相关产品推荐更多 >

phospho-PKC alpha (Thr638) Recombinant Rabbit mAb(bsm-52187R)-50ul/100ul
¥1400
FCGRT Rabbit pAb, BF405 conjugated(bs-13151R-BF405)-100ul
¥2980
CELSR1 Rabbit pAb, AP conjugated(bs-13831R-AP)-100ul
¥2980
DC-SIGN Rabbit pAb, Biotin conjugated(bs-10053R-Bio)-100ul
¥2980
ZNF599 Rabbit pAb, AP conjugated(bs-19530R-AP)-100ul
¥2980
万千商家帮你免费找货
0 人在求购买到急需产品
- 详细信息
- 文献和实验
- 技术资料
- 应用范围:
产品信息以Bioss网站为准
- 规格:
50ul/100ul/200ul
| 规格: | 50ul | 产品价格: | ¥1180.0 |
|---|---|---|---|
| 规格: | 100ul | 产品价格: | ¥1980.0 |
| 规格: | 200ul | 产品价格: | ¥2800.0 |
| 产品编号 | bs-1305R |
| 英文名称 | CCR7 Rabbit pAb |
| 中文名称 | 细胞表面趋化因子受体7抗体 |
| 英文别名 | CCR7_HUMAN; BLR 2; BLR2; C C chemokine receptor type 7; C C CKR 7; CC chemokine receptor 7; CC chemokine receptor type 7; CC CKR 7; CCCKR7; CCR 7; CD 197; CD197; CD197 antigen; CDW197; Chemokine C C motif receptor 7; Chemokine C C receptor 7; Chemokine receptor 7-like protein; EBI 1; EBI1; Ebi1h; EBV Induced G Protein Coupled Receptor 1; Epstein Barr virus induced G protein coupled receptor; Epstein Barr virus induced gene 1; EVI 1; EVI1; Lymphocyte Specific G Protein Coupled Peptide Receptor; MGC108519; MIP 3 beta receptor; MIP3 beta Receptor. |
| 产品应用 | WB=1:500-2000, IHC-P=1:100-500, IHC-F=1:100-500, ICC/IF=1:100-500, IF=1:100-500, Flow-Cyt=1μg/Test Not yet tested in other applications. |
| 交叉反应 | Human, Mouse, Rat (Dog) |
| 抗体来源 | Rabbit |
| 免疫原 | KLH conjugated synthetic peptide derived from human CCR7 |
| 亚型 | IgG |
| 性状 | Liquid |
| 纯化方法 | affinity purified by Protein A |
| 克隆类型 | Polyclonal |
| 理论分子量 | 42 kDa |
| 浓度 | 1mg/ml |
| 储存液 | 0.01M TBS (pH7.4) with 1% BSA, 0.02% Proclin300 and 50% Glycerol. |
| 研究领域 | Immunology > Innate Immunity > Chemokines > Beta Chemokine Rec. (CCR) Microbiology > Organism > Virus > RNA Virus > ssRNA positive strand virus > SARS Coronavirus Signal Transduction > Signaling Pathway > G Protein Signaling > GPCR |
| 亚细胞定位 | Cell membrane; Multi-pass membrane protein. |
| 组织特异性 | Expressed in various lymphoid tissues and activated B- and T-lymphocytes, strongly up-regulated in B-cells infected with Epstein-Barr virus and T-cells infected with herpesvirus 6 or 7. |
| 相似性 | Belongs to the G-protein coupled receptor 1 family. |
| 功能 | Receptor for the MIP-3-beta chemokine. Probable mediator of EBV effects on B-lymphocytes or of normal lymphocyte functions. |
| 保存条件 | Shipped at 4℃. Store at -20℃ for one year. Avoid repeated freeze/thaw cycles. |
| 注意事项 | This product as supplied is intended for research use only, not for use in human, therapeutic or diagnostic applications. |
| 背景资料 | The protein encoded by this gene is a member of the G protein-coupled receptor family. This receptor was identified as a gene induced by the Epstein-Barr virus (EBV), and is thought to be a mediator of EBV effects on B lymphocytes. This receptor is expressed in various lymphoid tissues and activates B and T lymphocytes. It has been shown to control the migration of memory T cells to inflamed tissues, as well as stimulate dendritic cell maturation. The chemokine (C-C motif) ligand 19 (CCL19/ECL) has been reported to be a specific ligand of this receptor. [provided by RefSeq, Jul 2008] |
| 应用 | 推荐稀释比例 |
| {WB} | {1:500-2000} |
| {IHC-P} | {1:100-500} |
| {IHC-F} | {1:100-500} |
| {ICC/IF} | {1:100-500} |
| {IF} | {1:100-500} |
| {Flow-Cyt} | {1μg/Test} |

Dilution: 1μg /test.
Protocol The cells were fixed with 4% PFA (10min at room temperature)and then permeabilized with 90% ice-cold methanol for 20 min at room temperature. The cells were then incubated in 5%BSA to block non-specific protein-protein interactions for 30 min at room temperature .Cells stained with Primary Antibody for 30 min at room temperature.The secondary antibody used for 40 min at room temperature. Acquisition of 20,000 events was performed.

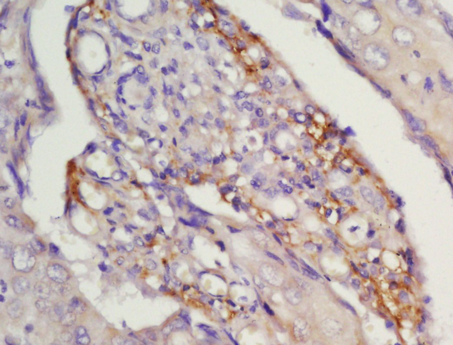
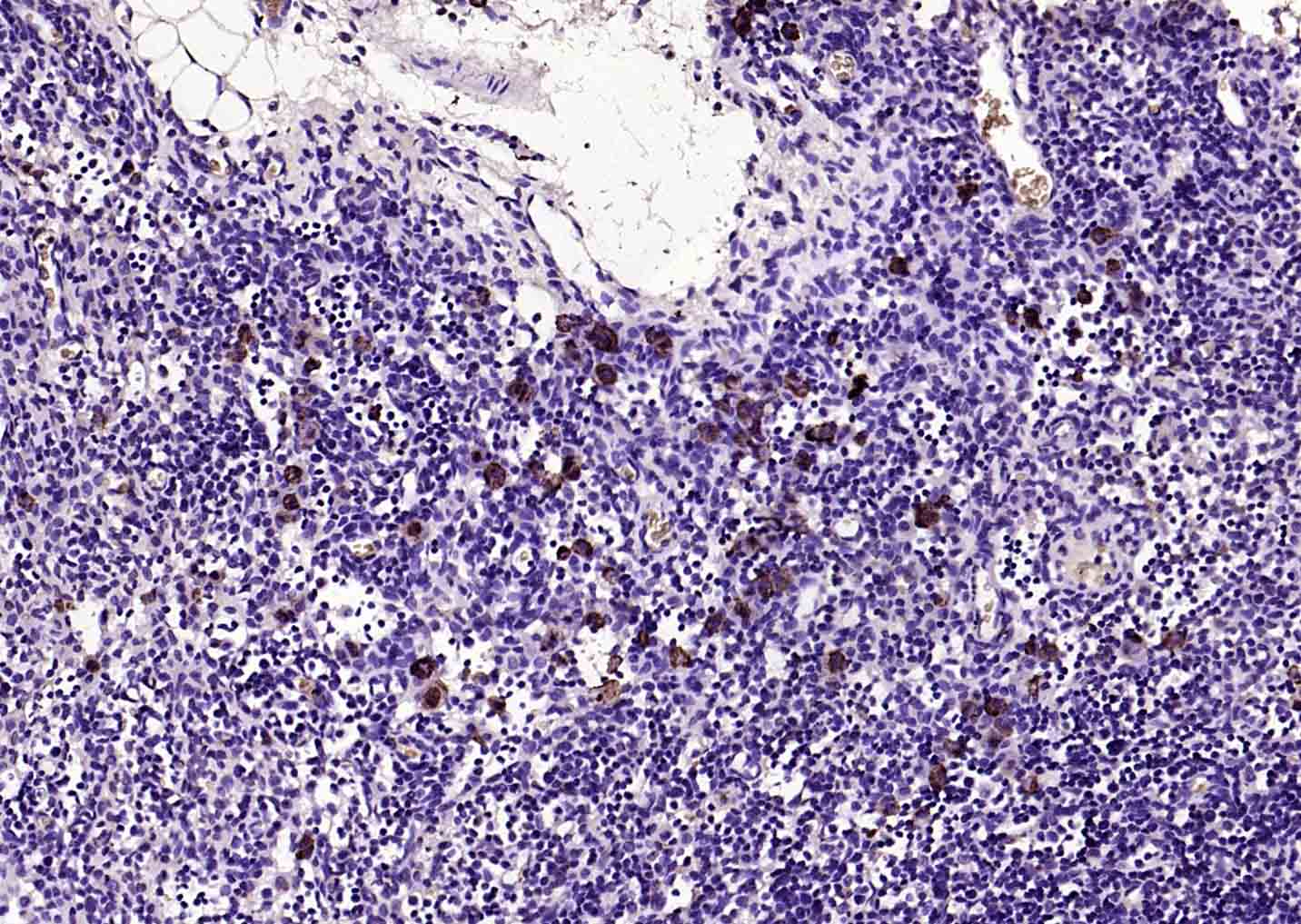
Antigen retrieval: citrate buffer ( 0.01M, pH 6.0 ), Boiling bathing for 15min; Block endogenous peroxidase by 3% Hydrogen peroxide for 30min; Blocking buffer (normal goat serum,C-0005) at 37℃ for 20 min;
Incubation: Anti-CCR7 Polyclonal Antibody, Unconjugated(bs-1305R) 1:200, overnight at 4°C, followed by conjugation to the secondary antibody(SP-0023) and DAB(C-0010) staining

Antigen retrieval: citrate buffer ( 0.01M, pH 6.0 ), Boiling bathing for 15min; Blocking buffer (normal goat serum,C-0005) at 37℃ for 20 min;
Incubation: Anti-CCR7 Polyclonal Antibody, Unconjugated(bs-1305R) 1:200, overnight at 4°C; The secondary antibody was Goat Anti-Rabbit IgG, FITC conjugated(bs-0295G-FITC)used at 1:200 dilution for 40 minutes at 37°C. DAPI(5ug/ml,blue,C-0033) was used to stain the cell nuclei

Primary Antibody:Rabbit Anti-CCR7 antibody(bs-1305R), Dilution: 1μg in 100 μL 1X PBS containing 0.5% BSA;
Isotype Control Antibody: Rabbit IgG(orange) ,used under the same conditions );
Secondary Antibody: Goat anti-rabbit IgG-PE(white blue), Dilution: 1:200 in 1 X PBS containing 0.5% BSA.
Protocol
The cells were fixed with 2% Paraformaldehyde (10 min) . Primary antibody (bs-1305R, 1μg /1x10^6 cells) were incubated for 30 min on the ice, followed by 1 X PBS containing 0.5% BSA + 10% goat serum (15 min) to block non-specific protein-protein interactions. Then the Goat Anti-rabbit IgG/PE antibody was added into the blocking buffer mentioned above to react with the primary antibody at 1/200 dilution for 30 min on ice. Acquisition of 20,000 events was performed.




Primary Antibody (green line): Rabbit Anti-CCR7 antibody (bs-1305R)
Dilution: 1μg /10^6 cells;
Isotype Control Antibody (orange line): Rabbit IgG .
Secondary Antibody : Goat anti-rabbit IgG-FITC
Dilution: 0.5μg /test.
Protocol
The cells were fixed with 4% PFA (10min at room temperature)and then permeabilized with 0.1% PBST for 20 min at room temperature.The cells were then incubated in 5%BSA to block non-specific protein-protein interactions for 30 min at room temperature .Cells stained with Primary Antibody for 30 min at room temperature. The secondary antibody used for 40 min at room temperature. Acquisition of 20,000 events was performed.

Lane 1: Mouse Bone tissue lysates
Lane 2: Mouse Raw264.7 cell lysates
Lane 3: Human Jurkat cell lysates
Lane 4: Human MCF-7 cell lysates
Lane 5: Human THP-1 cell lysates
Primary: Anti-CCR7 (bs-1305R) at 1/1000 dilution
Secondary: IRDye800CW Goat Anti-Rabbit IgG at 1/20000 dilution
Predicted band size: 42 kDa
Observed band size: 42 kDa
风险提示:丁香通仅作为第三方平台,为商家信息发布提供平台空间。用户咨询产品时请注意保护个人信息及财产安全,合理判断,谨慎选购商品,商家和用户对交易行为负责。对于医疗器械类产品,请先查证核实企业经营资质和医疗器械产品注册证情况。
文献和实验[IF={{ 9.3 }}] {Gao Dandan. et al. Enhancing Th17 cells drainage through meningeal lymphatic vessels alleviate neuroinflammation after subarachnoid hemorrhage. J NEUROINFLAMM. 2024 Dec;21(1):1-17} {IF} {Mouse}
[IF={{ 8.352 }}] {Ye Hea et al. Improved osteointegration by SEW2871-encapsulated multilayers on micro-structured titanium via macrophages recruitment and immunomodulation. Applied Materials Today 20 (2020) 100673} {IHC,IF} {Rat/Mouse}
[IF={{ 6.354 }}] {Hao, Yanan. et al. Gut microbiota-testis axis: FMT improves systemic and testicular micro-environment to increase semen quality in type 1 diabetes. MOL MED. 2022 Dec;28(1):1-17} {IF} {Mouse}
[IF={{ 6.353 }}] {Liu Xingdan. et al. Hydroxyapatite composited PEEK with 3D porous surface enhances osteoblast differentiation through mediating NO by macrophage. Regen Biomater. 2021 Dec;:} {FCM} {Mouse}
[IF={{ 5.2 }}] {Zhu Chun-Yan. et al. EZH2 elicits CD8+ T-cell desert in esophageal squamous cell carcinoma via suppressing CXCL9 and dendritic cells. COMMUN BIOL. 2024 Dec;7(1):1-16} {IF} {Human,Mouse}
= NAL), appears to form upon oxidative cyclization of the nonfluorescent 2:1 lysine-HNE Michael adduct-Schiff base cross-link (Scheme 1). Polyclonal antibody (PAb) to the NAL-HNE fluorophore was raised in rabbit and found to be highly specific
GE Healthcare Benzamidine Sepharose™ 6B is p-aminobenzamidine covalently attached to Sepharose 6B by the epoxy coupling method. p-Aminobenzamidine (PAB), is a synthetic inhibitor of trypsin-like serine protease. Trypsin and trypsin
Characterization of Wild‐Type Excitatory Amino Acid Ion Channel Receptors
pig, rabbit) 0.32 M sucrose, 4°C Small‐animal decapitator (or CO 2 chamber if required
技术资料暂无技术资料 索取技术资料






