相关产品推荐更多 >

DOK5 Rabbit pAb, APC conjugated(bs-8587R-APC)-100ul
¥2980
Glucocorticoid receptor Rabbit pAb(bs-0252R)-50ul/100ul/200ul
¥1180
Guanylate Cyclase Rabbit pAb, PE conjugated(bs-16371R-PE)-100ul
¥2980
MOGT1 Rabbit pAb(bs-17707R)-50ul/100ul/200ul
¥1180
Beclin 1 Rabbit pAb, PE-Cy5 conjugated(bs-1353R-PE-Cy5)-100ul
¥2980
万千商家帮你免费找货
0 人在求购买到急需产品
- 详细信息
- 文献和实验
- 技术资料
- 应用范围:
产品信息以Bioss网站为准
- 规格:
50ul/100ul/200ul
| 规格: | 50ul | 产品价格: | ¥1180.0 |
|---|---|---|---|
| 规格: | 100ul | 产品价格: | ¥1980.0 |
| 规格: | 200ul | 产品价格: | ¥2800.0 |
| 产品编号 | bs-1566R |
| 英文名称 | CRIPTO Rabbit pAb |
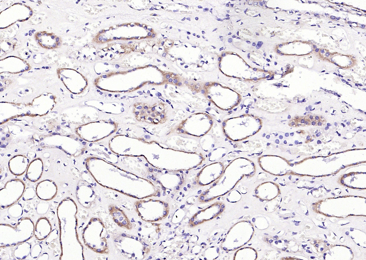
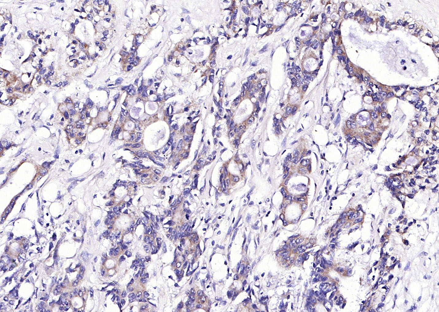
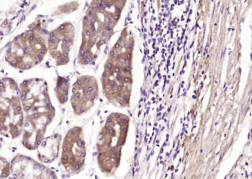
| 中文名称 | 畸胎瘤衍化生长因子抗体(N端) |
| 英文别名 | CRIPTO; CRIPT; CR; CRGF; Cripto 1; Cripto-1; Cripto 1 growth factor; Cripto-1 growth factor; Cripto1; Cripto1 growth factor; Epidermal growth factor like cripto protein CR1; Epidermal growth factor-like cripto protein CR1; TDGF 1; TDGF-1; TDGF1; Teratocarcinoma derived growth factor 1; Teratocarcinoma-derived growth factor 1; teratocarcinoma-derived growth factor 1 isoform 1 precursor; TDGF1_HUMAN. |
| 产品应用 | IHC-P=1:100-500, IHC-F=1:100-500, IF=1:100-500 Not yet tested in other applications. |
| 交叉反应 | Human (Mouse, Rat) |
| 抗体来源 | Rabbit |
| 免疫原 | KLH conjugated synthetic peptide derived from human TDGF1 |
| 亚型 | IgG |
| 性状 | Liquid |
| 纯化方法 | affinity purified by Protein A |
| 克隆类型 | Polyclonal |
| 理论分子量 | 13 kDa |
| 浓度 | 1mg/ml |
| 储存液 | 0.01M TBS (pH7.4) with 1% BSA, 0.02% Proclin300 and 50% Glycerol. |
| 研究领域 | Developmental Biology > Embryogenesis > Morphogens Developmental Biology > Lineage specification > Ectoderm Stem Cells > Embryonic Stem Cells > Secreted Stem Cells > Lineage Markers > Ectoderm |
| 亚基 | Interacts with the activin type-1 receptor ACVR1B. |
| 亚细胞定位 | Cell membrane; Lipid-anchor, GPI-anchor. |
| 组织特异性 | Preferentially expressed in gastric and colorectal carcinomas than in their normal counterparts. Expressed in breast and lung. |
| 相似性 | Contains 1 EGF-like domain. |
| 功能 | Could play a role in the determination of the epiblastic cells that subsequently give rise to the mesoderm. |
| 保存条件 | Shipped at 4℃. Store at -20℃ for one year. Avoid repeated freeze/thaw cycles. |
| 注意事项 | This product as supplied is intended for research use only, not for use in human, therapeutic or diagnostic applications. |
| 背景资料 | This gene encodes an epidermal growth factor-related protein that contains a cripto, FRL-1, and cryptic domain. The encoded protein is an extracellular, membrane-bound signaling protein that plays an essential role in embryonic development and tumor growth. Mutations in this gene are associated with forebrain defects. Pseudogenes of this gene are found on chromosomes 2, 3, 6, 8, 19 and X. Alternate splicing results in multiple transcript variants. [provided by RefSeq, Mar 2010]. |
| 应用 | 推荐稀释比例 |
| {IHC-P} | {1:100-500} |
| {IHC-F} | {1:100-500} |
| {IF} | {1:100-500} |




风险提示:丁香通仅作为第三方平台,为商家信息发布提供平台空间。用户咨询产品时请注意保护个人信息及财产安全,合理判断,谨慎选购商品,商家和用户对交易行为负责。对于医疗器械类产品,请先查证核实企业经营资质和医疗器械产品注册证情况。
文献和实验常用的β-actin 引物序列 human actin f ctc cat cct ggc ctc gct gt human actin r gct gtc acc ttc acc gtt cc product size:268 rabbit actin r agt gcg acg tgg aca tcc g rabbit actin f tgg ctc taa cag tcc gcc tag product size:295 mouse actin r cgt
human actin f ctc cat cct ggc ctc gct gt human actin r gct gtc acc ttc acc gtt cc product size:268 rabbit actin r agt gcg acg tgg aca tcc g rabbit actin f tgg ctc taa cag tcc gcc ta product size:295 mouse actin r cgt tga cat ccg taa aga
相关专题 human actin f ctc cat cct ggc ctc gct gt human actin r gct gtc acc ttc acc gtt cc product size:268 rabbit actin r agt gcg acg tgg aca tcc g rabbit actin f tgg ctc taa cag tcc gcc tag product size
技术资料暂无技术资料 索取技术资料





