相关产品推荐更多 >

Hepatitis B Virus Surface Antigen Rabbit pAb, Biotin conjugated(bs-2327R-Bio)-100ul
¥2980
GLP-2 Rabbit pAb, APC conjugated(bs-0208R-APC)-100ul
¥2980
CCL26 Rabbit pAb, AP conjugated(bs-15512R-AP)-100ul
¥2980
HIV gp160 Rabbit pAb(bs-0786R)-50ul/100ul/200ul
¥1180
TRAF2 Rabbit pAb(bs-1213R)-50ul/100ul/200ul
¥1180
万千商家帮你免费找货
0 人在求购买到急需产品
- 详细信息
- 文献和实验
- 技术资料
- 应用范围:
产品信息以Bioss网站为准
- 规格:
50ul/100ul/200ul
| 规格: | 50ul | 产品价格: | ¥1180.0 |
|---|---|---|---|
| 规格: | 100ul | 产品价格: | ¥1980.0 |
| 规格: | 200ul | 产品价格: | ¥2800.0 |
| 产品编号 | bs-1419R |
| 英文名称 | MC1R Rabbit pAb |
| 中文名称 | 黑皮质素-1受体抗体 |
| 英文别名 | MC1 Receptor; CMM5; MC1-R; MC-1R; Melanocortin 1 receptor; Melanocortin 1 receptor(alpha melanocyte stimulating hormone receptor); Melanocortin receptor 1; Melanocyte-stimulating hormone receptor; Melanotropin receptor; MSH-R; MSHR; MSHR_HUMAN; MSHR_MOUSE; SHEP2. |
| 产品应用 | WB=1:500-2000, IHC-P=1:100-500, IHC-F=1:100-500, IF=1:100-500, Flow-Cyt=1µg/Test Not yet tested in other applications. |
| 交叉反应 | Human (Mouse, Rat) |
| 抗体来源 | Rabbit |
| 免疫原 | KLH conjugated synthetic peptide derived from mouse MC1R |
| 亚型 | IgG |
| 性状 | Liquid |
| 纯化方法 | affinity purified by Protein A |
| 克隆类型 | Polyclonal |
| 理论分子量 | 35 kDa |
| 浓度 | 1mg/ml |
| 储存液 | 0.01M TBS (pH7.4) with 1% BSA, 0.02% Proclin300 and 50% Glycerol. |
| 研究领域 | Metabolism > Pathways and Processes > Endocrine metabolism > Hormone biosynthesis Neuroscience > Neurotransmission > Receptors / Channels > GPCR > More GPCR |
| 亚细胞定位 | Cell membrane. |
| 组织特异性 | Melanocytes and corticoadrenal tissue. |
| 相似性 | Belongs to the G-protein coupled receptor 1 family. |
| 功能 | Receptor for MSH (alpha, beta and gamma) and ACTH. The activity of this receptor is mediated by G proteins which activate adenylate cyclase. |
| 保存条件 | Shipped at 4℃. Store at -20℃ for one year. Avoid repeated freeze/thaw cycles. |
| 注意事项 | This product as supplied is intended for research use only, not for use in human, therapeutic or diagnostic applications. |
| 背景资料 | Enables melanocyte-stimulating hormone receptor activity. Involved in intracellular signal transduction; positive regulation of intracellular signal transduction; and positive regulation of transcription by RNA polymerase II. Acts upstream of or within melanin biosynthetic process; pigmentation; and sensory perception of pain. Predicted to be located in membrane. Predicted to be integral component of membrane. Predicted to be active in cytoplasm and plasma membrane. Is expressed in ductus deferens; epididymis; esophagus; and skin. Human ortholog(s) of this gene implicated in familial melanoma; major depressive disorder; melanoma; oculocutaneous albinism type II; and pigmentation disease. Orthologous to human MC1R (melanocortin 1 receptor). [provided by Alliance of Genome Resources, Nov 2021] |
| 应用 | 推荐稀释比例 |
| {WB} | {1:500-2000} |
| {IHC-P} | {1:100-500} |
| {IHC-F} | {1:100-500} |
| {IF} | {1:100-500} |
| {Flow-Cyt} | {1µg/Test} |

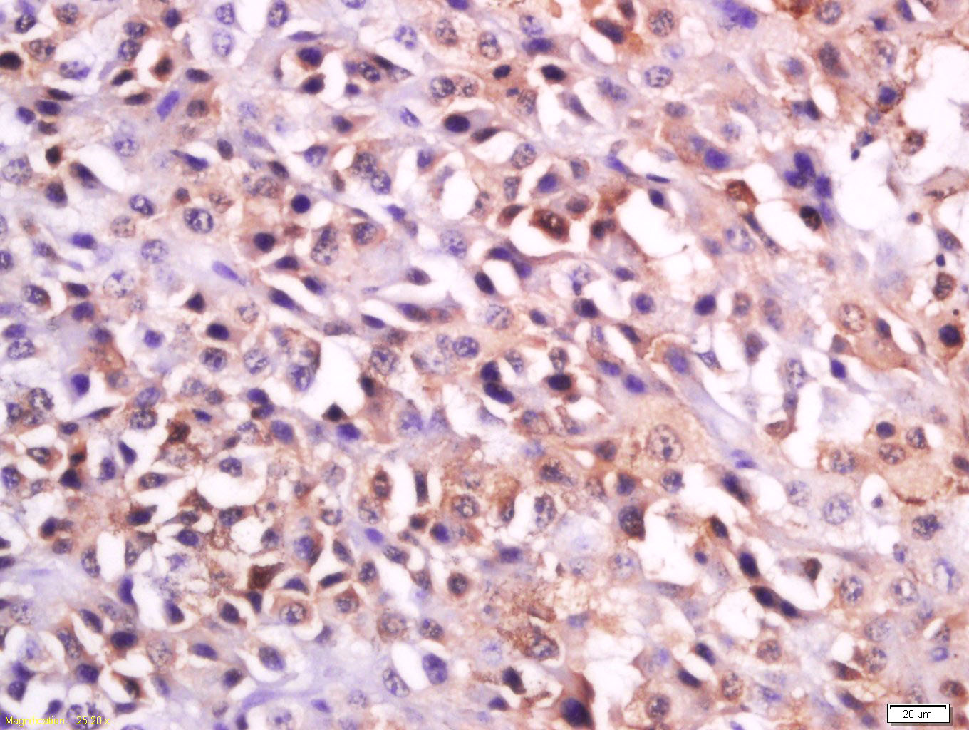
Antigen retrieval: citrate buffer ( 0.01M, pH 6.0 ), Boiling bathing for 15min; Block endogenous peroxidase by 3% Hydrogen peroxide for 30min; Blocking buffer (normal goat serum,C-0005) at 37℃ for 20 min;
Incubation: Anti-MSHR Polyclonal Antibody, Unconjugated(bs-1419R) 1:200, overnight at 4°C, followed by conjugation to the secondary antibody(SP-0023) and DAB(C-0010) staining

Antigen retrieval: citrate buffer ( 0.01M, pH 6.0 ), Boiling bathing for 15min; Block endogenous peroxidase by 3% Hydrogen peroxide for 30min; Blocking buffer (normal goat serum,C-0005) at 37℃ for 20 min;
Incubation: Anti-MSHR Polyclonal Antibody, Unconjugated(bs-1419R) 1:200, overnight at 4°C, followed by conjugation to the secondary antibody(SP-0023) and DAB(C-0010) staining

Primary Antibody: Rabbit Anti- MC1 Receptor/AF488 Conjugated antibody (bs-1419R-AF488), Dilution: 1μg in 100 μL 1X PBS containing 0.5% BSA;
Isotype Control Antibody: Rabbit IgG/AF488(orange) ,used under the same conditions.
Protocol
The cells were fixed with 2% Paraformaldehyde (10 min) and then permeabilized with ice-cold 90% methanol for 30 min on ice. The cells were washed twice with 1 X PBS. The cells were incubated in 1 X PBS containing 0.5% BSA + 1 0% goat serum (15 min) to block non-specific protein-protein interactions followed by the incubated with antibody (bs-1419R-AF488, 1μg /1x10^6 cells) for 30 min on ice. Acquisition of 20,000 events was performed.

Hela(Human) Cell Lysate at 30 ug
Raji(Human) Cell Lysate at 30 ug
Primary: Anti-MC1 Receptor (bs-1419R) at 1/1000 dilution
Secondary: IRDye800CW Goat Anti-Rabbit IgG at 1/20000 dilution
Predicted band size: 35 kD
Observed band size: 35 kD

MOLT-4(Human) Cell Lysate at 30 ug
Primary: Anti-MC1 Receptor (bs-1419R) at 1/1000 dilution
Secondary: IRDye800CW Goat Anti-Rabbit IgG at 1/20000 dilution
Predicted band size: 35 kD
Observed band size: 35 kD
风险提示:丁香通仅作为第三方平台,为商家信息发布提供平台空间。用户咨询产品时请注意保护个人信息及财产安全,合理判断,谨慎选购商品,商家和用户对交易行为负责。对于医疗器械类产品,请先查证核实企业经营资质和医疗器械产品注册证情况。
文献和实验[IF={{ 4.556 }}] {Hae-Young Kim. et al. Low-Temperature Argon Plasma Regulates Skin Moisturizing and Melanogenesis-Regulating Markers through Yes-Associated Protein. Int J Mol Sci. 2021 Jan;22(4):1895} {WB} {Mouse}
[IF={{ 3.234 }}] { Kim HY et al. Inhibitory effects of extracellular superoxide dismutase on ultraviolet B-induced melanogenesis in murine skin and melanocytes. Life Sci. 2018 Oct 1;210:201-208.} {WB} {Mouse}
= NAL), appears to form upon oxidative cyclization of the nonfluorescent 2:1 lysine-HNE Michael adduct-Schiff base cross-link (Scheme 1). Polyclonal antibody (PAb) to the NAL-HNE fluorophore was raised in rabbit and found to be highly specific
GE Healthcare Benzamidine Sepharose™ 6B is p-aminobenzamidine covalently attached to Sepharose 6B by the epoxy coupling method. p-Aminobenzamidine (PAB), is a synthetic inhibitor of trypsin-like serine protease. Trypsin and trypsin
Nucleic Acid Programmable Protein Arrays: Versatile Tools for Array‐Based Functional Protein Studies
.g., Sigma) 50 mg/ml bis‐sulfosuccinimdylsuberate (BS3 ;Pierce, cat. no. PI 21580) in dimethylsulfoxide (DMSO) 5 mg/ml
技术资料暂无技术资料 索取技术资料






