相关产品推荐更多 >

NPTII/Neomycin Phosphotransferase 2 Rabbit pAb, PE conjugated(bs-19203R-PE)-100ul
¥2980
phospho-PAK1 (Thr212) Rabbit pAb(bs-5542R)-50ul/100ul/200ul
¥1180
HOMER3 Rabbit pAb(bs-5391R)-50ul/100ul/200ul
¥1180
beta I Tubulin Mouse mAb, PE-Cy5 conjugated(bsm-33041M-PE-Cy5)-100ul
¥2980
IFNB1 Rabbit pAb, Biotin conjugated(bs-23731R-Bio)-100ul
¥2980
万千商家帮你免费找货
0 人在求购买到急需产品
- 详细信息
- 询价记录
- 文献和实验
- 技术资料
- 应用范围:
产品信息以Bioss网站为准
- 规格:
50ul/100ul/200ul
| 规格: | 50ul | 产品价格: | ¥1180.0 |
|---|---|---|---|
| 规格: | 100ul | 产品价格: | ¥1980.0 |
| 规格: | 200ul | 产品价格: | ¥2800.0 |
| 产品编号 | bs-1310R |
| 英文名称 | Integrin Alpha V Rabbit pAb |
| 中文名称 | 整合素整合素αV(CD51)抗体 |
| 英文别名 | CD51; Integrin alpha five; Integrin alpha-V light chain; ITGAV; Msk8;Vitronectin receptor subunit alpha; VNRA; VTNR. |
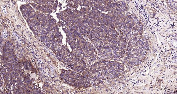
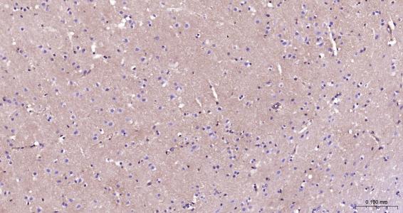
| 产品应用 | WB=1:500-2000, IHC-P=1:100-500, IHC-F=1:100-500, IF=1:100-500, IP=1:20-50 Not yet tested in other applications. |
| 交叉反应 | Human, Mouse, Rat |
| 抗体来源 | Rabbit |
| 免疫原 | KLH conjugated synthetic peptide derived from human Integrin Alpha V |
| 亚型 | IgG |
| 性状 | Liquid |
| 纯化方法 | affinity purified by Protein A |
| 克隆类型 | Polyclonal |
| 理论分子量 | 116 kDa |
| 实际分子量 | 125kDa |
| 浓度 | 1mg/ml |
| 储存液 | 0.01M TBS (pH7.4) with 1% BSA, 0.02% Proclin300 and 50% Glycerol. |
| 研究领域 | Cardiovascular > Angiogenesis > Adhesion / ECM > Integrins Cardiovascular > Atherosclerosis > Vascular Inflammation > Leukocyte recruitment > Integrins Cardiovascular > Blood > Platelets Microbiology > Interspecies Interaction > Host Virus Interaction Stem Cells > Hematopoietic Progenitors > Lymphoid > T Lymphocytic Lineage |
| 亚基 | Heterodimer of an alpha and a beta subunit. The alpha subunit is composed of an heavy and a light chain linked by a disulfide bond. Alpha-V associates with either beta-1, beta-3, beta-5, beta-6 or beta-8 subunit. Interacts with HIV-1 Tat. Alpha-V/beta-6 binds to foot-and-mouth disease virus (FMDV) VP1 protein and acts as a receptor for this viru. Alpha-V/beta-6 binds to coxsackievirus A9 and coxsackievirus B1 capsid proteins and acts as a receptor for these viruses. Interacts with RAB25. |
| 亚细胞定位 | Cell Membrane |
| 相似性 | Belongs to the integrin alpha chain family.
Contains 7 FG-GAP repeats. |
| 功能 | The alpha-V integrins are receptors for vitronectin, cytotactin, fibronectin, fibrinogen, laminin, matrix metalloproteinase-2, osteopontin, osteomodulin, prothrombin, thrombospondin and vWF. They recognize the sequence R-G-D in a wide array of ligands. In case of HIV-1 infection, the interaction with extracellular viral Tat protein seems to enhance angiogenesis in Kaposi's sarcoma lesions. |
| 保存条件 | Shipped at 4℃. Store at -20℃ for one year. Avoid repeated freeze/thaw cycles. |
| 注意事项 | This product as supplied is intended for research use only, not for use in human, therapeutic or diagnostic applications. |
| 背景资料 | Integrins are heterodimeric proteins made up of alpha and beta subunits. At least 18 alpha and 8 beta subunits have been described in mammals. Integrin family members are membrane receptors involved in cell adhesion and recognition in a variety of processes including embryogenesis, hemostasis, tissue repair, immune response and metatastatic diffusion of tumour cells. ITAGV encodes integrin alpha chain V. Integrins are heterodimeric integral membrane proteins composed of an alpha chain and a beta chain. The I-domain containing integrin alpha V undergoes post-translational cleavage to yield disulfide-linked heavy and light chains, that combine with multiple integrin beta chains to form different integrins. Among the known associating beta chains (beta chains 1,3,5,6, and 8; ITGB1, ITGB3, ITGB5, ITGB6, and ITGB8), each can interact with extracellular matrix ligands; the alpha V beta 3 integrin, perhaps the most studied of these, is referred to as the Vitronectin receptor (VNR). In addition to adhesion, many integrins are known to facilitate signal transduction. |
| 应用 | 推荐稀释比例 |
| {WB} | {1:500-2000} |
| {IHC-P} | {1:100-500} |
| {IHC-F} | {1:100-500} |
| {IF} | {1:100-500} |
| {IP} | {1:20-50} |




风险提示:丁香通仅作为第三方平台,为商家信息发布提供平台空间。用户咨询产品时请注意保护个人信息及财产安全,合理判断,谨慎选购商品,商家和用户对交易行为负责。对于医疗器械类产品,请先查证核实企业经营资质和医疗器械产品注册证情况。
- 作者
- 内容
- 询问日期
文献和实验[IF={{ 9.776 }}] {Hasan Al Faruque. et al. Enhanced effect of autologous EVs delivering paclitaxel in pancreatic cancer. J CONTROL RELEASE. 2022 Jul;347:330} {IF} {Mouse}
[IF={{ 9.6 }}] {Sujin Kim. et al. Optimizing the Surface Functionalization of Peptide–MXene Nanoplatforms to Amplify Tumor-Targeting Efficiency and Photothermal Therapy. Biomaterials Research. 2025 May;29} {IF} {Human,Mouse}
[IF={{ 8.724 }}] {Yong Tang. et al. Phosphorylation inhibition of protein-tyrosine phosphatase 1B tyrosine-152 induces bone regeneration coupled with angiogenesis for bone tissue engineering. Bioact Mater. 2021 Jul;6:2039} {WB,IF,IHC} {Mouse}
[IF={{ 8.2 }}] {Jiawei Wang. et al. Injectable collagen hydrogel combines human umbilical cord mesenchymal stem cells to promote endometrial regeneration in rats with thin endometrium. INT J BIOL MACROMOL. 2024 Jan;254:127591} {IHC} {Rat}
[IF={{ 8.2 }}] {Xiaoyin Guo. et al. Mechanism underlying the role of integrin α3β1 in adhesive dysfunction between thyroid cells induced by diesel engine exhaust particles. SCI TOTAL ENVIRON. 2024 Oct;947:174535} {WB} {Mouse}
In situ hybridisation to alpha satellite sequences (chromosome specific)
Alpha satellite sequences, whilst highly repetitive, are specific to each individual chromosome. These sequences flank the centromeres and can present a target measured in megabases. In this protocol a biotin or digoxigenin labelled DNA
V294.PART II,Chapter 5 细胞粘附实验(英文版)
. 77, 3371–3383. 7. Cinamon, G., Grabovsky, V., Winter, E., Franitza, S., Feigelson, S., Shamri, R.,et al. (2001) Novel chemokine functions in lymphocyte migration through vascularendothelium under shear flow. J. Leukoc. Biol. 69, 860–866. 8. Wu
v468. chapter 4 WNT 细胞通路 检测细胞GSK3活性与表达水平
1 selectively inhibits the GSK3-catalysedphosphorylation of axin and beta-catenin. FEBS Lett. 458, 247–251. 10. Ding, V. W., Chen, R. H., and McCormick, F. (2000) Differential regulation of glycogensynthase kinase 3beta by insulin and Wnt signaling. J. Biol
技术资料暂无技术资料 索取技术资料






