相关产品推荐更多 >

human CD4 Mouse mAb, PE-Cy7 conjugated(bsm-30093M-PE-Cy7)-25T/50T/100T
¥1080
ELF4 Rabbit pAb, BF405 conjugated(bs-14563R-BF405)-100ul
¥2980
MAGEA6 Rabbit pAb(bs-18618R)-50ul/100ul/200ul
¥1180
CHRM4 Rabbit pAb, PE-Cy5 conjugated(bs-11998R-PE-Cy5)-100ul
¥2980
GPR153 Rabbit pAb, AP conjugated(bs-16281R-AP)-100ul
¥2980
万千商家帮你免费找货
0 人在求购买到急需产品
- 详细信息
- 文献和实验
- 技术资料
- 应用范围:
产品信息以Bioss网站为准
- 规格:
50ul/100ul/200ul
| 规格: | 50ul | 产品价格: | ¥1180.0 |
|---|---|---|---|
| 规格: | 100ul | 产品价格: | ¥1980.0 |
| 规格: | 200ul | 产品价格: | ¥2800.0 |
| 产品编号 | bs-14574R |
| 英文名称 | ELP4 Rabbit pAb |
| 中文名称 | ELP4蛋白抗体 |
| 英文别名 | C11orf19; dJ68P15A.1; elongation protein 4 homolog(S. cerevisiae); Elongation protein 4 homolog; Elongator complex protein 4; ELP4; ELP4_HUMAN; FLJ20498; hELP4; PAX6 neiGHBor gene protein; PAX6NEB; PAXNEB. |
| 产品应用 | WB=1:500-2000, IHC-P=1:100-500, IHC-F=1:100-500, IF=1:100-500 Not yet tested in other applications. |
| 交叉反应 | Human, Mouse, Rat (Rabbit) |
| 抗体来源 | Rabbit |
| 免疫原 | KLH conjugated synthetic peptide derived from human ELP4 |
| 亚型 | IgG |
| 性状 | Liquid |
| 纯化方法 | affinity purified by Protein A |
| 克隆类型 | Polyclonal |
| 理论分子量 | 47 kDa |
| 浓度 | 1mg/ml |
| 储存液 | 0.01M TBS (pH7.4) with 1% BSA, 0.02% Proclin300 and 50% Glycerol. |
| 研究领域 | Epigenetics and Nuclear Signaling > Chromatin Modifying Enzymes > Acetylation > HAT Epigenetics and Nuclear Signaling > Transcription > Elongation factors Epigenetics and Nuclear Signaling > Transcription > Polymerase associated factors > Pol II Transcription |
| 亚细胞定位 | Cytoplasm. Nucleus. |
| 组织特异性 | Widely expressed |
| 相似性 | Belongs to the ELP4 family. |
| 功能 | Acts as subunit of the RNA polymerase II elongator complex, which is a histone acetyltransferase component of the RNA polymerase II (Pol II) holoenzyme and is involved in transcriptional elongation. Elongator may play a role in chromatin remodeling and is involved in acetylation of histones H3 and probably H4. |
| 保存条件 | Shipped at 4℃. Store at -20℃ for one year. Avoid repeated freeze/thaw cycles. |
| 注意事项 | This product as supplied is intended for research use only, not for use in human, therapeutic or diagnostic applications. |
| 背景资料 | This gene encodes a membrane-bound protein which is a member of the ELO family, proteins which participate in the biosynthesis of fatty acids. Consistent with the expression of the encoded protein in photoreceptor cells of the retina, mutations and small deletions in this gene are associated with Stargardt-like macular dystrophy (STGD3) and autosomal dominant Stargardt-like macular dystrophy (ADMD), also referred to as autosomal dominant atrophic macular degeneration. [provided by RefSeq, Jul 2008] |
| 应用 | 推荐稀释比例 |
| {WB} | {1:500-2000} |
| {IHC-P} | {1:100-500} |
| {IHC-F} | {1:100-500} |
| {IF} | {1:100-500} |




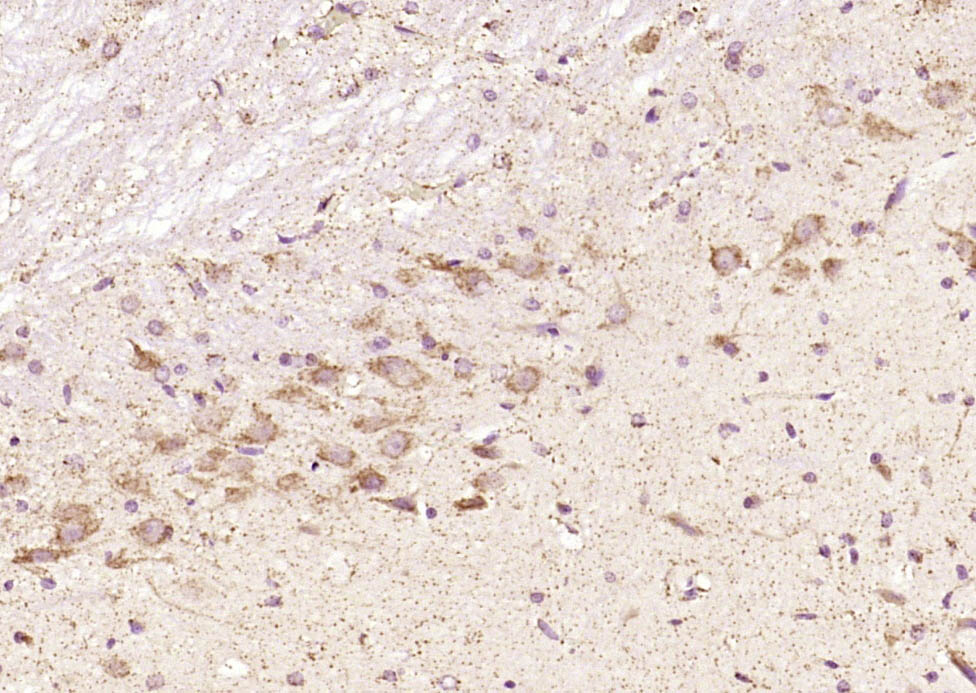
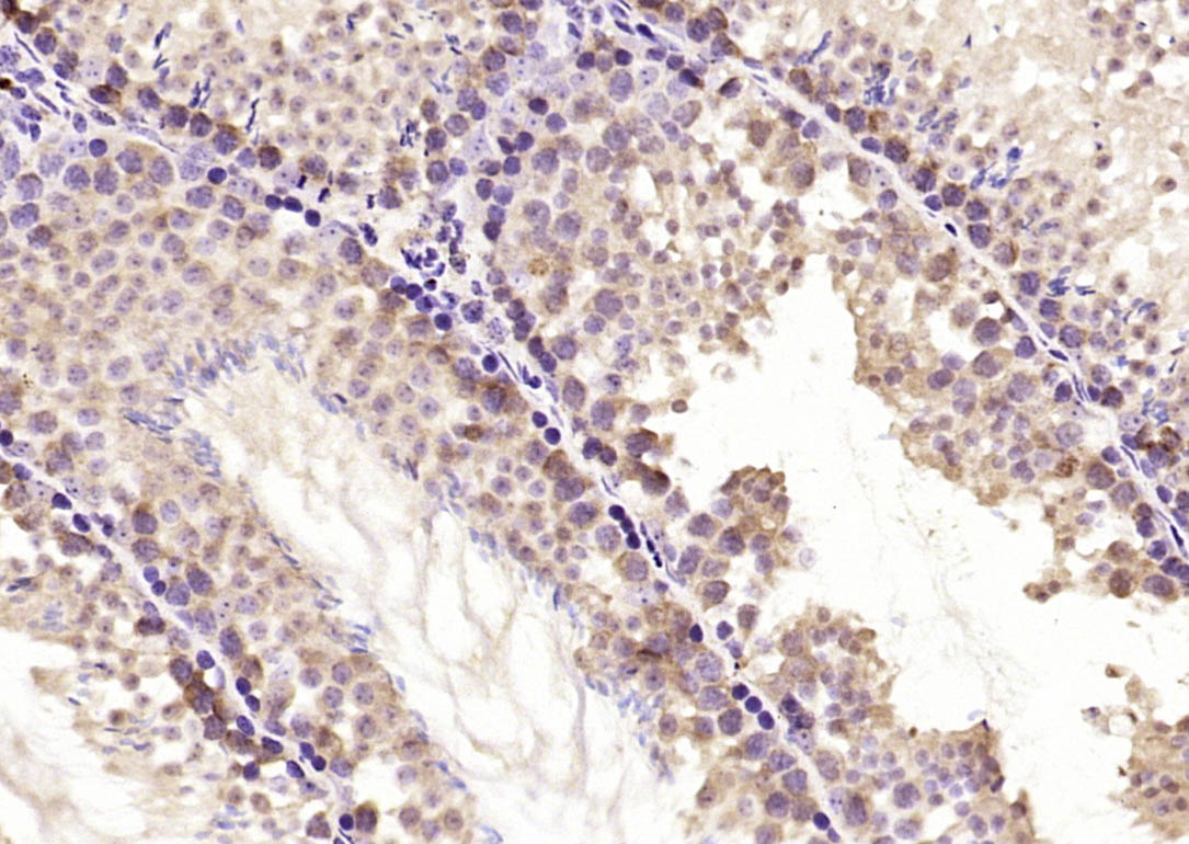
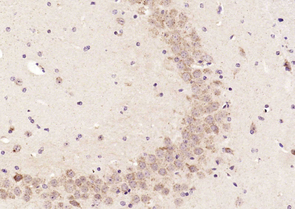
Primary: rabbit Anti-ELP4 (bs-14574R) at 1:300;
Secondary: HRP conjugated Goat-Anti-rabbit IgG(bs-0295G-HRP) at 1: 5000;
Predicted band size: 47 kD
Observed band size: 47 kD

风险提示:丁香通仅作为第三方平台,为商家信息发布提供平台空间。用户咨询产品时请注意保护个人信息及财产安全,合理判断,谨慎选购商品,商家和用户对交易行为负责。对于医疗器械类产品,请先查证核实企业经营资质和医疗器械产品注册证情况。
文献和实验= NAL), appears to form upon oxidative cyclization of the nonfluorescent 2:1 lysine-HNE Michael adduct-Schiff base cross-link (Scheme 1). Polyclonal antibody (PAb) to the NAL-HNE fluorophore was raised in rabbit and found to be highly specific
GE Healthcare Benzamidine Sepharose™ 6B is p-aminobenzamidine covalently attached to Sepharose 6B by the epoxy coupling method. p-Aminobenzamidine (PAB), is a synthetic inhibitor of trypsin-like serine protease. Trypsin and trypsin
Nucleic Acid Programmable Protein Arrays: Versatile Tools for Array‐Based Functional Protein Studies
.g., Sigma) 50 mg/ml bis‐sulfosuccinimdylsuberate (BS3 ;Pierce, cat. no. PI 21580) in dimethylsulfoxide (DMSO) 5 mg/ml
技术资料暂无技术资料 索取技术资料





