相关产品推荐更多 >

MC3 Receptor Rabbit pAb, FITC conjugated(bs-7558R-FITC)-100ul
¥2980
PCDHA11 Rabbit pAb, HRP conjugated(bs-11124R-HRP)-100ul
¥2980
C12orf72 Rabbit pAb, Biotin conjugated(bs-18117R-Bio)-100ul
¥2980
phospho-EDG1 (Thr236) Rabbit pAb(bs-14504R)-50ul/100ul/200ul
¥1180
Anti-human Siglec-15 / CD33L3 (Medimmune patent Anti-Siglec-15 Biosimilar)(BIO0764SM)-1mg/5mg/20mg
¥3200
万千商家帮你免费找货
0 人在求购买到急需产品
- 详细信息
- 文献和实验
- 技术资料
- 应用范围:
产品信息以Bioss网站为准
- 规格:
50ul/100ul/200ul
| 规格: | 50ul | 产品价格: | ¥1180.0 |
|---|---|---|---|
| 规格: | 100ul | 产品价格: | ¥1980.0 |
| 规格: | 200ul | 产品价格: | ¥2800.0 |
| 产品编号 | bs-12056R |
| 英文名称 | 5HT7 Receptor Rabbit pAb |
| 中文名称 | 5-羟色胺受体7抗体 |
| 英文别名 | SR-7; HT 7; 5 HT X; 5 hydroxytryptamine(serotonin) receptor 7(adenylate cyclase coupled); 5 hydroxytryptamine(serotonin) receptor 7; 5 hydroxytryptamine receptor 7; 5-HT-7; 5-HT-X; 5-HT7; 5-hydroxytryptamine receptor 7; 5HT7; 5HT7R_HUMAN; HTR7; Serotonin 5 HT 7 receptor; Serotonin receptor 7. |
| 产品应用 | WB=1:500-2000, IHC-P=1:100-500, IHC-F=1:100-500, IF=1:100-500 Not yet tested in other applications. |
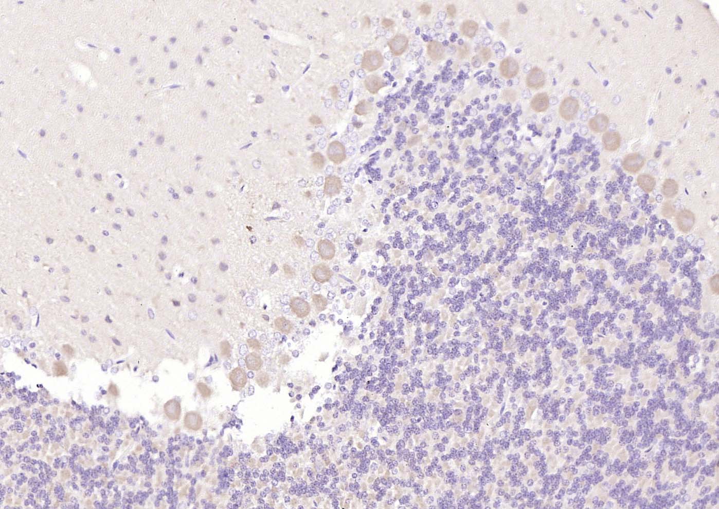
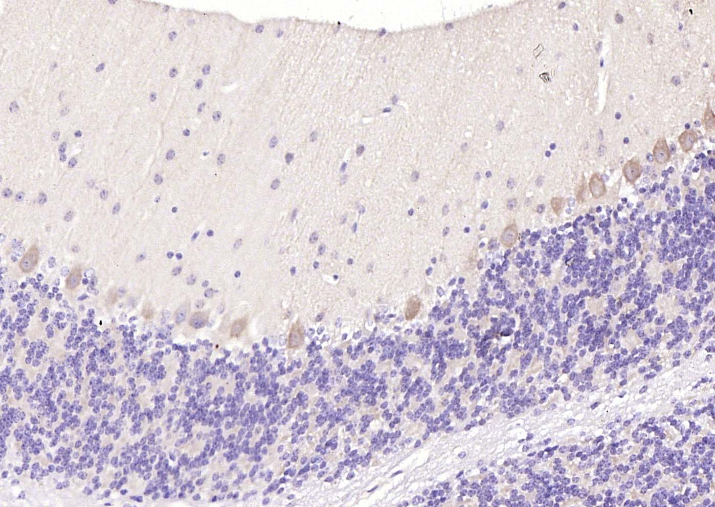
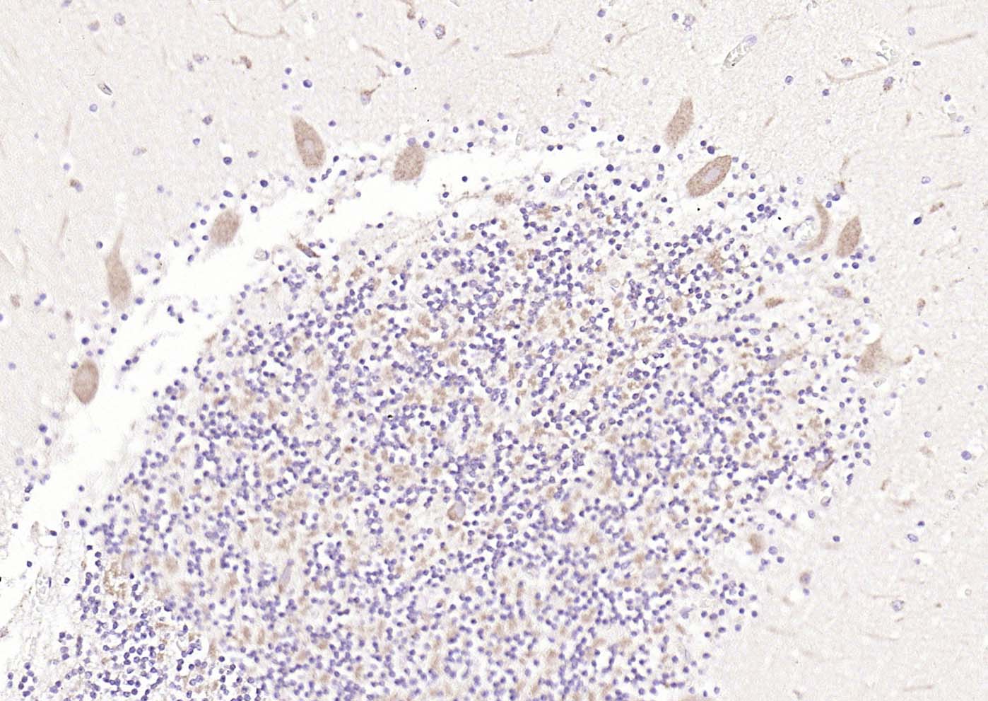
| 交叉反应 | Human, Mouse, Rat, cerebellum, cerebellum, cerebellum, cerebellum, cerebellum, cerebellum, cerebellum, cerebellum, cerebellum, cerebellum, cerebellum, cerebellum, cerebellum |
| 抗体来源 | Rabbit |
| 免疫原 | KLH conjugated synthetic peptide derived from human 5HT7 Receptor/SR-7 |
| 亚型 | IgG |
| 性状 | Liquid |
| 纯化方法 | affinity purified by Protein A |
| 克隆类型 | Polyclonal |
| 理论分子量 | 54 kDa |
| 浓度 | 1mg/ml |
| 储存液 | 0.01M TBS (pH7.4) with 1% BSA, 0.02% Proclin300 and 50% Glycerol. |
| 研究领域 | Metabolism > Types of disease > Obesity Neuroscience > Neurotransmission > Receptors / Channels > GPCR > Serotonin Receptors |
| 亚细胞定位 | Cell membrane; Multi-pass membrane protein. |
| 组织特异性 | Isoform A is the predominant isoform in spleen, caudate and hippocampus. Isoform B is expressed at lower levels. Isoform D is a minor isoform in term of expression. |
| 相似性 | Belongs to the G-protein coupled receptor 1 family. |
| 功能 | This is one of the several different receptors for 5-hydroxytryptamine (serotonin), a biogenic hormone that functions as a neurotransmitter, a hormone, and a mitogen. The activity of this receptor is mediated by G proteins that stimulate adenylate cyclase. |
| 保存条件 | Shipped at 4℃. Store at -20℃ for one year. Avoid repeated freeze/thaw cycles. |
| 注意事项 | This product as supplied is intended for research use only, not for use in human, therapeutic or diagnostic applications. |
| 背景资料 | The neurotransmitter, serotonin, is thought to play a role in various cognitive and behavioral functions. The serotonin receptor encoded by this gene belongs to the superfamily of G protein-coupled receptors and the gene is a candidate locus for involvement in autistic disorder and other neuropsychiatric disorders. Three splice variants have been identified which encode proteins that differ in the length of their carboxy terminal ends. [provided by RefSeq, Jul 2008] |
| 应用 | 推荐稀释比例 |
| {WB} | {1:500-2000} |
| {IHC-P} | {1:100-500} |
| {IHC-F} | {1:100-500} |
| {IF} | {1:100-500} |

Hippocampus (Mouse) Lysate at 40 ug
Hippocampus(Rat) Lysate at 40 ug
Primary: Anti- 5HT7 Receptor (bs-12056R) at 1/1000 dilution
Secondary: IRDye800CW Goat Anti-Rabbit IgG at 1/20000 dilution
Predicted band size: 54 kD
Observed band size: 54 kD

Lane 1: Mouse Cerebrum tissue lysates
Lane 2: Mouse Cerebellum tissue lysates
Lane 3: Rat Cerebrum tissue lysates
Lane 4: Rat Cerebellum tissue lysates
Primary: Anti-5HT7 Receptor (bs-12056R) at 1/1000 dilution
Secondary: IRDye800CW Goat Anti-Rabbit IgG at 1/20000 dilution
Predicted band size: 54 kDa
Observed band size: 50 kDa



风险提示:丁香通仅作为第三方平台,为商家信息发布提供平台空间。用户咨询产品时请注意保护个人信息及财产安全,合理判断,谨慎选购商品,商家和用户对交易行为负责。对于医疗器械类产品,请先查证核实企业经营资质和医疗器械产品注册证情况。
文献和实验[IF={{ 1.7 }}] {Seyma Ozsoy. et al. Ondansetron and AS19 attenuate morphine tolerance by modulating serotonin 5-HT3 and 5-HT7 receptor expressions in rat dorsal root ganglia. J RADIAT RES APPL SC. 2023 Dec;16:100682} {IHC} {Rat}
Overview of Receptor Allosterism
Figure 1.21.8 Allosteric modulation by oleamide of the saturation binding of [3 H]5‐HT in HeLa cell membranes transiently transfected with the 5‐HT7 receptor. (A ) Radioligand saturation‐binding curves obtained in presence
, Algermissen, B. et al. 3. Purification of rabbit liver aldehyde oxidase by affinity chromatography on benzamidine Sepharose 6B. J. Chromatogr. (1989), 475 363-72, Stell, J. G. P. et al. 4. The Crystal Structure of a T Cell Receptor in Complex
Models and Analysis of Atherosclerosis, Restenosis, and Aneurysm Formation in the Mouse
CD3 SP‐7 Rabbit SP7 Cryo/paraffin
技术资料暂无技术资料 索取技术资料






