相关产品推荐更多 >

MTG1/GTPBP7 Rabbit pAb(bs-17874R)-50ul/100ul/200ul
¥1180
Cystatin A Rabbit pAb, HRP conjugated(bs-4937R-HRP)-100ul
¥2980
C21orf2 Rabbit pAb(bs-9977R)-50ul/100ul/200ul
¥1180
CD144/VE Cadherin Rabbit pAb, Biotin conjugated(bs-0878R-Bio)-100ul
¥2980
phospho-Glucocorticoid Receptor (Ser211) Rabbit pAb, BF488 conjugated(bs-3168R-BF488)-100ul
¥2980
万千商家帮你免费找货
0 人在求购买到急需产品
- 详细信息
- 文献和实验
- 技术资料
- 应用范围:
产品信息以Bioss网站为准
- 规格:
50ul/100ul/200ul
| 规格: | 50ul | 产品价格: | ¥1180.0 |
|---|---|---|---|
| 规格: | 100ul | 产品价格: | ¥1980.0 |
| 规格: | 200ul | 产品价格: | ¥2800.0 |
| 产品编号 | bs-10742R |
| 英文名称 | LPCAT2 Rabbit pAb |
| 中文名称 | 磷脂酰基转移酶2抗体 |
| 英文别名 | 1 acylglycerophosphocholine O acyltransferase; 1 alkylglycerophosphocholine O acetyltransferase; 1-acylglycerophosphocholine O-acyltransferase; 1-alkylglycerophosphocholine O-acetyltransferase; A330042H22; Acetyl CoA:lyso PAF acetyltransferase; Acetyl-CoA:lyso-PAF acetyltransferase; Acetyl-CoA:lyso-platelet-activating factor acetyltransferase; acyl CoA:lysophosphatidylcholine acyltransferase 2; Acyl-CoA:lysophosphatidylcholine acyltransferase member 1; Acyltransferase like 1A; Acyltransferase-like 1; AYTL1; Aytl1a; DKFZp686H22112; FLJ20481; lpafat1; LPC acyltransferase 2; LPCAT-2; LPCAT2; Lyso PAF acetyltransferase; Lyso platelet activating factor(PAF) acetyltransferase; Lyso-PAF acetyltransferase; LysoPAFAT; LysoPAFAT/LPCAT2; LysoPC acyltransferase 2; Lysophosphatidylcholine acyltransferase 2; OTTMUSP00000029641; PCAT2_HUMAN; RGD1563994. |
| 产品应用 | IHC-P=1:100-500, IHC-F=1:100-500, IF=1:100-500 Not yet tested in other applications. |
| 交叉反应 | Human, Mouse, Rat (Pig, Cow, Horse, Rabbit, Sheep) |
| 抗体来源 | Rabbit |
| 免疫原 | KLH conjugated synthetic peptide derived from human LPCAT2 |
| 亚型 | IgG |
| 性状 | Liquid |
| 纯化方法 | affinity purified by Protein A |
| 克隆类型 | Polyclonal |
| 理论分子量 | 60 kDa |
| 浓度 | 1mg/ml |
| 储存液 | 0.01M TBS (pH7.4) with 1% BSA, 0.02% Proclin300 and 50% Glycerol. |
| 研究领域 | Signal Transduction > Metabolism > Lipid metabolism |
| 亚细胞定位 | Endoplasmic reticulum membrane. Golgi apparatus membrane. |
| 相似性 | Belongs to the 1-acyl-sn-glycerol-3-phosphate acyltransferase family. Contains 2 EF-hand domains. |
| 功能 | Possesses both acyltransferase and acetyltransferase activities. Activity is calcium-dependent. Involved in platelet-activating factor (PAF) biosynthesis by catalyzing the conversion of the PAF precursor, 1-O-alkyl-sn-glycero-3-phosphocholine (lyso-PAF) into 1-O-alkyl-2-acetyl-sn-glycero-3-phosphocholine (PAF). Also converts lyso-PAF to 1-alkyl-phosphatidylcholine (PC), a major component of cell membranes and a PAF precursor. Under resting conditions, acyltransferase activity is preferred. Upon acute inflammatory stimulus, acetyltransferase activity is enhanced and PAF synthesis increases. |
| 保存条件 | Shipped at 4℃. Store at -20℃ for one year. Avoid repeated freeze/thaw cycles. |
| 注意事项 | This product as supplied is intended for research use only, not for use in human, therapeutic or diagnostic applications. |
| 背景资料 | This gene encodes a member of the lysophospholipid acyltransferase family. The encoded enzyme may function in two ways: to catalyze the biosynthesis of platelet-activating factor (1-O-alkyl-2-acetyl-sn-glycero-3-phosphocholine) from 1-O-alkyl-sn-glycero-3-phosphocholine, and to catalyze the synthesis of glycerophospholipid precursors from arachidonyl-CoA and lysophosphatidylcholine. The encoded protein may function in membrane biogenesis and production of platelet-activating factor in inflammatory cells. The enzyme may localize to the endoplasmic reticulum and the Golgi. [provided by RefSeq, Feb 2009]. |
| 应用 | 推荐稀释比例 |
| {IHC-P} | {1:100-500} |
| {IHC-F} | {1:100-500} |
| {IF} | {1:100-500} |


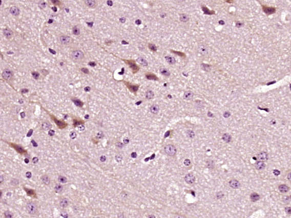
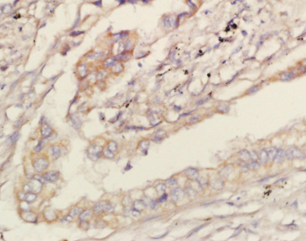
Antigen retrieval: citrate buffer ( 0.01M, pH 6.0 ), Boiling bathing for 15min; Block endogenous peroxidase by 3% Hydrogen peroxide for 30min; Blocking buffer (normal goat serum,C-0005) at 37℃ for 20 min;
Incubation: Anti-LPCAT2 Polyclonal Antibody, Unconjugated(bs-10742R) 1:200, overnight at 4°C, followed by conjugation to the secondary antibody(SP-0023) and DAB(C-0010) staining

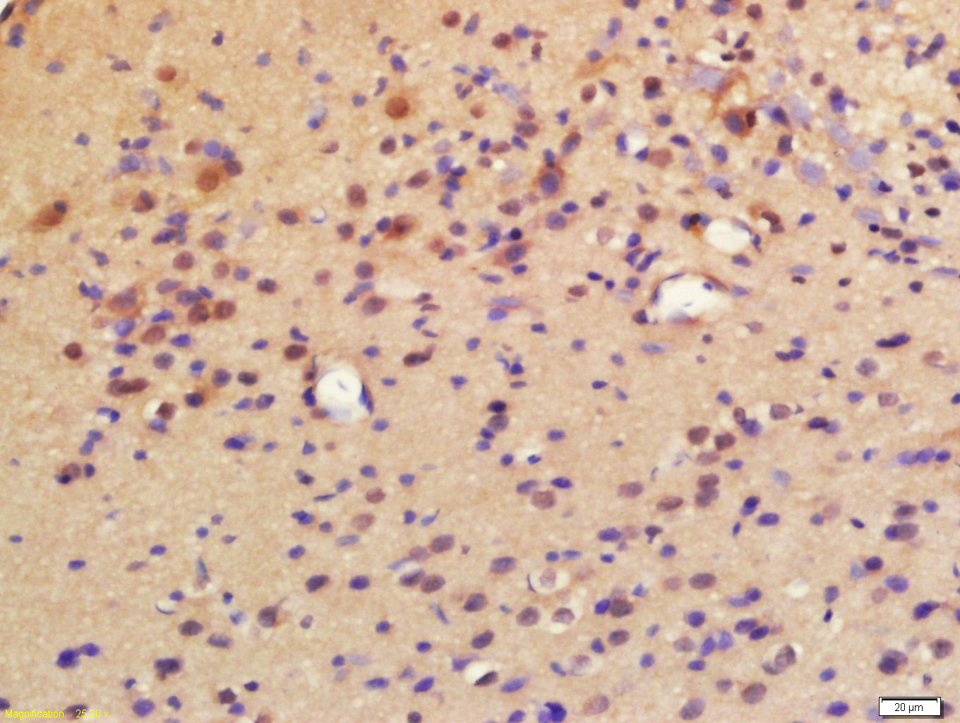
Antigen retrieval: citrate buffer ( 0.01M, pH 6.0 ), Boiling bathing for 15min; Block endogenous peroxidase by 3% Hydrogen peroxide for 30min; Blocking buffer (normal goat serum,C-0005) at 37℃ for 20 min;
Incubation: Anti-LPCAT2 Polyclonal Antibody, Unconjugated(bs-10742R) 1:200, overnight at 4°C, followed by conjugation to the secondary antibody(SP-0023) and DAB(C-0010) staining
风险提示:丁香通仅作为第三方平台,为商家信息发布提供平台空间。用户咨询产品时请注意保护个人信息及财产安全,合理判断,谨慎选购商品,商家和用户对交易行为负责。对于医疗器械类产品,请先查证核实企业经营资质和医疗器械产品注册证情况。
文献和实验= NAL), appears to form upon oxidative cyclization of the nonfluorescent 2:1 lysine-HNE Michael adduct-Schiff base cross-link (Scheme 1). Polyclonal antibody (PAb) to the NAL-HNE fluorophore was raised in rabbit and found to be highly specific
GE Healthcare Benzamidine Sepharose™ 6B is p-aminobenzamidine covalently attached to Sepharose 6B by the epoxy coupling method. p-Aminobenzamidine (PAB), is a synthetic inhibitor of trypsin-like serine protease. Trypsin and trypsin
Nucleic Acid Programmable Protein Arrays: Versatile Tools for Array‐Based Functional Protein Studies
.g., Sigma) 50 mg/ml bis‐sulfosuccinimdylsuberate (BS3 ;Pierce, cat. no. PI 21580) in dimethylsulfoxide (DMSO) 5 mg/ml
技术资料暂无技术资料 索取技术资料






