相关产品推荐更多 >

DRD2 Mouse mAb(bsm-51203M)-50ul/100ul
¥1180
phospho-MARK2 (Ser595) Rabbit pAb, HRP conjugated(bs-5742R-HRP)-100ul
¥2980
Parvalbumin Rabbit pAb, PerCP-Cy7 conjugated(bs-1299R-PerCP-Cy7)-100ul
¥2980
HPV16 E7 Rabbit pAb, PE-Cy5.5 conjugated(bs-0714R-PE-Cy5.5)-100ul
¥2980
phospho-IRF3 (Ser386) Recombinant Rabbit mAb(bsm-52170R)-50ul/100ul/25ul
¥800
万千商家帮你免费找货
0 人在求购买到急需产品
- 详细信息
- 文献和实验
- 技术资料
- 应用范围:
产品信息以Bioss网站为准
- 规格:
50ul/100ul
| 规格: | 50ul | 产品价格: | ¥1180.0 |
|---|---|---|---|
| 规格: | 100ul | 产品价格: | ¥1980.0 |
| 产品编号 | bs-1210R |
| 英文名称 | BRCA2 Rabbit pAb |
| 中文名称 | 乳腺癌易感基因2抗体 |
| 英文别名 | BRCA2_HUMAN; Breast cancer type 2 susceptibility protein; FACD; FANCD1; Fanconi anemia group D1 protein; BRCA 2; BRCA2 DNA repair associated; FAD; FAD1; GLM3; BRCC2; FANCD; PNCA2; XRCC11; BROVCA2; |
| 产品应用 | IHC-P=1:100-500, IHC-F=1:100-500, IF=1:100-500, ELISA=1:5000-10000 Not yet tested in other applications. |
| 交叉反应 | Human, Rat (Mouse) |
| 抗体来源 | Rabbit |
| 免疫原 | KLH conjugated synthetic peptide derived from human BRCA2 |
| 亚型 | IgG |
| 性状 | Liquid |
| 纯化方法 | affinity purified by Protein A |
| 克隆类型 | Polyclonal |
| 理论分子量 | 384 kDa |
| 浓度 | 1mg/ml |
| 储存液 | 0.01M TBS (pH7.4) with 1% BSA, 0.02% Proclin300 and 50% Glycerol. |
| 研究领域 | Cancer > Oncoproteins/suppressors > Tumor suppressors Epigenetics and Nuclear Signaling > DNA / RNA > DNA Damage & Repair > DNA Damage Response > BRCT Domain Proteins Epigenetics and Nuclear Signaling > DNA / RNA > DNA Damage & Repair > Homologous Recomb. Epigenetics and Nuclear Signaling > Transcription > Cancer susceptibility > Tumor Suppressors Epigenetics and Nuclear Signaling > Transcription > Transcription Factors |
| 亚基 | Monomer and dimer. Interacts with RAD51; regulates RAD51 recruitment and function at sites of DNA repair. Interacts with DSS1. Interacts with both nonubiquitinated and monoubiquitinated FANCD2; this complex also includes XRCC3 and phosphorylated FANCG. Interacts with WDR16. Interacts with USP11. Interacts with DMC1. Part of a trimeric complex containing BRCA1, BRCA2 and PALB2. Interacts with PALB2. Interacts with BRCA1 only in the presence of PALB2 which serves as the bridging protein. Interacts with ROCK2 and NPM1. |
| 亚细胞定位 | Nuclear protein. |
| 组织特异性 | Highest levels of expression in breast and thymus, with slightly lower levels in lung, ovary and spleen. |
| 翻译后修饰 | Phosphorylated by ATM upon irradiation-induced DNA damage. Phosphorylation by CHEK1 and CHEK2 regulates interaction with RAD51. Phosphorylation at Ser-3291 by CDK1 and CDK2 is low in S phase when recombination is active, but increases as cells progress towards mitosis; this phosphorylation prevents homologous recombination-dependent repair during S phase and G2 by inhibiting RAD51 binding.
Ubiquitinated in the absence of DNA damage; this does not lead to proteasomal degradation. In contrast, ubiquitination in response to DNA damage leads to proteasomal degradation. |
| 相似性 | Contains 8 BRCA2 repeats. |
| 功能 | Involved in double-strand break repair and/or homologous recombination. Binds RAD51 and potentiates recombinational DNA repair by promoting assembly of RAD51 onto single-stranded DNA (ssDNA). Acts by targeting RAD51 to ssDNA over double-stranded DNA, enabling RAD51 to displace replication protein-A (RPA) from ssDNA and stabilizing RAD51-ssDNA filaments by blocking ATP hydrolysis. May participate in S phase checkpoint activation. Binds selectively to ssDNA, and to ssDNA in tailed duplexes and replication fork structures. In concert with NPM1, regulates centrosome duplication. |
| 保存条件 | Shipped at 4℃. Store at -20℃ for one year. Avoid repeated freeze/thaw cycles. |
| 注意事项 | This product as supplied is intended for research use only, not for use in human, therapeutic or diagnostic applications. |
| 背景资料 | Inherited mutations in BRCA1 and this gene, BRCA2, confer increased lifetime risk of developing breast or ovarian cancer. Both BRCA1 and BRCA2 are involved in maintenance of genome stability, specifically the homologous recombination pathway for double-strand DNA repair. The largest exon in both genes is exon 11, which harbors the most important and frequent mutations in breast cancer patients. The BRCA2 gene was found on chromosome 13q12.3 in human. The BRCA2 protein contains several copies of a 70 aa motif called the BRC motif, and these motifs mediate binding to the RAD51 recombinase which functions in DNA repair. BRCA2 is considered a tumor suppressor gene, as tumors with BRCA2 mutations generally exhibit loss of heterozygosity (LOH) of the wild-type allele. [provided by RefSeq, May 2020] |
| 应用 | 推荐稀释比例 |
| {IHC-P} | {1:100-500} |
| {IHC-F} | {1:100-500} |
| {IF} | {1:100-500} |
| {ELISA} | {1:5000-10000} |

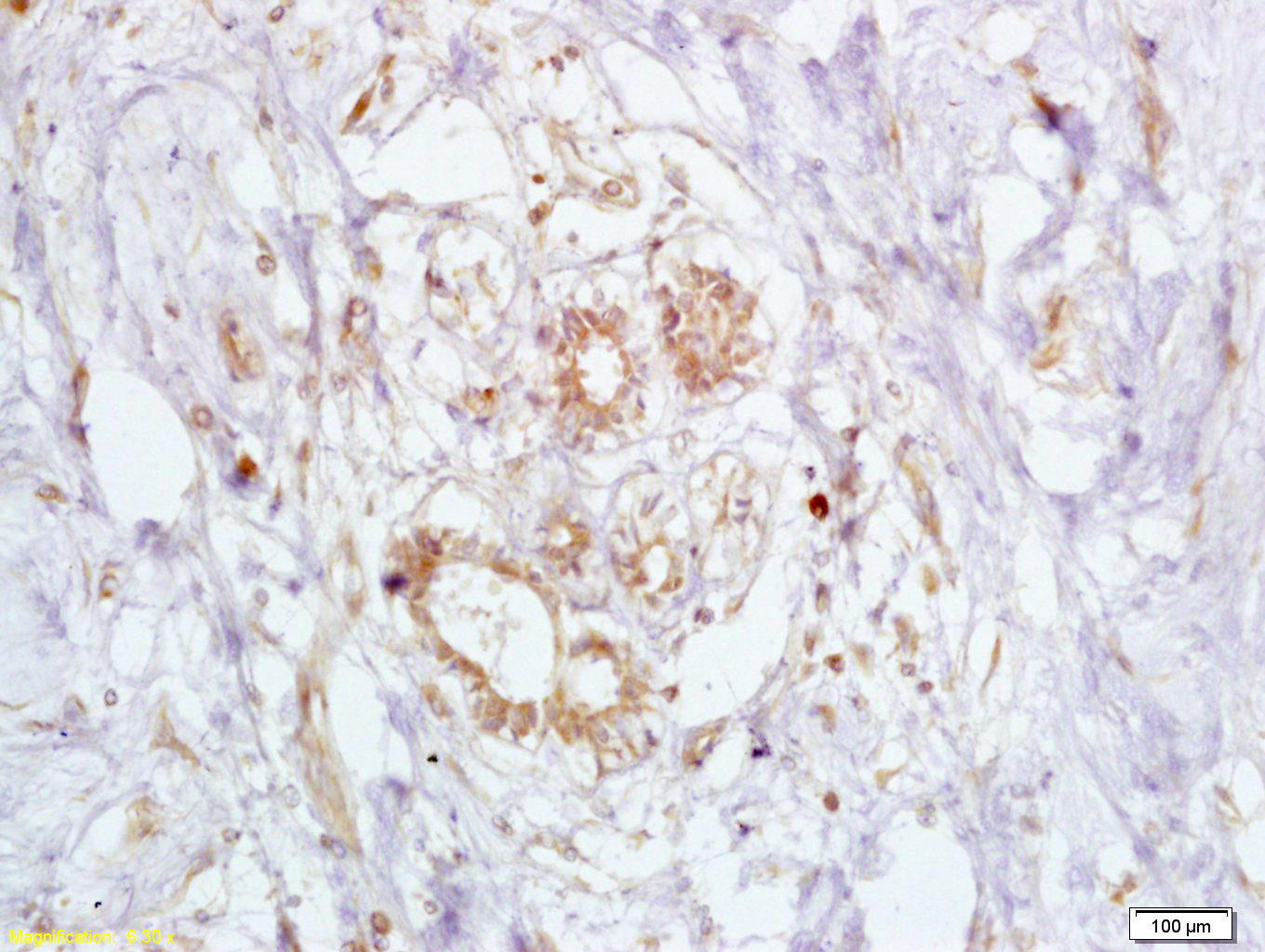
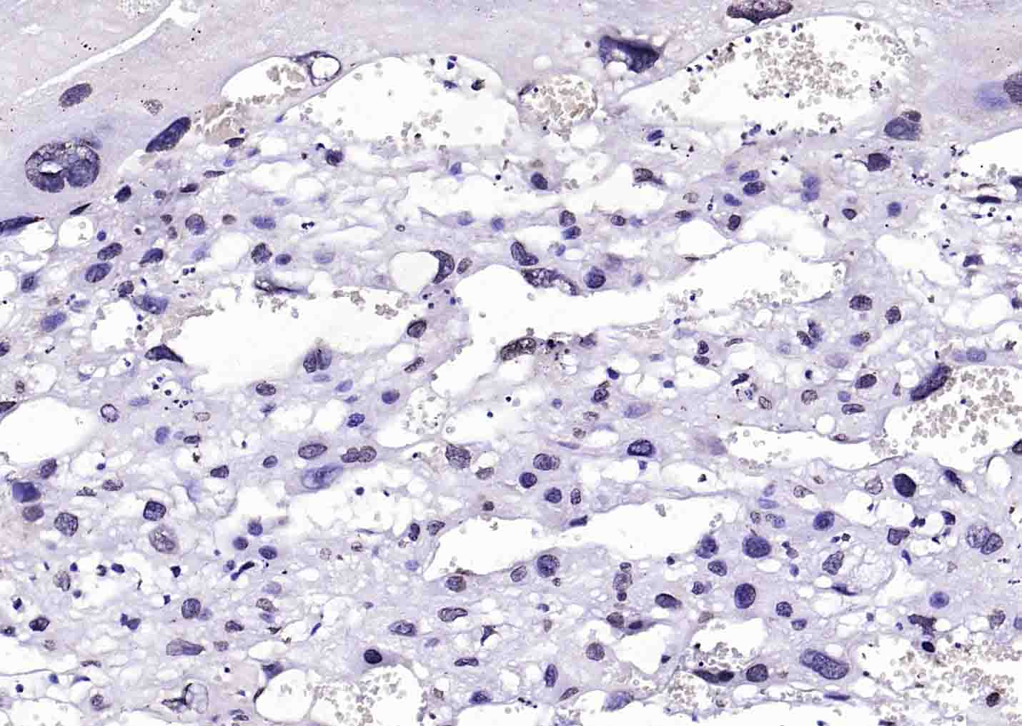
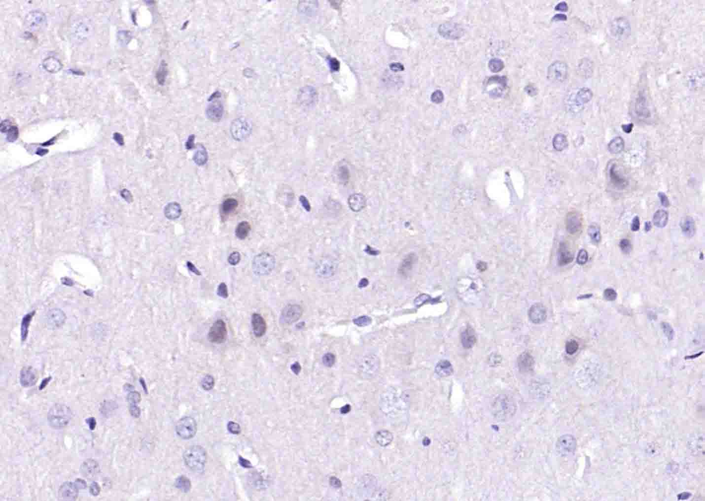
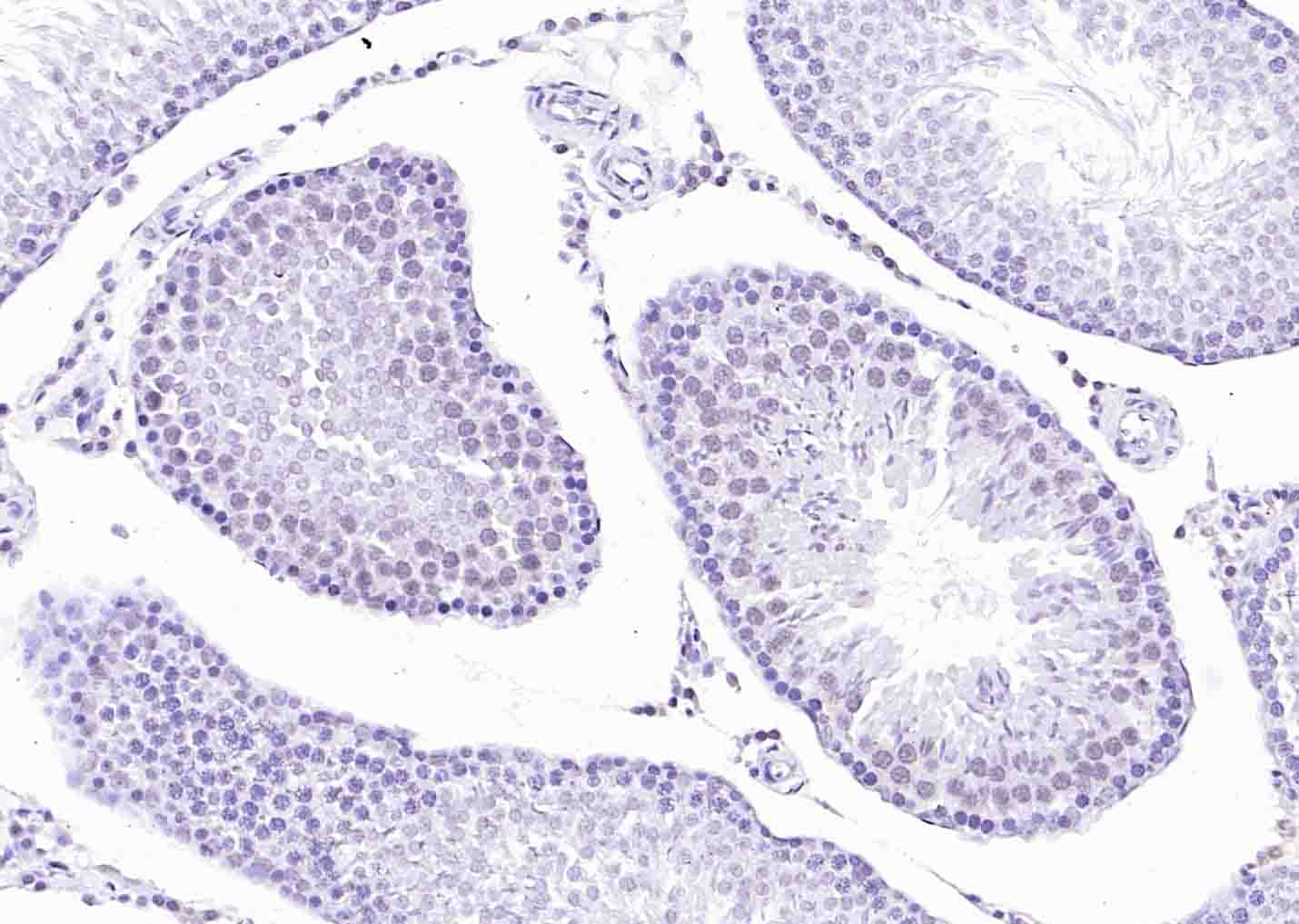
Antigen retrieval: citrate buffer ( 0.01M, pH 6.0 ), Boiling bathing for 15min; Block endogenous peroxidase by 3% Hydrogen peroxide for 30min; Blocking buffer (normal goat serum,C-0005) at 37℃ for 20 min;
Incubation: Anti-BRCA2/FANCB Polyclonal Antibody, Unconjugated(bs-1210R) 1:200, overnight at 4°C, followed by conjugation to the secondary antibody(SP-0023) and DAB(C-0010) staining



风险提示:丁香通仅作为第三方平台,为商家信息发布提供平台空间。用户咨询产品时请注意保护个人信息及财产安全,合理判断,谨慎选购商品,商家和用户对交易行为负责。对于医疗器械类产品,请先查证核实企业经营资质和医疗器械产品注册证情况。
文献和实验[IF={{ 4.366 }}] {Elkafas H et al. Vitamin D3 Ameliorates DNA Damage Caused by Developmental Exposure to Endocrine Disruptors in the Uterine Myometrial Stem Cells of Eker Rats. Cells. 2020 Jun 12;9(6):1459.} {WB} {Rat}
[IF={{ 4.165 }}] {Juliet Goldsmithet al. Ribosome profiling reveals a functional role for autophagy in mRNA translational control. Commun Biol . 2020 Jul 17;3(1):388.} {WB} {Human}
[IF={{ 3.184 }}] {Prusinski Fernung LE et al. Endocrine disruptor exposure during development increases incidence of uterine fibroids by altering DNA repair in myometrial stem cells.Biol Reprod. 2018 Oct 1;99(4):735-748.} {IHC} {Rat}
= NAL), appears to form upon oxidative cyclization of the nonfluorescent 2:1 lysine-HNE Michael adduct-Schiff base cross-link (Scheme 1). Polyclonal antibody (PAb) to the NAL-HNE fluorophore was raised in rabbit and found to be highly specific
GE Healthcare Benzamidine Sepharose™ 6B is p-aminobenzamidine covalently attached to Sepharose 6B by the epoxy coupling method. p-Aminobenzamidine (PAB), is a synthetic inhibitor of trypsin-like serine protease. Trypsin and trypsin
Nucleic Acid Programmable Protein Arrays: Versatile Tools for Array‐Based Functional Protein Studies
.g., Sigma) 50 mg/ml bis‐sulfosuccinimdylsuberate (BS3 ;Pierce, cat. no. PI 21580) in dimethylsulfoxide (DMSO) 5 mg/ml
技术资料暂无技术资料 索取技术资料






