相关产品推荐更多 >

DISC1 (NT) Rabbit pAb, HRP conjugated(bs-0428R-HRP)-100ul
¥2980
ARF5 Rabbit pAb(bs-12511R)-50ul/100ul/200ul
¥1180
RGS13 Rabbit pAb, FITC conjugated(bs-19854R-FITC)-100ul
¥2980
Aldolase A Rabbit pAb, PerCP-Cy5.5 conjugated(bs-2406R-PerCP-Cy5.5)-100ul
¥2980
Alpha Synuclein Recombinant Rabbit mAb(bsm-54277R)-50ul/100ul/25ul
¥800
万千商家帮你免费找货
0 人在求购买到急需产品
- 详细信息
- 文献和实验
- 技术资料
- 应用范围:
产品信息以Bioss网站为准
- 规格:
50ul/100ul/200ul
| 规格: | 50ul | 产品价格: | ¥1180.0 |
|---|---|---|---|
| 规格: | 100ul | 产品价格: | ¥1980.0 |
| 规格: | 200ul | 产品价格: | ¥2800.0 |
| 产品编号 | bs-3647R |
| 英文名称 | RACK1 Rabbit pAb |
| 中文名称 | 受体激活蛋白激酶C1抗体 |
| 英文别名 | Cell proliferation-inducing gene 21 protein; GBLP_HUMAN; Gnb2-rs1; Gnb2l1; Guanine nucleotide binding protein(G protein) beta polypeptide 2 like 1; Guanine nucleotide binding protein beta polypeptide 2 like 1; Guanine nucleotide binding protein beta subunit 2 like 1; Guanine nucleotide binding protein beta subunit like protein 12.3; Guanine nucleotide binding protein subunit beta 2 like 1; Guanine nucleotide binding protein subunit beta like protein 12.3; Guanine nucleotide-binding protein subunit beta-2-like 1; Guanine nucleotide-binding protein subunit beta-like protein 12.3; H12.3; HLC-7; Human lung cancer oncogene 7 protein; lung cancer oncogene 7; OTTHUMP00000223704; OTTHUMP00000223870; OTTHUMP00000223891; OTTHUMP00000223893; OTTHUMP00000223900; OTTHUMP00000223902; OTTHUMP00000223930; OTTHUMP00000223931; PIG21; Proliferation inducing gene 21; Protein homologous to chicken B complex protein guanine nucleotide binding; RACK1; Receptor for activated C kinase 1; Receptor for activated C kinase; Receptor of activated protein kinase C 1. |
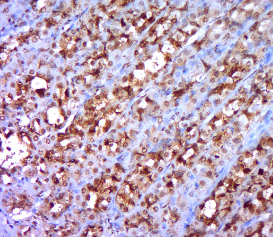
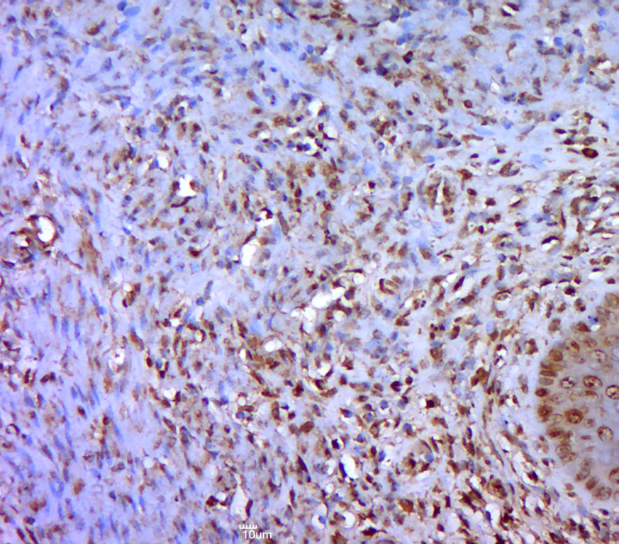
| 产品应用 | IHC-P=1:100-500, IHC-F=1:100-500, ICC/IF=1:100-500, IF=1:100-500 Not yet tested in other applications. |
| 交叉反应 | Human, Rat (Mouse, Chicken, Dog, Cow, Rabbit, Sheep) |
| 抗体来源 | Rabbit |
| 免疫原 | KLH conjugated synthetic peptide derived from human RACK1 |
| 亚型 | IgG |
| 性状 | Liquid |
| 纯化方法 | affinity purified by Protein A |
| 克隆类型 | Polyclonal |
| 理论分子量 | 35 kDa |
| 浓度 | 1mg/ml |
| 储存液 | 0.01M TBS (pH7.4) with 1% BSA, 0.02% Proclin300 and 50% Glycerol. |
| 研究领域 | Cell Biology > Cell Cycle > Kinases/Phosphatases > Cdk Regulators Cell Biology > Other Antibodies > Other Antibodies Signal Transduction > Protein Phosphorylation > Ser / Thr Kinases > PKC |
| 亚基 | Component of the small (40S) ribosomal subunit. Exists as a monomer and also forms oligomers. Binds SLC9A3R1. Forms a ternary complex with TRIM63 and PRKCE. Interacts with HABP4, KRT1 and OTUB1. Interacts with SRC (via SH2 domain); the interaction is enhanced by tyrosine phosphorylation of GNB2L1/RACK1. Recruited in a circadian manner into a nuclear complex which also includes BMAL1 and PRKCA. Interacts with AR. Interacts with IGF1R but not with INSR. Interacts with ADAM12. Interacts with CLEC1B (via N-terminal region) and with HIF1A; the interaction promotes their degradation. Interacts with RHOA; this enhances RHOA activation and promotes cell migration. Interacts with CHRM2; the interaction regulates CHRM2 internalization. Interacts with TRPM6 (via kinase domain). Interacts with PTK2/FAK1; required for PTK2/FAK1 phosphorylation and dephosphorylation. Interacts with FLT1. Interacts with TBXA2R isoform 2. Interacts with HRAS. Interacts with Y.pseudotuberculosis yopK. Interacts with a number of viral proteins including Epstein-Barr virus BZLF1 and HIV-1 Nef; interaction with Nef increases Nef phosphorylation by PKC. |
| 亚细胞定位 | Cell membrane; Peripheral membrane protein. Cytoplasm. Cytoplasm, perinuclear region. Cytoplasm, cytoskeleton. Nucleus. Perikaryon. Cell projection, dendrite. Cell projection, phagocytic cup. |
| 组织特异性 | In the liver, expressed at higher levels in activated hepatic stellate cells than in hepatocytes or Kupffer cells. Up-regulated in hepatocellular carcinomas and in the adjacent non-tumor liver tissue. |
| 相似性 | Belongs to the WD repeat G protein beta family. Contains 7 WD repeats. |
| 保存条件 | Shipped at 4℃. Store at -20℃ for one year. Avoid repeated freeze/thaw cycles. |
| 注意事项 | This product as supplied is intended for research use only, not for use in human, therapeutic or diagnostic applications. |
| 背景资料 | RACK1 (receptor for activated C kinase 1) was identified through its binding to various PKC isoforms. Its main function is to recruit PKC and various other proteins to specific location to form multiprotein complexes, mediating various signal pathways. |
| 应用 | 推荐稀释比例 |
| {IHC-P} | {1:100-500} |
| {IHC-F} | {1:100-500} |
| {ICC/IF} | {1:100-500} |
| {IF} | {1:100-500} |



风险提示:丁香通仅作为第三方平台,为商家信息发布提供平台空间。用户咨询产品时请注意保护个人信息及财产安全,合理判断,谨慎选购商品,商家和用户对交易行为负责。对于医疗器械类产品,请先查证核实企业经营资质和医疗器械产品注册证情况。
文献和实验= NAL), appears to form upon oxidative cyclization of the nonfluorescent 2:1 lysine-HNE Michael adduct-Schiff base cross-link (Scheme 1). Polyclonal antibody (PAb) to the NAL-HNE fluorophore was raised in rabbit and found to be highly specific
GE Healthcare Benzamidine Sepharose™ 6B is p-aminobenzamidine covalently attached to Sepharose 6B by the epoxy coupling method. p-Aminobenzamidine (PAB), is a synthetic inhibitor of trypsin-like serine protease. Trypsin and trypsin
Nucleic Acid Programmable Protein Arrays: Versatile Tools for Array‐Based Functional Protein Studies
.g., Sigma) 50 mg/ml bis‐sulfosuccinimdylsuberate (BS3 ;Pierce, cat. no. PI 21580) in dimethylsulfoxide (DMSO) 5 mg/ml
技术资料暂无技术资料 索取技术资料






