相关产品推荐更多 >

SAM68 Rabbit pAb, AP conjugated(bs-13699R-AP)-100ul
¥2980
FAM98A Rabbit pAb, Cy5 conjugated(bs-11012R-Cy5)-100ul
¥2980
phospho-BAD (Ser128) Rabbit pAb, PE-Cy7 conjugated(bs-0893R-PE-Cy7)-100ul
¥2980
GADD45B Rabbit pAb, BF405 conjugated(bs-5904R-BF405)-100ul
¥2980
Frizzled 8 Rabbit pAb, AP conjugated(bs-13219R-AP)-100ul
¥2980
万千商家帮你免费找货
0 人在求购买到急需产品
- 详细信息
- 询价记录
- 文献和实验
- 技术资料
- 应用范围:
产品信息以Bioss网站为准
- 规格:
50ul/100ul/200ul
| 规格: | 50ul | 产品价格: | ¥1180.0 |
|---|---|---|---|
| 规格: | 100ul | 产品价格: | ¥1980.0 |
| 规格: | 200ul | 产品价格: | ¥2800.0 |
| 产品编号 | bs-1606R |
| 英文名称 | CYP1A1 Rabbit pAb |
| 中文名称 | 细胞色素P450 1A1抗体 |
| 英文别名 | Cytochrome p450 1A1; Cytochrome P450 form 6; Cytochrome P450-C; Cytochrome P450-P1; Hydroperoxy icosatetraenoate dehydratase; CP1A1_HUMAN |
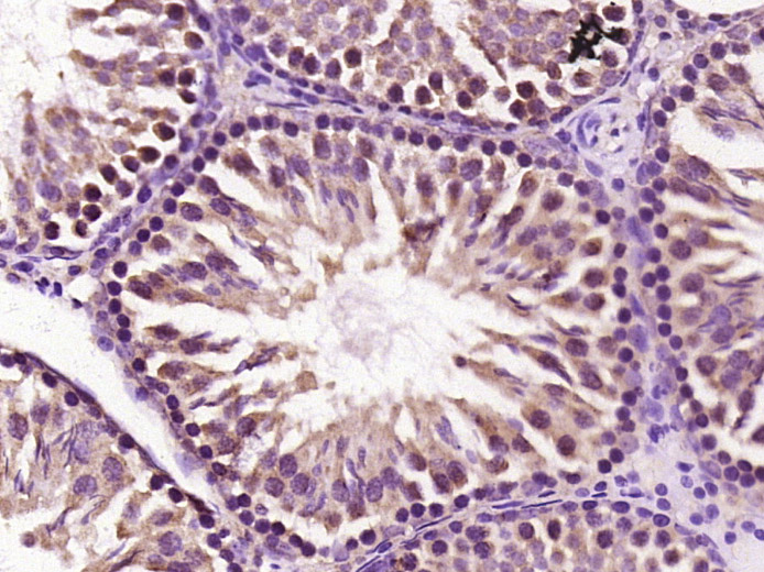
| 产品应用 | WB=1:500-2000, IHC-P=1:100-500, IHC-F=1:100-500, IF=1:100-500 Not yet tested in other applications. |
| 交叉反应 | Human, Mouse, Rat (Pig) |
| 抗体来源 | Rabbit |
| 免疫原 | KLH conjugated synthetic peptide derived from human CYP1A1 |
| 亚型 | IgG |
| 性状 | Liquid |
| 纯化方法 | affinity purified by Protein A |
| 克隆类型 | Polyclonal |
| 理论分子量 | 58 kDa |
| 浓度 | 1mg/ml |
| 储存液 | 0.01M TBS (pH7.4) with 1% BSA, 0.02% Proclin300 and 50% Glycerol. |
| 研究领域 | Cancer > Cancer Metabolism > Cellular metabolic process Cancer > Cancer Metabolism > Response to hypoxia Cardiovascular > Lipids / Lipoproteins > Lipid Metabolism > Cytochromes Metabolism > Pathways and Processes > Metabolic signaling pathways > Drug metabolism Metabolism > Pathways and Processes > Metabolic signaling pathways > Lipid and lipoprotein metabolism > Lipases Metabolism > Pathways and Processes > Metabolism processes > Hypoxia Metabolism > Pathways and Processes > Mitochondrial Metabolism > Cytochromes Metabolism > Types of disease > Cancer Signal Transduction > Metabolism > Drug metabolism |
| 亚细胞定位 | Endoplasmic reticulum |
| 组织特异性 | Lung, lymphocytes and placenta. |
| 相似性 | Belongs to the cytochrome P450 family. |
| 功能 | Cytochrome P450 oxidase (commonly abbreviated CYP) is a generic term for a large number of related, but distinct, oxidative enzymes important in vertebrate physiology. The cytochrome P450 mixed-function monooxygenase system is probably the most important element of Phase I metabolism in mammals. P450s are membrane-bound, either in the inner membrane of mitochondria or in the endoplasmic reticulum of cells where they metabolise thousands of endogenous and exogenous compounds. In the liver, these substrates include toxins, drugs, and other unneeded and potentially harmful molecules. Humans have 18 families of cytochrome P450 genes and 43 subfamilies; the CYP1 family is involved in drug metabolism and includes 3 subfamilies, 3 genes and 1 pseudogene. |
| 保存条件 | Shipped at 4℃. Store at -20℃ for one year. Avoid repeated freeze/thaw cycles. |
| 注意事项 | This product as supplied is intended for research use only, not for use in human, therapeutic or diagnostic applications. |
| 背景资料 | This gene, CYP1A1, encodes a member of the cytochrome P450 superfamily of enzymes. The cytochrome P450 proteins are monooxygenases which catalyze many reactions involved in drug metabolism and synthesis of cholesterol, steroids and other lipids. This protein localizes to the endoplasmic reticulum and its expression is induced by some polycyclic aromatic hydrocarbons (PAHs), some of which are found in cigarette smoke. The enzyme's endogenous substrate is unknown; however, it is able to metabolize some PAHs to carcinogenic intermediates. The gene has been associated with lung cancer risk. A related family member, CYP1A2, is located approximately 25 kb away from CYP1A1 on chromosome 15. [provided by RefSeq, Jul 2008] |
| 应用 | 推荐稀释比例 |
| {WB} | {1:500-2000} |
| {IHC-P} | {1:100-500} |
| {IHC-F} | {1:100-500} |
| {IF} | {1:100-500} |

Primary: Anti- CYP1A1 (bs-1606R)at 1/300 dilution
Secondary: IRDye800CW Goat Anti-Rabbit IgG at 1/20000 dilution
Predicted band size: 58kD
Observed band size: 58kD

Primary: Anti- CYP1A1 (bs-1606R)at 1/300 dilution
Secondary: IRDye800CW Goat Anti-Rabbit IgG at 1/20000 dilution
Predicted band size: 58kD
Observed band size: 58kD

风险提示:丁香通仅作为第三方平台,为商家信息发布提供平台空间。用户咨询产品时请注意保护个人信息及财产安全,合理判断,谨慎选购商品,商家和用户对交易行为负责。对于医疗器械类产品,请先查证核实企业经营资质和医疗器械产品注册证情况。
- 作者
- 内容
- 询问日期
文献和实验[IF={{ 8.3 }}] {Chen Liu. et al. 3-Hydroxypropionaldehyde modulates tryptophan metabolism to activate AhR signaling and alleviate ethanol-induced liver injury. PHYTOMEDICINE. 2025 Apr;139:156445} {WB} {Mouse}
[IF={{ 6.8 }}] {Ruimeng Liu. et al. Protective role of curcumin on broiler liver by modulating aflatoxin B1-induced DNA methylation and CYPs expression. ECOTOX ENVIRON SAFE. 2023 Jul;260:115086} {WB} {Chicken}
[IF={{ 5.4 }}] {Qinwei Zheng. et al. A Novel ingredients recipe derived from Shugan-Hewei Formula targeting chemical carcinogenesis-ROS signaling pathway treated Gastroesophageal reflux disease. J ETHNOPHARMACOL. 2025 Mar;:119566} {WB} {Rat}
[IF={{ 4.932 }}] {Wenjuan Xun. et al. Resveratrol protects intestinal integrity, alleviates intestinal inflammation and oxidative stress by modulating AhR/Nrf2 pathways in weaned piglets challenged with diquat. Int Immunopharmacol. 2021 Oct;99:107989} {WB} {Pig}
[IF={{ 4.9 }}] {Hangyu Lv. et al. CYP1A1/20-HETE/GPR75 Axis-Mediated Arachidonic Acid Metabolism Dysregulation in H-Type Hypertension Pathogenesis. INT J MOL SCI. 2025 Jan;26(13):5947} {WB} {Human}
技术资料暂无技术资料 索取技术资料





