相关产品推荐更多 >

PKC delta Rabbit pAb, BF555 conjugated(bs-23441R-BF555)-100ul
¥2980
SIRT1 Rabbit pAb, Cy3 conjugated(bs-2257R-Cy3)-100ul
¥2980
Histone binding protein/SLBP Rabbit pAb(bs-19791R)-50ul/100ul/200ul
¥1180
mouse CD16/32 Rat mAb, PE conjugated(bsm-30155A-PE)-25T/50T/100T
¥1080
MLF1 Interacting Protein Rabbit pAb(bs-5752R)-50ul/100ul/200ul
¥1180
万千商家帮你免费找货
0 人在求购买到急需产品
- 详细信息
- 文献和实验
- 技术资料
- 应用范围:
产品信息以Bioss网站为准
- 规格:
50ul/100ul/200ul
| 规格: | 50ul | 产品价格: | ¥1180.0 |
|---|---|---|---|
| 规格: | 100ul | 产品价格: | ¥1980.0 |
| 规格: | 200ul | 产品价格: | ¥2800.0 |
| 产品编号 | bs-20222R |
| 英文名称 | NR1D1 Rabbit pAb |
| 中文名称 | 细胞核受体Rev-Erbα抗体 |
| 英文别名 | EAR-1; EAR1; ERBA-RELATED 1; hRev; Nr1d1; NR1D1_HUMAN; Nuclear Receptor Rev-ErbA alpha; Nuclear receptor subfamily 1 group D member 1; Orphan nuclear receptor NR1D1; Rev erbAalpha; Rev erbalpha; Rev-erbA-alpha; Rev-ErbAalpha; REV-ERBalpha; THRA1; THRAL; Thyroid hormone receptor alpha-like; Thyroid hormone receptor, alpha like; V-erbA related protein EAR-1; V-erbA-related protein 1. |
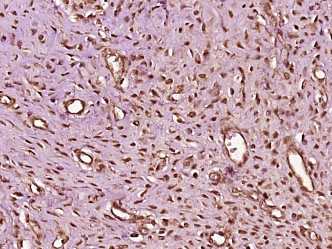
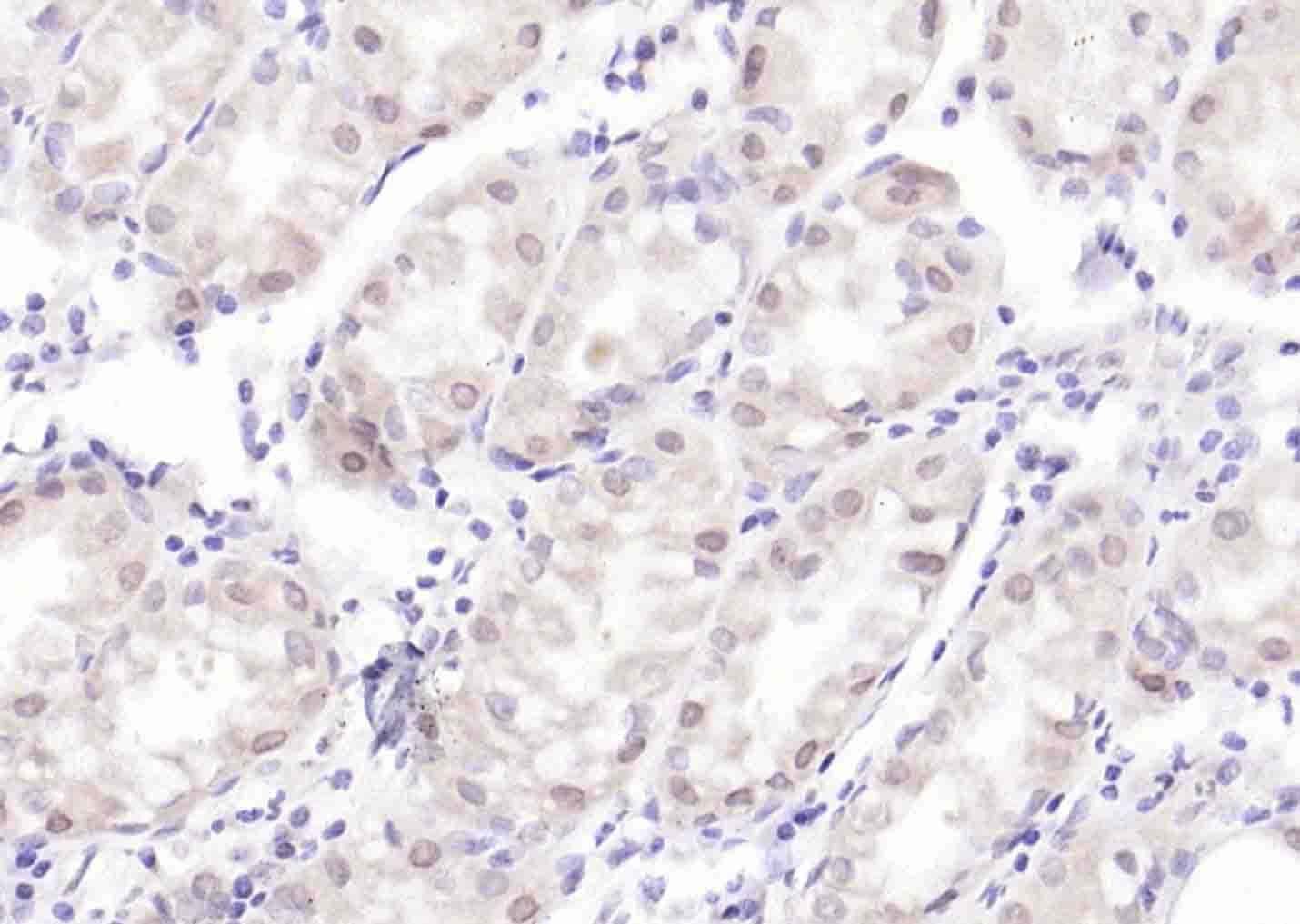
| 产品应用 | IHC-P=1:100-500, IHC-F=1:100-500, IF=1:100-500, Flow-Cyt=1ug/Test Not yet tested in other applications. |
| 交叉反应 | Human, Rat, Hela (Mouse, Dog, Horse, Rabbit) |
| 抗体来源 | Rabbit |
| 免疫原 | KLH conjugated synthetic peptide derived from human NR1D1 |
| 亚型 | IgG |
| 性状 | Liquid |
| 纯化方法 | affinity purified by Protein A |
| 克隆类型 | Polyclonal |
| 理论分子量 | 67 kDa |
| 浓度 | 1mg/ml |
| 储存液 | 0.01M TBS (pH7.4) with 1% BSA, 0.02% Proclin300 and 50% Glycerol. |
| 研究领域 | Epigenetics and Nuclear Signaling > Nuclear Signaling Pathways > Nuclear Receptors > Orphan Nuclear Receptors Neuroscience > Endocrine system > Thyroid axis Signal Transduction > Growth Factors/Hormones > Hormones |
| 亚基 | Interacts with C1D and NR2E3. Interacts with SP1. |
| 亚细胞定位 | Nucleus (Potential). |
| 组织特异性 | Expressed in all tissues and cell lines examined. Expressed at high levels in some squamous carcinoma cell lines. |
| 相似性 | Belongs to the nuclear hormone receptor family. NR1 subfamily. Contains 1 nuclear receptor DNA-binding domain. |
| 功能 | Functions as a constitutive transcriptional repressor. In collaboration with SP1, activates GJA1 transcription. Possible receptor for triiodothyronine. |
| 保存条件 | Shipped at 4℃. Store at -20℃ for one year. Avoid repeated freeze/thaw cycles. |
| 注意事项 | This product as supplied is intended for research use only, not for use in human, therapeutic or diagnostic applications. |
| 背景资料 | NR1D1, a NR1 Thyroid Hormone-Like Receptor, is encoded by the same genomic locus as, but transcribed from the opposite strand of, Thyroid Hormone Receptor Alpha (TR Alpha). NR1D1 is a target of Nuclear Receptor ROR Alpha and a transcription regulator that has been shown to affect myocyte differentiation, adipogenesis, and lipoprotein metabolism. Mice lacking NR1D1 show abnormal postnatal cerebellar development. NR1D1 expression has been documented in human skeletal muscle and a variety of mouse and rat tissues. ESTs have been isolated from human tissue libraries, including cancerous adrenal, blood, brain, breast, colon, duodenum, fetus, head/neck, kidney, lung, skeletal muscle, skin, synovium, uterus, normal brain, breast, colon, eye, heart, pancreas, pituitary, prostate, skeletal muscle, skin, testis and thyroid. |
| 应用 | 推荐稀释比例 |
| {IHC-P} | {1:100-500} |
| {IHC-F} | {1:100-500} |
| {IF} | {1:100-500} |
| {Flow-Cyt} | {1ug/Test} |




Primary Antibody (green line): Rabbit Anti-NR1D1 antibody (bs-20222R)
Dilution:1ug/Test;
Secondary Antibody(white blue line): Goat anti-rabbit IgG-AF488
Dilution: 0.5ug/Test.
Isotype control(orange line): Normal Rabbit IgG
Protocol
The cells were fixed with 4% PFA (10min at room temperature)and then permeabilized with 90% ice-cold methanol for 20 min at -20℃, The cells were then incubated in 5%BSA to block non-specific protein-protein interactions for 30 min at room temperature .Cells stained with Primary Antibody for 30 min at room temperature. The secondary antibody used for 40 min at room temperature. Acquisition of 20,000 events was performed.
风险提示:丁香通仅作为第三方平台,为商家信息发布提供平台空间。用户咨询产品时请注意保护个人信息及财产安全,合理判断,谨慎选购商品,商家和用户对交易行为负责。对于医疗器械类产品,请先查证核实企业经营资质和医疗器械产品注册证情况。
文献和实验= NAL), appears to form upon oxidative cyclization of the nonfluorescent 2:1 lysine-HNE Michael adduct-Schiff base cross-link (Scheme 1). Polyclonal antibody (PAb) to the NAL-HNE fluorophore was raised in rabbit and found to be highly specific
GE Healthcare Benzamidine Sepharose™ 6B is p-aminobenzamidine covalently attached to Sepharose 6B by the epoxy coupling method. p-Aminobenzamidine (PAB), is a synthetic inhibitor of trypsin-like serine protease. Trypsin and trypsin
Nucleic Acid Programmable Protein Arrays: Versatile Tools for Array‐Based Functional Protein Studies
.g., Sigma) 50 mg/ml bis‐sulfosuccinimdylsuberate (BS3 ;Pierce, cat. no. PI 21580) in dimethylsulfoxide (DMSO) 5 mg/ml
技术资料暂无技术资料 索取技术资料






