相关产品推荐更多 >
万千商家帮你免费找货
0 人在求购买到急需产品
- 详细信息
- 文献和实验
- 技术资料
- 应用范围:
产品信息以Bioss网站为准
- 规格:
50ul/100ul/200ul
| 规格: | 50ul | 产品价格: | ¥1180.0 |
|---|---|---|---|
| 规格: | 100ul | 产品价格: | ¥1980.0 |
| 规格: | 200ul | 产品价格: | ¥2800.0 |
| 产品编号 | bs-5135R |
| 英文名称 | CREM Rabbit pAb |
| 中文名称 | 环磷酸腺苷反应元件调节蛋白抗体 |
| 英文别名 | cAMP response element modulator; CREM-1; cAMP responsive element modulator; hCREM 2; hCREM2; ICER; Inducible cAMP early repressor; Inducible cAMP early repressor ICER; MGC111110; MGC17881; MGC41893. |
| 产品应用 | IHC-P=1:100-500, IHC-F=1:100-500, IF=1:100-500, Flow-Cyt=3ug/test Not yet tested in other applications. |
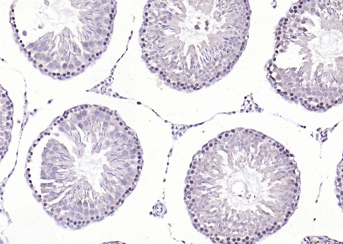
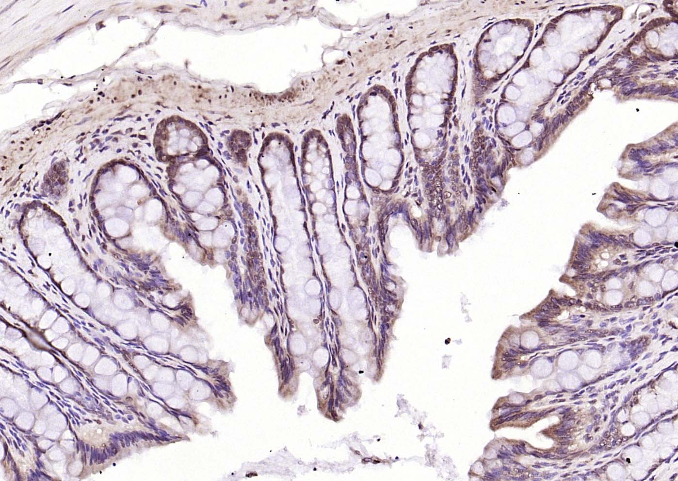
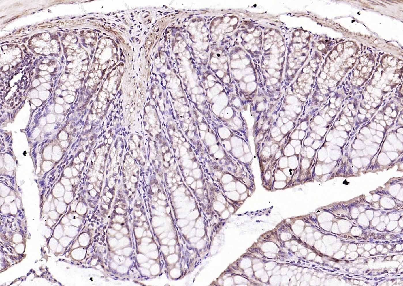
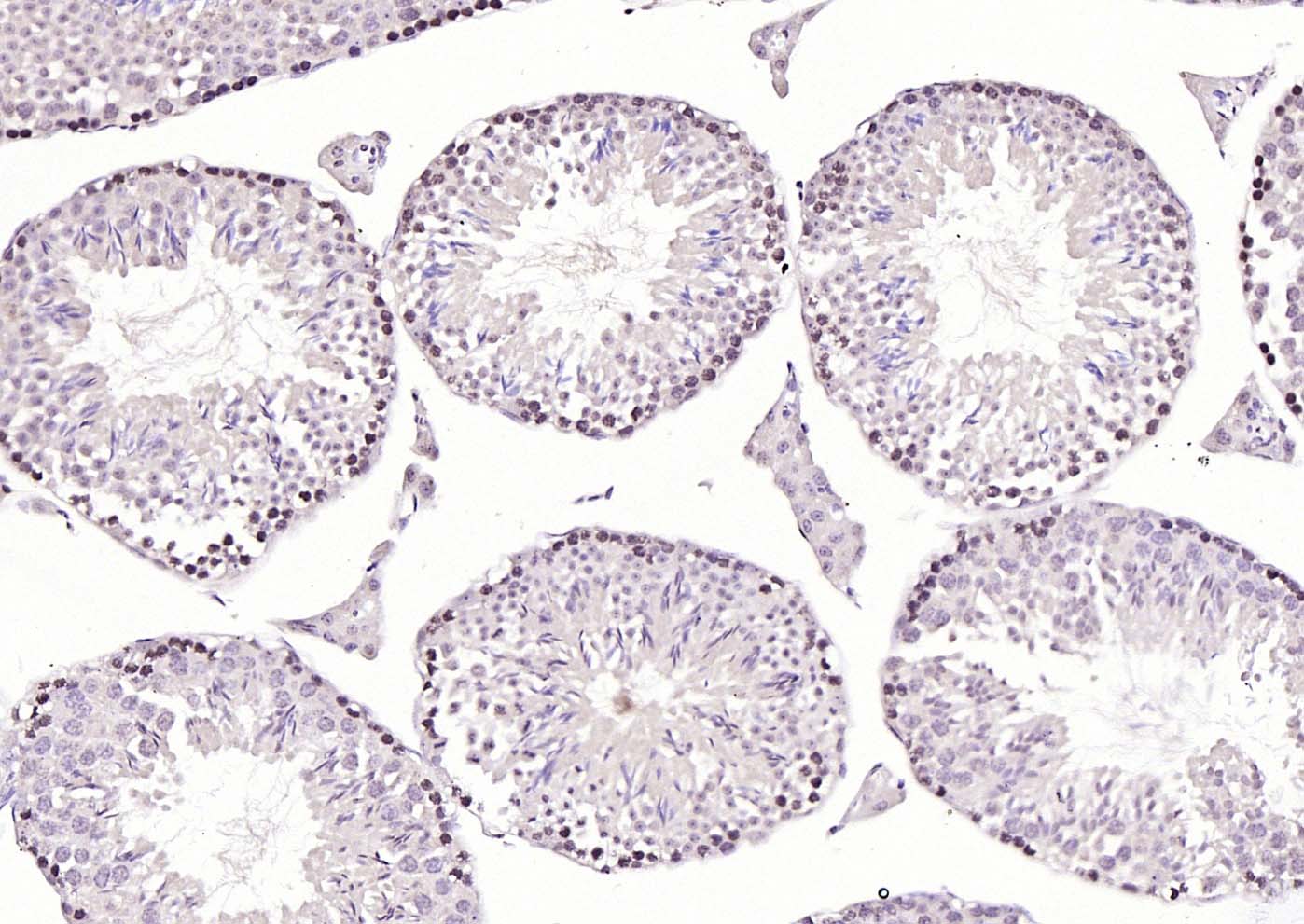
| 交叉反应 | Human, Mouse, Rat, colon, colon, colon, colon, colon, colon, colon, colon, colon, colon, testis, testis, testis, testis (Chicken, Pig, Horse) |
| 抗体来源 | Rabbit |
| 免疫原 | KLH conjugated synthetic peptide derived from human CREM |
| 亚型 | IgG |
| 性状 | Liquid |
| 纯化方法 | affinity purified by Protein A |
| 克隆类型 | Polyclonal |
| 理论分子量 | 37 kDa |
| 浓度 | 1mg/ml |
| 储存液 | 0.01M TBS (pH7.4) with 1% BSA, 0.02% Proclin300 and 50% Glycerol. |
| 研究领域 | Signal Transduction > Second Messenger > Nucleotide Messenger > cAMP |
| 亚基 | Binds DNA as a dimer. Interacts with FHL5. Interacts with CDC34. |
| 亚细胞定位 | Nucleus. |
| 组织特异性 | Expressed in testes (round spermatids) (at protein level). Isoform 14 is the major activator form in testes. |
| 翻译后修饰 | Isoform 9 is ubiquitinated by CDC34 and RAD6B in order to be degraded by the proteasome.
Stimulated by phosphorylation. |
| 相似性 | Belongs to the bZIP family. Contains 1 bZIP domain. Contains 1 KID (kinase-inducible) domain. |
| 功能 | Transcriptional regulator that binds the cAMP response element (CRE), a sequence present in many viral and cellular promoters. Isoforms are either transcriptional activators or repressors. Plays a role in spermatogenesis and is involved in spermatid maturation. |
| 保存条件 | Shipped at 4℃. Store at -20℃ for one year. Avoid repeated freeze/thaw cycles. |
| 注意事项 | This product as supplied is intended for research use only, not for use in human, therapeutic or diagnostic applications. |
| 背景资料 | CREM is a a bZIP transcription factor that binds to the cAMP responsive element found in many viral and cellular promoters. It is derived from a multiexonic gene that encodes both activators and antagonists of cAMP-inducible transcription by differential splicing. Splice variants with antagonistic function lack 2 glutamine-rich domains and block cAMP-induced transcription, whereas an isoform that includes these glutamine-rich domains is a transcriptional activator. |
| 应用 | 推荐稀释比例 |
| {IHC-P} | {1:100-500} |
| {IHC-F} | {1:100-500} |
| {IF} | {1:100-500} |
| {Flow-Cyt} | {3ug/test} |

Primary Antibody (green line): Rabbit Anti-CREM antibody (bs-5135R)
Dilution: 1μg /10^6 cells;
Isotype Control Antibody (orange line): Rabbit IgG .
Secondary Antibody : Goat anti-rabbit IgG-PE
Dilution: 3μg /test.
Protocol
The cells were fixed with 4% PFA (10min at room temperature)and then permeabilized with 90% ice-cold methanol for 20 min at-20℃. The cells were then incubated in 5% BSA to block non-specific protein-protein interactions for 30 min at at room temperature .Cells stained with Primary Antibody for 30 min at room temperature. The secondary antibody used for 40 min at room temperature. Acquisition of 20,000 events was performed.





风险提示:丁香通仅作为第三方平台,为商家信息发布提供平台空间。用户咨询产品时请注意保护个人信息及财产安全,合理判断,谨慎选购商品,商家和用户对交易行为负责。对于医疗器械类产品,请先查证核实企业经营资质和医疗器械产品注册证情况。
文献和实验= NAL), appears to form upon oxidative cyclization of the nonfluorescent 2:1 lysine-HNE Michael adduct-Schiff base cross-link (Scheme 1). Polyclonal antibody (PAb) to the NAL-HNE fluorophore was raised in rabbit and found to be highly specific
GE Healthcare Benzamidine Sepharose™ 6B is p-aminobenzamidine covalently attached to Sepharose 6B by the epoxy coupling method. p-Aminobenzamidine (PAB), is a synthetic inhibitor of trypsin-like serine protease. Trypsin and trypsin
Nucleic Acid Programmable Protein Arrays: Versatile Tools for Array‐Based Functional Protein Studies
.g., Sigma) 50 mg/ml bis‐sulfosuccinimdylsuberate (BS3 ;Pierce, cat. no. PI 21580) in dimethylsulfoxide (DMSO) 5 mg/ml
技术资料暂无技术资料 索取技术资料









