Sample:
HepG2(Human) Cell Lysate at 30 ug
Primary: Anti- MGAT5 (bs-5841R) at 1/1000 dilution
Secondary: IRDye800CW Goat Anti-Rabbit IgG at 1/20000 dilution
Predicted band size: 85 kD
Observed band size: 85 kD
相关产品推荐更多 >

RAR alpha Rabbit pAb, HRP conjugated(bs-22843R-HRP)-100ul
¥2980
phospho-EDG1 (Thr236) Rabbit pAb(bs-14504R)-50ul/100ul/200ul
¥1180
Nmnat1 Rabbit pAb, Biotin conjugated(bs-11738R-Bio)-100ul
¥2980
CCDC106 Rabbit pAb(bs-5711R)-50ul/100ul/200ul
¥1180
Thioredoxin Rabbit pAb, Cy3 conjugated(bs-0458R-Cy3)-100ul
¥2980
万千商家帮你免费找货
0 人在求购买到急需产品
- 详细信息
- 文献和实验
- 技术资料
- 应用范围:
产品信息以Bioss网站为准
- 规格:
50ul/100ul/200ul
| 规格: | 50ul | 产品价格: | ¥1180.0 |
|---|---|---|---|
| 规格: | 100ul | 产品价格: | ¥1980.0 |
| 规格: | 200ul | 产品价格: | ¥2800.0 |
| 产品编号 | bs-5841R |
| 英文名称 | MGAT5 Rabbit pAb |
| 中文名称 | 糖蛋白GNTVA抗体 |
| 英文别名 | 6-mannosylglycoprotein 6-beta-N-acetylglucosaminyltransferase A; 6-N-acetylglucosaminyltransferase; alpha 1, 3(6) mannosylglycoprotein; alpha 1, 6 mannosylglycoprotein 6 beta N acetylglucosaminyltransferase; alpha mannoside beta 1, 6 N acetylglucosaminyltransferase; alpha mannoside beta 1, 6 N acetylglucosaminyltransferase; alpha-mannoside beta-1, 6-N-acetylglucosaminyltransferase; alpha-1; alpha-1, 3(6)-mannosylglycoprotein; alpha-1, 6-mannosylglycoprotein 6-beta-N-acetylglucosaminyltransferase; alpha-mannoside beta-1; alpha-mannoside beta-1, 6-N-acetylglucosaminyltransferase; beta 1, 6 N acetyl glucosaminyltransferase; beta-1, 6-N-acetyl-glucosaminyltransferase; GGNT5; GlcNAc T V; GlcNAc-T V; GNT V; GNT VA; GNT-V; GNTV; GNTVA; Mannoside acetylglucosaminyltransferase 5; Mannosyl(alpha 1, 6) glycoprotein beta 1, 6 N acetyl glucosaminyltransferase; mannosyl(alpha-1, 6-)-glycoprotein beta-1, 6-N-acetyl-glucosaminyltransferase; Mgat5; MGT5A_HUMAN; N acetylglucosaminyl transferase V; N acetylglucosaminyltransferase V mannosyl(alpha 1, 6) glycoprotein; N-acetylglucosaminyl-transferase V; N-acetylglucosaminyltransferase V. |
| 产品应用 | WB=1:500-2000, IHC-P=1:100-500, IHC-F=1:100-500, IF=1:100-500 Not yet tested in other applications. |
| 交叉反应 | Human, Mouse, Rat, 肾, 肾, 肾, 肾, 肾, 肾, 肾 (Chicken, Dog, Rabbit) |
| 抗体来源 | Rabbit |
| 免疫原 | KLH conjugated synthetic peptide derived from human MGAT5 |
| 亚型 | IgG |
| 性状 | Liquid |
| 纯化方法 | affinity purified by Protein A |
| 克隆类型 | Polyclonal |
| 理论分子量 | 85 kDa |
| 浓度 | 1mg/ml |
| 储存液 | 0.01M TBS (pH7.4) with 1% BSA, 0.02% Proclin300 and 50% Glycerol. |
| 研究领域 | Cancer > Invasion/microenvironment > ECM > Cell adhesion Signal Transduction > Cytoskeleton / ECM > Cell Adhesion > Tight Junctions |
| 亚细胞定位 | Golgi apparatus membrane; Single-pass type II membrane protein. |
| 相似性 | Belongs to the glycosyltransferase 18 family. |
| 功能 | Catalyzes the addition of N-acetylglucosamine in beta 1-6 linkage to the alpha-linked mannose of biantennary N-linked oligosaccharides. It is one of the most important enzymes involved in the regulation of the biosynthesis of glycoprotein oligosaccharides. |
| 保存条件 | Shipped at 4℃. Store at -20℃ for one year. Avoid repeated freeze/thaw cycles. |
| 注意事项 | This product as supplied is intended for research use only, not for use in human, therapeutic or diagnostic applications. |
| 背景资料 | MGAT5 is a mannosyl (alpha-1,6-)-glycoprotein beta-1,6-N-acetyl-glucosaminyltransferase, a glycosyltransferase involved in the synthesis of protein-bound and lipid-bound oligosaccharides. Alterations of the oligosaccharides on cell surface glycoproteins cause significant changes in the adhesive or migratory behavior of a cell. Increase in the encoded protein's activity may correlate with the progression of invasive malignancies. |
| 应用 | 推荐稀释比例 |
| {WB} | {1:500-2000} |
| {IHC-P} | {1:100-500} |
| {IHC-F} | {1:100-500} |
| {IF} | {1:100-500} |


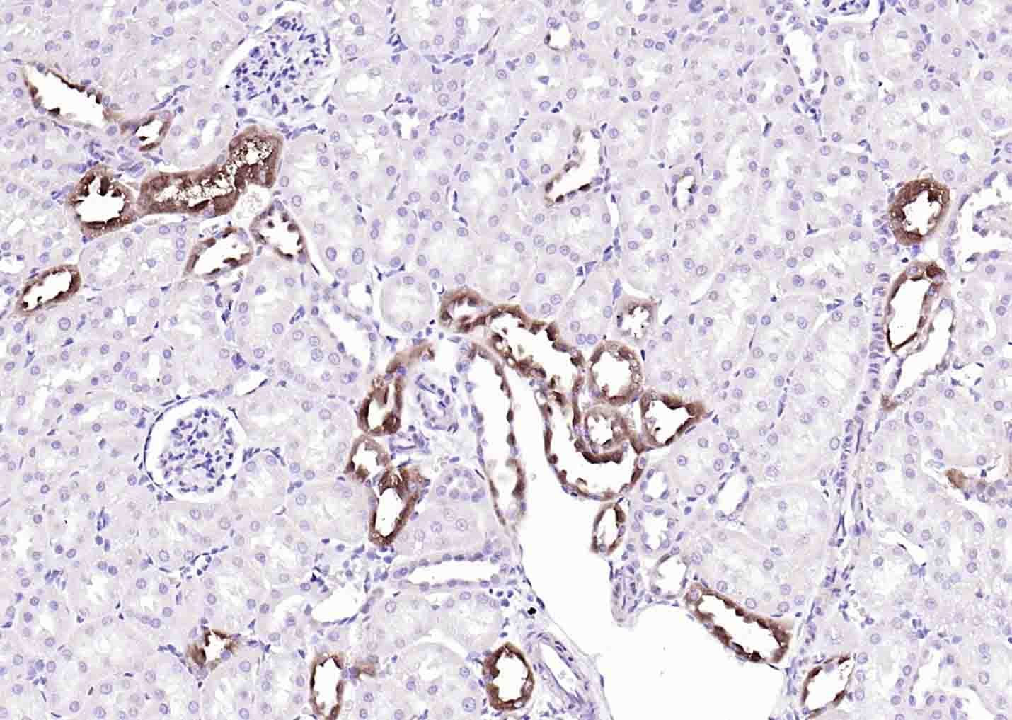
Paraformaldehyde-fixed, paraffin embedded (rat kidney); Antigen retrieval by boiling in sodium citrate buffer (pH6.0) for 15min; Block endogenous peroxidase by 3% hydrogen peroxide for 20 minutes; Blocking buffer (normal goat serum) at 37°C for 30min; Incubation with (MGAT5 ) Polyclonal Antibody, Unconjugated (bs-5841R) at 1:200 overnight at 4°C, followed by operating according to SP Kit(Rabbit) (sp-0023) instructionsand DAB staining.

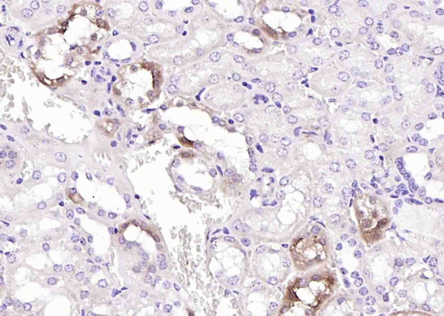
Paraformaldehyde-fixed, paraffin embedded (mouse kidney); Antigen retrieval by boiling in sodium citrate buffer (pH6.0) for 15min; Block endogenous peroxidase by 3% hydrogen peroxide for 20 minutes; Blocking buffer (normal goat serum) at 37°C for 30min; Incubation with (MGAT5 ) Polyclonal Antibody, Unconjugated (bs-5841R) at 1:200 overnight at 4°C, followed by operating according to SP Kit(Rabbit) (sp-0023) instructionsand DAB staining.
风险提示:丁香通仅作为第三方平台,为商家信息发布提供平台空间。用户咨询产品时请注意保护个人信息及财产安全,合理判断,谨慎选购商品,商家和用户对交易行为负责。对于医疗器械类产品,请先查证核实企业经营资质和医疗器械产品注册证情况。
文献和实验该产品被引用文献
[IF={{ 3.375 }}] {Yang P et al. Adoptive transfer of polarized M2c macrophages ameliorates acute rejection in rat liver transplantation. Am J Transl Res. 2020 Jun 15;12(6):2614-2626.} {WB} {Rat}
技术资料暂无技术资料 索取技术资料
文献支持
MGAT5 Rabbit pAb(bs-5841R)-50ul/100ul/200ul
¥1180 - 2800





