相关产品推荐更多 >
万千商家帮你免费找货
0 人在求购买到急需产品
- 详细信息
- 文献和实验
- 技术资料
- 应用范围:
产品信息以Bioss网站为准
- 规格:
50ul/100ul/200ul
| 规格: | 50ul | 产品价格: | ¥1180.0 |
|---|---|---|---|
| 规格: | 100ul | 产品价格: | ¥1980.0 |
| 规格: | 200ul | 产品价格: | ¥2800.0 |
| 产品编号 | bs-3491R |
| 英文名称 | phospho-ERBB3 (Tyr1289) Rabbit pAb |
| 中文名称 | 磷酸化HER3抗体 |
| 英文别名 | Her3/ErbB3(phospho-Tyr1289); p-HRE3(Tyr1289); ErbB 3(phospho Y1289); Receptor tyrosine-protein kinase erbB-3; ErbB-3; c erbB 3; c-erbB3; ErbB 3; cerbB3; ERBB3 protein; cerbB; 3erbB3 S; Glial growth factor receptor; HER 3; HER3; LCCS2; MDA BF 1; MGC88033; p180 ErbB3; p45 sErbB3; p85 sErbB3; proto-oncogene-; receptor tyrosine protein kinase ERB3 [precursor]; Receptor tyrosine protein kinase erbB 3; Receptor tyrosine protein kinase erbB3; Tyrosine kinase type cell surface receptor HER3; V erb b2 avian erythroblastic leukemia viral oncogene homolog 3; v erb b2 erythroblastic leukemia viral oncogene homolog 3(avian); v erb b2 erythroblastic leukemia viral oncogene homolog 3; ERBB3_HUMAN. |
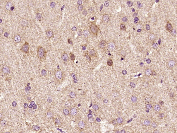
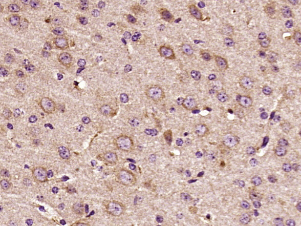
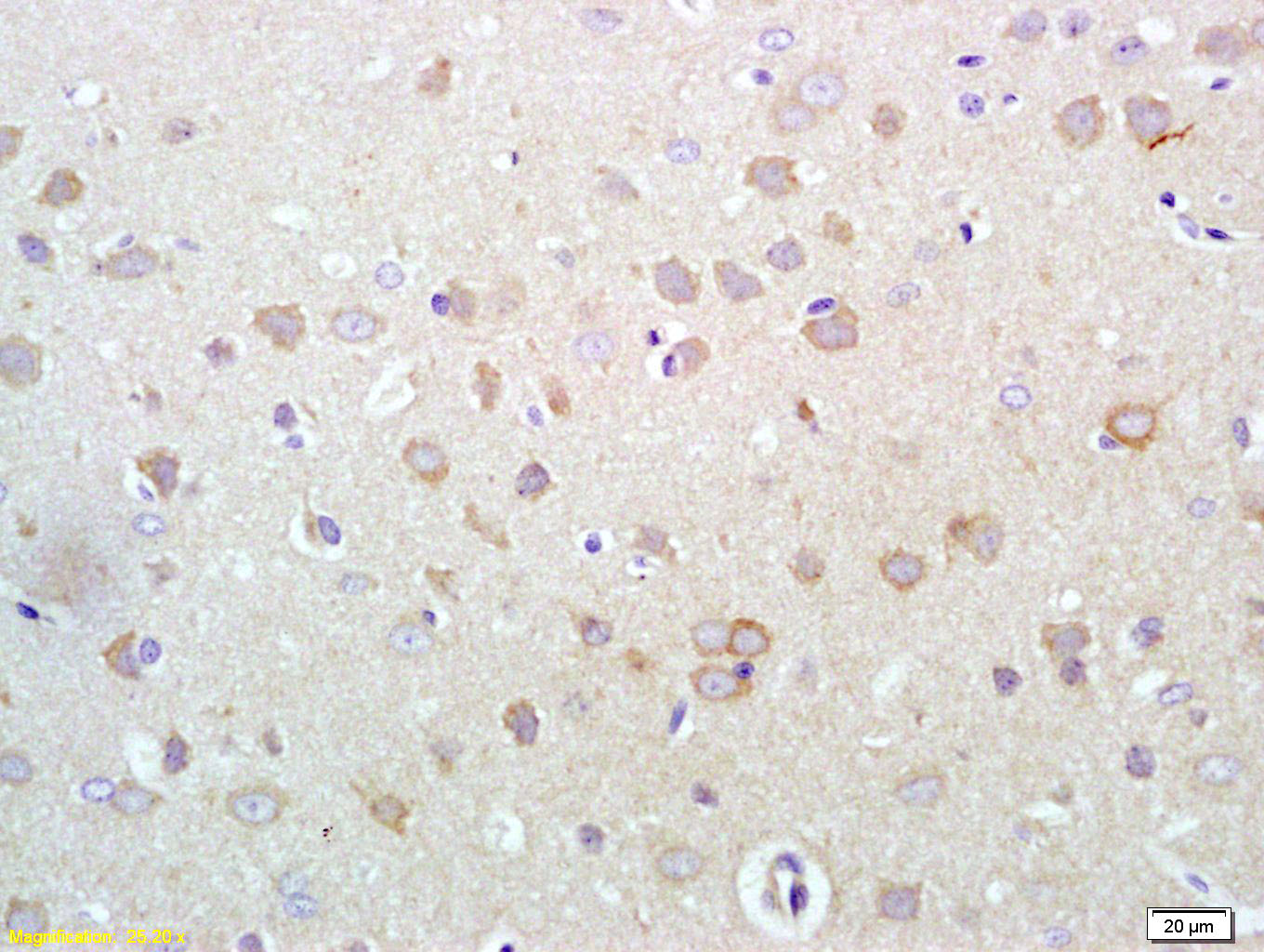
| 产品应用 | IHC-P=1:100-500, IHC-F=1:100-500, IF=1:100-500 Not yet tested in other applications. |
| 交叉反应 | Mouse, Rat (Human, Dog, Cow, Horse, Rabbit) |
| 抗体来源 | Rabbit |
| 免疫原 | KLH conjugated Synthesised phosphopeptide derived from human HER3 around the phosphorylation site of Tyr1289 |
| 亚型 | IgG |
| 性状 | Liquid |
| 纯化方法 | affinity purified by Protein A |
| 克隆类型 | Polyclonal |
| 理论分子量 | 148 kDa |
| 浓度 | 1mg/ml |
| 储存液 | 0.01M TBS (pH7.4) with 1% BSA, 0.02% Proclin300 and 50% Glycerol. |
| 研究领域 | Cancer > Growth factors > EGF Cancer > Oncoproteins/suppressors > Oncoproteins > Growth factor receptors Cancer > Tumor biomarkers > Oncoproteins Signal Transduction > Growth Factors/Hormones > EGF Signal Transduction > Protein Phosphorylation > Tyrosine Kinases > Receptor Tyrosine Kinases Signal Transduction > Signaling Pathway > G Protein Signaling > Heterotrimeric G Proteins > G Proteins |
| 亚基 | Monomer and homodimer. Heterodimer with each of the other ERBB receptors (Potential). Interacts with CSPG5, PA2G4, GRB7 and MUC1. |
| 亚细胞定位 | Isoform 1: Cell membrane; Single-pass type I. membrane protein. Isoform 2: Secreted. |
| 组织特异性 | Epithelial tissues and brain. |
| 翻译后修饰 | Ligand-binding increases phosphorylation on tyrosine residues and promotes its association with the p85 subunit of phosphatidylinositol 3-kinase. Subject to autophosphorylation. |
| 相似性 | Belongs to the protein kinase superfamily. Tyr protein kinase family. EGF receptor subfamily. Contains 1 protein kinase domain. |
| 功能 | Binds and is activated by neuregulins and NTAK. |
| 保存条件 | Shipped at 4℃. Store at -20℃ for one year. Avoid repeated freeze/thaw cycles. |
| 注意事项 | This product as supplied is intended for research use only, not for use in human, therapeutic or diagnostic applications. |
| 背景资料 | The ErbB3 gene encodes a member of the epidermal growth factor receptor (EGFR) family of receptor tyrosine kinases. ErbB3 is a membrane-bound protein which has a neuregulin binding domain but not an active kinase domain. It can therefore bind this ligand but cannot convey a signal into the cell via protein phosphorylation. However it does form heterodimers with other EGF receptor family members which do have kinase activity. Heterodimerization leads to the activation of pathways which lead to cell proliferation or differentiation. Amplification of this gene and/or overexpression of its protein have been reported in numerous cancers including prostate, bladder and breast tumors. Alternate transcriptional splice variants encoding different isoforms have been characterized. One isoform lacks the intermembrane region and is secreted outside the cell. This form acts to modulate the activity of the membrane-bound form. Additional splice variants have also been reported but they have not been thoroughly characterized. |
| 应用 | 推荐稀释比例 |
| {IHC-P} | {1:100-500} |
| {IHC-F} | {1:100-500} |
| {IF} | {1:100-500} |



Antigen retrieval: citrate buffer ( 0.01M, pH 6.0 ), Boiling bathing for 15min; Block endogenous peroxidase by 3% Hydrogen peroxide for 30min; Blocking buffer (normal goat serum,C-0005) at 37℃ for 20 min;
Incubation: Anti-Phospho-HER3(Tyr1289) Polyclonal Antibody, Unconjugated(bs-3491R) 1:200, overnight at 4°C, followed by conjugation to the secondary antibody(SP-0023) and DAB(C-0010) staining
风险提示:丁香通仅作为第三方平台,为商家信息发布提供平台空间。用户咨询产品时请注意保护个人信息及财产安全,合理判断,谨慎选购商品,商家和用户对交易行为负责。对于医疗器械类产品,请先查证核实企业经营资质和医疗器械产品注册证情况。
文献和实验[IF={{ 8.2 }}] {Yang Yi-Chieh. et al. ESM1 facilitates the EGFR/HER3-triggered epithelial-to-mesenchymal transition and progression of gastric cancer via modulating interplay between Akt and angiopoietin-2 signaling. INT J BIOL SCI. 2024 Sep;20(12):4819-4837} {WB} {Human}
,EDTA 缓冲液适用于多数磷酸化酪氨酸特异性抗体,而柠檬酸盐缓冲液适用于其他多数抗体。每天都需制备新鲜的 1X 溶液。抗体:hospho-HER3/ErbB3 (Tyr1289) (D1B5) Rabbit mAb #2842样本:蜡包埋人类肺部肿瘤抗原修复缓冲液:柠檬酸盐缓冲液(左)或者 EDTA 缓冲液(右)煮沸装置载玻片在所推荐的缓冲液中加热煮沸一段时间后,才可引起抗原修复。该步骤通常在微波炉或高压锅中进行。虽然,一些研究人员也使用水浴锅,但是,因为该步骤中所选择的装置对染色存在积极或消极的影响
used in accordance withmanufacturer recommendationsSignalStain?DAB Substrate Kit #8059:IHC analysis of paraffin-embedded human breastcarcinoma using Phospho-Stat3 (Tyr705) (D3A7) XP? Rabbit mAb #9145. Chromogenicdetection was performed using #8059 (left
v468. chapter 4 WNT 细胞通路 检测细胞GSK3活性与表达水平
. Immunoblot using antibodies to phospho-Tyr279/216 can assess alterations in activity independent ofthe N-terminal phosphorylation, although phosphorylation atthis site is most likely to be constitutive (14) . 3. Immunoblot using antibodies to known
技术资料暂无技术资料 索取技术资料








