相关产品推荐更多 >

MAGEA9 Rabbit pAb(bs-18620R)-50ul/100ul/200ul
¥1180
E cadherin Rabbit pAb, Biotin conjugated(bs-10009R-Bio)-100ul
¥2980
PHGDH Recombinant Mouse mAb(bsm-60570M)-50ul/100ul/25ul
¥800
EYA2 Rabbit pAb, Biotin conjugated(bs-13125R-Bio)-100ul
¥2980
CD69 Rabbit pAb, APC-Cy7 conjugated(bs-2499R-APC-Cy7)-100ul
¥2980
万千商家帮你免费找货
0 人在求购买到急需产品
- 详细信息
- 文献和实验
- 技术资料
- 应用范围:
产品信息以Bioss网站为准
- 规格:
50ul/100ul/200ul
| 规格: | 50ul | 产品价格: | ¥1180.0 |
|---|---|---|---|
| 规格: | 100ul | 产品价格: | ¥1980.0 |
| 规格: | 200ul | 产品价格: | ¥2800.0 |
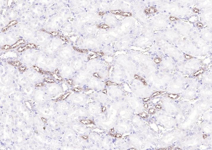
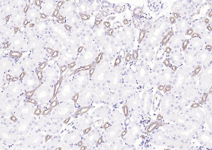
| 产品编号 | bs-2189R |
| 英文名称 | UMOD Rabbit pAb |
| 中文名称 | 尿调节蛋白抗体 |
| 英文别名 | Uromucoid; ADMCKD2; FJHN; HNFJ; HNFJ1; MCKD2; medullary cystic kidney disease 2(autosomal dominant); Tamm Horsfall glycoprotein; Tamm Horsfall urinary glycoprotein; Tamm-Horsfall urinary glycoprotein; THGP; THP; Umod; UROM_MOUSE; uromodulin(uromucoid, Tamm-Horsfall glycoprotein); Uromodulin; Uromodulin, secreted form. |
| 产品应用 | WB=1:500-2000, IHC-P=1:400-800, IHC-F=1:400-800, IF=1:100-500 Not yet tested in other applications. |
| 交叉反应 | Human, Mouse, Rat |
| 抗体来源 | Rabbit |
| 免疫原 | KLH conjugated synthetic peptide derived from mouse UMOD |
| 亚型 | IgG |
| 性状 | Liquid |
| 纯化方法 | affinity purified by Protein A |
| 克隆类型 | Polyclonal |
| 理论分子量 | 61/65 kDa |
| 浓度 | 1mg/ml |
| 储存液 | 0.01M TBS (pH7.4) with 1% BSA, 0.02% Proclin300 and 50% Glycerol. |
| 研究领域 | Cell Biology > Other Antibodies > Other Antibodies |
| 亚细胞定位 | Apical cell membrane; Lipid-anchor, GPI-anchor (By similarity). Basolateral cell membrane; Lipid-anchor, GPI-anchor (By similarity). Cell projection, cilium membrane (By similarity). Note=Only a small fraction is sorts to the basolateral pole of tubular epithelial cells compared to apical localization (By similarity). Uromodulin, secreted form: Secreted (By similarity). |
| 组织特异性 | Synthesized exclusively in the kidney.Expressed exclusively by epithelial cells of the thick ascendinglimb of Henle's loop (TALH) and of distal convoluted tubule lumen.Most abundant protein in normal urine. |
| 翻译后修饰 | N-glycosylated. |
| 相似性 | Contains 3 EGF-like domains.
Contains 1 ZP domain. |
| 功能 | Uromodulin: Functions in biogenesis and organization of the apical membrane of epithelial cells of the thick ascending limb of Henle's loop (TALH), where it promotes formation of complex filamentous gel-like structure providing the water barrier permeability. May serve as a receptor for binding and endocytosis for cytokines (IL-1, IL-2) and TNF. Facilitates neutrophil migration across renal epithelial (By similarity). Uromodulin, secreted form: Secreted into urine after proteolytically cleaveage. Into the urine, may contribute to colloid osmotic pressure, retards passage of positively charged electrolytes, prevents urinary tract infection and modulates formation of supersaturated salts and their crystals. |
| 保存条件 | Shipped at 4℃. Store at -20℃ for one year. Avoid repeated freeze/thaw cycles. |
| 注意事项 | This product as supplied is intended for research use only, not for use in human, therapeutic or diagnostic applications. |
| 背景资料 | The protein encoded by this gene is the most abundant protein in mammalian urine under physiological conditions. Its excretion in urine follows proteolytic cleavage of the ectodomain of its glycosyl phosphatidylinosital-anchored counterpart that is situated on the luminal cell surface of the loop of Henle. This protein may act as a constitutive inhibitor of calcium crystallization in renal fluids. Excretion of this protein in urine may provide defense against urinary tract infections caused by uropathogenic bacteria. Defects in this gene are associated with the renal disorders medullary cystic kidney disease-2 (MCKD2), glomerulocystic kidney disease with hyperuricemia and isosthenuria (GCKDHI), and familial juvenile hyperuricemic nephropathy (FJHN). Alternative splicing of this gene results in multiple transcript variants. [provided by RefSeq, Jul 2013]. |
| 应用 | 推荐稀释比例 |
| {WB} | {1:500-2000} |
| {IHC-P} | {1:400-800} |
| {IHC-F} | {1:400-800} |
| {IF} | {1:100-500} |

Lane 1: Recombinant human UMOD protein, N-His
Primary: Anti-UMOD (bs-2189R) at 1/1000 dilution
Secondary: IRDye800CW Goat Anti-Rabbit IgG at 1/20000 dilution
Predicted band size: 69 kDa
Observed band size: 37 kDa


风险提示:丁香通仅作为第三方平台,为商家信息发布提供平台空间。用户咨询产品时请注意保护个人信息及财产安全,合理判断,谨慎选购商品,商家和用户对交易行为负责。对于医疗器械类产品,请先查证核实企业经营资质和医疗器械产品注册证情况。
文献和实验[IF={{ 5.4 }}] {Francesca Giannuzzi. et al.Unveiling spontaneous renal tubule-like structures from human adult renal progenitor cell spheroids derived from urine..Stem Cells Translational Medicine.2025 Mar 18;14(3):szaf002.} {IF} {Human}
[IF={{ 1.679 }}] {Kim et al. Blocking junctional adhesion molecule C promotes the recovery of cisplatin-induced acute kidney injury. (2017) Korean.J.Intern.Me. 32:1053-1061} {FCM} {Mouse}
= NAL), appears to form upon oxidative cyclization of the nonfluorescent 2:1 lysine-HNE Michael adduct-Schiff base cross-link (Scheme 1). Polyclonal antibody (PAb) to the NAL-HNE fluorophore was raised in rabbit and found to be highly specific
GE Healthcare Benzamidine Sepharose™ 6B is p-aminobenzamidine covalently attached to Sepharose 6B by the epoxy coupling method. p-Aminobenzamidine (PAB), is a synthetic inhibitor of trypsin-like serine protease. Trypsin and trypsin
Nucleic Acid Programmable Protein Arrays: Versatile Tools for Array‐Based Functional Protein Studies
.g., Sigma) 50 mg/ml bis‐sulfosuccinimdylsuberate (BS3 ;Pierce, cat. no. PI 21580) in dimethylsulfoxide (DMSO) 5 mg/ml
技术资料暂无技术资料 索取技术资料





