相关产品推荐更多 >
万千商家帮你免费找货
0 人在求购买到急需产品
- 详细信息
- 技术资料
- 应用范围:
产品信息以Bioss网站为准
- 规格:
50ul/100ul/200ul
| 规格: | 50ul | 产品价格: | ¥1180.0 |
|---|---|---|---|
| 规格: | 100ul | 产品价格: | ¥1980.0 |
| 规格: | 200ul | 产品价格: | ¥2800.0 |
| 产品编号 | bs-13954R |
| 英文名称 | CILP Rabbit pAb |
| 中文名称 | 软骨中间层蛋白CILP抗体 |
| 英文别名 | Cartilage intermediate layer protein 1 C1; Cartilage intermediate layer protein 1 C2; cartilage intermediate layer protein; cartilage intermediate layer protein, nucleotide pyrophosphohydrolase; Cartilage intermediate-layer protein; CILP 1; CILP; CILP-1; CILP1_HUMAN; HGNC:1980; HsT18872. |
| 产品应用 | WB=1:500-2000, IHC-P=1:100-500, IHC-F=1:100-500, IF=1:100-500 Not yet tested in other applications. |
| 交叉反应 | Human, Mouse, Rat (Cow, Horse, Sheep) |
| 抗体来源 | Rabbit |
| 免疫原 | KLH conjugated synthetic peptide derived from human CILP |
| 亚型 | IgG |
| 性状 | Liquid |
| 纯化方法 | affinity purified by Protein A |
| 克隆类型 | Polyclonal |
| 理论分子量 | 132 kDa |
| 浓度 | 1mg/ml |
| 储存液 | 0.01M TBS (pH7.4) with 1% BSA, 0.02% Proclin300 and 50% Glycerol. |
| 研究领域 | Immunology > Immune System Diseases > Autoimmune Signal Transduction > Cytoskeleton / ECM > Extracellular Matrix > ECM Proteins > Other ECM Proteins |
| 亚细胞定位 | Secreted > extracellular space > extracellular matrix. |
| 组织特异性 | Specifically expressed in cartilage. Localizes in the intermediates layer of articular cartilage but neither in the superficial nor in the deepest regions. Specifically and highly expressed in intervertebral disk tissue. Expression increases with aging in hip articular cartilage. Overexpressed in articular hyaline cartilage from patients with calcium pyrophosphate dihydrate crystal deposition disease (CPPD). Expression in intervertebral disk tissue from individuals with lumbar disk disease increases as disk degeneration progresses. |
| 翻译后修饰 | Cleaved into 2 chains possibly by a furin-like protease upon or preceding secretion. |
| 相似性 | Contains 1 Ig-like C2-type (immunoglobulin-like) domain. Contains 1 TSP type-1 domain. |
| 功能 | Probably plays a role in cartilage scaffolding. May act by antagonizing TGF-beta1 (TGFB1) and IGF1 functions. Has the ability to suppress IGF1-induced proliferation and sulfated proteoglycan synthesis, and inhibits ligand-induced IGF1R autophosphorylation. May inhibit TGFB1-mediated induction of cartilage matrix genes via its interaction with TGFB1. Overexpression may lead to impair chondrocyte growth and matrix repair and indirectly promote inorganic pyrophosphate (PPi) supersaturation in aging and osteoarthritis cartilage. |
| 保存条件 | Shipped at 4℃. Store at -20℃ for one year. Avoid repeated freeze/thaw cycles. |
| 注意事项 | This product as supplied is intended for research use only, not for use in human, therapeutic or diagnostic applications. |
| 背景资料 | Major alterations in the composition of the cartilage extracellular matrix occur in joint disease, such as osteoarthrosis. This gene encodes the cartilage intermediate layer protein (CILP), which increases in early osteoarthrosis cartilage. The encoded protein was thought to encode a protein precursor for two different proteins; an N-terminal CILP and a C-terminal homolog of NTPPHase, however, later studies identified no nucleotide pyrophosphatase phosphodiesterase (NPP) activity. The full-length and the N-terminal domain of this protein was shown to function as an IGF-1 antagonist. An allelic variant of this gene has been associated with lumbar disc disease. [provided by RefSeq, Sep 2010] |
| 应用 | 推荐稀释比例 |
| {WB} | {1:500-2000} |
| {IHC-P} | {1:100-500} |
| {IHC-F} | {1:100-500} |
| {IF} | {1:100-500} |

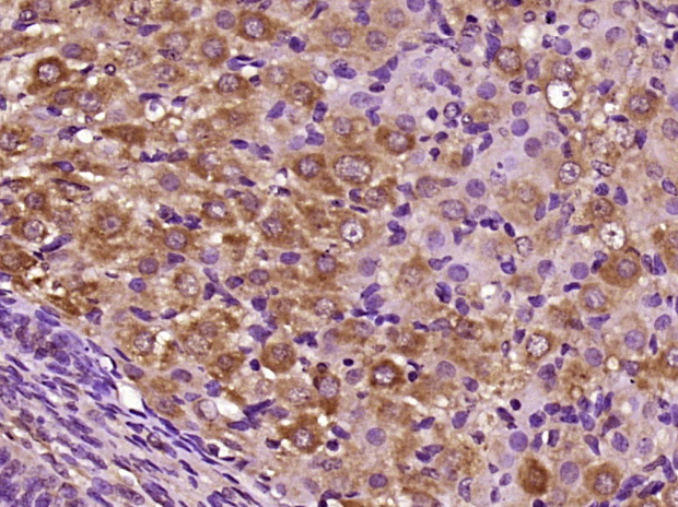
Paraformaldehyde-fixed, paraffin embedded (Rat ovary); Antigen retrieval by boiling in sodium citrate buffer (pH6.0) for 15min; Block endogenous peroxidase by 3% hydrogen peroxide for 20 minutes; Blocking buffer (normal goat serum) at 37°C for 30min; Antibody incubation with (CILP) Polyclonal Antibody, Unconjugated (bs-13954R) at 1:400 overnight at 4°C, followed by operating according to SP Kit(Rabbit) (sp-0023) instructionsand DAB staining.

Sample:
MCF-7 Cell (Human) Lysate at 30 ug
Primary: Anti-CILP (bs-13954R) at 1/300 dilution
Secondary: IRDye800CW Goat Anti-Rabbit IgG at 1/20000 dilution
Predicted band size: 132 kD
Observed band size: 132 kD
MCF-7 Cell (Human) Lysate at 30 ug
Primary: Anti-CILP (bs-13954R) at 1/300 dilution
Secondary: IRDye800CW Goat Anti-Rabbit IgG at 1/20000 dilution
Predicted band size: 132 kD
Observed band size: 132 kD

Paraformaldehyde-fixed, paraffin embedded (mouse ovary); Antigen retrieval by boiling in sodium citrate buffer (pH6.0) for 15min; Block endogenous peroxidase by 3% hydrogen peroxide for 20 minutes; Blocking buffer (normal goat serum) at 37°C for 30min; Incubation with (CILP) Polyclonal Antibody, Unconjugated (bs-13954R) at 1:200 overnight at 4°C, followed by operating according to SP Kit(Rabbit) (sp-0023) instructionsand DAB staining.
风险提示:丁香通仅作为第三方平台,为商家信息发布提供平台空间。用户咨询产品时请注意保护个人信息及财产安全,合理判断,谨慎选购商品,商家和用户对交易行为负责。对于医疗器械类产品,请先查证核实企业经营资质和医疗器械产品注册证情况。
技术资料暂无技术资料 索取技术资料
CILP Rabbit pAb(bs-13954R)-50ul/100ul/200ul
¥1180 - 2800







