相关产品推荐更多 >

Histone binding protein/SLBP Rabbit pAb, AP conjugated(bs-19791R-AP)-100ul
¥2980
FREAC3 Rabbit pAb, Cy5 conjugated(bs-6642R-Cy5)-100ul
¥2980
Creatine kinase B type Rabbit pAb, PE-Cy5.5 conjugated(bs-11989R-PE-Cy5.5)-100ul
¥2980
EGFR Rabbit pAb, Cy5.5 conjugated(bs-0405R-Cy5.5)-100ul
¥2980
Integrin Alpha V + Beta 6 Rabbit pAb, PerCP-Cy7 conjugated(bs-5791R-PerCP-Cy7)-100ul
¥2980
万千商家帮你免费找货
0 人在求购买到急需产品
- 详细信息
- 文献和实验
- 技术资料
- 应用范围:
产品信息以Bioss网站为准
- 规格:
50ul/100ul/200ul
| 规格: | 50ul | 产品价格: | ¥1180.0 |
|---|---|---|---|
| 规格: | 100ul | 产品价格: | ¥1980.0 |
| 规格: | 200ul | 产品价格: | ¥2800.0 |
| 产品编号 | bs-3822R |
| 英文名称 | CCNG2 Rabbit pAb |
| 中文名称 | 周期素G2抗体 |
| 英文别名 | CCNG2_HUMAN; Cyclin-G2; Cyclin G2; CyclinG2; CCNG 2; CCNG-2; |
| 中文别名 | |
| 产品应用 | WB=1:500-2000, IHC-P=1:100-500, IHC-F=1:100-500, IF=1:100-500, Flow-Cyt=2ug/Test Not yet tested in other applications. |
| 交叉反应 | Human, Rat (Mouse, Dog, Pig, Cow, Horse) |
| 抗体来源 | Rabbit |
| 免疫原 | KLH conjugated synthetic peptide derived from human CCNG2 |
| 亚型 | IgG |
| 性状 | Liquid |
| 纯化方法 | affinity purified by Protein A |
| 克隆类型 | Polyclonal |
| 理论分子量 | 38 kDa |
| 浓度 | 1mg/ml |
| 储存液 | 0.01M TBS (pH7.4) with 1% BSA, 0.02% Proclin300 and 50% Glycerol. |
| 研究领域 | Cell Biology > Cell Cycle > Cyclins Cell Biology > Cell Cycle > Cyclins > Other Cyclins Epigenetics and Nuclear Signaling > Cell cycle > Cyclins > Other Cyclins |
| 亚细胞定位 | Cytoplasm. |
| 组织特异性 | High levels in cerebellum, thymus, spleen and prostate. Low levels in skeletal muscle. |
| 相似性 | Belongs to the cyclin family. Cyclin G subfamily. |
| 功能 | May play a role in growth regulation and in negative regulation of cell cycle progesssion. |
| 保存条件 | Shipped at 4℃. Store at -20℃ for one year. Avoid repeated freeze/thaw cycles. |
| 注意事项 | This product as supplied is intended for research use only, not for use in human, therapeutic or diagnostic applications. |
| 背景资料 | Cyclin G2 may play a role in growth regulation and in negative regulation of cell cycle progesssion. Cyclin G2 expression levels increase through the cell cycle to peak in the mid/late-S phase and decrease during G2/M phase. It may also contribute in maintaining the quiescent state of differentiated cells. Cyclin G2 is similar to cyclin A in the cyclin box, although no kinase activity is detected. |
| 应用 | 推荐稀释比例 |
| {WB} | {1:500-2000} |
| {IHC-P} | {1:100-500} |
| {IHC-F} | {1:100-500} |
| {IF} | {1:100-500} |
| {Flow-Cyt} | {2ug/Test} |

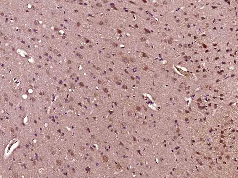
Paraformaldehyde-fixed, paraffin embedded (Rat brain); Antigen retrieval by boiling in sodium citrate buffer (pH6.0) for 15min; Block endogenous peroxidase by 3% hydrogen peroxide for 20 minutes; Blocking buffer (normal goat serum) at 37°C for 30min; Antibody incubation with (Cyclin G2) Polyclonal Antibody, Unconjugated (bs-3822R) at 1:400 overnight at 4°C, followed by operating according to SP Kit(Rabbit) (sp-0023) instructionsand DAB staining.

Sample: Brain(Rat) lysate at 30ug;
Primary: Anti-Cyclin G2 (bs-3822R) at 1:200 dilution;
Secondary: HRP conjugated Goat Anti-Rabbit IgG(bs-0295G-HRP) at 1: 3000 dilution;
Predicted band size : 38kD
Observed band size : 38kD
May be formed of homo-dimer
Primary: Anti-Cyclin G2 (bs-3822R) at 1:200 dilution;
Secondary: HRP conjugated Goat Anti-Rabbit IgG(bs-0295G-HRP) at 1: 3000 dilution;
Predicted band size : 38kD
Observed band size : 38kD
May be formed of homo-dimer

Blank control:A431.
Primary Antibody (green line): Rabbit Anti-Cyclin G2 antibody (bs-3822R)
Dilution: 2μg /10^6 cells;
Isotype Control Antibody (orange line): Rabbit IgG .
Secondary Antibody : Goat anti-rabbit IgG-PE
Dilution: 1μg /test.
Protocol
The cells were fixed with 4% PFA (10min at room temperature)and then permeabilized with 0.1% PBST for 20 min at room temperature.The cells were then incubated in 5%BSA to block non-specific protein-protein interactions for 30 min at room temperature .Cells stained with Primary Antibody for 30 min at room temperature. The secondary antibody used for 40 min at room temperature. Acquisition of 20,000 events was performed.
Primary Antibody (green line): Rabbit Anti-Cyclin G2 antibody (bs-3822R)
Dilution: 2μg /10^6 cells;
Isotype Control Antibody (orange line): Rabbit IgG .
Secondary Antibody : Goat anti-rabbit IgG-PE
Dilution: 1μg /test.
Protocol
The cells were fixed with 4% PFA (10min at room temperature)and then permeabilized with 0.1% PBST for 20 min at room temperature.The cells were then incubated in 5%BSA to block non-specific protein-protein interactions for 30 min at room temperature .Cells stained with Primary Antibody for 30 min at room temperature. The secondary antibody used for 40 min at room temperature. Acquisition of 20,000 events was performed.
风险提示:丁香通仅作为第三方平台,为商家信息发布提供平台空间。用户咨询产品时请注意保护个人信息及财产安全,合理判断,谨慎选购商品,商家和用户对交易行为负责。对于医疗器械类产品,请先查证核实企业经营资质和医疗器械产品注册证情况。
文献和实验该产品被引用文献
[IF={{ 4.2 }}] {Yuan, Qing, et al. "Docetaxel-loaded solid lipid nanoparticles suppress breast cancer cells growth with reduced myelosuppression toxicity." International Journal of Nanomedicine 9 (2014): 4829.} {WB} {="Mouse"}
技术资料暂无技术资料 索取技术资料
文献支持
CCNG2 Rabbit pAb(bs-3822R)-50ul/100ul/200ul
¥1180 - 2800





