相关产品推荐更多 >
万千商家帮你免费找货
0 人在求购买到急需产品
- 详细信息
- 文献和实验
- 技术资料
- 应用范围:
产品信息以Bioss网站为准
- 规格:
50ul/100ul/200ul
| 规格: | 50ul | 产品价格: | ¥1180.0 |
|---|---|---|---|
| 规格: | 100ul | 产品价格: | ¥1980.0 |
| 规格: | 200ul | 产品价格: | ¥2800.0 |
| 产品编号 | bs-4034R |
| 英文名称 | PDHA1 Rabbit pAb |
| 中文名称 | 丙酮酸脱氢酶α1抗体 |
| 英文别名 | Pyruvate dehydrogenase E1 component subunit alpha, somatic form, mitochondrial; ODPA_HUMAN; EC:1.2.4.1; PDHE1-A type I; pyruvate dehydrogenase E1 subunit alpha 1; PDHA; PDHAD; PHE1A; E1alpha; PDHCE1A; PDH-E1α; |
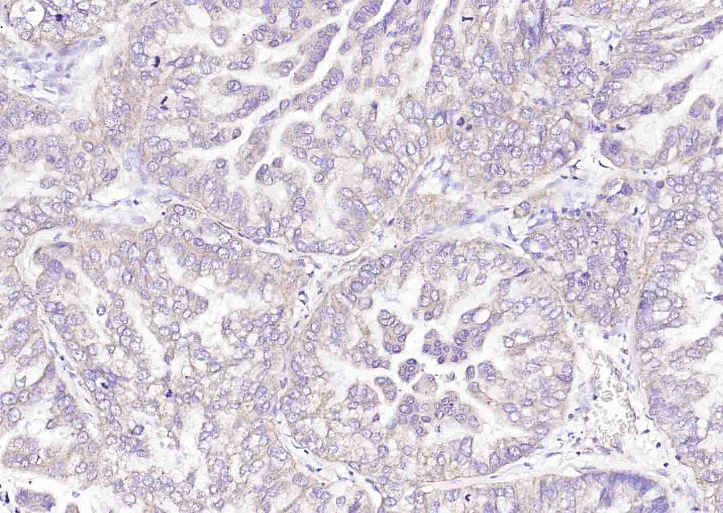
| 产品应用 | WB=1:500-2000, IHC-P=1:100-500, IHC-F=1:100-500, IF=1:100-500 Not yet tested in other applications. |
| 交叉反应 | Human, Mouse, Rat (Chicken, Dog, Pig, Cow, Horse, Rabbit) |
| 抗体来源 | Rabbit |
| 免疫原 | KLH conjugated synthetic peptide derived from human PDHA1 |
| 亚型 | IgG |
| 性状 | Liquid |
| 纯化方法 | affinity purified by Protein A |
| 克隆类型 | Polyclonal |
| 理论分子量 | 43 kDa |
| 浓度 | 1mg/ml |
| 储存液 | 0.01M TBS (pH7.4) with 1% BSA, 0.02% Proclin300 and 50% Glycerol. |
| 研究领域 | Cancer > Cancer Metabolism > Metabolic signaling pathway > Metabolism of carbohydrates Metabolism > Pathways and Processes > Metabolic signaling pathways > Carbohydrate metabolism Metabolism > Pathways and Processes > Metabolic signaling pathways > Energy transfer pathways > Energy Metabolism Metabolism > Pathways and Processes > Mitochondrial Metabolism > Mitochondrial markers Signal Transduction > Metabolism > Energy Metabolism Signal Transduction > Metabolism > Mitochondrial |
| 亚基 | Tetramer of 2 alpha and 2 beta subunits. |
| 亚细胞定位 | Mitochondrion matrix. |
| 组织特异性 | Testis. Expressed in postmeiotic spermatogenic cells. |
| 翻译后修饰 | Phosphorylation at Ser-232, Ser-293 and Ser-300 by PDK family kinases inactivates the enzyme; for this phosphorylation at a single site is sufficient. Dephosphorylation at all three sites, i.e. at Ser-232, Ser-293 and Ser-300, is required for reactivation. |
| 功能 | The pyruvate dehydrogenase complex catalyzes the overall conversion of pyruvate to acetyl-CoA and CO(2), and thereby links the glycolytic pathway to the tricarboxylic cycle. |
| 保存条件 | Shipped at 4℃. Store at -20℃ for one year. Avoid repeated freeze/thaw cycles. |
| 注意事项 | This product as supplied is intended for research use only, not for use in human, therapeutic or diagnostic applications. |
| 背景资料 | The pyruvate dehydrogenase (PDH) complex is a nuclear-encoded mitochondrial multienzyme complex that catalyzes the overall conversion of pyruvate to acetyl-CoA and CO(2), and provides the primary link between glycolysis and the tricarboxylic acid (TCA) cycle. The PDH complex is composed of multiple copies of three enzymatic components: pyruvate dehydrogenase (E1), dihydrolipoamide acetyltransferase (E2) and lipoamide dehydrogenase(E3). The E1 enzyme is a heterotetramer of two alpha and two beta subunits. This gene encodes the E1 alpha 1 subunit containing the E1 active site, and plays a key role in the function of the PDH complex. Mutations in this gene are associated with pyruvate dehydrogenase E1-alpha deficiency and X-linked Leigh syndrome. Alternatively spliced transcript variants encoding different isoforms have been found for this gene. |
| 应用 | 推荐稀释比例 |
| {WB} | {1:500-2000} |
| {IHC-P} | {1:100-500} |
| {IHC-F} | {1:100-500} |
| {IF} | {1:100-500} |


Primary: Anti-PDHA1 (bs-4034R) at 1/300 dilution
Secondary: IRDye800CW Goat Anti-Rabbit IgG at 1/20000 dilution
Predicted band size: 43 kD
Observed band size: 43 kD

Primary: Anti-PDHA1 (bs-4034R) at 1/300 dilution
Secondary: IRDye800CW Goat Anti-Rabbit IgG at 1/20000 dilution
Predicted band size: 43 kD
Observed band size: 43 kD



风险提示:丁香通仅作为第三方平台,为商家信息发布提供平台空间。用户咨询产品时请注意保护个人信息及财产安全,合理判断,谨慎选购商品,商家和用户对交易行为负责。对于医疗器械类产品,请先查证核实企业经营资质和医疗器械产品注册证情况。
文献和实验[IF={{ 8.8 }}] {Yunjia Zhang. et al. Macrophage MCT4 inhibition activates reparative genes and protects from atherosclerosis by histone H3 lysine 18 lactylation. CELL REP. 2024 May;43:} {WB} {Mouse}
[IF={{ 8.786 }}] {Mingyi Yang. et al. A novel signature to guide osteosarcoma prognosis and immune microenvironment: Cuproptosis-related lncRNA. FRONT IMMUNOL. 2022; 13: 919231} {WB,IHC} {Human}
[IF={{ 7.6 }}] {Yan-Zhu Chen. et al. Acrolein exposure affects ovarian function by interfering with glycolysis and mitochondrial energy metabolism in mouse. ENVIRON POLLUT. 2024 Nov;361:124776} {WB} {Mouse}
[IF={{ 4.4 }}] {Zhou Rui. et al. Comprehensive exploration of the involvement of cuproptosis in tumorigenesis and progression of neuroblastoma. BMC GENOMICS. 2023 Dec;24(1):1-17} {WB,IHC} {Human}
[IF={{ 17.4 }}] {Yuehua Wang. et al. Gemcitabine nano-prodrug reprograms intratumoral metabolism and alleviates immunosuppression for hepatocellular carcinoma therapy. NANO TODAY. 2023 Dec;53:102009} {WB,IF} {Mouse,Human}
= NAL), appears to form upon oxidative cyclization of the nonfluorescent 2:1 lysine-HNE Michael adduct-Schiff base cross-link (Scheme 1). Polyclonal antibody (PAb) to the NAL-HNE fluorophore was raised in rabbit and found to be highly specific
GE Healthcare Benzamidine Sepharose™ 6B is p-aminobenzamidine covalently attached to Sepharose 6B by the epoxy coupling method. p-Aminobenzamidine (PAB), is a synthetic inhibitor of trypsin-like serine protease. Trypsin and trypsin
Nucleic Acid Programmable Protein Arrays: Versatile Tools for Array‐Based Functional Protein Studies
.g., Sigma) 50 mg/ml bis‐sulfosuccinimdylsuberate (BS3 ;Pierce, cat. no. PI 21580) in dimethylsulfoxide (DMSO) 5 mg/ml
技术资料暂无技术资料 索取技术资料









