相关产品推荐更多 >
万千商家帮你免费找货
0 人在求购买到急需产品
- 详细信息
- 文献和实验
- 技术资料
- 应用范围:
产品信息以Bioss网站为准
- 规格:
50ul/100ul/200ul
| 规格: | 50ul | 产品价格: | ¥1180.0 |
|---|---|---|---|
| 规格: | 100ul | 产品价格: | ¥1980.0 |
| 规格: | 200ul | 产品价格: | ¥2800.0 |
| 产品编号 | bs-1144R |
| 英文名称 | TFPI-2 Rabbit pAb |
| 中文名称 | 组织因子途径抑制剂-2抗体 |
| 英文别名 | tissue factor pathway inhibitor 2; TFPI-2; TFPI2; TFPI2_HUMAN; Tissue factor pathway inhibitor 2; Placental protein 5; PP5; TFPI 2; TFPI 2; TFPI2 PEN. |
| 产品应用 | IHC-P=1:100-500, IHC-F=1:100-500, IF=1:100-500 Not yet tested in other applications. |
| 交叉反应 | Human, Rat (Mouse, Cow) |
| 抗体来源 | Rabbit |
| 免疫原 | KLH conjugated synthetic peptide derived from human TFPI2 |
| 亚型 | IgG |
| 性状 | Liquid |
| 纯化方法 | affinity purified by Protein A |
| 克隆类型 | Polyclonal |
| 理论分子量 | 25 kDa |
| 浓度 | 1mg/ml |
| 储存液 | 0.01M TBS (pH7.4) with 1% BSA, 0.02% Proclin300 and 50% Glycerol. |
| 研究领域 | Cardiovascular > Blood > Coagulation > Regulatory Cardiovascular > Blood > Fibrinolysis / Thrombolysis Cell Biology > Proteolysis / Ubiquitin > Protease inhibitors > Other protease inhibitors |
| 亚细胞定位 | Secreted (constituent of proteinaceous extracellular matrix) |
| 组织特异性 | Umbilical vein endothelial cells, liver, placenta, heart, pancreas, and maternal serum at advanced pregnancy. |
| 相似性 | Contains 3 BPTI/Kunitz inhibitor domains. |
| 功能 | May play a role in the regulation of plasmin-mediated matrix remodeling. Inhibits trypsin, plasmin, factor VIIa/tissue factor and weakly factor Xa. Has no effect on thrombin. |
| 保存条件 | Shipped at 4℃. Store at -20℃ for one year. Avoid repeated freeze/thaw cycles. |
| 注意事项 | This product as supplied is intended for research use only, not for use in human, therapeutic or diagnostic applications. |
| 背景资料 | TFPI2 may play a role in the regulation of plasmin-mediated matrix remodeling. It inhibits trypsin, plasmin, factor VIIa/tissue factor and weakly factor Xa, but it has no effect on thrombin. TFPI2 is specific to umbilical vein endothelial cells, liver, placenta, heart, pancreas, and maternal serum at advanced pregnancy. This inhibitor contains three inhibitory domains. TFPI2 contains 3 BPTI/Kunitz inhibitor domains. |
| 应用 | 推荐稀释比例 |
| {IHC-P} | {1:100-500} |
| {IHC-F} | {1:100-500} |
| {IF} | {1:100-500} |


Antigen retrieval: citrate buffer ( 0.01M, pH 6.0 ), Boiling bathing for 15min; Block endogenous peroxidase by 3% Hydrogen peroxide for 30min; Blocking buffer (normal goat serum,C-0005) at 37鈩� for 20 min;
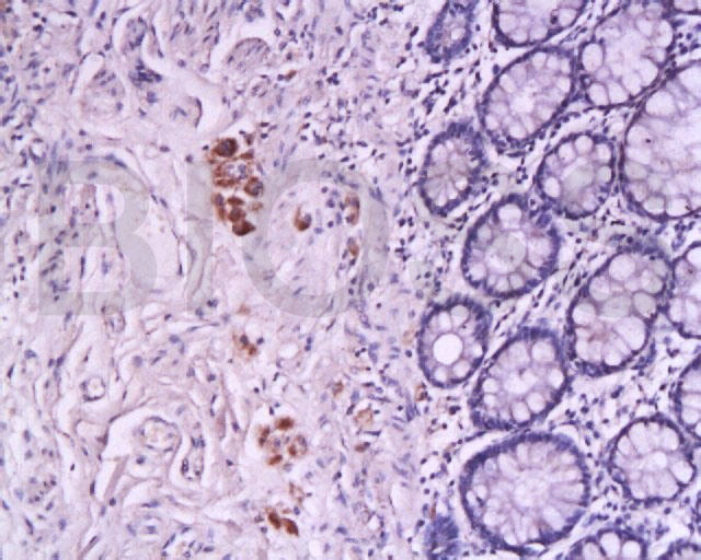
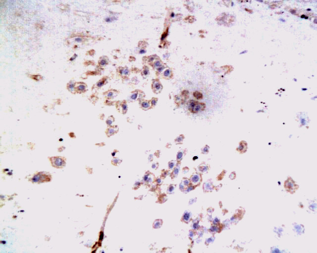
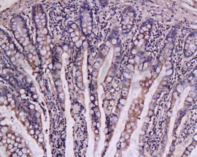
Incubation: Anti-TFPI-2 Polyclonal Antibody, Unconjugated(bs-1144R) 1:200, overnight at 4掳C, followed by conjugation to the secondary antibody(SP-0023) and DAB(C-0010) staining

Antigen retrieval: citrate buffer ( 0.01M, pH 6.0 ), Boiling bathing for 15min; Block endogenous peroxidase by 3% Hydrogen peroxide for 30min; Blocking buffer (normal goat serum,C-0005) at 37℃ for 20 min;
Incubation: Anti-TFPI-2 Polyclonal Antibody, Unconjugated(bs-1144R) 1:200, overnight at 4°C, followed by conjugation to the secondary antibody(SP-0023) and DAB(C-0010) staining

Antigen retrieval: citrate buffer ( 0.01M, pH 6.0 ), Boiling bathing for 15min; Block endogenous peroxidase by 3% Hydrogen peroxide for 30min; Blocking buffer (normal goat serum,C-0005) at 37鈩� for 20 min;
Incubation: Anti-TFPI-2 Polyclonal Antibody, Unconjugated(bs-1144R) 1:200, overnight at 4掳C, followed by conjugation to the secondary antibody(SP-0023) and DAB(C-0010) staining
风险提示:丁香通仅作为第三方平台,为商家信息发布提供平台空间。用户咨询产品时请注意保护个人信息及财产安全,合理判断,谨慎选购商品,商家和用户对交易行为负责。对于医疗器械类产品,请先查证核实企业经营资质和医疗器械产品注册证情况。
文献和实验[IF={{ 4.7 }}] {Yu Xia. et al. Astilbin targeted Sirt1 to inhibit acetylation of Nrf2 to alleviate grass carp hepatocyte apoptosis caused by PCB126-induced mitochondrial kinetic and metabolism dysfunctions. FISH SHELLFISH IMMUN. 2023 Oct;141:109000} {WB} {Fish}
[IF={{ 3.8 }}] {Asayag Keren. et al. Effect of bone marrow blood versus peripheral blood on the hemostatic balance of osteoblasts and endothelial cells. SCI REP-UK. 2025 Apr;15(1):1-16} {ICC} {Human}
[IF={{ 3.491 }}] {Hussam Ghoti. et al. Heparanase Level and Procoagulant Activity Are Increased in Thalassemia and Attenuated by Janus Kinase 2 Inhibition. Am J Pathol. 2020 Oct;190:2146} {IHC} {Mouse}
[IF={{ 0.34 }}] {Wang, Gui-Jun, et al. "Expression of tissue factor pathway inhibitor-2 in gastric stromal tumor and its clinical significance." Experimental and Therapeutic Medicine.} {IHC} {="Human"}
技术资料暂无技术资料 索取技术资料









