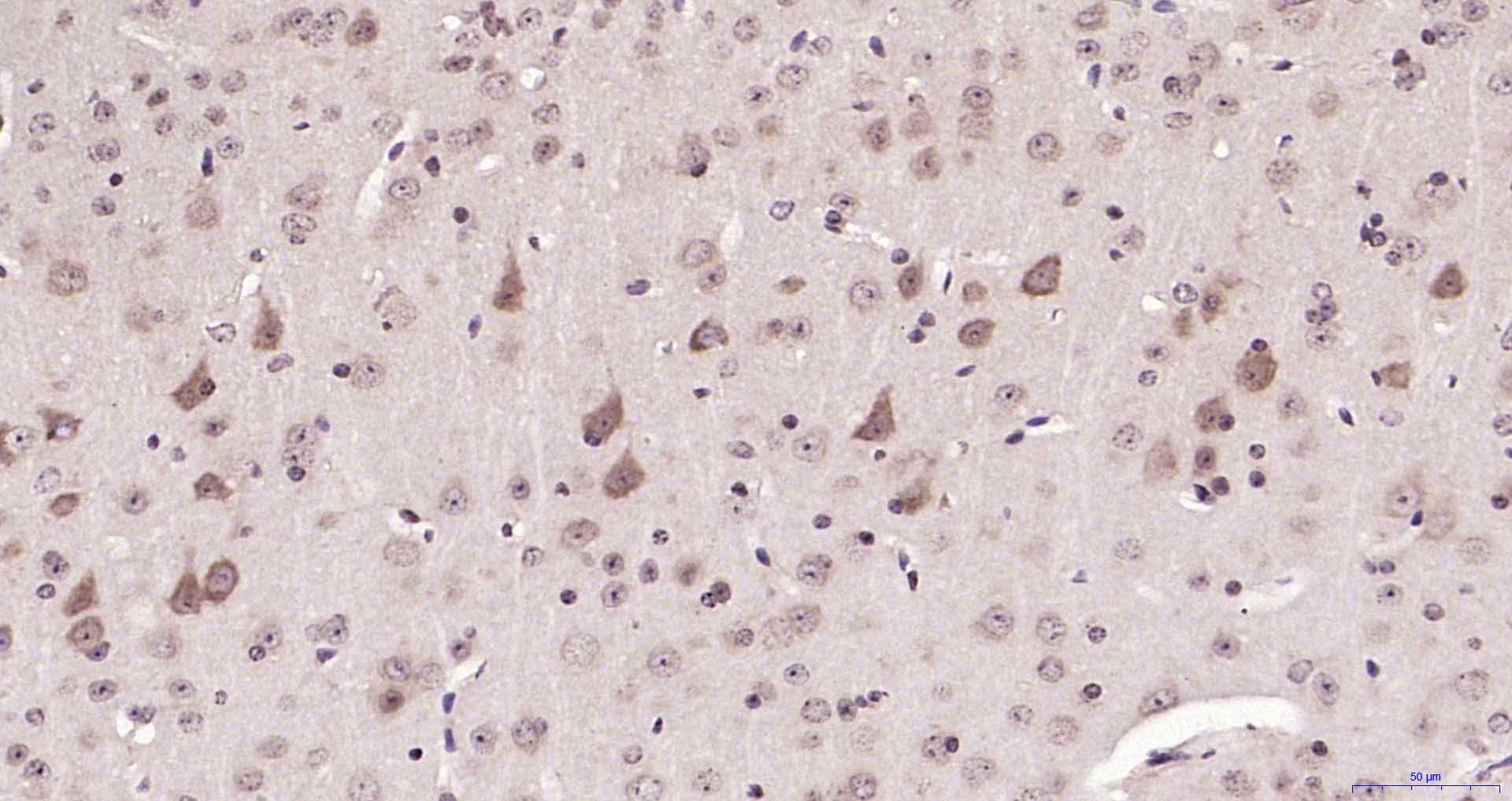
Paraformaldehyde-fixed, paraffin embedded Rat Cerebrum; Antigen retrieval by boiling in sodium citrate buffer (pH6.0) for 15 min; Antibody incubation with SMYD2 Polyclonal Antibody, Unconjugated (bs-6193R) at 1:200 overnight at 4°C, followed by conjugation to the SP Kit (Rabbit, SP-0023) and DAB (C-0010) staining.

Paraformaldehyde-fixed, paraffin embedded Mouse Cerebrum; Antigen retrieval by boiling in sodium citrate buffer (pH6.0) for 15 min; Antibody incubation with SMYD2 Polyclonal Antibody, Unconjugated (bs-6193R) at 1:200 overnight at 4°C, followed by conjugation to the SP Kit (Rabbit, SP-0023) and DAB (C-0010) staining.
风险提示:丁香通仅作为第三方平台,为商家信息发布提供平台空间。用户咨询产品时请注意保护个人信息及财产安全,合理判断,谨慎选购商品,商家和用户对交易行为负责。对于医疗器械类产品,请先查证核实企业经营资质和医疗器械产品注册证情况。
技术资料暂无技术资料 索取技术资料
SMYD2 Rabbit pAb(bs-6193R)-50ul/100ul/200ul
¥1180 - 2800









