相关产品推荐更多 >
万千商家帮你免费找货
0 人在求购买到急需产品
- 详细信息
- 文献和实验
- 技术资料
- 应用范围:
产品信息以Bioss网站为准
- 规格:
50ul/100ul/200ul
| 规格: | 50ul | 产品价格: | ¥1180.0 |
|---|---|---|---|
| 规格: | 100ul | 产品价格: | ¥1980.0 |
| 规格: | 200ul | 产品价格: | ¥2800.0 |
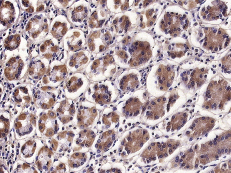
| 产品编号 | bs-2609R |
| 英文名称 | IL-17B Rabbit pAb |
| 中文名称 | 白介素-17B抗体 |
| 英文别名 | Interleukin-17B; IL17B; IL-17B; IL-20; MGC138900; MGC138901; ZCYTO7; interleukin 20; cytokine-like protein ZCYTO7; neuronal interleukin-17 related factor; interleukin-17 beta; interleukin-20; cytokine Zcyto7; neuronal interleukin-17-related factor; interleukin-17B; IL17B_MOUSE. |
| 产品应用 | IHC-P=1:100-500, IHC-F=1:100-500, IF=1:100-500 Not yet tested in other applications. |
| 交叉反应 | Human, Rat (Mouse, Dog, Pig, Cow, Horse) |
| 抗体来源 | Rabbit |
| 免疫原 | KLH conjugated synthetic peptide derived from mouse IL-17B |
| 亚型 | IgG |
| 性状 | Liquid |
| 纯化方法 | affinity purified by Protein A |
| 克隆类型 | Polyclonal |
| 理论分子量 | 18 kDa |
| 浓度 | 1mg/ml |
| 储存液 | 0.01M TBS (pH7.4) with 1% BSA, 0.02% Proclin300 and 50% Glycerol. |
| 研究领域 | Immunology > Innate Immunity > Cytokines > Interleukins |
| 亚细胞定位 | Secreted. |
| 相似性 | Belongs to the IL-17 family. |
| 功能 | Stimulates the release of tumor necrosis factor alpha and IL-1-beta from the monocytic cell line THP-1. |
| 保存条件 | Shipped at 4℃. Store at -20℃ for one year. Avoid repeated freeze/thaw cycles. |
| 注意事项 | This product as supplied is intended for research use only, not for use in human, therapeutic or diagnostic applications. |
| 背景资料 | The protein encoded by this gene is a T cell-derived cytokine that shares sequence similarity with IL17. This cytokine was reported to stimulate the release of TNF alpha (TNF) and IL1 beta (IL1B) from a monocytic cell line. Immunohistochemical analysis of several nerve tissues indicated that this cytokine is primarily localized to neuronal cell bodies. [provided by RefSeq, Jul 2008] |
| 应用 | 推荐稀释比例 |
| {IHC-P} | {1:100-500} |
| {IHC-F} | {1:100-500} |
| {IF} | {1:100-500} |


风险提示:丁香通仅作为第三方平台,为商家信息发布提供平台空间。用户咨询产品时请注意保护个人信息及财产安全,合理判断,谨慎选购商品,商家和用户对交易行为负责。对于医疗器械类产品,请先查证核实企业经营资质和医疗器械产品注册证情况。
文献和实验[IF={{ 6.304 }}] {Yuge Gao. et al. Single cell transcriptional zonation of human psoriasis skin identifies an alternative immunoregulatory axis conducted by skin resident cells. Cell Death Dis. 2021 May;12(5):1-13} {IF,IHC} {Human}
[IF={{ 4.72 }}] {Aupperlee, Mark D., et al. "Epidermal growth factor receptor (EGFR)-signaling is a key mediator of hormone-induced leukocyte infiltration in the pubertal female mammary gland." Endocrinology (2014).} {IHC} {="Mouse"}
[IF={{ 3.9 }}] {Wu Dongsheng. et al. Shaoyao decoction alleviates TNBS-induced ulcerative colitis by decreasing inflammation and balancing the homeostasis of Th17/Treg cells. BMC Complementary Medicine and Therapies. 2023 Dec;23(1):1-14} {IHC} {Rat}
[IF={{ 2.885 }}] {Sun, Xinxin. et al. 0.1% Nano-silver mediates PD-1/PD-L1 pathway and alleviates chronic apical periodontitis in rats. ODONTOLOGY. 2022 Sep;:1-11} {IHC} {Rat}
= NAL), appears to form upon oxidative cyclization of the nonfluorescent 2:1 lysine-HNE Michael adduct-Schiff base cross-link (Scheme 1). Polyclonal antibody (PAb) to the NAL-HNE fluorophore was raised in rabbit and found to be highly specific
分子 -1 (rabbit ICAM-1) ELISA 48T/96T 2000/3000 进口分装 F20170 兔干扰素 -r(rabbit IFN-r) ELISA 48T/96T 1500/2500 进口分装 F20180 兔白介素
ELISPOT (Enzyme-linked ImmunoSPOT)
Mouse Cytokine ELISPOT Set Catalog No. Capture mAb Detection mAb IFN-γ 88-7384 AN-18 R4-6A2 IL-1α 88-7813 ALF-161 Rabbit
技术资料暂无技术资料 索取技术资料









