相关产品推荐更多 >

phospho-Bcl-xL (Thr47) Rabbit pAb, AP conjugated(bs-12579R-AP)-100ul
¥2980
Histone H3 (mono methyl K9) Mouse mAb, AP conjugated(bsm-33116M-AP)-100ul
¥2980
ZNF385B Rabbit pAb, Biotin conjugated(bs-12809R-Bio)-100ul
¥2980
H2AX (Ubiquityl Lys119) Rabbit pAb, BF405 conjugated(bs-8571R-BF405)-100ul
¥2980
EGF Rabbit pAb, BF350 conjugated(bs-2008R-BF350)-100ul
¥2980
万千商家帮你免费找货
0 人在求购买到急需产品
- 详细信息
- 技术资料
- 应用范围:
产品信息以Bioss网站为准
- 规格:
50ul/100ul/200ul
| 规格: | 50ul | 产品价格: | ¥1180.0 |
|---|---|---|---|
| 规格: | 100ul | 产品价格: | ¥1980.0 |
| 规格: | 200ul | 产品价格: | ¥2800.0 |
| 产品编号 | bs-7539R |
| 英文名称 | AT2A1/SERCA1 ATPase Rabbit pAb |
| 中文名称 | 肌浆网钙ATP酶1/内质网钙ATP酶1抗体 |
| 英文别名 | fast twitch skeletal muscle isoform; AT2A1_HUMAN; ATP2A; ATP2A1; ATPase Ca++transporting cardiac muscle fast twitch 1; ATPase Ca++transporting fast twitch 1; ATPase, Ca(2+)-transporting fast twitch 1; Calcium pump 1; Calcium transporting ATPase sarcoplasmic reticulum type fast twitch skeletal muscle isoform; Calcium-transporting ATPase sarcoplasmic reticulum type; EC 3.6.3.8; Endoplasmic reticulum class 1/2 Ca(2+) ATPase; Fast skeletal muscle SR calcium ATPase; OTTHUMP00000162561; OTTHUMP00000162562; Sarcoendoplasmic reticulum calcium ATPase; Sarcoplasmic reticulum Ca(2+)-ATPase 1; Ca-ATPpase; Sarcoplasmic/endoplasmic reticulum calcium ATPase 1; SERCA 1; SERCA1; SERCA1 truncated isoform, included; SR Ca(2+) ATPase 1; SR Ca(2+)-ATPase 1. |
| 产品应用 | IHC-P=1:100-500, IHC-F=1:100-500, IF=1:100-500 Not yet tested in other applications. |
| 交叉反应 | Human, Mouse, Rat (Dog, Cow, Horse, Rabbit, Sheep) |
| 抗体来源 | Rabbit |
| 免疫原 | KLH conjugated synthetic peptide derived from human SERCA1 ATPase |
| 亚型 | IgG |
| 性状 | Liquid |
| 纯化方法 | affinity purified by Protein A |
| 克隆类型 | Polyclonal |
| 理论分子量 | 110 kDa |
| 浓度 | 1mg/ml |
| 储存液 | 0.01M TBS (pH7.4) with 1% BSA, 0.02% Proclin300 and 50% Glycerol. |
| 亚基 | Associated with sarcolipin (SLN) and phospholamban (PLN) (By similarity). |
| 亚细胞定位 | Endoplasmic reticulum membrane; Multi-pass membrane protein. Sarcoplasmic reticulum membrane; Multi-pass membrane protein. |
| 组织特异性 | Skeletal muscle, fast twitch muscle (type II) fibers. |
| 相似性 | Belongs to the cation transport ATPase (P-type) (TC 3.A.3) family. Type IIA subfamily. |
| 功能 | This magnesium-dependent enzyme catalyzes the hydrolysis of ATP coupled with the translocation of calcium from the cytosol to the sarcoplasmic reticulum lumen. Contributes to calcium sequestration involved in muscular excitation/contraction. |
| 保存条件 | Shipped at 4℃. Store at -20℃ for one year. Avoid repeated freeze/thaw cycles. |
| 注意事项 | This product as supplied is intended for research use only, not for use in human, therapeutic or diagnostic applications. |
| 背景资料 | This magnesium-dependent enzyme catalyzes the hydrolysis of ATP coupled with the translocation of calcium from the cytosol to the sarcoplasmic reticulum lumen. Contributes to calcium sequestration involved in muscular excitation/contraction. |
| 应用 | 推荐稀释比例 |
| {IHC-P} | {1:100-500} |
| {IHC-F} | {1:100-500} |
| {IF} | {1:100-500} |

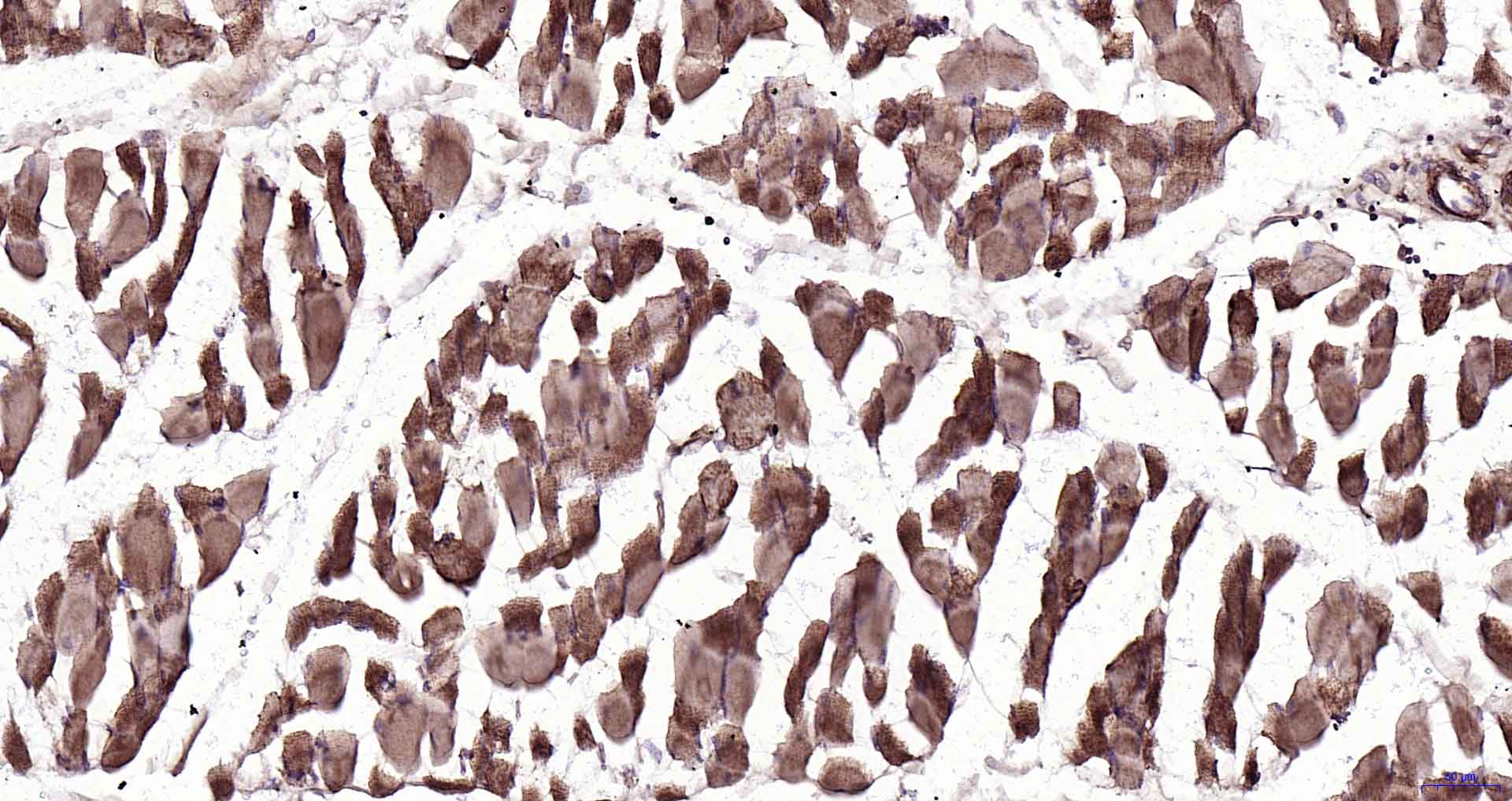
Paraformaldehyde-fixed, paraffin embedded (rat heart tissue); Antigen retrieval by boiling in sodium citrate buffer (pH6.0) for 15min; Block endogenous peroxidase by 3% hydrogen peroxide for 20 minutes; Blocking buffer (normal goat serum) at 37°C for 30min; Antibody incubation with (AT2A1) Polyclonal Antibody, Unconjugated (bs-7539R) at 1:400 overnight at 4°C, followed by a conjugated secondary (sp-0023) for 20 minutes and DAB staining.

Paraformaldehyde-fixed, paraffin embedded Human Skeletal muscle; Antigen retrieval by boiling in sodium citrate buffer (pH6.0) for 15 min; Antibody incubation with AT2A1 Polyclonal Antibody, Unconjugated (bs-7539R) at 1:200 overnight at 4°C, followed by conjugation to the SP Kit (Rabbit, SP-0023) and DAB (C-0010) staining.

Paraformaldehyde-fixed, paraffin embedded Mouse Skeletal muscle; Antigen retrieval by boiling in sodium citrate buffer (pH6.0) for 15 min; Antibody incubation with AT2A1 Polyclonal Antibody, Unconjugated (bs-7539R) at 1:200 overnight at 4°C, followed by conjugation to the SP Kit (Rabbit, SP-0023) and DAB (C-0010) staining.

Paraformaldehyde-fixed, paraffin embedded Human Heart; Antigen retrieval by boiling in sodium citrate buffer (pH6.0) for 15 min; Antibody incubation with AT2A1 Polyclonal Antibody, Unconjugated (bs-7539R) at 1:200 overnight at 4°C, followed by conjugation to the SP Kit (Rabbit, SP-0023) and DAB (C-0010) staining.
风险提示:丁香通仅作为第三方平台,为商家信息发布提供平台空间。用户咨询产品时请注意保护个人信息及财产安全,合理判断,谨慎选购商品,商家和用户对交易行为负责。对于医疗器械类产品,请先查证核实企业经营资质和医疗器械产品注册证情况。
技术资料暂无技术资料 索取技术资料
AT2A1/SERCA1 ATPase Rabbit pAb(bs-7539R)-50ul/100ul/200ul
¥1180 - 2800






