相关产品推荐更多 >

RNA polymerase II CTD repeat YSPTSPS (phospho S2) Rabbit pAb, Cy3 conjugated(bs-6581R-Cy3)-100ul
¥2980
FGD1 Rabbit pAb, Biotin conjugated(bs-16077R-Bio)-100ul
¥2980
TAGL2 Rabbit pAb, PerCP conjugated(bs-2977R-PerCP)-100ul
¥2980
SIK1 Rabbit pAb, Biotin conjugated(bs-6252R-Bio)-100ul
¥2980
EGF Rabbit pAb, PE-Cy7 conjugated(bs-2008R-PE-Cy7)-100ul
¥2980
万千商家帮你免费找货
0 人在求购买到急需产品
- 详细信息
- 文献和实验
- 技术资料
- 应用范围:
产品信息以Bioss网站为准
- 规格:
50ul/100ul/200ul
| 规格: | 50ul | 产品价格: | ¥1180.0 |
|---|---|---|---|
| 规格: | 100ul | 产品价格: | ¥1980.0 |
| 规格: | 200ul | 产品价格: | ¥2800.0 |
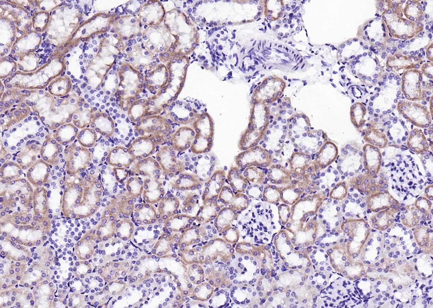
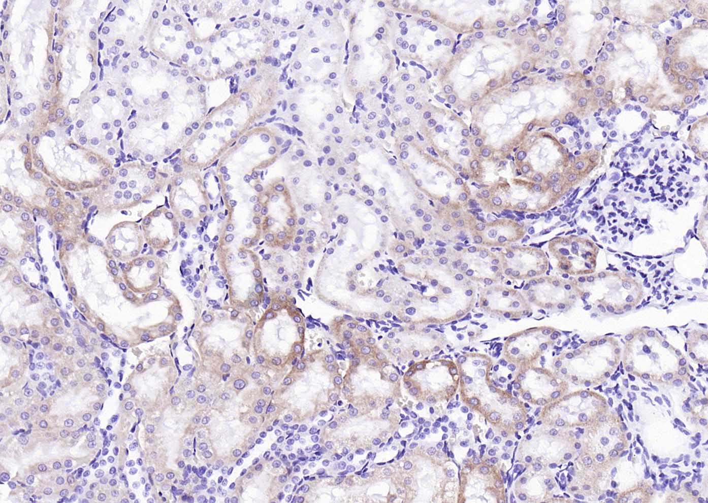
| 产品编号 | bs-13298R |
| 英文名称 | GBA3 Rabbit pAb |
| 中文名称 | β葡萄糖苷酶3抗体 |
| 英文别名 | CBG; CBGL1; Cytosolic beta glucosidase; Cytosolic beta glucosidase like protein 1; Cytosolic beta-glucosidase; Cytosolic beta-glucosidase-like protein 1; GBA3; GBA3_HUMAN; GLUC; Glucosidase beta acid 3; Klotho related protein. |
| 产品应用 | IHC-P=1:100-500, IHC-F=1:100-500, IF=1:100-500 Not yet tested in other applications. |
| 交叉反应 | Mouse, Rat (Human, Pig, Cow, Horse, Sheep) |
| 抗体来源 | Rabbit |
| 免疫原 | KLH conjugated synthetic peptide derived from human GBA3/CBG |
| 亚型 | IgG |
| 性状 | Liquid |
| 纯化方法 | affinity purified by Protein A |
| 克隆类型 | Polyclonal |
| 理论分子量 | 54 kDa |
| 浓度 | 1mg/ml |
| 储存液 | 0.01M TBS (pH7.4) with 1% BSA, 0.02% Proclin300 and 50% Glycerol. |
| 研究领域 | Metabolism > Pathways and Processes > Metabolic signaling pathways > Energy transfer pathways > Energy Metabolism Signal Transduction > Metabolism > Energy Metabolism |
| 亚细胞定位 | Cytoplasm; cytosol. |
| 组织特异性 | Present in small intestine (at protein level). Expressed in liver, small intestine, colon, spleen and kidney. Down-regulated in renal cell carcinomas and hepatocellular carcinomas. |
| 翻译后修饰 | The N-terminus is blocked. |
| 相似性 | Belongs to the glycosyl hydrolase 1 family. Klotho subfamily. |
| 功能 | Glycosidase probably involved in the intestinal absorption and metabolism of dietary flavonoid glycosides. Able to hydrolyze a broad variety of glycosides including phytoestrogens, flavonols, flavones, flavanones and cyanogens. Possesses beta-glycosylceramidase activity and may be involved in a nonlysosomal catabolic pathway of glycosylceramide. |
| 保存条件 | Shipped at 4℃. Store at -20℃ for one year. Avoid repeated freeze/thaw cycles. |
| 注意事项 | This product as supplied is intended for research use only, not for use in human, therapeutic or diagnostic applications. |
| 背景资料 | CBG is a monomeric enzyme involved in the absorption and metabolism of flavonoid glucosides. CBG is found predominately in the liver, but is also located in tissues such as spleen, small intestine and kidney. Through its catalytic activity, CBG is able to hydrolyze a variety of glycosides including phytoestrogens, cyanogens, and flavonols. Although its catalytic activity extends to many dietary flavonoids, CBG has increased specificity for hydrophobic aglycones such as beta-D-glucoside and beta-D-galactoside. Hydrolysis is inhibited by sodium taurocholate and glucosyl-sphingosine, both of which regulate CBG enzymatic activity. Deficiencies in CBG have been implicated in Gaucher’s disease, a lysosomal storage disease that causes a build up of fatty material in the spleen, liver, lung and kidneys. |
| 应用 | 推荐稀释比例 |
| {IHC-P} | {1:100-500} |
| {IHC-F} | {1:100-500} |
| {IF} | {1:100-500} |


风险提示:丁香通仅作为第三方平台,为商家信息发布提供平台空间。用户咨询产品时请注意保护个人信息及财产安全,合理判断,谨慎选购商品,商家和用户对交易行为负责。对于医疗器械类产品,请先查证核实企业经营资质和医疗器械产品注册证情况。
文献和实验[IF={{ 5.396 }}] {Yuan Liang. et al. Glucocorticoid receptor-mediated alleviation of inflammation by berberine: in vitro, in silico and in vivo investigations. Food Funct. 2021 Oct;:} {WB} {Human}
[IF={{ 5.396 }}] {Yuan Liang. et al. Glucocorticoid receptor-mediated alleviation of inflammation by berberine: in vitro, in silico and in vivo investigations. Food Funct. 2021 Oct;:} {WB} {Human}
[IF={{ 2.936 }}] {Qi T et al. Cytosolic β-glucosidase inhibition and renal blood flow suppression are leading causes for the enhanced systemic exposure of salidroside in hypoxic rats. RSC Advances, 8(16), 8469–8483.} {WB} {Rat}
= NAL), appears to form upon oxidative cyclization of the nonfluorescent 2:1 lysine-HNE Michael adduct-Schiff base cross-link (Scheme 1). Polyclonal antibody (PAb) to the NAL-HNE fluorophore was raised in rabbit and found to be highly specific
GE Healthcare Benzamidine Sepharose™ 6B is p-aminobenzamidine covalently attached to Sepharose 6B by the epoxy coupling method. p-Aminobenzamidine (PAB), is a synthetic inhibitor of trypsin-like serine protease. Trypsin and trypsin
Nucleic Acid Programmable Protein Arrays: Versatile Tools for Array‐Based Functional Protein Studies
.g., Sigma) 50 mg/ml bis‐sulfosuccinimdylsuberate (BS3 ;Pierce, cat. no. PI 21580) in dimethylsulfoxide (DMSO) 5 mg/ml
技术资料暂无技术资料 索取技术资料






