相关产品推荐更多 >

CCL26 Rabbit pAb, FITC conjugated(bs-15513R-FITC)-100ul
¥2980
CD8B Rabbit pAb, BF750 conjugated(bs-4914R-BF750)-100ul
¥2980
NF-L Rabbit pAb, PerCP-Cy5.5 conjugated(bs-0707R-PerCP-Cy5.5)-100ul
¥2980
IFNAR1 Rabbit pAb, FITC conjugated(bs-4116R-FITC)-100ul
¥2980
PIRH2 Rabbit pAb, Biotin conjugated(bs-4895R-Bio)-100ul
¥2980
万千商家帮你免费找货
0 人在求购买到急需产品
- 详细信息
- 文献和实验
- 技术资料
- 应用范围:
产品信息以Bioss网站为准
- 规格:
50ul/100ul/200ul
| 规格: | 50ul | 产品价格: | ¥1180.0 |
|---|---|---|---|
| 规格: | 100ul | 产品价格: | ¥1980.0 |
| 规格: | 200ul | 产品价格: | ¥2800.0 |
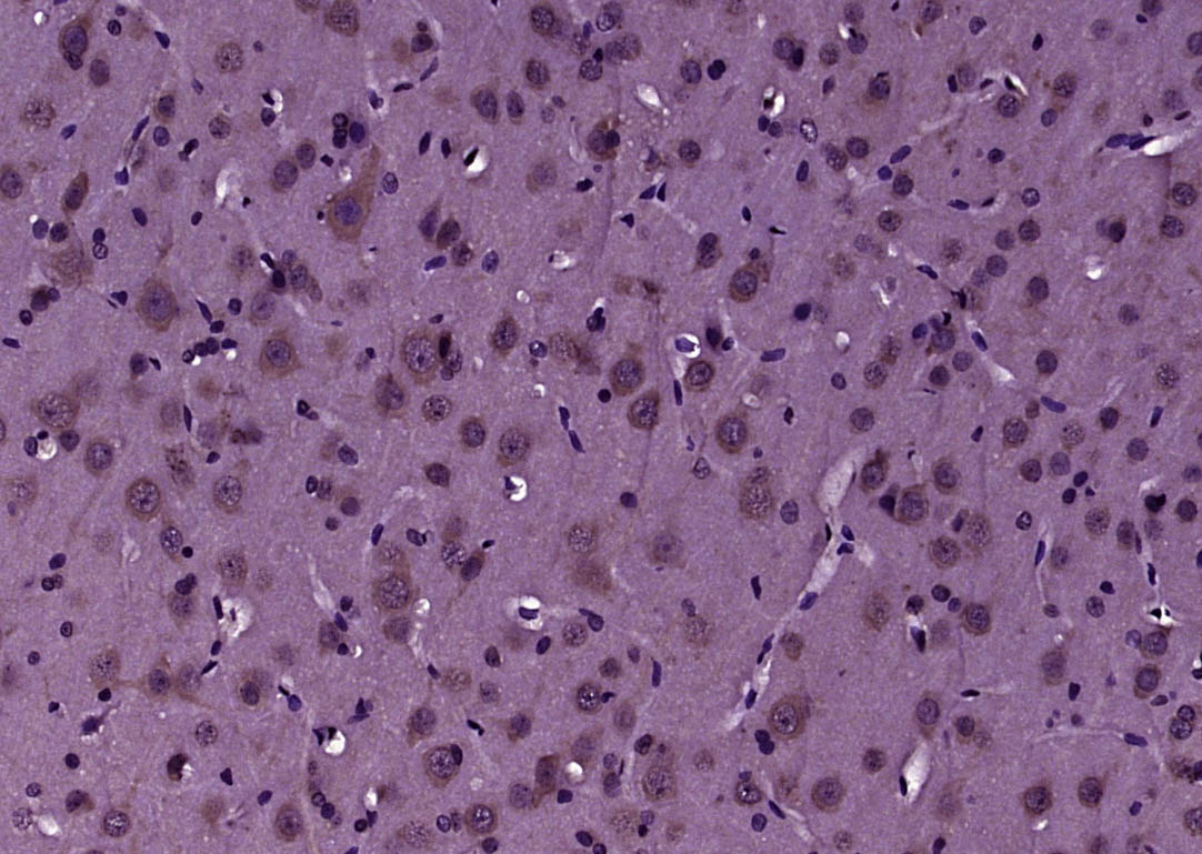
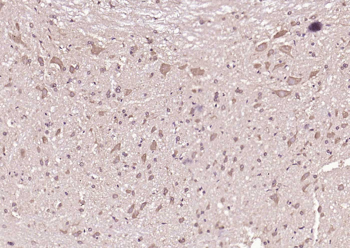
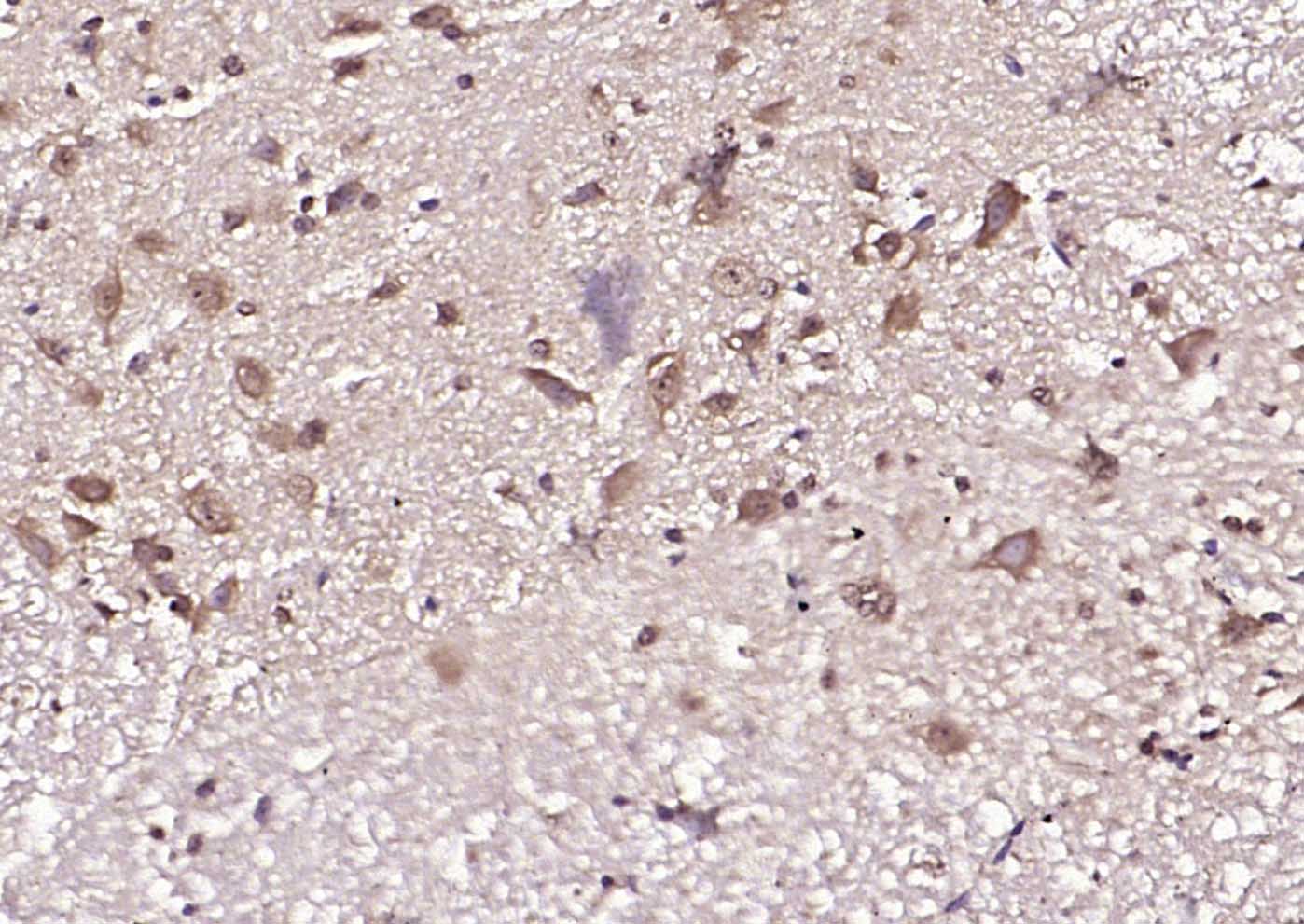
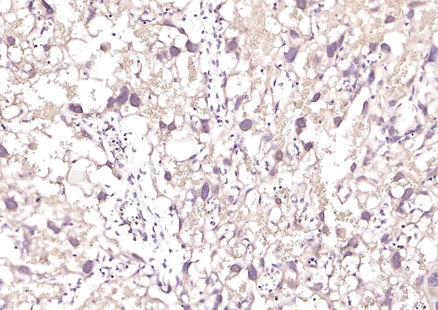
| 产品编号 | bs-7115R |
| 英文名称 | MLC1 Rabbit pAb |
| 中文名称 | 膜蛋白MLC1抗体 |
| 英文别名 | KIAA0027; LVM; Megalencephalic leukoencephalopathy with subcortical cysts 1; Membrane protein MLC1; MLC; MLC-1; MLC1_HUMAN; VL; WKL1. |
| 产品应用 | IHC-P=1:100-500, IHC-F=1:100-500, IF=1:100-500 Not yet tested in other applications. |
| 交叉反应 | Mouse, Rat (Human, Dog, Pig, Horse, Rabbit) |
| 抗体来源 | Rabbit |
| 免疫原 | KLH conjugated synthetic peptide derived from human MLC1 |
| 亚型 | IgG |
| 性状 | Liquid |
| 纯化方法 | affinity purified by Protein A |
| 克隆类型 | Polyclonal |
| 理论分子量 | 41 kDa |
| 浓度 | 1mg/ml |
| 储存液 | 0.01M TBS (pH7.4) with 1% BSA, 0.02% Proclin300 and 50% Glycerol. |
| 研究领域 | Cell Biology > Other Antibodies > Other Antibodies Neuroscience > Neurotransmission > Receptors / Channels > More Ion Channels |
| 亚基 | Interacts with ATP1B1. Part of a complex containing ATP1B1, TRPV4, AQP4 and HEPACAM. |
| 亚细胞定位 | Membrane; Multi-pass membrane protein (Potential). Cell membrane. Cytoplasm, perinuclear region. Endoplasmic reticulum. |
| 组织特异性 | Expressed in the brain, with highest levels found in the amygdala, nucleus caudatus, thalamus and hippocampus. |
| 功能 | May be a transporter. May act as a non-selective neuronal cation channel. |
| 保存条件 | Shipped at 4℃. Store at -20℃ for one year. Avoid repeated freeze/thaw cycles. |
| 注意事项 | This product as supplied is intended for research use only, not for use in human, therapeutic or diagnostic applications. |
| 背景资料 | MLC1 is a 377 amino acid multi-pass membrane protein that may serve as a non-selective neuronal cation channel in brain. Mutant MLC1 proteins that show impaired folding have been corrected in vitro with the addition of a Ca(2+)-ATPase inhibitor, curcumin. Mutations in the gene encoding MLC1 is the cause of megalencephalic leukoencephalopathy with subcortical cysts, also known as van der Knaap disease, a rare syndrome characterized early in life by progressive brain destruction causing mental retardation and incoordination. Single nucleotide polymorphisms within the MLC1 gene may be associated with periodic catatonia, but there seems to be conflicting evidence on whether or not the gene is implicated in general schizophrenia. |
| 应用 | 推荐稀释比例 |
| {IHC-P} | {1:100-500} |
| {IHC-F} | {1:100-500} |
| {IF} | {1:100-500} |




风险提示:丁香通仅作为第三方平台,为商家信息发布提供平台空间。用户咨询产品时请注意保护个人信息及财产安全,合理判断,谨慎选购商品,商家和用户对交易行为负责。对于医疗器械类产品,请先查证核实企业经营资质和医疗器械产品注册证情况。
文献和实验[IF={{ 8.713 }}] {Zhao-Bo Luo. et al. Fecal transplant from myostatin deletion pigs positively impacts the gut-muscle axis. ELIFE. 2023; 12: e81858} {WB} {Mouse}
[IF={{ 5.168 }}] {Gu et al. Fasudil attenuates soluble fms-like tyrosine kinase-1 (sFlt-1)-induced hypertension in pregnant mice through RhoA/ROCK pathway. (2017) Oncotarget. 8:104104-104112} {WB} {Mouse}
[IF={{ 3.4 }}] {Yijie Liu. et al. Electroacupuncture improves retinal function in myopia Guinea pigs probably via inhibition of the RhoA/ROCK2 signaling pathway. HELIYON. 2024 Aug;10:} {WB} {Guinea pig}
[IF={{ 12.2 }}] {Zi-Yan Hu. et al. AHR activation relieves deoxynivalenol-induced disruption of porcine intestinal epithelial barrier functions. J HAZARD MATER. 2024 Dec;480:136095} {WB} {Porcine}
= NAL), appears to form upon oxidative cyclization of the nonfluorescent 2:1 lysine-HNE Michael adduct-Schiff base cross-link (Scheme 1). Polyclonal antibody (PAb) to the NAL-HNE fluorophore was raised in rabbit and found to be highly specific
GE Healthcare Benzamidine Sepharose™ 6B is p-aminobenzamidine covalently attached to Sepharose 6B by the epoxy coupling method. p-Aminobenzamidine (PAB), is a synthetic inhibitor of trypsin-like serine protease. Trypsin and trypsin
Nucleic Acid Programmable Protein Arrays: Versatile Tools for Array‐Based Functional Protein Studies
.g., Sigma) 50 mg/ml bis‐sulfosuccinimdylsuberate (BS3 ;Pierce, cat. no. PI 21580) in dimethylsulfoxide (DMSO) 5 mg/ml
技术资料暂无技术资料 索取技术资料






