相关产品推荐更多 >

Bcl-2 alpha Rabbit pAb, HRP conjugated(bs-15533R-HRP)-100ul
¥2980
Galectin 3 Rabbit pAb, PE-Cy5 conjugated(bs-0721R-PE-Cy5)-100ul
¥2980
Claudin 2 Rabbit pAb, HRP conjugated(bs-23849R-HRP)-100ul
¥2980
Ketohexokinase Rabbit pAb, BF488 conjugated(bs-4045R-BF488)-100ul
¥2980
TRAF6 Rabbit pAb, AP conjugated(bs-2830R-AP)-100ul
¥2980
万千商家帮你免费找货
0 人在求购买到急需产品
- 详细信息
- 文献和实验
- 技术资料
- 应用范围:
产品信息以Bioss网站为准
- 规格:
50ul/100ul/200ul
| 规格: | 50ul | 产品价格: | ¥1180.0 |
|---|---|---|---|
| 规格: | 100ul | 产品价格: | ¥1980.0 |
| 规格: | 200ul | 产品价格: | ¥2800.0 |
| 产品编号 | bs-14053R |
| 英文名称 | CREB5 Rabbit pAb |
| 中文名称 | 环腺苷酸应答元件结合蛋白5抗体 |
| 英文别名 | cAMP response element binding protein 5; cAMP response element binding protein CRE Bpa; cAMP response element-binding protein CREBPa; cAMP responsive element binding protein 5; cAMP responsive element binding protein 5 isoform alpha; cAMP-responsive element-binding protein 5; CRE BPA; CRE-BPa; CREB 5; CREB-5; CREB5; CREB5_HUMAN; CREBPA; cyclic AMP responsive element binding protein 5; Cyclic AMP-responsive element-binding protein 5. |
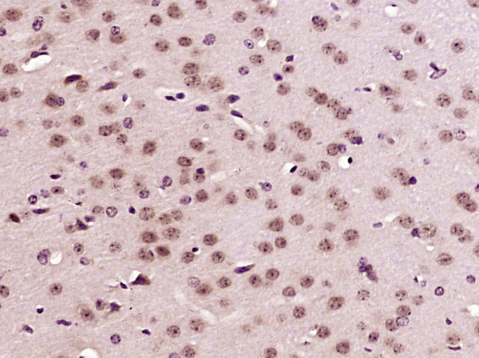
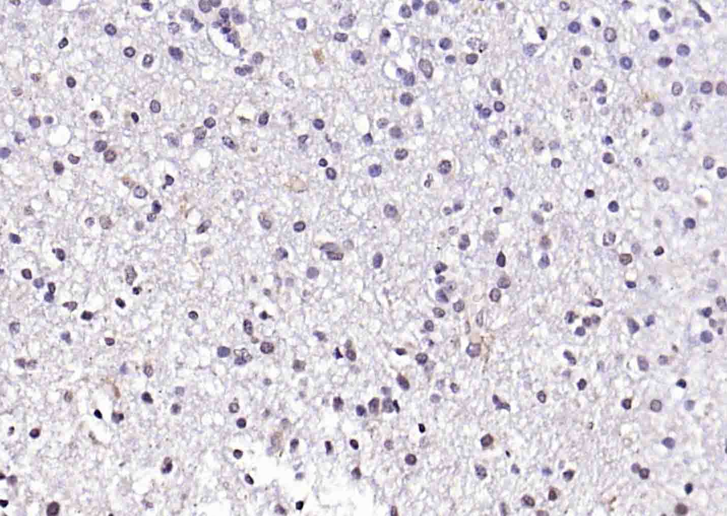
| 产品应用 | WB=1:500-2000, IHC-P=1:100-500, IHC-F=1:100-500, IF=1:100-500 Not yet tested in other applications. |
| 交叉反应 | Human, Mouse (Rat, Chicken, Dog, Cow, Horse) |
| 抗体来源 | Rabbit |
| 免疫原 | KLH conjugated synthetic peptide derived from human CREB5 |
| 亚型 | IgG |
| 性状 | Liquid |
| 纯化方法 | affinity purified by Protein A |
| 克隆类型 | Polyclonal |
| 理论分子量 | 57 kDa |
| 浓度 | 1mg/ml |
| 储存液 | 0.01M TBS (pH7.4) with 1% BSA, 0.02% Proclin300 and 50% Glycerol. |
| 研究领域 | Epigenetics and Nuclear Signaling > Transcription > Domain Families > Zinc Finger |
| 亚基 | Binds DNA as a homodimer or as a heterodimer with JUN or ATF2/CREBP1. |
| 亚细胞定位 | Nucleus. |
| 相似性 | Belongs to the bZIP family. Contains 1 bZIP domain. Contains 1 C2H2-type zinc finger. |
| 功能 | Binds to the cAMP response element and activates transcription. |
| 保存条件 | Shipped at 4℃. Store at -20℃ for one year. Avoid repeated freeze/thaw cycles. |
| 注意事项 | This product as supplied is intended for research use only, not for use in human, therapeutic or diagnostic applications. |
| 背景资料 | The product of this gene belongs to the CRE (cAMP response element)-binding protein family. Members of this family contain zinc-finger and bZIP DNA-binding domains. The encoded protein specifically binds to CRE as a homodimer or a heterodimer with c-Jun or CRE-BP1, and functions as a CRE-dependent trans-activator. Alternatively spliced transcript variants encoding different isoforms have been identified. [provided by RefSeq, Jul 2008] |
| 应用 | 推荐稀释比例 |
| {WB} | {1:500-2000} |
| {IHC-P} | {1:100-500} |
| {IHC-F} | {1:100-500} |
| {IF} | {1:100-500} |


Lane 1: Human HeLa cell lysates
Lane 2: Human HepG2 cell lysates
Lane 3: Human MCF-7 cell lysates
Primary: Anti-CREB5 (bs-14053R) at 1/1000 dilution
Secondary: IRDye800CW Goat Anti-Rabbit IgG at 1/20000 dilution
Predicted band size: 57 kDa
Observed band size: 60 kDa

风险提示:丁香通仅作为第三方平台,为商家信息发布提供平台空间。用户咨询产品时请注意保护个人信息及财产安全,合理判断,谨慎选购商品,商家和用户对交易行为负责。对于医疗器械类产品,请先查证核实企业经营资质和医疗器械产品注册证情况。
文献和实验[IF={{ 4.2 }}] {Qi Zhao. et al. FOXQ1, deubiquitinated by USP10, alleviates sepsis-induced acute kidney injury by targeting the CREB5/NF-κB signaling axis. BBA-MOL BASIS DIS. 2024 Jul;:167331} {WB} {Mouse,Human}
[IF={{ 2.3 }}] {Shi Wanting. et al. Regulon analysis identifies protective FXR and CREB5 in proximal tubules in early diabetic kidney disease. BMC NEPHROL. 2023 Dec;24(1):1-11} {IF,ICC,WB} {Human}
= NAL), appears to form upon oxidative cyclization of the nonfluorescent 2:1 lysine-HNE Michael adduct-Schiff base cross-link (Scheme 1). Polyclonal antibody (PAb) to the NAL-HNE fluorophore was raised in rabbit and found to be highly specific
GE Healthcare Benzamidine Sepharose™ 6B is p-aminobenzamidine covalently attached to Sepharose 6B by the epoxy coupling method. p-Aminobenzamidine (PAB), is a synthetic inhibitor of trypsin-like serine protease. Trypsin and trypsin
Nucleic Acid Programmable Protein Arrays: Versatile Tools for Array‐Based Functional Protein Studies
.g., Sigma) 50 mg/ml bis‐sulfosuccinimdylsuberate (BS3 ;Pierce, cat. no. PI 21580) in dimethylsulfoxide (DMSO) 5 mg/ml
技术资料暂无技术资料 索取技术资料






