相关产品推荐更多 >

PAI1 Rabbit pAb, HRP conjugated(bs-6562R-HRP)-100ul
¥2980
Polycystin 1 Rabbit pAb, Cy3 conjugated(bs-2157R-Cy3)-100ul
¥2980
GAD65 + GAD67 Rabbit pAb, Cy5 conjugated(bs-13263R-Cy5)-100ul
¥2980
phospho-HER2 (Tyr1221) Rabbit pAb, Cy5.5 conjugated(bs-13090R-Cy5.5)-100ul
¥2980
PRDM7 Rabbit pAb(bs-19956R)-50ul/100ul/200ul
¥1180
万千商家帮你免费找货
0 人在求购买到急需产品
- 详细信息
- 文献和实验
- 技术资料
- 应用范围:
产品信息以Bioss网站为准
- 规格:
50ul/100ul/200ul
| 规格: | 50ul | 产品价格: | ¥1180.0 |
|---|---|---|---|
| 规格: | 100ul | 产品价格: | ¥1980.0 |
| 规格: | 200ul | 产品价格: | ¥2800.0 |
| 产品编号 | bs-6978R |
| 英文名称 | ZNF521 Rabbit pAb |
| 中文名称 | 锌指蛋白521抗体 |
| 英文别名 | Early hematopoietic zinc finger; Early hematopoietic zinc finger protein; EHZF; Evi3; LYST-interacting protein 3; MGC142182; Zfp521; Zinc finger protein 521; ZN521_HUMAN; Znf521. |
| 产品应用 | IHC-P=1:100-500, IHC-F=1:100-500, IF=1:50-200 Not yet tested in other applications. |
| 交叉反应 | Rat (Human, Mouse, Chicken, Dog, Pig, Cow, Horse, Rabbit) |
| 抗体来源 | Rabbit |
| 免疫原 | KLH conjugated synthetic peptide derived from human EHZF/ZN521 |
| 亚型 | IgG |
| 性状 | Liquid |
| 纯化方法 | affinity purified by Protein A |
| 克隆类型 | Polyclonal |
| 理论分子量 | 148 kDa |
| 浓度 | 1mg/ml |
| 储存液 | 0.01M TBS (pH7.4) with 1% BSA, 0.02% Proclin300 and 50% Glycerol. |
| 亚基 | Interacts with EBF1. Interacts with SMAD1 and SMAD4. |
| 亚细胞定位 | Nucleus. |
| 组织特异性 | Predominantly expressed in hematopoietic cells. Present in organs and tissues that contain stem and progenitor cells, myeloid and/or lymphoid: placenta, spleen, lymph nodes, thymus, bone marrow and fetal liver. Within the hematopoietic system, it is abundant in CD34(+) cells but undetectable in mature peripheral blood leukocytes, and its levels rapidly decrease during the differentiation of CD34(+) cells in response to hemopoietins. |
| 相似性 | Belongs to the krueppel C2H2-type zinc-finger protein family. Contains 30 C2H2-type zinc fingers. |
| 功能 | Transcription factor that can both act as an activator or a repressor depending on the context. Involved in BMP signaling and in the regulation of the immature compartment of the hematopoietic system. Associates with SMADs in response to BMP2 leading to activate transcription of BMP target genes. Acts as a transcriptional repressor via its interaction with EBF1, a transcription factor involved specification of B-cell lineage; this interaction preventing EBF1 to bind DNA and activate target genes. |
| 保存条件 | Shipped at 4℃. Store at -20℃ for one year. Avoid repeated freeze/thaw cycles. |
| 注意事项 | This product as supplied is intended for research use only, not for use in human, therapeutic or diagnostic applications. |
| 背景资料 | Transcription factor that can both act as an activator or a repressor depending on the context. Involved in BMP signaling and in the regulation of the immature compartment of the hematopoietic system. Associates with SMADs in response to BMP2 leading to activate transcription of BMP target genes. Acts as a transcriptional repressor via its interaction with EBF1, a transcription factor involved specification of B-cell lineage; this interaction preventing EBF1 to bind DNA and activate target genes. |
| 应用 | 推荐稀释比例 |
| {IHC-P} | {1:100-500} |
| {IHC-F} | {1:100-500} |
| {IF} | {1:50-200} |

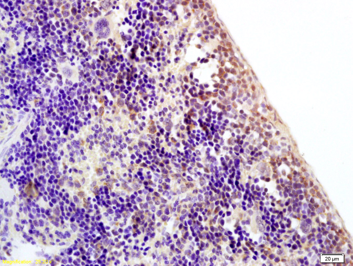
Antigen retrieval: citrate buffer ( 0.01M, pH 6.0 ), Boiling bathing for 15min; Block endogenous peroxidase by 3% Hydrogen peroxide for 30min; Blocking buffer (normal goat serum,C-0005) at 37℃ for 20 min;
Incubation: Anti-EHZF/ZN521 Polyclonal Antibody, Unconjugated(bs-6978R) 1:200, overnight at 4°C, followed by conjugation to the secondary antibody(SP-0023) and DAB(C-0010) staining
风险提示:丁香通仅作为第三方平台,为商家信息发布提供平台空间。用户咨询产品时请注意保护个人信息及财产安全,合理判断,谨慎选购商品,商家和用户对交易行为负责。对于医疗器械类产品,请先查证核实企业经营资质和医疗器械产品注册证情况。
文献和实验= NAL), appears to form upon oxidative cyclization of the nonfluorescent 2:1 lysine-HNE Michael adduct-Schiff base cross-link (Scheme 1). Polyclonal antibody (PAb) to the NAL-HNE fluorophore was raised in rabbit and found to be highly specific
GE Healthcare Benzamidine Sepharose™ 6B is p-aminobenzamidine covalently attached to Sepharose 6B by the epoxy coupling method. p-Aminobenzamidine (PAB), is a synthetic inhibitor of trypsin-like serine protease. Trypsin and trypsin
Nucleic Acid Programmable Protein Arrays: Versatile Tools for Array‐Based Functional Protein Studies
.g., Sigma) 50 mg/ml bis‐sulfosuccinimdylsuberate (BS3 ;Pierce, cat. no. PI 21580) in dimethylsulfoxide (DMSO) 5 mg/ml
技术资料暂无技术资料 索取技术资料





