相关产品推荐更多 >

SCXA Rabbit pAb, Biotin conjugated(bs-12364R-Bio)-100ul
¥2980
SPACA4 Rabbit pAb(bs-17616R)-50ul/100ul/200ul
¥1180
NT5C3 Rabbit pAb, HRP conjugated(bs-19488R-HRP)-100ul
¥2980
phospho-Vimentin (Ser56) Rabbit pAb(bs-3471R)-50ul/100ul/200ul
¥1180
NGFB Rabbit pAb, PerCP-Cy7 conjugated(bs-0067R-PerCP-Cy7)-100ul
¥2980
万千商家帮你免费找货
0 人在求购买到急需产品
- 详细信息
- 文献和实验
- 技术资料
- 应用范围:
产品信息以Bioss网站为准
- 规格:
50ul/100ul/200ul
| 规格: | 50ul | 产品价格: | ¥1180.0 |
|---|---|---|---|
| 规格: | 100ul | 产品价格: | ¥1980.0 |
| 规格: | 200ul | 产品价格: | ¥2800.0 |
| 产品编号 | bs-10985R |
| 英文名称 | MX2 Rabbit pAb |
| 中文名称 | 干扰素诱导GTP结合蛋白MX2抗体 |
| 英文别名 | Interferon induced GTP binding protein Mx2; Interferon regulated resistance GTP binding protein MXB; Interferon-induced GTP-binding protein Mx2; Interferon-regulated resistance GTP-binding protein MxB; MX 2; MX dynamin like GTPase 2; Mx2; MX2_HUMAN; MXB; Myxovirus(influenza virus) resistance 2; Myxovirus resistance 2; Myxovirus resistance protein 2; p78 related protein; p78-related protein; Second interferon induced protein p78. |
| 产品应用 | IHC-P=1:100-500, IHC-F=1:100-500, IF=1:100-500 Not yet tested in other applications. |
| 交叉反应 | Human |
| 抗体来源 | Rabbit |
| 免疫原 | KLH conjugated synthetic peptide derived from human MX2 |
| 亚型 | IgG |
| 性状 | Liquid |
| 纯化方法 | affinity purified by Protein A |
| 克隆类型 | Polyclonal |
| 理论分子量 | 79 kDa |
| 浓度 | 1mg/ml |
| 储存液 | 0.01M TBS (pH7.4) with 1% BSA, 0.02% Proclin300 and 50% Glycerol. |
| 研究领域 | Immunology > Innate Immunity > Cytokines > Interferons |
| 亚基 | Interacts with TRPC1, TRPC3, TRPC4, TRPC5, TRPC6 and TRPC7. |
| 亚细胞定位 | Cytoplasm. |
| 相似性 | Belongs to the dynamin family. Contains 1 GED domain. |
| 功能 | May regulate the calcium channel activity of TRPCs. Shows activity against influenza virus and VSV, a rhabdovirus. |
| 保存条件 | Shipped at 4℃. Store at -20℃ for one year. Avoid repeated freeze/thaw cycles. |
| 注意事项 | This product as supplied is intended for research use only, not for use in human, therapeutic or diagnostic applications. |
| 背景资料 | Members of the Dynamin family include GTPase, microtubule-associated proteins that are involved in cellular trafficking, including microtubule bundling and endocytosis. Mx1, also known as MxA, an interferon (IFN)-induced protein, acquires a high degree of resistance to influenza A virus and the rhabdo-virus vesicular stomatitis virus (VSV), which suggests that Mx1 plays an active role against influenza virus and the rhabdovirus VSV. Mx1 is a cytoplasmic protein that is 63% identical to the Mx2 protein, which lacks antiviral activity. Mx2 is also known as MxB and is localized at the cytoplasmic face of nuclear pores. Mx2 expression is not interferon-dependent and this protein is thought to regulate the efficiency and/or kinetics of nuclear import, a function which may have been usurped by its antiviral relatives. |
| 应用 | 推荐稀释比例 |
| {IHC-P} | {1:100-500} |
| {IHC-F} | {1:100-500} |
| {IF} | {1:100-500} |

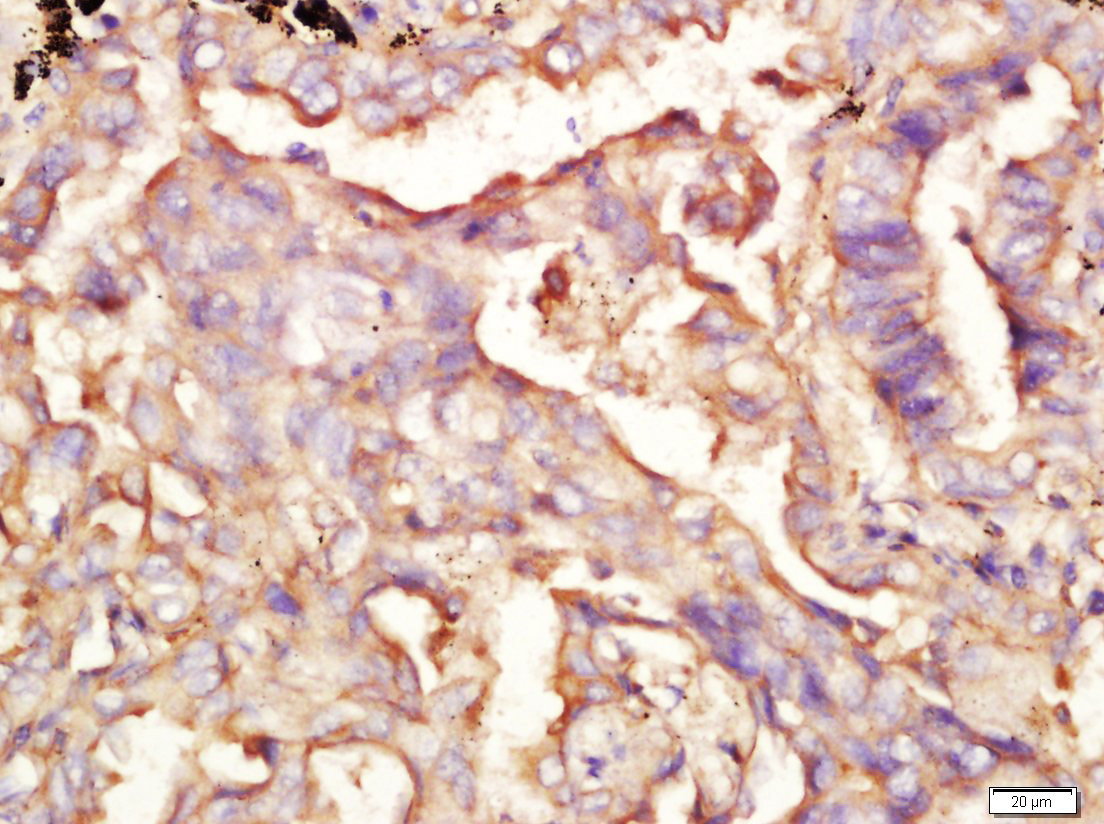
Antigen retrieval: citrate buffer ( 0.01M, pH 6.0 ), Boiling bathing for 15min; Block endogenous peroxidase by 3% Hydrogen peroxide for 30min; Blocking buffer (normal goat serum,C-0005) at 37℃ for 20 min;
Incubation: Anti-MX2 Polyclonal Antibody, Unconjugated(bs-10985R) 1:200, overnight at 4°C, followed by conjugation to the secondary antibody(SP-0023) and DAB(C-0010) staining
风险提示:丁香通仅作为第三方平台,为商家信息发布提供平台空间。用户咨询产品时请注意保护个人信息及财产安全,合理判断,谨慎选购商品,商家和用户对交易行为负责。对于医疗器械类产品,请先查证核实企业经营资质和医疗器械产品注册证情况。
文献和实验[IF={{ 12.2 }}] {Chen Bingjun. et al. Single-cell and spatial transcriptomics reveals an anti-tumor neutrophil subgroup in microwave thermochemotherapy-treated lip cancer. INT J ORAL SCI. 2025 May;17(1):1-15} {IHC} {Human}
.9| Mus musculus chromosome 16, clon... 44 0.13 gi|13435314|gb|AC090999.1| Caenorhabditis elegans cosmid Y8... 44 0.13 gi|21955645|emb|AL732599.5| Mouse DNA sequence from clone R... 44 0.13 gi|199921|gb|J03368.1|MUSMX2 Mouse interferon-induced Mx2 m
= NAL), appears to form upon oxidative cyclization of the nonfluorescent 2:1 lysine-HNE Michael adduct-Schiff base cross-link (Scheme 1). Polyclonal antibody (PAb) to the NAL-HNE fluorophore was raised in rabbit and found to be highly specific
GE Healthcare Benzamidine Sepharose™ 6B is p-aminobenzamidine covalently attached to Sepharose 6B by the epoxy coupling method. p-Aminobenzamidine (PAB), is a synthetic inhibitor of trypsin-like serine protease. Trypsin and trypsin
技术资料暂无技术资料 索取技术资料






