相关产品推荐更多 >

GAB2 Rabbit pAb(bs-2885R)-50ul/100ul/200ul
¥1180
Bad Rabbit pAb, Cy7 conjugated(bs-1304R-Cy7)-100ul
¥2980
Glutaredoxin 2 Rabbit pAb, PE conjugated(bs-13394R-PE)-100ul
¥2980
Anti-LILRB1 & LILRB2 Reference Antibody (Ngm707 Biosimilar)(BIO0990SM)-100ug/1mg/5mg
¥2160
phospho-AKT (Thr308) Recombinant Rabbit mAb(bsm-60645R)-50ul/100ul/25ul
¥800
万千商家帮你免费找货
0 人在求购买到急需产品
- 详细信息
- 文献和实验
- 技术资料
- 应用范围:
产品信息以Bioss网站为准
- 规格:
50ul/100ul/200ul
| 规格: | 50ul | 产品价格: | ¥1180.0 |
|---|---|---|---|
| 规格: | 100ul | 产品价格: | ¥1980.0 |
| 规格: | 200ul | 产品价格: | ¥2800.0 |
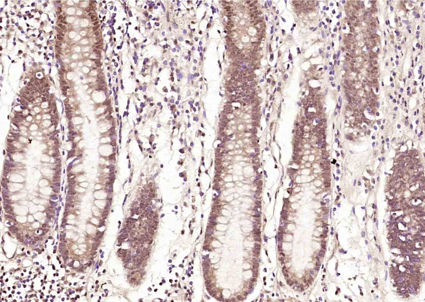
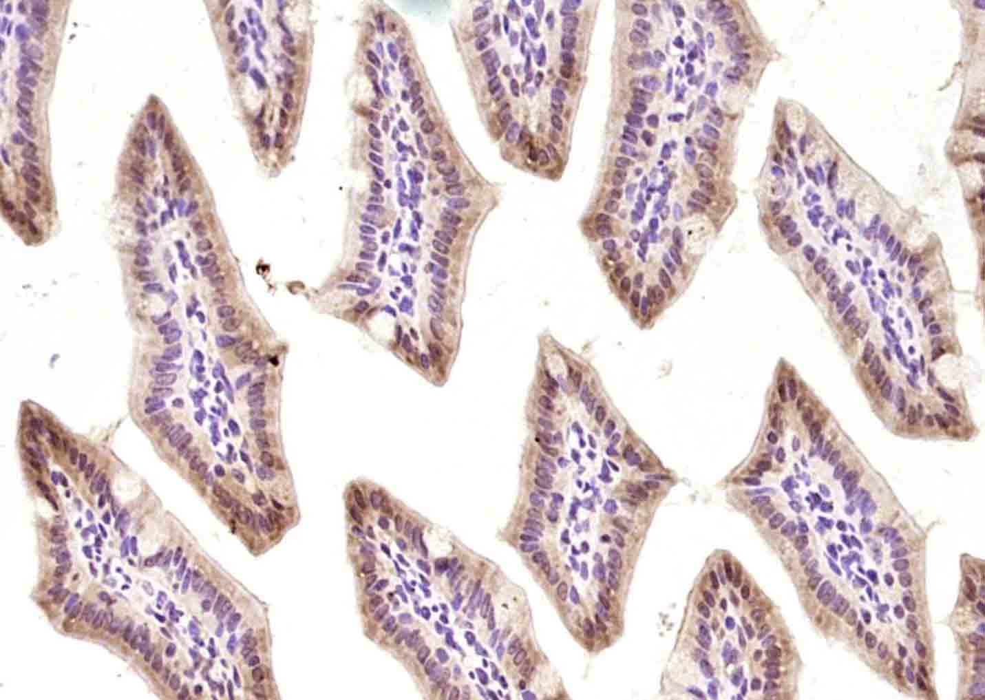
| 产品编号 | bs-4498R |
| 英文名称 | PER-3 Rabbit pAb |
| 中文名称 | 生物钟蛋白3抗体 |
| 英文别名 | 2810049O06Rik; Cell growth inhibiting gene 13 protein; Cell growth-inhibiting gene 13 protein; Circadian clock protein PERIOD 3; GIG13; gPER3; HGNC:8847; hPER3; mPer3; Per3; PER3_HUMAN; Period circadian protein homolog 3; Period homolog 3(Drosophila); Period homolog 3; Period homolog 3, Drosophila; Period3. |
| 产品应用 | IHC-P=1:100-500, IHC-F=1:100-500, IF=1:100-500 Not yet tested in other applications. |
| 交叉反应 | Human, Mouse (Rat) |
| 抗体来源 | Rabbit |
| 免疫原 | KLH conjugated synthetic peptide derived from human PER-3 |
| 亚型 | IgG |
| 性状 | Liquid |
| 纯化方法 | affinity purified by Protein A |
| 克隆类型 | Polyclonal |
| 理论分子量 | 132 kDa |
| 浓度 | 1mg/ml |
| 储存液 | 0.01M TBS (pH7.4) with 1% BSA, 0.02% Proclin300 and 50% Glycerol. |
| 研究领域 | Cardiovascular > Heart > Cardiac metabolism Cardiovascular > Heart > Cardiogenesis > Transcription factors/regulators Epigenetics and Nuclear Signaling > Transcription > Other factors Epigenetics and Nuclear Signaling > Transcription > Transcription Factors |
| 亚细胞定位 | Cytoplasm. Nucleus. Mainly cytoplasmic. Translocates to the nucleus through binding PER1, PER2, CRY1 or CRY2, but not TIMELESS. |
| 翻译后修饰 | Phosphorylation appears to require association with PER1 and translocation to the nucleus. Ubiquitinated. |
| 相似性 | Contains 1 PAC (PAS-associated C-terminal) domain. Contains 2 PAS (PER-ARNT-SIM) domains. |
| 功能 | Component of the circadian clock mechanism which is essential for generating circadian rhythms. Can bind heme. |
| 保存条件 | Shipped at 4℃. Store at -20℃ for one year. Avoid repeated freeze/thaw cycles. |
| 注意事项 | This product as supplied is intended for research use only, not for use in human, therapeutic or diagnostic applications. |
| 背景资料 | This gene is a member of the Period family of genes and is expressed in a circadian pattern in the suprachiasmatic nucleus, the primary circadian pacemaker in the mammalian brain. Genes in this family encode components of the circadian rhythms of locomotor activity, metabolism, and behavior. Circadian expression in the suprachiasmatic nucleus continues in constant darkness, and a shift in the light/dark cycle evokes a proportional shift of gene expression in the suprachiasmatic nucleus. The specific function of this gene is not yet known. [provided by RefSeq, Jul 2008] |
| 应用 | 推荐稀释比例 |
| {IHC-P} | {1:100-500} |
| {IHC-F} | {1:100-500} |
| {IF} | {1:100-500} |


风险提示:丁香通仅作为第三方平台,为商家信息发布提供平台空间。用户咨询产品时请注意保护个人信息及财产安全,合理判断,谨慎选购商品,商家和用户对交易行为负责。对于医疗器械类产品,请先查证核实企业经营资质和医疗器械产品注册证情况。
文献和实验= NAL), appears to form upon oxidative cyclization of the nonfluorescent 2:1 lysine-HNE Michael adduct-Schiff base cross-link (Scheme 1). Polyclonal antibody (PAb) to the NAL-HNE fluorophore was raised in rabbit and found to be highly specific
GE Healthcare Benzamidine Sepharose™ 6B is p-aminobenzamidine covalently attached to Sepharose 6B by the epoxy coupling method. p-Aminobenzamidine (PAB), is a synthetic inhibitor of trypsin-like serine protease. Trypsin and trypsin
Nucleic Acid Programmable Protein Arrays: Versatile Tools for Array‐Based Functional Protein Studies
.g., Sigma) 50 mg/ml bis‐sulfosuccinimdylsuberate (BS3 ;Pierce, cat. no. PI 21580) in dimethylsulfoxide (DMSO) 5 mg/ml
技术资料暂无技术资料 索取技术资料






