相关产品推荐更多 >
万千商家帮你免费找货
0 人在求购买到急需产品
- 详细信息
- 文献和实验
- 技术资料
- 应用范围:
产品信息以Bioss网站为准
- 规格:
50ul/100ul/200ul
| 规格: | 50ul | 产品价格: | ¥1180.0 |
|---|---|---|---|
| 规格: | 100ul | 产品价格: | ¥1980.0 |
| 规格: | 200ul | 产品价格: | ¥2800.0 |
| 产品编号 | bs-11086R |
| 英文名称 | JAMC Rabbit pAb |
| 中文名称 | 连接粘附分子C抗体 |
| 英文别名 | CAM; JAM 2; JAM 3; JAM C; JAM-2; JAM-3; JAM-C; JAM2; Jam3; JAM3_HUMAN; JAMC; Junction adhesion molecule C; Junctional adhesion molecule 3; Junctional adhesion molecule 3 precursor; Junctional adhesion molecule C. |
| 产品应用 | WB=1:500-2000, IHC-P=1:100-500, IHC-F=1:100-500, IF=1:100-500 Not yet tested in other applications. |
| 交叉反应 | Human, Mouse, Rat (Dog, Pig, Cow, Horse) |
| 抗体来源 | Rabbit |
| 免疫原 | KLH conjugated synthetic peptide derived from human JAMC |
| 亚型 | IgG |
| 性状 | Liquid |
| 纯化方法 | affinity purified by Protein A |
| 克隆类型 | Polyclonal |
| 理论分子量 | 31 kDa |
| 浓度 | 1mg/ml |
| 储存液 | 0.01M TBS (pH7.4) with 1% BSA, 0.02% Proclin300 and 50% Glycerol. |
| 研究领域 | Cardiovascular > Atherosclerosis > Vascular Inflammation > Leukocyte recruitment > Cell adhesion molecules Cardiovascular > Blood > Platelets Cardiovascular > Vasculature > Endothelium Signal Transduction > Cytoskeleton / ECM > Cell Adhesion > Cell Adhesion Molecules > Endothelial Tags & Cell Markers > Cell Type Markers > Epi / Endo-thelial |
| 亚基 | Interacts with JAM2. Interacts with ITGAM. |
| 亚细胞定位 | Cell membrane; Single-pass type I membrane protein (Potential). Cell junction, desmosome. Secreted, extracellular space. Note=In epithelial cells, it is expressed at desmosomes but not at tight junctions. Localizes at the cell surface of endothelial cells; treatment of endothelial cells with vascular endothelial growth factor stimulates recruitment of JAM3 to cell-cell contacts. |
| 组织特异性 | Highest expression in placenta, brain and kidney. Significant expression is detected on platelets. Expressed in intestinal mucosa cells. Expressed in the vascular endothelium. Found in serum (at protein level). Also detected in the synovial fluid of patients with rheumatoid arthritis, psoriatic arthritis or ostearthritis (at protein level). |
| 翻译后修饰 | Proteolytically cleaved from endothelial cells surface into a soluble form by ADAM10 and ADAM17; the release of soluble JAM3 is increased by proinflammatory factors. |
| 相似性 | Belongs to the immunoglobulin superfamily. Contains 1 Ig-like C2-type (immunoglobulin-like) domain. Contains 1 Ig-like V-type (immunoglobulin-like) domain. |
| 功能 | Participates in cell-cell adhesion. It is a counter-receptor for ITGAM, mediating leukocyte-platelet interactions and is involved in the regulation of transepithelial migration of polymorphonuclear neutrophils (PMN). The soluble form is a mediator of angiogenesis. |
| 保存条件 | Shipped at 4℃. Store at -20℃ for one year. Avoid repeated freeze/thaw cycles. |
| 注意事项 | This product as supplied is intended for research use only, not for use in human, therapeutic or diagnostic applications. |
| 背景资料 | Tight junctions represent one mode of cell-to-cell adhesion in epithelial or endothelial cell sheets, forming continuous seals around cells and serving as a physical barrier to prevent solutes and water from passing freely through the paracellular space. The protein encoded by this immunoglobulin superfamily gene member is localized in the tight junctions between high endothelial cells. Unlike other proteins in this family, the this protein is unable to adhere to leukocyte cell lines and only forms weak homotypic interactions. The encoded protein is a member of the junctional adhesion molecule protein family and acts as a receptor for another member of this family. A mutation in an intron of this gene is associated with hemorrhagic destruction of the brain, subependymal calcification, and congenital cataracts. Alternative splicing results in multiple transcript variants.[provided by RefSeq, Apr 2011]. |
| 应用 | 推荐稀释比例 |
| {WB} | {1:500-2000} |
| {IHC-P} | {1:100-500} |
| {IHC-F} | {1:100-500} |
| {IF} | {1:100-500} |


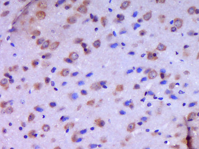
Antigen retrieval: citrate buffer ( 0.01M, pH 6.0 ), Boiling bathing for 15min; Block endogenous peroxidase by 3% Hydrogen peroxide for 30min; Blocking buffer (normal goat serum,C-0005) at 37℃ for 20 min;
Incubation: Anti-JAMC Polyclonal Antibody, Unconjugated(bs-11086R) 1:200, overnight at 4°C, followed by conjugation to the secondary antibody(SP-0023) and DAB(C-0010) staining

Cerebrum (Mouse) Lysate at 40 ug
Cerebrum (Rat) Lysate at 40 ug
Primary: Anti- JAMC (bs-11086R) at 1/1000 dilution
Secondary: IRDye800CW Goat Anti-Rabbit IgG at 1/20000 dilution
Predicted band size: 31 kD
Observed band size: 49 kD

HepG2(Human) Cell Lysate at 30 ug
Primary: Anti-JAMC (bs-11086R) at 1/1000 dilution
Secondary: IRDye800CW Goat Anti-Rabbit IgG at 1/20000 dilution
Predicted band size: 31 kD
Observed band size: 49 kD
风险提示:丁香通仅作为第三方平台,为商家信息发布提供平台空间。用户咨询产品时请注意保护个人信息及财产安全,合理判断,谨慎选购商品,商家和用户对交易行为负责。对于医疗器械类产品,请先查证核实企业经营资质和医疗器械产品注册证情况。
文献和实验[IF={{ 4.932 }}] {Yi Ren. et al. Pravastatin attenuates sepsis-induced acute lung injury through decreasing pulmonary microvascular permeability via inhibition of Cav-1/eNOS pathway. Int Immunopharmacol. 2021 Nov;100:108077} {WB} {Mouse}
[IF={{ 3.8 }}] {Yue Jia. et al. Epigenetic silencing of JAM3 promotes laryngeal squamous cell carcinoma development by inhibiting the Hippo pathway. ONCOL REP. 2025 Feb;53(2):1-14} {WB,IHC} {Human}
[IF={{ 3.7 }}] {Yue Jia. et al.Upstream transcription factor 1 suppresses laryngeal squamous cell carcinoma progression through transcriptional activation of junctional adhesion molecule 3..IUBMB LIFE.2025 Mar;77(3):e70013.} {IF} {Human}
= NAL), appears to form upon oxidative cyclization of the nonfluorescent 2:1 lysine-HNE Michael adduct-Schiff base cross-link (Scheme 1). Polyclonal antibody (PAb) to the NAL-HNE fluorophore was raised in rabbit and found to be highly specific
GE Healthcare Benzamidine Sepharose™ 6B is p-aminobenzamidine covalently attached to Sepharose 6B by the epoxy coupling method. p-Aminobenzamidine (PAB), is a synthetic inhibitor of trypsin-like serine protease. Trypsin and trypsin
Nucleic Acid Programmable Protein Arrays: Versatile Tools for Array‐Based Functional Protein Studies
.g., Sigma) 50 mg/ml bis‐sulfosuccinimdylsuberate (BS3 ;Pierce, cat. no. PI 21580) in dimethylsulfoxide (DMSO) 5 mg/ml
技术资料暂无技术资料 索取技术资料










