相关产品推荐更多 >
万千商家帮你免费找货
0 人在求购买到急需产品
- 详细信息
- 文献和实验
- 技术资料
- 应用范围:
产品信息以Bioss网站为准
- 规格:
50ul/100ul/200ul
| 规格: | 50ul | 产品价格: | ¥1180.0 |
|---|---|---|---|
| 规格: | 100ul | 产品价格: | ¥1980.0 |
| 规格: | 200ul | 产品价格: | ¥2800.0 |
| 产品编号 | bs-3767R |
| 英文名称 | HES5 Rabbit pAb |
| 中文名称 | 发状分裂相关增强子-5抗体 |
| 英文别名 | BHLHB38; Transcription factor HES-5; Class B basic helix-loop-helix protein 38(bHLHb38); Hairy and enhancer of split 5; HES 5; HES5 protein; MGI:104876; HES5_HUMAN. |
| 产品应用 | WB=1:500-2000, IHC-P=1:100-500, IHC-F=1:100-500, IF=1:100-500 Not yet tested in other applications. |
| 交叉反应 | Human, Rat (Mouse) |
| 抗体来源 | Rabbit |
| 免疫原 | KLH conjugated synthetic peptide derived from human Hes5 |
| 亚型 | IgG |
| 性状 | Liquid |
| 纯化方法 | affinity purified by Protein A |
| 克隆类型 | Polyclonal |
| 理论分子量 | 18 kDa |
| 浓度 | 1mg/ml |
| 储存液 | 0.01M TBS (pH7.4) with 1% BSA, 0.02% Proclin300 and 50% Glycerol. |
| 研究领域 | Epigenetics and Nuclear Signaling > Transcription > Domain Families > HLH / Leucine Zipper > HLH Epigenetics and Nuclear Signaling > Transcription > Transcription Factors Neuroscience > Neurology process > Notch Pathway Stem Cells > Neural Stem Cells > Intracellular Stem Cells > Signaling Pathways > Notch > Nuclear |
| 亚基 | Transcription repression requires formation of a complex with a corepressor protein of the Groucho/TLE family. |
| 亚细胞定位 | Nucleus. |
| 组织特异性 | Expressed in fetal heart and brain tumors. |
| 相似性 | Contains 1 basic helix-loop-helix (bHLH) domain. Contains 1 Orange domain. |
| 功能 | Transcriptional repressor of genes that require a bHLH protein for their transcription |
| 保存条件 | Shipped at 4℃. Store at -20℃ for one year. Avoid repeated freeze/thaw cycles. |
| 注意事项 | This product as supplied is intended for research use only, not for use in human, therapeutic or diagnostic applications. |
| 背景资料 | This gene encodes a member of a family of basic helix-loop-helix transcriptional repressors. The protein product of this gene, which is activated downstream of the Notch pathway, regulates cell differentiation in multiple tissues. Disruptions in the normal expression of this gene have been associated with developmental diseases and cancer. [provided by RefSeq, Dec 2008] |
| 应用 | 推荐稀释比例 |
| {WB} | {1:500-2000} |
| {IHC-P} | {1:100-500} |
| {IHC-F} | {1:100-500} |
| {IF} | {1:100-500} |

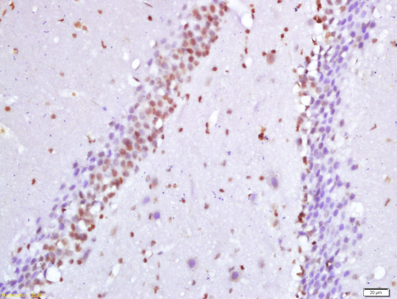
Antigen retrieval: citrate buffer ( 0.01M, pH 6.0 ), Boiling bathing for 15min; Block endogenous peroxidase by 3% Hydrogen peroxide for 30min; Blocking buffer (normal goat serum,C-0005) at 37℃ for 20 min;
Incubation: Anti-Hes5 Polyclonal Antibody, Unconjugated(bs-3767R) 1:200, overnight at 4°C, followed by conjugation to the secondary antibody(SP-0023) and DAB(C-0010) staining

Kidney (Rat) Lysate at 40 ug
Primary: Anti-alpha smooth muscle Actin (bs-3767R) at 1/500 dilution
Secondary: IRDye800CW Goat Anti-Rabbit IgG at 1/20000 dilution
Predicted band size: 18 kD
Observed band size: 20 kD


风险提示:丁香通仅作为第三方平台,为商家信息发布提供平台空间。用户咨询产品时请注意保护个人信息及财产安全,合理判断,谨慎选购商品,商家和用户对交易行为负责。对于医疗器械类产品,请先查证核实企业经营资质和医疗器械产品注册证情况。
文献和实验[IF={{ 6.119 }}] {Liu D et al. PNO1, which is negatively regulated by miR-340-5p, promotes lung adenocarcinoma progression through Notch signaling pathway. Oncogenesis. 2020 Jun 1;9(5):58.} {WB} {Human}
[IF={{ 3.1 }}] {Yang Chan Mo. et al. Comprehensive molecular profiling of combined hepatocellular carcinoma and cholangiocarcinoma reveals distinct Notch signaling subgroups with prognostic significance. VIRCHOWS ARCH. 2025 Jul;:1-13} {IHC} {Human}
[IF={{ 2.96 }}] {Zhang, Haihua, et al. "Epidermal growth factor promotes proliferation of dermal papilla cells via Notch signaling pathway." Biochimie (2016).} {WB} {="Other Species"}
= NAL), appears to form upon oxidative cyclization of the nonfluorescent 2:1 lysine-HNE Michael adduct-Schiff base cross-link (Scheme 1). Polyclonal antibody (PAb) to the NAL-HNE fluorophore was raised in rabbit and found to be highly specific
GE Healthcare Benzamidine Sepharose™ 6B is p-aminobenzamidine covalently attached to Sepharose 6B by the epoxy coupling method. p-Aminobenzamidine (PAB), is a synthetic inhibitor of trypsin-like serine protease. Trypsin and trypsin
Nucleic Acid Programmable Protein Arrays: Versatile Tools for Array‐Based Functional Protein Studies
.g., Sigma) 50 mg/ml bis‐sulfosuccinimdylsuberate (BS3 ;Pierce, cat. no. PI 21580) in dimethylsulfoxide (DMSO) 5 mg/ml
技术资料暂无技术资料 索取技术资料










