相关产品推荐更多 >

HSP90 beta Rabbit pAb, BF488 conjugated(bs-0135R-BF488)-100ul
¥2980
FBXO38 Rabbit pAb(bs-9122R)-50ul/100ul/200ul
¥1180
DZIP3 Rabbit pAb, BF405 conjugated(bs-13044R-BF405)-100ul
¥2980
phospho-RASA1 (Tyr460) Rabbit pAb(bs-13281R)-50ul/100ul/200ul
¥1180
Anti-human TROP2 (Sacituzumab-MMAE Biosimilar)(BIO0903SM)-1mg/5mg/20mg
¥3200
万千商家帮你免费找货
0 人在求购买到急需产品
- 详细信息
- 文献和实验
- 技术资料
- 应用范围:
产品信息以Bioss网站为准
- 规格:
50ul/100ul/200ul
| 规格: | 50ul | 产品价格: | ¥1180.0 |
|---|---|---|---|
| 规格: | 100ul | 产品价格: | ¥1980.0 |
| 规格: | 200ul | 产品价格: | ¥2800.0 |
| 产品编号 | bs-2710R |
| 英文名称 | IFNGR2 Rabbit pAb |
| 中文名称 | 干扰素-gamma受体2/干扰素-gamma受体β/IFN-γRβ抗体 |
| 英文别名 | IFN gamma Receptor beta; AF 1; AF1; IFGR 2; IFGR2; IFNGR 2; IFNGT 1; IFNGT1; Interferon gamma receptor 2; Interferon gamma receptor accessory factor 1; Interferon gamma receptor beta chain; Interferon gamma receptor chain 2; Interferon gamma transducer 1; INGR2_HUMAN; gamma receptor 2; IFN-gamma receptor 2; IFN-gamma-R2; Interferon gamma receptor accessory factor 1; AF 1; AF-1; AF1; Interferon gamma transducer 1. |
| 产品应用 | WB=1:500-2000, IHC-P=1:100-500, IHC-F=1:100-500, IF=1:100-500 Not yet tested in other applications. |
| 交叉反应 | Human (Mouse, Rat, Dog, Cow, Rabbit) |
| 抗体来源 | Rabbit |
| 免疫原 | KLH conjugated synthetic peptide derived from human IFNGR2 |
| 亚型 | IgG |
| 性状 | Liquid |
| 纯化方法 | affinity purified by Protein A |
| 克隆类型 | Polyclonal |
| 理论分子量 | 36 kDa |
| 浓度 | 1mg/ml |
| 储存液 | 0.01M TBS (pH7.4) with 1% BSA, 0.02% Proclin300 and 50% Glycerol. |
| 研究领域 | Immunology > Immunoglobulins > Receptors Immunology > Innate Immunity > Cytokines > Interferons Metabolism > Types of disease > Obesity Microbiology > Protein > Human Protein > Defensin Stem Cells > Signaling Pathways > TGF beta > Interferon gamma |
| 亚细胞定位 | Membrane; Single-pass type I membrane protein. |
| 相似性 | Belongs to the type II cytokine receptor family. Contains 2 fibronectin type-III domains. |
| 功能 | Part of the receptor for interferon gamma. Required for signal transduction. This accessory factor is an integral part of the IFN-gamma signal transduction pathway and is likely to interact with GAF, JAK1, and/or JAK2. |
| 保存条件 | Shipped at 4℃. Store at -20℃ for one year. Avoid repeated freeze/thaw cycles. |
| 注意事项 | This product as supplied is intended for research use only, not for use in human, therapeutic or diagnostic applications. |
| 背景资料 | IFN gamma receptor beta is part of the receptor for interferon gamma. This class II cytokine receptor pairs with CDw119 to form the IFN gamma receptor and is an integral part of the IFN gamma signal transduction pathway. CDw119 serves as the IFN gamma binding chain and associates with the IFN gamma beta chain which is required for receptor signaling. The extracellular portion of both the IFN gamma receptor alpha and beta chains must be species matched. The IFN gamma receptor beta chain is expressed on T and B cells, NK cells, monocytes/ macrophages, and fibroblasts. Binding of IFN gamma induces receptor dimerization, internalization, Jak1 and Jak2 protein kinase activation and, ultimately, STAT1 activation. It is also likely to interact with GAF. IFN gamma initiates and regulates a variety of immune responses and is required for signal transduction. Contains 2 fibronectin type III domains. Defects in IFN gamma Receptor beta are a cause of mendelian susceptibility to mycobacterial disease (MSMD), a rare condition that confers predisposition to illness caused by several mycobacteria strains. |
| 应用 | 推荐稀释比例 |
| {WB} | {1:500-2000} |
| {IHC-P} | {1:100-500} |
| {IHC-F} | {1:100-500} |
| {IF} | {1:100-500} |

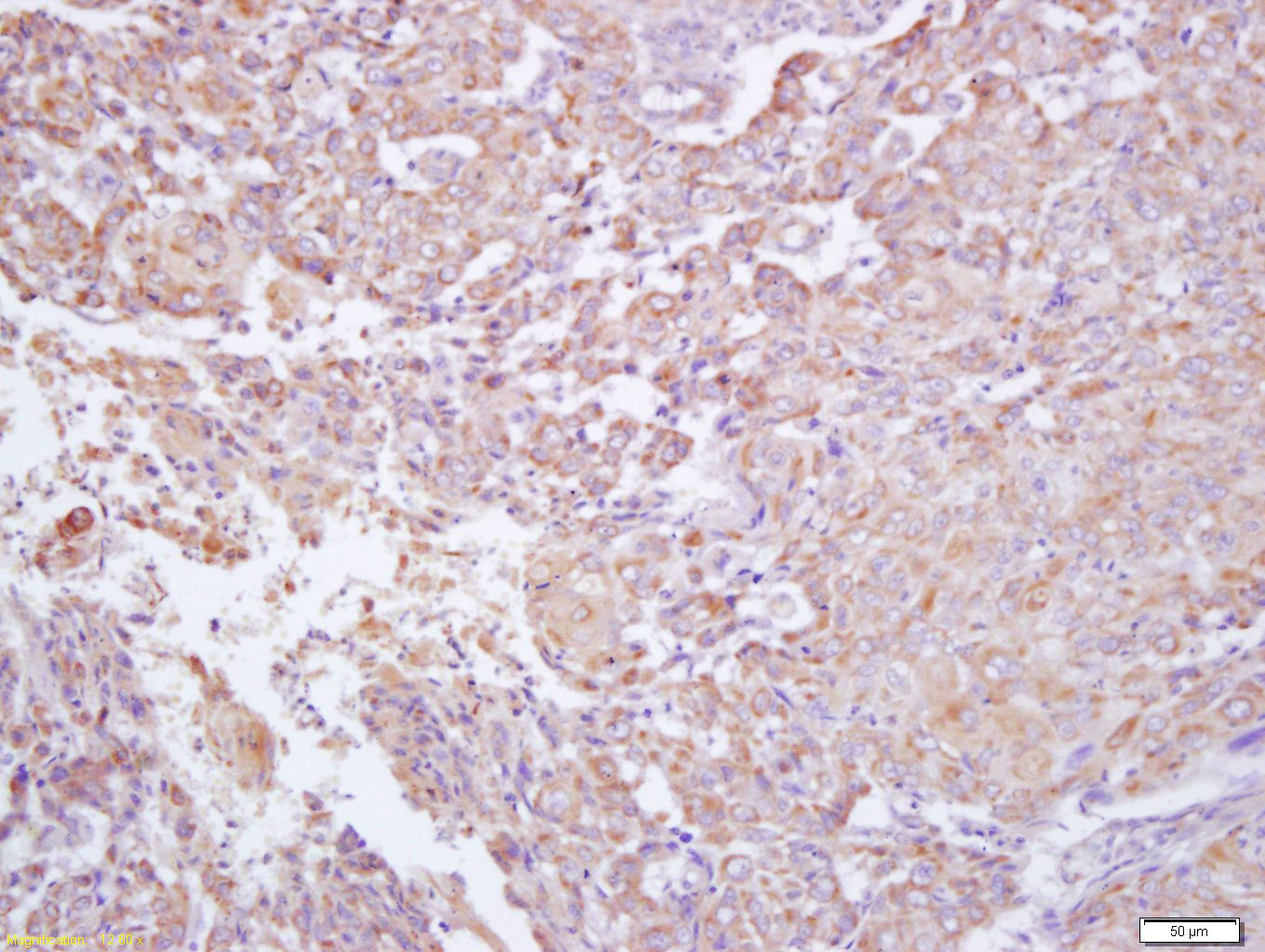
Antigen retrieval: citrate buffer ( 0.01M, pH 6.0 ), Boiling bathing for 15min; Block endogenous peroxidase by 3% Hydrogen peroxide for 30min; Blocking buffer (normal goat serum,C-0005) at 37℃ for 20 min;
Incubation: Anti-IFNGR2 Polyclonal Antibody, Unconjugated(bs-2710R) 1:200, overnight at 4°C, followed by conjugation to the secondary antibody(SP-0023) and DAB(C-0010) staining

Lane 1: Human 293T cell lysates
Lane 2: Human K562 cell lysates
Lane 3: Human U937 cell lysates
Primary: Anti-IFNGR2 (bs-2710R) at 1/1000 dilution
Secondary: IRDye800CW Goat Anti-Rabbit IgG at 1/20000 dilution
Predicted band size: 36 kD
Observed band size: 35 kD
风险提示:丁香通仅作为第三方平台,为商家信息发布提供平台空间。用户咨询产品时请注意保护个人信息及财产安全,合理判断,谨慎选购商品,商家和用户对交易行为负责。对于医疗器械类产品,请先查证核实企业经营资质和医疗器械产品注册证情况。
文献和实验[IF={{ 9.91 }}] {Kunis, Gilad, et al. "IFN-γ-dependent activation of the brain’s choroid plexus for CNS immune surveillance and repair." Brain (2013): awt259.} {Other} {="Mouse"}
[IF={{ 3.657 }}] {Jing Miao. et al. Carnosine Synthase 1 Contributes to Interferon Gamma-Induced Arginine Depletion via Mitogen-activated Protein Kinase 11 Signaling in Bovine Mammary Epithelial Cells. J INTERF CYTOK RES. 2022 Jul 27} {WB} {Bovine}
[IF={{ 0 }}] {Xia, Xj, et al. "Autophagy mediated by arginine depletion activation of the nutrient sensor GCN2 contributes to interferon-γ-induced malignant transformation of primary bovine mammary epithelial cells." Cell Death Discovery 2 (2016).} {IHC} {="Bovine"}
= NAL), appears to form upon oxidative cyclization of the nonfluorescent 2:1 lysine-HNE Michael adduct-Schiff base cross-link (Scheme 1). Polyclonal antibody (PAb) to the NAL-HNE fluorophore was raised in rabbit and found to be highly specific
GE Healthcare Benzamidine Sepharose™ 6B is p-aminobenzamidine covalently attached to Sepharose 6B by the epoxy coupling method. p-Aminobenzamidine (PAB), is a synthetic inhibitor of trypsin-like serine protease. Trypsin and trypsin
Nucleic Acid Programmable Protein Arrays: Versatile Tools for Array‐Based Functional Protein Studies
.g., Sigma) 50 mg/ml bis‐sulfosuccinimdylsuberate (BS3 ;Pierce, cat. no. PI 21580) in dimethylsulfoxide (DMSO) 5 mg/ml
技术资料暂无技术资料 索取技术资料






