Tissue/cell: mouse embryo tissue;4% Paraformaldehyde-fixed and paraffin-embedded;
Antigen retrieval: citrate buffer ( 0.01M, pH 6.0 ), Boiling bathing for 15min; Blocking buffer (normal goat serum,C-0005) at 37℃ for 20 min;
Incubation: Anti-MAP1B Polyclonal Antibody, FITC conjugated(bs-11028R-FITC) 1:200, 60 minutes at 37°C. DAPI(5ug/ml,blue,C-0033) was used to stain the cell nuclei
相关产品推荐更多 >

TIMM50 Rabbit pAb, Biotin conjugated(bs-19932R-Bio)-100ul
¥2980
LPA2 Rabbit pAb, BF405 conjugated(bs-10368R-BF405)-100ul
¥2980
phospho-FANCD2 (Ser1404) Rabbit pAb, Cy7 conjugated(bs-13141R-Cy7)-100ul
¥2980
Collagen IV Rabbit pAb, Cy5 conjugated(bs-4595R-Cy5)-100ul
¥2980
phospho-CHEK1 (Ser317) Rabbit pAb(bs-5251R)-50ul/100ul/200ul
¥1180
万千商家帮你免费找货
0 人在求购买到急需产品
- 详细信息
- 技术资料
- 应用范围:
产品信息以Bioss网站为准
- 规格:
50ul/100ul/200ul
| 规格: | 50ul | 产品价格: | ¥1180.0 |
|---|---|---|---|
| 规格: | 100ul | 产品价格: | ¥1980.0 |
| 规格: | 200ul | 产品价格: | ¥2800.0 |
| 产品编号 | bs-11028R |
| 英文名称 | MAP1B Rabbit pAb |
| 中文名称 | 微管相关蛋白1B抗体 |
| 英文别名 | FUTSCH; LC1; MAP5; MAP-1B; Microtubule associated protein 1B; Mtap1b; Mtap5; MAP1B_HUMAN. |
| 产品应用 | IHC-P=1:100-500, IHC-F=1:100-500, IF=1:100-500 Not yet tested in other applications. |
| 交叉反应 | Mouse, Rat (Human, Dog, Pig, Cow, Horse, Rabbit, Sheep) |
| 抗体来源 | Rabbit |
| 免疫原 | KLH conjugated synthetic peptide derived from human MAP1B |
| 亚型 | IgG |
| 性状 | Liquid |
| 纯化方法 | affinity purified by Protein A |
| 克隆类型 | Polyclonal |
| 理论分子量 | 271 kDa |
| 浓度 | 1mg/ml |
| 储存液 | 0.01M TBS (pH7.4) with 1% BSA, 0.02% Proclin300 and 50% Glycerol. |
| 研究领域 | Neuroscience > Cell Adhesion Proteins > Cytoskeletal Proteins > Microtubules Neuroscience > Cell Type Marker > Neuron marker > Axon marker Neuroscience > Neurology process > Neurogenesis Signal Transduction > Cytoskeleton / ECM > Cytoskeleton > Microtubules > MT Associated Proteins > MAP Tags & Cell Markers > Cell Type Markers > Neuroscience Markers > Neuronal |
| 亚基 | 3 different light chains, LC1, LC2 and LC3, can associate with MAP1A and MAP1B proteins. LC1 interacts with the amino-terminal region of MAP1B. Interacts with ANP32A and TIAM2. Interacts with the tubulin tyrosine TTL. Interacts (via C-terminus) with GAN (via Kelch domains). Interacts (via N-terminus) with DAPK1. |
| 亚细胞定位 | Cytoplasm, cytoskeleton. Cytoplasm. Cell junction, synapse. Cell projection, dendritic spine. Note=Colocalizes with DAPK1 in the microtubules and cortical actin fibers. |
| 翻译后修饰 | LC1 is generated from MAP1B by proteolytic processing. S-nitrosylation at Cys-2464 enhances interaction with microtubules, and may act as an effector modification for neuronal nitric oxide synthase control of growth-cone size, growth-cone collapse and axon retraction. |
| 相似性 | Belongs to the MAP1 family. |
| 功能 | Microtubules are associated with a family of proteins called microtubule associated proteins (MAPs), which includes the protein t (tau) and a group of proteins referred to as MAP1, MAP2, MAP3, MAP4 and MAP5. MAP1B is the major microtubule associated protein in developing brain which changes its expression during development. In the newborn rat brain, it is a major component of microtubules but in the adult its level is ten fold lower. This change in the level of expression occurs simultaneously with neuronal maturation. MAP1B is the first MAP to appear in growing axons during development as it is present from the first emergence of the nascent axon from the cell body. |
| 保存条件 | Shipped at 4℃. Store at -20℃ for one year. Avoid repeated freeze/thaw cycles. |
| 注意事项 | This product as supplied is intended for research use only, not for use in human, therapeutic or diagnostic applications. |
| 背景资料 | Microtubules, the primary component of the cytoskeletal network, interact with proteins called microtubule-associated proteins (MAPs). The microtubule-associated proteins can be divided into two groups, structural and dynamic. The structural microtubule-associated proteins, MAP-1A, MAP-1B, MAP-2A, MAP-2B and MAP-2C, stimulate tubulin assembly, enhance microtubule stability and influence the spatial distribution of microtubules within cells. Both MAP-1 and, to a greater extent, MAP-2 have been implicated as agents of microtubule depolymerization by suppressing the dynamic instability of the microtubules. The suppression of microtubule dynamic instability by the MAP proteins is thought to be associated with phosphorylation of the MAPs. |
| 应用 | 推荐稀释比例 |
| {IHC-P} | {1:100-500} |
| {IHC-F} | {1:100-500} |
| {IF} | {1:100-500} |


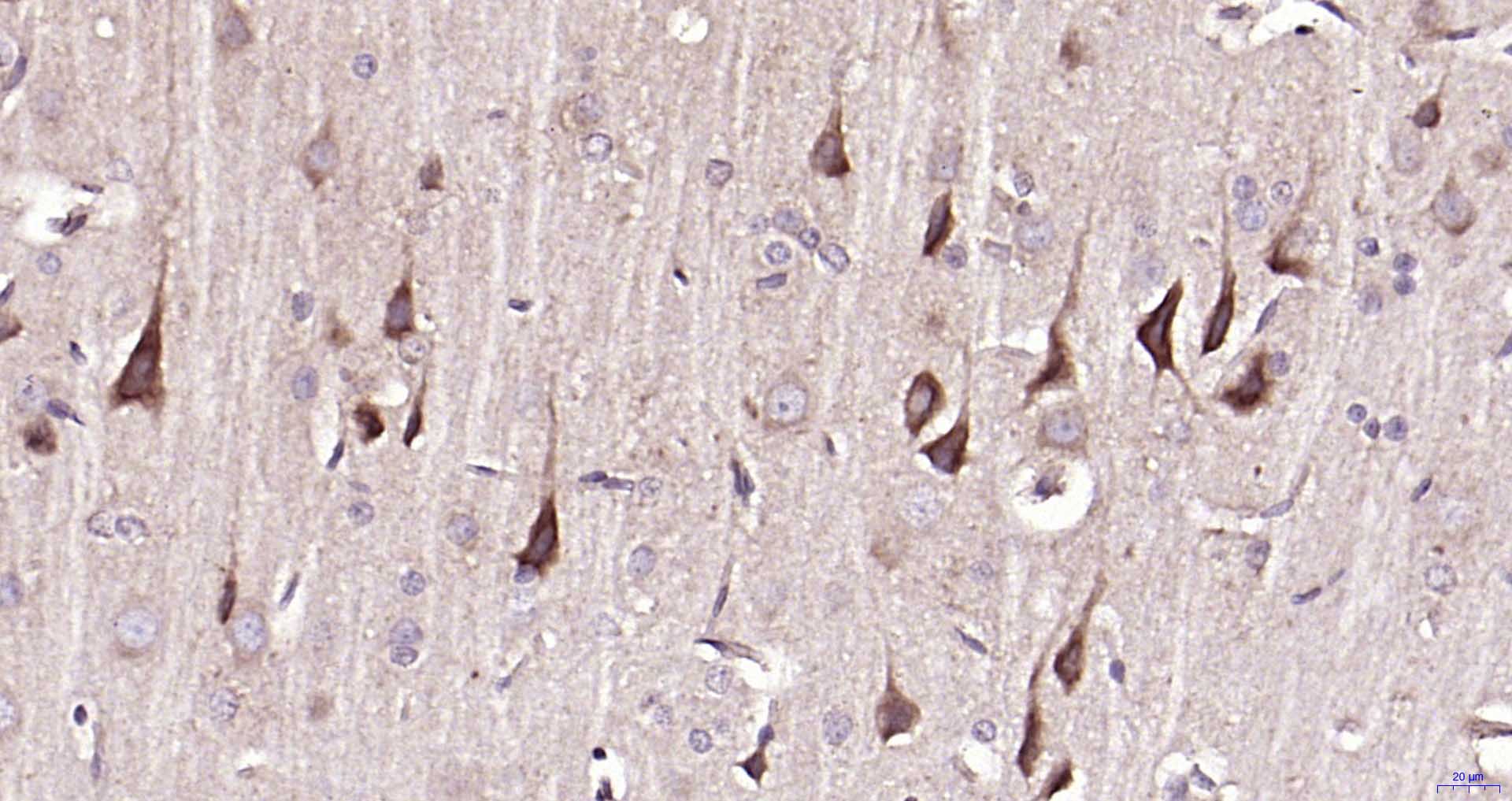
Paraformaldehyde-fixed, paraffin embedded Rat Cerebrum; Antigen retrieval by boiling in sodium citrate buffer (pH6.0) for 15 min; Antibody incubation with MAP1B Polyclonal Antibody, Unconjugated (bs-11028R) at 1:200 overnight at 4°C, followed by conjugation to the SP Kit (Rabbit, SP-0023) and DAB (C-0010) staining.

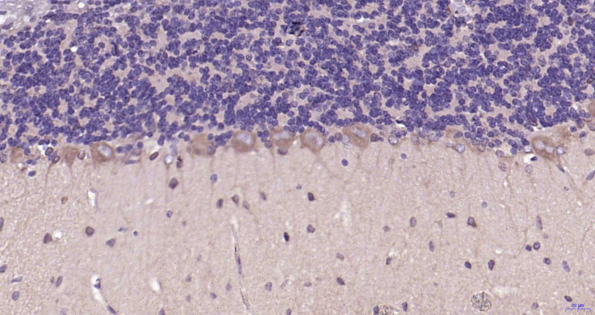
Paraformaldehyde-fixed, paraffin embedded Rat Cerebellum; Antigen retrieval by boiling in sodium citrate buffer (pH6.0) for 15 min; Antibody incubation with MAP1B Polyclonal Antibody, Unconjugated (bs-11028R) at 1:200 overnight at 4°C, followed by conjugation to the SP Kit (Rabbit, SP-0023) and DAB (C-0010) staining.
风险提示:丁香通仅作为第三方平台,为商家信息发布提供平台空间。用户咨询产品时请注意保护个人信息及财产安全,合理判断,谨慎选购商品,商家和用户对交易行为负责。对于医疗器械类产品,请先查证核实企业经营资质和医疗器械产品注册证情况。
技术资料暂无技术资料 索取技术资料
MAP1B Rabbit pAb(bs-11028R)-50ul/100ul/200ul
¥1180 - 2800





