相关产品推荐更多 >

PCGF4/BMI1 Rabbit pAb, PE-Cy7 conjugated(bs-2999R-PE-Cy7)-100ul
¥2980
CPEB2 Rabbit pAb(bs-14019R)-50ul/100ul/200ul
¥1180
HER2 Rabbit pAb, BF647 conjugated(bs-2048R-BF647)-100ul
¥2980
phospho-MST4 + MST3 + STK25 (Thr178 + Thr190 + Thr174) Rabbit pAb(bs-10441R)-50ul/100ul/200ul
¥1180
GPR30 Rabbit pAb, PE conjugated(bs-20643R-PE)-100ul
¥2980
万千商家帮你免费找货
0 人在求购买到急需产品
- 详细信息
- 询价记录
- 文献和实验
- 技术资料
- 应用范围:
产品信息以Bioss网站为准
- 规格:
50ul/100ul/200ul
| 规格: | 50ul | 产品价格: | ¥1180.0 |
|---|---|---|---|
| 规格: | 100ul | 产品价格: | ¥1980.0 |
| 规格: | 200ul | 产品价格: | ¥2800.0 |
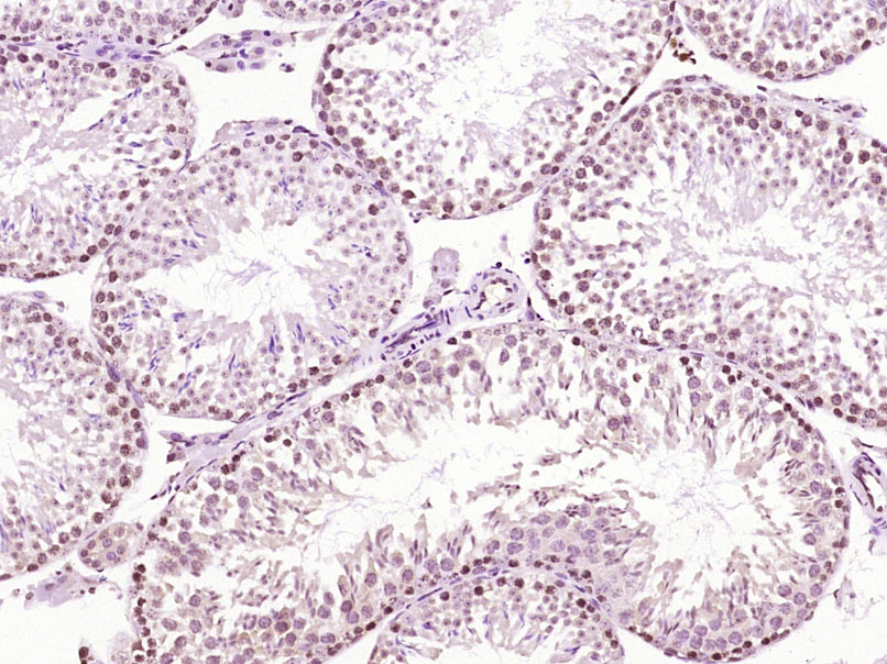
| 产品编号 | bs-10660R |
| 英文名称 | SCP3 Rabbit pAb |
| 中文名称 | 胆碱磷酸转移酶1抗体 |
| 英文别名 | SCP3; choline phosphotransferase 1; chpt1; COR 1; COR1; MGC71888; RNASCP3; SCP 3; SCP-3; SPGF4; Sycp 3; Sycp3; SYCP3_HUMAN; Synaptonemal complex protein 3. |
| 产品应用 | IHC-P=1:100-500, IHC-F=1:100-500, IF=1:100-500 Not yet tested in other applications. |
| 交叉反应 | Mouse (Human, Rat) |
| 抗体来源 | Rabbit |
| 免疫原 | KLH conjugated synthetic peptide derived from human SYCP3 |
| 亚型 | IgG |
| 性状 | Liquid |
| 纯化方法 | affinity purified by Protein A |
| 克隆类型 | Polyclonal |
| 理论分子量 | 27 kDa |
| 浓度 | 1mg/ml |
| 储存液 | 0.01M TBS (pH7.4) with 1% BSA, 0.02% Proclin300 and 50% Glycerol. |
| 亚基 | Interacts with SYCP2. |
| 亚细胞定位 | Nucleus. Chromosome. Note=In tripartite segments of synaptonemal complexes, irrespective of whether these are synapsed or unsynapsed. |
| 组织特异性 | Testis-specific. |
| 翻译后修饰 | Phosphorylated. |
| 相似性 | Belongs to the XLR/SYCP3 family. |
| 功能 | Component of the transverse filaments of synaptonemal complexes (SCS), formed between homologous chromosomes during meiotic prophase. Has an essential meiotic function in spermatogenesis. May be important for testis development. Required for efficient phosphorylation of HORMAD1 and HORMAD2. |
| 保存条件 | Shipped at 4℃. Store at -20℃ for one year. Avoid repeated freeze/thaw cycles. |
| 注意事项 | This product as supplied is intended for research use only, not for use in human, therapeutic or diagnostic applications. |
| 背景资料 | This gene encodes an essential structural component of the synaptonemal complex. This complex is involved in synapsis, recombination and segregation of meiotic chromosomes. Mutations in this gene are associated with azoospermia in males and susceptibility to pregnancy loss in females. Alternate splicing results in multiple transcript variants that encode the same protein. [provided by RefSeq, May 2010] |
| 应用 | 推荐稀释比例 |
| {IHC-P} | {1:100-500} |
| {IHC-F} | {1:100-500} |
| {IF} | {1:100-500} |

风险提示:丁香通仅作为第三方平台,为商家信息发布提供平台空间。用户咨询产品时请注意保护个人信息及财产安全,合理判断,谨慎选购商品,商家和用户对交易行为负责。对于医疗器械类产品,请先查证核实企业经营资质和医疗器械产品注册证情况。
- 作者
- 内容
- 询问日期
文献和实验[IF={{ 6.208 }}] {Baohui Yao. et al. Reproductive Suppression Caused by Spermatogenic Arrest: Transcriptomic Evidence from a Non-Social Animal. INT J MOL SCI. 2023 Jan;24(5):4611} {IHC} {Zokor}
[IF={{ 4.8 }}] {Jie Su. et al. Study of spermatogenic and Sertoli cells in the Hu sheep testes at different developmental stages. FASEB J. 2023 Jul;37(8):e23084} {IF} {Sheep}
[IF={{ 3.9 }}] {Jiantao Zhao. et al. Triptolide Causes Spermatogenic Disorders by Inducing Apoptosis in the Mitochondrial Pathway of Mouse Testicular Spermatocytes. TOXICS. 2024 Dec;12(12):896} {IHC,WB} {Mouse}
[IF={{ 2.4 }}] {Qianwen Chang. et al. Elevated temperature affects the expression of signaling molecules in quail testes meiosis I prophase, but spermatogenesis remains normal. THERIOGENOLOGY. 2024 Aug;:} {IHC,WB} {Quail}
= NAL), appears to form upon oxidative cyclization of the nonfluorescent 2:1 lysine-HNE Michael adduct-Schiff base cross-link (Scheme 1). Polyclonal antibody (PAb) to the NAL-HNE fluorophore was raised in rabbit and found to be highly specific
GE Healthcare Benzamidine Sepharose™ 6B is p-aminobenzamidine covalently attached to Sepharose 6B by the epoxy coupling method. p-Aminobenzamidine (PAB), is a synthetic inhibitor of trypsin-like serine protease. Trypsin and trypsin
Nucleic Acid Programmable Protein Arrays: Versatile Tools for Array‐Based Functional Protein Studies
.g., Sigma) 50 mg/ml bis‐sulfosuccinimdylsuberate (BS3 ;Pierce, cat. no. PI 21580) in dimethylsulfoxide (DMSO) 5 mg/ml
技术资料暂无技术资料 索取技术资料






