相关产品推荐更多 >

Ghrelin Rabbit pAb, HRP conjugated(bs-0467R-HRP)-100ul
¥2980
phospho-HSP70 (Tyr611) Rabbit pAb, BF750 conjugated(bs-10448R-BF750)-100ul
¥2980
Natriuretic Peptide Receptor A Rabbit pAb(bs-10405R)-50ul/100ul/200ul
¥1180
Batroxobin Rabbit pAb, HRP conjugated(bs-0911R-HRP)-100ul
¥2980
phospho-Hsp90 beta (Ser226) Rabbit pAb, PE conjugated(bs-18074R-PE)-100ul
¥2980
万千商家帮你免费找货
0 人在求购买到急需产品
- 详细信息
- 文献和实验
- 技术资料
- 应用范围:
产品信息以Bioss网站为准
- 规格:
50ul/100ul/200ul
| 规格: | 50ul | 产品价格: | ¥1180.0 |
|---|---|---|---|
| 规格: | 100ul | 产品价格: | ¥1980.0 |
| 规格: | 200ul | 产品价格: | ¥2800.0 |
| 产品编号 | bs-1470R |
| 英文名称 | CD82 Rabbit pAb |
| 中文名称 | 肿瘤转移抑制蛋白1抗体 |
| 英文别名 | 4F9; Antigen detected by monoclonal and antibody IA4; C33; C33 antigen; CD 82; CD82 antigen; CD82 molecule; GR 15; GR15; IA 4; IA4; Inducible membrane protein; Inducible membrane protein R2; KAI 1; KAI1; Kangai 1; Kangai1; Metastasis suppressor Kangai 1; Metastasis suppressor Kangai1; R2 leukocyte antigen; CD82_HUMAN. |
| 产品应用 | IHC-P=1:100-500, IHC-F=1:100-500, IF=1:100-500 Not yet tested in other applications. |
| 交叉反应 | Mouse (Human, Rat, Dog, Pig, Cow, Horse) |
| 抗体来源 | Rabbit |
| 免疫原 | KLH conjugated synthetic peptide derived from human CD82 |
| 亚型 | IgG |
| 性状 | Liquid |
| 纯化方法 | affinity purified by Protein A |
| 克隆类型 | Polyclonal |
| 理论分子量 | 29 kDa |
| 浓度 | 1mg/ml |
| 储存液 | 0.01M TBS (pH7.4) with 1% BSA, 0.02% Proclin300 and 50% Glycerol. |
| 研究领域 | Cancer > Oncoproteins/suppressors > Tumor suppressors Epigenetics and Nuclear Signaling > Transcription > Cancer susceptibility > Tumor Suppressors Immunology > Adaptive Immunity > T Cells > CD Immunology > Cell Type Markers > CD > NK Cells Immunology > Cell Type Markers > CD > Platelets |
| 亚基 | Interacts directly with IGSF8. |
| 亚细胞定位 | Membrane. |
| 组织特异性 | Lymphoid specific. |
| 相似性 | Belongs to the tetraspanin (TM4SF) family. |
| 功能 | Associates with CD4 or CD8 and delivers costimulatory signals for the TCR/CD3 pathway. |
| 保存条件 | Shipped at 4℃. Store at -20℃ for one year. Avoid repeated freeze/thaw cycles. |
| 注意事项 | This product as supplied is intended for research use only, not for use in human, therapeutic or diagnostic applications. |
| 背景资料 | This metastasis suppressor gene product is a membrane glycoprotein that is a member of the transmembrane 4 superfamily. Expression of this gene has been shown to be downregulated in tumor progression of human cancers and can be activated by p53 through a consensus binding sequence in the promoter. Its expression and that of p53 are strongly correlated, and the loss of expression of these two proteins is associated with poor survival for prostate cancer patients. Two alternatively spliced transcript variants encoding distinct isoforms have been found for this gene. [provided by RefSeq, Jul 2008] |
| 应用 | 推荐稀释比例 |
| {IHC-P} | {1:100-500} |
| {IHC-F} | {1:100-500} |
| {IF} | {1:100-500} |

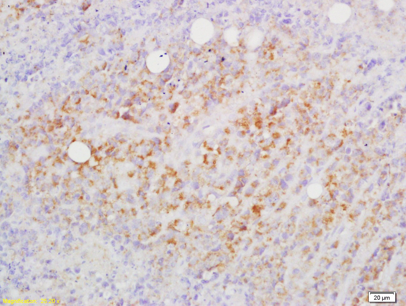
Antigen retrieval: citrate buffer ( 0.01M, pH 6.0 ), Boiling bathing for 15min; Block endogenous peroxidase by 3% Hydrogen peroxide for 30min; Blocking buffer (normal goat serum,C-0005) at 37℃ for 20 min;
Incubation: Anti-CD82 Polyclonal Antibody, Unconjugated(bs-1470R) 1:200, overnight at 4°C, followed by conjugation to the secondary antibody(SP-0023) and DAB(C-0010) staining
风险提示:丁香通仅作为第三方平台,为商家信息发布提供平台空间。用户咨询产品时请注意保护个人信息及财产安全,合理判断,谨慎选购商品,商家和用户对交易行为负责。对于医疗器械类产品,请先查证核实企业经营资质和医疗器械产品注册证情况。
文献和实验= NAL), appears to form upon oxidative cyclization of the nonfluorescent 2:1 lysine-HNE Michael adduct-Schiff base cross-link (Scheme 1). Polyclonal antibody (PAb) to the NAL-HNE fluorophore was raised in rabbit and found to be highly specific
GE Healthcare Benzamidine Sepharose™ 6B is p-aminobenzamidine covalently attached to Sepharose 6B by the epoxy coupling method. p-Aminobenzamidine (PAB), is a synthetic inhibitor of trypsin-like serine protease. Trypsin and trypsin
Nucleic Acid Programmable Protein Arrays: Versatile Tools for Array‐Based Functional Protein Studies
.g., Sigma) 50 mg/ml bis‐sulfosuccinimdylsuberate (BS3 ;Pierce, cat. no. PI 21580) in dimethylsulfoxide (DMSO) 5 mg/ml
技术资料暂无技术资料 索取技术资料






