相关产品推荐更多 >

GPR177 Rabbit pAb, PE conjugated(bs-15388R-PE)-100ul
¥2980
RNF21 Rabbit pAb(bs-9244R)-50ul/100ul/200ul
¥1180
Anti-human ERBB1 / EGFR / HER1 (Laprituximab Biosimilar)(BIO0571SM)-1mg/5mg/20mg
¥3200
TBXT Recombinant Mouse mAb(bsm-60378M)-50ul/100ul/25ul
¥800
CYP2E1 Rabbit pAb, APC-Cy5.5 conjugated(bs-4562R-APC-Cy5.5)-100ul
¥2980
万千商家帮你免费找货
0 人在求购买到急需产品
- 详细信息
- 文献和实验
- 技术资料
- 应用范围:
产品信息以Bioss网站为准
- 规格:
50ul/100ul/200ul
| 规格: | 50ul | 产品价格: | ¥1180.0 |
|---|---|---|---|
| 规格: | 100ul | 产品价格: | ¥1980.0 |
| 规格: | 200ul | 产品价格: | ¥2800.0 |
| 产品编号 | bs-1817R |
| 英文名称 | Pro-neuregulin-1, membrane-bound isoform Rabbit pAb |
| 中文名称 | 神经胶质生长因子/神经调节蛋白β抗体 |
| 英文别名 | Acetylcholine receptor-inducing activity; ARIA; Breast cancer cell differentiation factor p45; NRG1_HUMAN; GGF; GGF2; Glial growth factor; heregulin, alpha(45kD, ERBB2 p185-activator); HGL; HRG; HRG1; HRGA; MST131; NDF; Neu differentiation factor; Neuregulin-1 type I beta1-a; Neuregulin 1; Neuregulin-1 type III beta1-a; NRG 1; nrg1; NRG1 beta; NRG1_HUMAN; Pro-neuregulin-1, membrane-bound isoform; Pro-NRG1; Sensory and motor neuron-derived factor; SMDF; Q6DR99_MOUSE; Q6DR98_MOUSE. |
| 产品应用 | WB=1:500-2000, IHC-P=1:100-500, IHC-F=1:100-500, IF=1:100-500, Flow-Cyt=3ug/test Not yet tested in other applications. |
| 交叉反应 | Human, Mouse, Rat (Chicken, Dog, Rabbit) |
| 抗体来源 | Rabbit |
| 免疫原 | KLH conjugated synthetic peptide derived from mouse Pro-NRG1 |
| 亚型 | IgG |
| 性状 | Liquid |
| 纯化方法 | affinity purified by Protein A |
| 克隆类型 | Polyclonal |
| 理论分子量 | 71 kDa |
| 浓度 | 1mg/ml |
| 储存液 | 0.01M TBS (pH7.4) with 1% BSA, 0.02% Proclin300 and 50% Glycerol. |
| 研究领域 | Developmental Biology > Organogenesis > Skeletal development > Muscle Neuroscience > Cell Type Marker > Glia marker > Oligodendrocyte marker Neuroscience > Neurology process > Growth and Development > Neurotrophins Neuroscience > Neurology process > Neural Signal Transduction Neuroscience > Neurology process > Neurogenesis Signal Transduction > Protein Phosphorylation > Tyrosine Kinases > Receptor Tyrosine Kinases |
| 亚基 | The cytoplasmic domain interacts with the LIM domain region of LIMK1. Interacts with ERBB3 and ERBB4. |
| 亚细胞定位 | Pro-neuregulin-1, membrane-bound isoform: Cell membrane; Single-pass type I membrane protein. Neuregulin-1: Secreted. Isoform 8: Nucleus. Isoform 9: Secreted. Isoform 10: Membrane; Single-pass type I membrane protein. |
| 组织特异性 | Type I isoforms are the predominant forms expressed in the endocardium. Isoform alpha is expressed in breast, ovary, testis, prostate, heart, skeletal muscle, lung, placenta liver, kidney, salivary gland, small intestine and brain, but not in uterus, stomach, pancreas, and spleen. Isoform 3 is the predominant form in mesenchymal cells and in non-neuronal organs, whereas isoform 6 is the major neuronal form. Isoform 8 is expressed in spinal cord and brain. Isoform 9 is the major form in skeletal muscle cells; in the nervous system it is expressed in spinal cord and brain. Also detected in adult heart, placenta, lung, liver, kidney, and pancreas. Isoform 10 is expressed in nervous system: spinal cord motor neurons, dorsal root ganglion neurons, and brain. Predominant isoform expressed in sensory and motor neurons. Not detected in adult heart, placenta, lung, liver, skeletal muscle, kidney, and pancreas. Not expressed in fetal lung, liver and kidney. Type IV isoforms are brain-specific. |
| 翻译后修饰 | Proteolytic cleavage close to the plasma membrane on the external face leads to the release of the soluble growth factor form.
N- and O-glycosylated. Extensive glycosylation precedes the proteolytic cleavage. |
| 相似性 | Belongs to the neuregulin family.
Contains 1 EGF-like domain. Contains 1 Ig-like C2-type (immunoglobulin-like) domain. |
| 功能 | Direct ligand for ERBB3 and ERBB4 tyrosine kinase receptors. Concomitantly recruits ERBB1 and ERBB2 coreceptors, resulting in ligand-stimulated tyrosine phosphorylation and activation of the ERBB receptors. The multiple isoforms perform diverse functions such as inducing growth and differentiation of epithelial, glial, neuronal, and skeletal muscle cells; inducing expression of acetylcholine receptor in synaptic vesicles during the formation of the neuromuscular junction; stimulating lobuloalveolar budding and milk production in the mammary gland and inducing differentiation of mammary tumor cells; stimulating Schwann cell proliferation; implication in the development of the myocardium such as trabeculation of the developing heart. Isoform 10 may play a role in motor and sensory neuron development. |
| 保存条件 | Shipped at 4℃. Store at -20℃ for one year. Avoid repeated freeze/thaw cycles. |
| 注意事项 | This product as supplied is intended for research use only, not for use in human, therapeutic or diagnostic applications. |
| 背景资料 | The protein encoded by this gene is a membrane glycoprotein that that mediates cell-cell signaling and plays a critical role in the growth and development of multiple organ systems. An extraordinary variety of different isoforms are produced from this gene through alternative promoter usage and splicing. These isoforms are expressed in a tissue-specific manner and differ significantly in their structure, and are classified as types I, II, III, IV, V and VI. Dysregulation of this gene has been linked to diseases such as cancer, schizophrenia, and bipolar disorder (BPD). [provided by RefSeq, Jun 2014] |
| 应用 | 推荐稀释比例 |
| {WB} | {1:500-2000} |
| {IHC-P} | {1:100-500} |
| {IHC-F} | {1:100-500} |
| {IF} | {1:100-500} |
| {Flow-Cyt} | {3ug/test} |

Primary: Anti-HRG beta1 (bs-1817R) at 1:300 dilution;
Secondary: HRP conjugated Goat-Anti-Rabbit IgG(bs-0295G-HRP) at 1: 5000 dilution;
Predicted band size :71 kD
Observed band size :71 kD

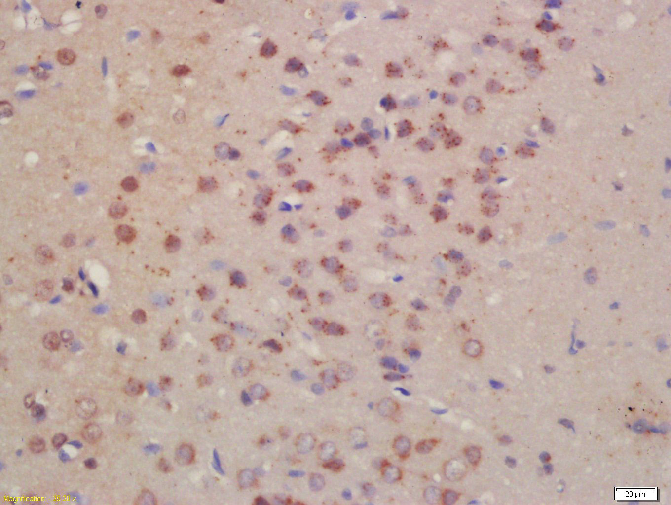
Antigen retrieval: citrate buffer ( 0.01M, pH 6.0 ), Boiling bathing for 15min; Block endogenous peroxidase by 3% Hydrogen peroxide for 30min; Blocking buffer (normal goat serum,C-0005) at 37℃ for 20 min;
Incubation: Anti-HRG beta1 Polyclonal Antibody, Unconjugated(bs-1817R) 1:200, overnight at 4°C, followed by conjugation to the secondary antibody(SP-0023) and DAB(C-0010) staining

Antigen retrieval: citrate buffer ( 0.01M, pH 6.0 ), Boiling bathing for 15min; Block endogenous peroxidase by 3% Hydrogen peroxide for 30min; Blocking buffer (normal goat serum,C-0005) at 37℃ for 20 min;
Incubation: Anti- HRG Beta1 Polyclonal Antibody, Unconjugated(bs-1817R) 1:200, overnight at 4°C, followed by conjugation to the secondary antibody(SP-0023) and DAB(C-0010) staining

Primary Antibody (green line): Rabbit Anti-Pro-neuregulin-1, membrane-bound isoform antibody (bs-1817R)
Dilution: 1μg /10^6 cells;
Isotype Control Antibody (orange line): Rabbit IgG .
Secondary Antibody : Goat anti-rabbit IgG-PE
Dilution: 3μg /test.
Protocol
The cells were fixed with 4% PFA (10min at room temperature)and then permeabilized with 90% ice-cold methanol for 20 min at-20℃. The cells were then incubated in 5% BSA to block non-specific protein-protein interactions for 30 min at at room temperature .Cells stained with Primary Antibody for 30 min at room temperature. The secondary antibody used for 40 min at room temperature. Acquisition of 20,000 events was performed.

风险提示:丁香通仅作为第三方平台,为商家信息发布提供平台空间。用户咨询产品时请注意保护个人信息及财产安全,合理判断,谨慎选购商品,商家和用户对交易行为负责。对于医疗器械类产品,请先查证核实企业经营资质和医疗器械产品注册证情况。
文献和实验[IF={{ 5.59 }}] {Madhavi Joshi. et al. Extreme Glycemic Fluctuations Debilitate NRG1, ErbB Receptors and Olig1 Function: Association with Regeneration, Cognition and Mood Alterations During Diabetes. 2021 Jun 24} {IF} {Rat}
Heterologous SERCA1a Ca2+ -ATPase (sarco-endoplasmic reticulum Ca2+ -adenosine triphosphatase isoform 1a) from rabbit was expressed in yeast Saccharomyces cerevisiae as a fusion protein, with a biotin acceptor domain (BAD) linked to the SERCA
), GSK-3b (dilution1:1,000; 1 h at RT), or b-actin (dilution 1:10,000; 1 h at RT). 5. Wash the membrane three times for 5 min each in TBS-T. 6. Incubate the membrane for 1 h at RT with 30 mL of TBS-Tcontaining anti-mouse or anti-rabbit IgG
Characterization of CGRP Receptor Binding
, W. 2000. Pharmacological profile of BIBN4096BS, the first selective small molecule CGRP antagonist. Br. J. Pharmacol. 129:420‐423. Juaneda, C., Dumont, Y., and Quirion, R
技术资料暂无技术资料 索取技术资料






