相关产品推荐更多 >

Cathepsin L Rabbit pAb, RBITC conjugated(bs-1508R-RBITC)-100ul
¥2980
FSIP2 Rabbit pAb, HRP conjugated(bs-16187R-HRP)-100ul
¥2980
CDKN1A/p21 Rabbit pAb, PE-Cy7 conjugated(bs-0741R-PE-Cy7)-100ul
¥2980
Caspase 8 Rabbit pAb, APC conjugated(bs-0052R-APC)-100ul
¥2980
Anti-human TMPRSS2 (Regeneron patent Anti-TMPRSS2 Biosimilar)(BIO0332SM)-1mg/5mg/20mg
¥3200
万千商家帮你免费找货
0 人在求购买到急需产品
- 详细信息
- 技术资料
- 应用范围:
产品信息以Bioss网站为准
- 规格:
50ul/100ul/200ul
| 规格: | 50ul | 产品价格: | ¥1180.0 |
|---|---|---|---|
| 规格: | 100ul | 产品价格: | ¥1980.0 |
| 规格: | 200ul | 产品价格: | ¥2800.0 |
| 产品编号 | bs-18301R |
| 英文名称 | CES1/Liver Carboxylesterase 1 Rabbit pAb |
| 中文名称 | 肝羧酸酯酶1抗体 |
| 英文别名 | ACAT; Acyl coenzyme A cholesterol acyltransferase; Acyl-coenzyme A:cholesterol acyltransferase; Brain carboxylesterase hBr1; Carboxyesterase ES-3; Carboxylesterase; Carboxylesterase 1(monocyte/macrophage serine esterase 1); Carboxylesterase 1; Carboxylesterase 1 deficiency, included; Carboxylesterase 2, formerly; CE 1; CEH; Ces-1; Ces1; CES2; CESDD1; Cholesterol ester hydrolase, neutral, macrophage-derived; Cholesteryl ester hydrolase; Cocaine carboxylesterase; EC 3.1.1.1; Egasyn; ES-HTEL; ES-x; Es22; EST1_HUMAN; Esterase 22; Esterase; hCE 1; HMSE; HMSE1; Liver carboxylesterase 1; Liver carboxylesterase 3; Methylumbelliferyl acetate deacetylase 1; MGC117365; MGC156521; Monocyte carboxylesterase deficiency, included; Monocyte esterase deficiency, included; Monocyte/macrophage serine esterase; PCE-1; pI 5.5 esterase; Proline-beta-naphthylamidase; REH; Retinyl ester hydrolase; Serine esterase 1; Ses-1; SES1. |
| 产品应用 | WB=1:500-2000, IHC-P=1:100-500, IHC-F=1:100-500, IF=1:100-500 Not yet tested in other applications. |
| 交叉反应 | Mouse, Rat (Human, Pig, Cow, Rabbit) |
| 抗体来源 | Rabbit |
| 免疫原 | KLH conjugated synthetic peptide derived from human CES1 |
| 亚型 | IgG |
| 性状 | Liquid |
| 纯化方法 | affinity purified by Protein A |
| 克隆类型 | Polyclonal |
| 理论分子量 | 61 kDa |
| 浓度 | 1mg/ml |
| 储存液 | 0.01M TBS (pH7.4) with 1% BSA, 0.02% Proclin300 and 50% Glycerol. |
| 研究领域 | Cardiovascular > Atherosclerosis > Lipoprotein metabolism Cardiovascular > Lipids / Lipoproteins > Lipid Metabolism > Cholesterol Metabolism Cardiovascular > Lipids / Lipoproteins > Lipid Metabolism > Hydrolysis Cardiovascular > Lipids / Lipoproteins > Lipoproteins/Apolipoproteins Metabolism > Pathways and Processes > Metabolic signaling pathways > Drug metabolism Metabolism > Pathways and Processes > Metabolic signaling pathways > Lipid and lipoprotein metabolism > Cholesterol Metabolism Metabolism > Pathways and Processes > Metabolic signaling pathways > Lipid and lipoprotein metabolism > Hydrolysis Metabolism > Pathways and Processes > Metabolic signaling pathways > Lipid and lipoprotein metabolism > Lipoprotein metabolism Metabolism > Types of disease > Cancer Metabolism > Types of disease > Heart disease Signal Transduction > Metabolism > Drug metabolism Signal Transduction > Metabolism > Lipid metabolism |
| 亚细胞定位 | Endoplasmic reticulum lumen. |
| 组织特异性 | Expressed predominantly in liver with lower levels in heart and lung. |
| 翻译后修饰 | Contains sialic acid. Cleavage of the signal sequence can occur at 2 positions, either between Trp-17 and Gly-18 or between Gly-18 and His-19. |
| 相似性 | Belongs to the type-B carboxylesterase/lipase family. |
| 功能 | Involved in the detoxification of xenobiotics and in the activation of ester and amide prodrugs. Hydrolyzes aromatic and aliphatic esters, but has no catalytic activity toward amides or a fatty acyl-CoA ester. Hydrolyzes the methyl ester group of Cocaine to form benzoylecgonine. Catalyzes the transesterification of Cocaine to form cocaethylene. Displays fatty acid ethyl ester synthase activity, catalyzing the ethyl esterification of oleic acid to ethyloleate. |
| 保存条件 | Shipped at 4℃. Store at -20℃ for one year. Avoid repeated freeze/thaw cycles. |
| 注意事项 | This product as supplied is intended for research use only, not for use in human, therapeutic or diagnostic applications. |
| 背景资料 | This gene encodes a member of the carboxylesterase large family. The family members are responsible for the hydrolysis or transesterification of various xenobiotics, such as Cocaine and heroin, and endogenous substrates with ester, thioester, or amide bonds. They may participate in fatty acyl and cholesterol ester metabolism, and may play a role in the blood-brain barrier system. This enzyme is the major liver enzyme and functions in liver drug clearance. Mutations of this gene cause carboxylesterase 1 deficiency. Three transcript variants encoding three different isoforms have been found for this gene. [provided by RefSeq, Jun 2010] |
| 应用 | 推荐稀释比例 |
| {WB} | {1:500-2000} |
| {IHC-P} | {1:100-500} |
| {IHC-F} | {1:100-500} |
| {IF} | {1:100-500} |

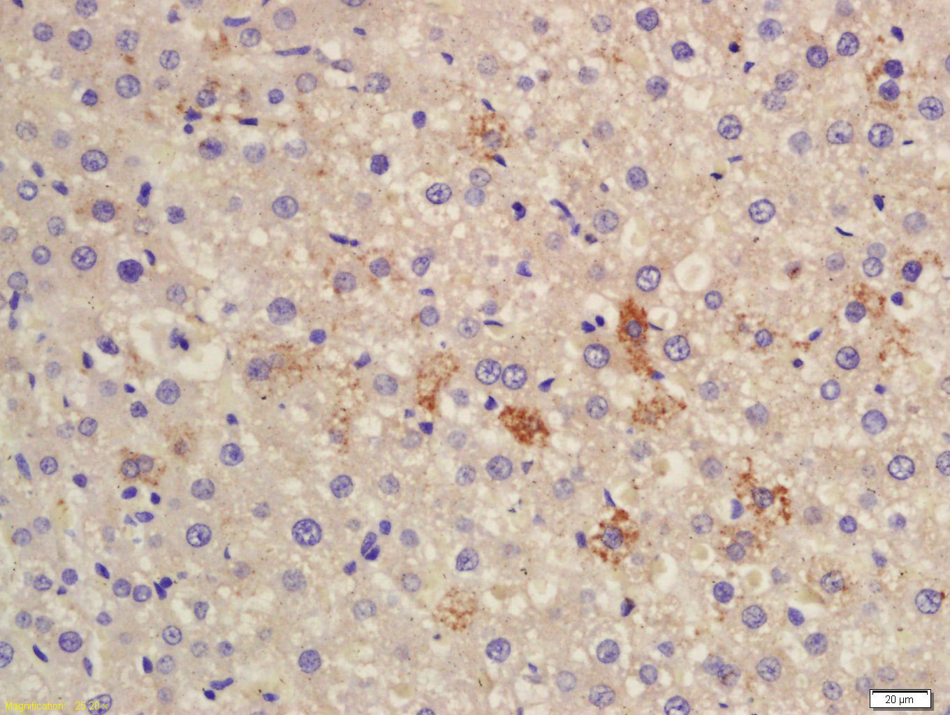
Antigen retrieval: citrate buffer ( 0.01M, pH 6.0 ), Boiling bathing for 15min; Block endogenous peroxidase by 3% Hydrogen peroxide for 30min; Blocking buffer (normal goat serum,C-0005) at 37℃ for 20 min;
Incubation: Anti-CES1 Polyclonal Antibody, Unconjugated(bs-18301R) 1:200, overnight at 4°C, followed by conjugation to the secondary antibody(SP-0023) and DAB(C-0010) staining

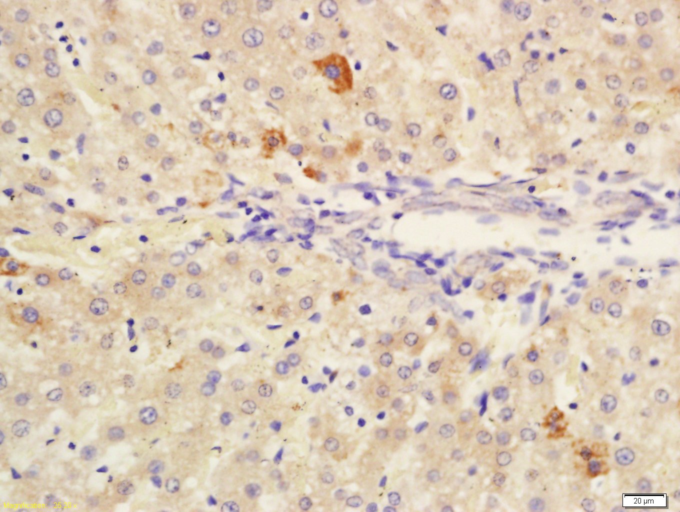
Antigen retrieval: citrate buffer ( 0.01M, pH 6.0 ), Boiling bathing for 15min; Block endogenous peroxidase by 3% Hydrogen peroxide for 30min; Blocking buffer (normal goat serum,C-0005) at 37℃ for 20 min;
Incubation: Anti-CES1 / Liver Carboxylesterase 1 Polyclonal Antibody, Unconjugated(bs-18301R) 1:200, overnight at 4°C, followed by conjugation to the secondary antibody(SP-0023) and DAB(C-0010) staining

Primary: rabbit Anti-CES1/Liver Carboxylesterase 1 (bs-18301R) at 1:300;
Secondary: HRP conjugated Goat-Anti-rabbit IgG(bs-0295G-HRP) at 1: 5000;
Predicted band size: 61 kD
Observed band size: 66 kD
风险提示:丁香通仅作为第三方平台,为商家信息发布提供平台空间。用户咨询产品时请注意保护个人信息及财产安全,合理判断,谨慎选购商品,商家和用户对交易行为负责。对于医疗器械类产品,请先查证核实企业经营资质和医疗器械产品注册证情况。
技术资料暂无技术资料 索取技术资料






