相关产品推荐更多 >

Topoisomerase III Rabbit pAb(bs-7360R)-50ul/100ul/200ul
¥1180
FAM61B Rabbit pAb, Cy5 conjugated(bs-11001R-Cy5)-100ul
¥2980
MDR1 Rabbit pAb, PE conjugated(bs-0563R-PE)-100ul
¥2980
Thioredoxin Rabbit pAb, PerCP-Cy5.5 conjugated(bs-0458R-PerCP-Cy5.5)-100ul
¥2980
phospho-SCNN1B (Ser633) Rabbit pAb(bs-5702R)-50ul/100ul/200ul
¥1180
万千商家帮你免费找货
0 人在求购买到急需产品
- 详细信息
- 文献和实验
- 技术资料
- 应用范围:
产品信息以Bioss网站为准
- 规格:
50ul/100ul/200ul
| 规格: | 50ul | 产品价格: | ¥1180.0 |
|---|---|---|---|
| 规格: | 100ul | 产品价格: | ¥1980.0 |
| 规格: | 200ul | 产品价格: | ¥2800.0 |
| 产品编号 | bs-10943R |
| 英文名称 | IL17E Rabbit pAb |
| 中文名称 | 白介素-17E抗体 |
| 英文别名 | IL-25; Interleukin-17E; IL 17E; IL-17E; IL 25; IL25; Interleukin 17E; Interleukin 25; Interleukin17E; Interleukin25; IL25_HUMAN; interleukin-25 isoform 1 precursor; interleukin-25. |
| 产品应用 | WB=1:500-2000, IHC-P=1:100-500, IHC-F=1:100-500, IF=1:100-500 Not yet tested in other applications. |
| 交叉反应 | Human, Mouse (Rat, Cow, Horse, Rabbit, Sheep) |
| 抗体来源 | Rabbit |
| 免疫原 | KLH conjugated synthetic peptide derived from human IL17E |
| 亚型 | IgG |
| 性状 | Liquid |
| 纯化方法 | affinity purified by Protein A |
| 克隆类型 | Polyclonal |
| 理论分子量 | 17 kDa |
| 浓度 | 1mg/ml |
| 储存液 | 0.01M TBS (pH7.4) with 1% BSA, 0.02% Proclin300 and 50% Glycerol. |
| 研究领域 | Immunology > Innate Immunity > Cytokines > Interleukins |
| 亚细胞定位 | Secreted. |
| 组织特异性 | Expressed at low levels in several tissues, including brain, kidney, lung, prostate, testis, spinal cord, adrenal gland, and trachea. |
| 相似性 | Belongs to the IL-17 family. |
| 功能 | Induces activation of NF-kappa-B and stimulates production of the proinflammatory chemokine IL-8. Proinflammatory cytokine favoring Th2-type immune responses. |
| 保存条件 | Shipped at 4℃. Store at -20℃ for one year. Avoid repeated freeze/thaw cycles. |
| 注意事项 | This product as supplied is intended for research use only, not for use in human, therapeutic or diagnostic applications. |
| 背景资料 | The protein encoded by this gene is a cytokine that shares sequence similarity with interleukin 17. This cytokine can induce NF-kappaB activation, and stimulate the production of interleukin8. Both this cytokine and interleukin 17B are ligands for the cytokine receptor IL17BR. Studies of a similar gene in mice suggest that this cytokine may be a pro-inflammatory cytokine favoring the Th2-type immune response. Alternative splicing results in multiple transcript variants. [provided by RefSeq]. |
| 应用 | 推荐稀释比例 |
| {WB} | {1:500-2000} |
| {IHC-P} | {1:100-500} |
| {IHC-F} | {1:100-500} |
| {IF} | {1:100-500} |

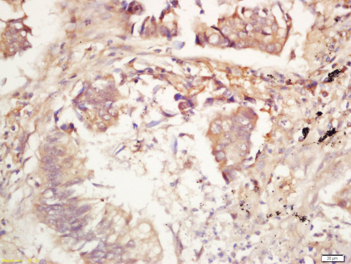
Primary: rabbit Anti-IL17E (bs-10943R) at 1:300;
Secondary: HRP conjugated Goat-Anti-rabbit IgG(bs-0295G-HRP) at 1: 5000;
Predicted band size: 17 kD
Observed band size: 17 kD

Antigen retrieval: citrate buffer ( 0.01M, pH 6.0 ), Boiling bathing for 15min; Block endogenous peroxidase by 3% Hydrogen peroxide for 30min; Blocking buffer (normal goat serum,C-0005) at 37℃ for 20 min;
Incubation: Anti-IL17E Polyclonal Antibody, Unconjugated(bs-10943R) 1:200, overnight at 4°C, followed by conjugation to the secondary antibody(SP-0023) and DAB(C-0010) staining
风险提示:丁香通仅作为第三方平台,为商家信息发布提供平台空间。用户咨询产品时请注意保护个人信息及财产安全,合理判断,谨慎选购商品,商家和用户对交易行为负责。对于医疗器械类产品,请先查证核实企业经营资质和医疗器械产品注册证情况。
文献和实验[IF={{ 5.6 }}] {Meiping Zhang. et al. Hypoxia induces the production of epithelial-derived cytokines in eosinophilic chronic rhinosinusitis with nasal polyps. INT IMMUNOPHARMACOL. 2023 Aug;121:110559} {IHC} {Human,Mouse}
[IF={{ 3.926 }}] {Zewei Zhao. et al. IL-25 ameliorates acute cholestatic liver injury via promoting hepatic bile acid secretion. CYTOKINE. 2022 Oct;158:155979} {IF} {Mouse}
[IF={{ 2.493 }}] {Min-jie Gong. et al. Melatonin reduces IL-33 and TSLP expression in human nasal epithelial cells by scavenging ROS directly. IMMUN INFLAMM DIS. 2023 Feb;11(2):e788} {WB} {Human}
= NAL), appears to form upon oxidative cyclization of the nonfluorescent 2:1 lysine-HNE Michael adduct-Schiff base cross-link (Scheme 1). Polyclonal antibody (PAb) to the NAL-HNE fluorophore was raised in rabbit and found to be highly specific
GE Healthcare Benzamidine Sepharose™ 6B is p-aminobenzamidine covalently attached to Sepharose 6B by the epoxy coupling method. p-Aminobenzamidine (PAB), is a synthetic inhibitor of trypsin-like serine protease. Trypsin and trypsin
Nucleic Acid Programmable Protein Arrays: Versatile Tools for Array‐Based Functional Protein Studies
.g., Sigma) 50 mg/ml bis‐sulfosuccinimdylsuberate (BS3 ;Pierce, cat. no. PI 21580) in dimethylsulfoxide (DMSO) 5 mg/ml
技术资料暂无技术资料 索取技术资料






