相关产品推荐更多 >

JAKMIP3 Rabbit pAb(bs-17197R)-50ul/100ul/200ul
¥1180
PP1C gamma Rabbit pAb, BF488 conjugated(bs-5422R-BF488)-100ul
¥2980
EpCAM Rabbit pAb, Biotin conjugated(bs-1513R-Bio)-100ul
¥2980
Vinculin Rabbit pAb, PerCP-Cy7 conjugated(bs-6640R-PerCP-Cy7)-100ul
¥2980
PU.1/Spi1 Rabbit pAb(bs-19594R)-50ul/100ul/200ul
¥1180
万千商家帮你免费找货
0 人在求购买到急需产品
- 详细信息
- 文献和实验
- 技术资料
- 应用范围:
产品信息以Bioss网站为准
- 规格:
50ul/100ul/200ul
| 规格: | 50ul | 产品价格: | ¥1180.0 |
|---|---|---|---|
| 规格: | 100ul | 产品价格: | ¥1980.0 |
| 规格: | 200ul | 产品价格: | ¥2800.0 |
| 产品编号 | bs-0634R |
| 英文名称 | Aquaporin 4 Rabbit pAb |
| 中文名称 | 水通道蛋白4抗体 |
| 英文别名 | aquaporin 4; WCH4; Mercurial-insensitive water channel; MIWC; AQP 4; AQP4; Aquaporin4; HMIWC 2; HMIWC2; Mercurial insensitive water channel; MGC22454; MIWC; AQP4_HUMAN; Aquaporin-4; AQP-4. |
| 产品应用 | WB=1:500-2000, IHC-P=1:100-500, IHC-F=1:100-500, IF=1:100-500, Flow-Cyt=1μg /test Not yet tested in other applications. |
| 交叉反应 | Human, Mouse, Rat (Pig, Cow, Rabbit, Sheep) |
| 抗体来源 | Rabbit |
| 免疫原 | KLH conjugated synthetic peptide derived from human AQP4 |
| 亚型 | IgG |
| 性状 | Liquid |
| 纯化方法 | affinity purified by Protein A |
| 克隆类型 | Polyclonal |
| 理论分子量 | 36 kDa |
| 浓度 | 1mg/ml |
| 储存液 | 0.01M TBS (pH7.4) with 1% BSA, 0.02% Proclin300 and 50% Glycerol. |
| 研究领域 | Signal Transduction > Metabolism > Plasma Membrane > Channels |
| 亚基 | Homotetramer. Part of a complex containing MLC1, TRPV4, HEPACAM and ATP1B1. |
| 亚细胞定位 | Membrane; Multi-pass membrane protein. |
| 组织特异性 | Brain, muscle, heart, kidney, lung, and trachea. |
| 相似性 | Belongs to the MIP/aquaporin (TC 1.A.8) family. |
| 功能 | Forms a water-specific channel. Osmoreceptor which regulates body water balance and mediates water flow within the central nervous system. |
| 保存条件 | Shipped at 4℃. Store at -20℃ for one year. Avoid repeated freeze/thaw cycles. |
| 注意事项 | This product as supplied is intended for research use only, not for use in human, therapeutic or diagnostic applications. |
| 背景资料 | This gene encodes a member of the aquaporin family of intrinsic membrane proteins that function as water-selective channels in the plasma membranes of many cells. The encoded protein is the predominant aquaporin found in brain. Two alternatively spliced transcript variants encoding distinct isoforms have been found for this gene. [provided by RefSeq, Jul 2008] |
| 应用 | 推荐稀释比例 |
| {WB} | {1:500-2000} |
| {IHC-P} | {1:100-500} |
| {IHC-F} | {1:100-500} |
| {IF} | {1:100-500} |
| {Flow-Cyt} | {1μg /test} |


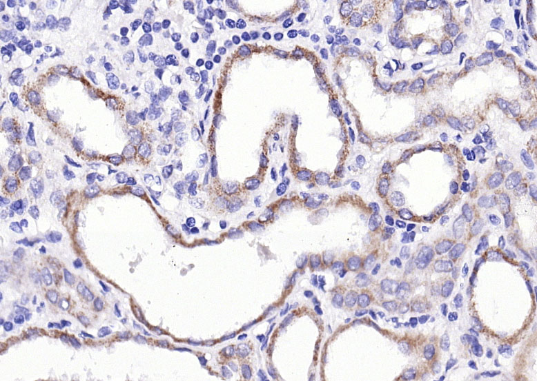
Antigen retrieval: citrate buffer ( 0.01M, pH 6.0 ), Boiling bathing for 15min; Block endogenous peroxidase by 3% Hydrogen peroxide for 30min; Blocking buffer (normal goat serum,C-0005) at 37℃ for 20 min;
Incubation: Anti-AQP4 Polyclonal Antibody, Unconjugated(bs-0634R) 1:200, overnight at 4°C, followed by conjugation to the secondary antibody(SP-0023) and DAB(C-0010) staining

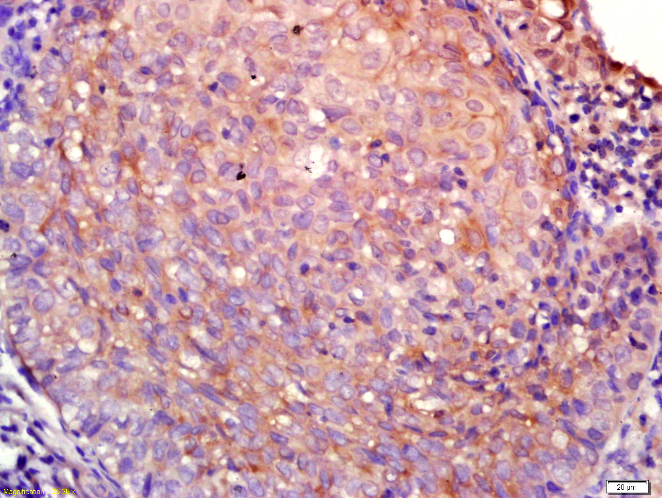
Antigen retrieval: citrate buffer ( 0.01M, pH 6.0 ), Boiling bathing for 15min; Block endogenous peroxidase by 3% Hydrogen peroxide for 30min; Blocking buffer (normal goat serum,C-0005) at 37℃ for 20 min;
Incubation: Anti-AQP4 Polyclonal Antibody, Unconjugated(bs-0634R) 1:200, overnight at 4°C, followed by conjugation to the secondary antibody(SP-0023) and DAB(C-0010) staining

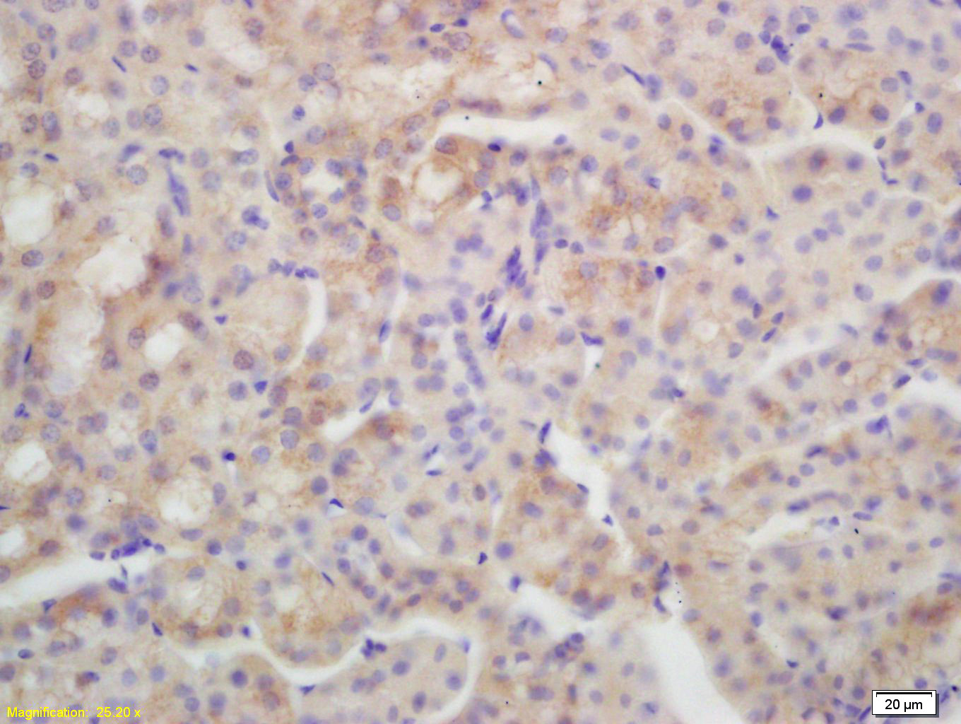
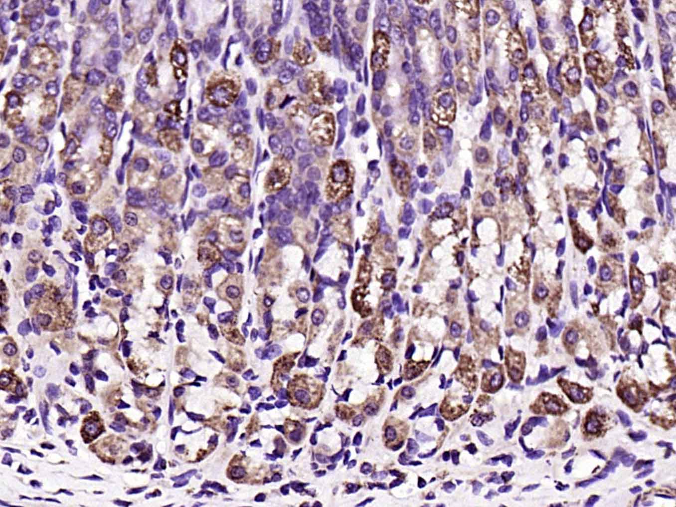
Antigen retrieval: citrate buffer ( 0.01M, pH 6.0 ), Boiling bathing for 15min; Block endogenous peroxidase by 3% Hydrogen peroxide for 30min; Blocking buffer (normal goat serum,C-0005) at 37℃ for 20 min;
Incubation: Anti-AQP4 Polyclonal Antibody, Unconjugated(bs-0634R) 1:200, overnight at 4°C, followed by conjugation to the secondary antibody(SP-0023) and DAB(C-0010) staining

Primary Antibody:Rabbit Anti-Aquaporin 4 antibody (bs-0634R,Green); Dilution: 1μg in 100 μL 1X PBS containing 0.5% BSA;
Isotype Control Antibody: Rabbit IgG(orange) ,used under the same conditions;
Secondary Antibody: Goat anti-rabbit IgG-FITC(white blue), Dilution: 1:200 in 1 X PBS containing 0.5% BSA.
Protocol
The cells were fixed with 2% Paraformaldehyde for 10 min at 37℃. Primary antibody (bs-0634R, 1μg /1x10^6 cells) were incubated for 30 min at room temperature, followed by 1 X PBS containing 0.5% BSA + 10% goat serum (15min) to block non-specific protein-protein interactions. Then the Goat Anti-rabbit IgG/FITC antibody was added into the blocking buffer mentioned above to react with the primary antibody at 1/200 dilution for 30 min at room temperature. Acquisition of 20,000 events was performed.

Primary Antibody (green line): Rabbit Anti-AQP 4 antibody (bs-0634R-A488)
Dilution: 1μg /10^6 cells;
Isotype Control Antibody (orange line): Rabbit IgG .
Protocol
The cells were incubated in 5%BSA to block non-specific protein-protein interactions for 30 min at room temperature .Cells stained with Primary Antibody for 30 min at room temperature. Acquisition of 20,000 events was performed.


风险提示:丁香通仅作为第三方平台,为商家信息发布提供平台空间。用户咨询产品时请注意保护个人信息及财产安全,合理判断,谨慎选购商品,商家和用户对交易行为负责。对于医疗器械类产品,请先查证核实企业经营资质和医疗器械产品注册证情况。
文献和实验[IF={{ 7.675 }}] {Yimeng Fan. et al. Pingwei San Ameliorates Spleen Deficiency-Induced Diarrhea through Intestinal Barrier Protection and Gut Microbiota Modulation. ANTIOXIDANTS-BASEL. 2023 May;12(5):1122} {IHC} {Rat}
[IF={{ 6.42 }}] {Cao et al. Hypertonic saline reduces lipopolysaccharide-induced mouse brain edema through inhibiting aquaporin 4 expression. (2012) Crit.Care. 16:R186} {WB,FCM} {Mouse}
[IF={{ 4.8 }}] {Steven Tandean. et al. Chemical Composition and Neuroprotective Properties of Indonesian Stingless Bee (Geniotrigona thoracica) Propolis Extract in an In-Vivo Model of Intracerebral Hemorrhage (ICH). NUTRIENTS. 2024 Jan;16(12):1880} {IHC} {Rat}
[IF={{ 3.887 }}] {Huijun LI. et al. Screening the effective components in treating dampness stagnancy due to spleen deficiency syndrome and elucidating the potential mechanism of Poria water extract. CHIN J NAT MEDICINES. 2023 Feb;21:83} {WB} {Rat}
[IF={{ 3.252 }}] {Ganggang Li. et al. Baicalin suppresses neuron autophagy and apoptosis by regulating astrocyte polarization in pentylenetetrazol-induced epileptic rats and PC12 cells. Brain Res. 2022 Jan;1774:147723} {WB} {Rat}
技术资料暂无技术资料 索取技术资料





