相关产品推荐更多 >

AZI1 Rabbit pAb, AP conjugated(bs-12977R-AP)-100ul
¥2980
phospho-SCNN1B (Ser633) Rabbit pAb, Cy5 conjugated(bs-5702R-Cy5)-100ul
¥2980
phospho-SHIP1 (Tyr1020) Rabbit pAb(bs-3398R)-50ul/100ul/200ul
¥1180
Histone H2A/H2A.1 Rabbit pAb(bs-3779R)-50ul/100ul/200ul
¥1180
SPHK2 Rabbit pAb(bs-2653R)-50ul/100ul
¥1180
万千商家帮你免费找货
0 人在求购买到急需产品
- 详细信息
- 技术资料
- 应用范围:
产品信息以Bioss网站为准
- 规格:
50ul/100ul/200ul
| 规格: | 50ul | 产品价格: | ¥1180.0 |
|---|---|---|---|
| 规格: | 100ul | 产品价格: | ¥1980.0 |
| 规格: | 200ul | 产品价格: | ¥2800.0 |
| 产品编号 | bs-5919R |
| 英文名称 | Angiopoietin-like 4 Rabbit pAb |
| 中文名称 | 血管生成素样蛋白4抗体 |
| 英文别名 | Angiopoietin like 4; Angiopoietin related protein 4; Angiopoietin-like protein 4; Angiopoietin-related protein 4; ANGL4_HUMAN; ANGPT L2; ANGPT L4; ANGPTL2; ANGPTL4; ARP4; Fasting induced adipose factor; FIAF; Hepatic angiopoietin related protein; Hepatic fibrinogengiopoietin related protein; Hepatic fibrinogengiopoietin-related protein; HFARP; NL2; Peroxisome proliferator-activated receptor(PPAR) gamma induced angiopoietin related protein antibody PGAR; pp1158; PPARG angiopoietin related protein; PSEC0166; Weakly similar to angiopoietin 1 [H.sapiens]. |
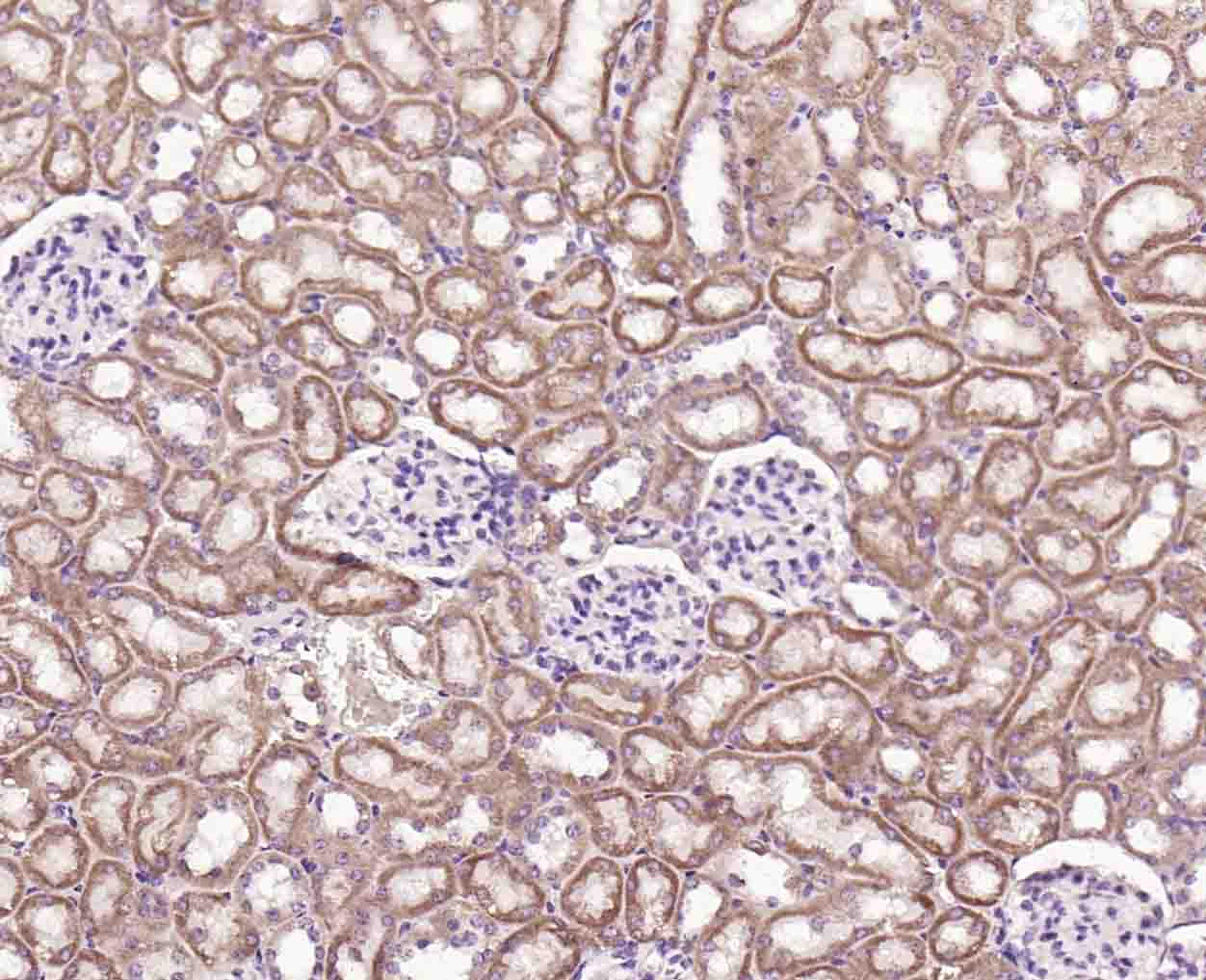
| 产品应用 | WB=1:500-2000, IHC-P=1:100-500, IHC-F=1:100-500, IF=1:100-500 Not yet tested in other applications. |
| 交叉反应 | Human, Mouse, Rat, 肝, 肝, 肝, human renal cell carcinoma, human renal cell carcinoma (Dog, Pig, Cow, Rabbit, Sheep) |
| 抗体来源 | Rabbit |
| 免疫原 | KLH conjugated synthetic peptide derived from human ANGPTL4/ARP4 |
| 亚型 | IgG |
| 性状 | Liquid |
| 纯化方法 | affinity purified by Protein A |
| 克隆类型 | Polyclonal |
| 理论分子量 | 45 kDa |
| 浓度 | 1mg/ml |
| 储存液 | 0.01M TBS (pH7.4) with 1% BSA, 0.02% Proclin300 and 50% Glycerol. |
| 研究领域 | Cancer > Cancer Metabolism > Metabolic signaling pathway > Metabolism of lipids and lipoproteins Cancer > Cancer Metabolism > Response to hypoxia Cardiovascular > Angiogenesis > Growth Factors Cardiovascular > Hypoxia > Hypoxia-Regulated Cardiovascular > Lipids / Lipoproteins > Lipid Metabolism > Cholesterol Metabolism Metabolism > Pathways and Processes > Metabolic signaling pathways > Lipid and lipoprotein metabolism > Cholesterol Metabolism Metabolism > Pathways and Processes > Metabolic signaling pathways > Lipid and lipoprotein metabolism > Lipid metabolism Metabolism > Pathways and Processes > Metabolism processes > Hypoxia |
| 亚基 | Homooligomer. The homooligomer undergoes proteolytic processing to release its carboxyl fibrinogen-like domain, which circulates as a monomer. The homooligomer unprocessed form is able to interact with the extracellular matrix. |
| 亚细胞定位 | Secreted. Secreted, extracellular space, extracellular matrix. |
| 组织特异性 | Expressed at high levels in the placenta, heart, liver, muscle, pancreas and lung but expressed poorly in the brain and kidney. |
| 翻译后修饰 | N-glycosylated. |
| 相似性 | Contains 1 fibrinogen C-terminal domain. |
| 功能 | Protein with hypoxia-induced expression in endothelial cells. May act as a regulator of angiogenesis and modulate tumorgenesis. Inhibits proliferation, migration, and tubule formation of endothelial cells and reduces vascular leakage. May exert a protective function on endothelial cells through an endocrine action. It is directly involved in regulating glucose homeostasis, lipid metabolism, and insulin sensitivity. In response to hypoxia, the unprocessed form of the protein accumulates in the subendothelial extracellular matrix (ECM). The matrix-associated and immobilized unprocessed form limits the formation of actin stress fibers and focal contacts in the adhering endothelial cells and inhibits their adhesion. It also decreases motility of endothelial cells and inhibits the sprouting and tube formation. |
| 保存条件 | Shipped at 4℃. Store at -20℃ for one year. Avoid repeated freeze/thaw cycles. |
| 注意事项 | This product as supplied is intended for research use only, not for use in human, therapeutic or diagnostic applications. |
| 背景资料 | This gene encodes a glycosylated, secreted protein containing a C-terminal fibrinogen domain. The encoded protein is induced by peroxisome proliferation activators and functions as a serum hormone that regulates glucose homeostasis, lipid metabolism, and insulin sensitivity. This protein can also act as an apoptosis survival factor for vascular endothelial cells and can prevent metastasis by inhibiting vascular growth and tumor cell invasion. The C-terminal domain may be proteolytically-cleaved from the full-length secreted protein. Decreased expression of this gene has been associated with type 2 diabetes. Alternative splicing results in multiple transcript variants. This gene was previously referred to as ANGPTL2 but has been renamed ANGPTL4. [provided by RefSeq, Sep 2013] |
| 应用 | 推荐稀释比例 |
| {WB} | {1:500-2000} |
| {IHC-P} | {1:100-500} |
| {IHC-F} | {1:100-500} |
| {IF} | {1:100-500} |





Lane 1: Human 293T cell lysates
Lane 2: Human HUVEC cell lysates
Lane 3: Human HepG2 cell lysates
Primary: Anti-Angiopoietin-like 4 (bs-5919R) at 1/1000 dilution
Secondary: IRDye800CW Goat Anti-Rabbit IgG at 1/20000 dilution
Predicted band size: 45 kDa
Observed band size: 60 kDa


风险提示:丁香通仅作为第三方平台,为商家信息发布提供平台空间。用户咨询产品时请注意保护个人信息及财产安全,合理判断,谨慎选购商品,商家和用户对交易行为负责。对于医疗器械类产品,请先查证核实企业经营资质和医疗器械产品注册证情况。
技术资料暂无技术资料 索取技术资料






