相关产品推荐更多 >

TBR2 Rabbit pAb, PE-Cy5.5 conjugated(bs-11331R-PE-Cy5.5)-100ul
¥2980
Estrogen Receptor alpha Rabbit pAb(bs-0725R)-50ul/100ul/200ul
¥1180
HHV8 ORF K14 Rabbit pAb(bs-2942R)-50ul/100ul/200ul
¥1180
Optineurin Rabbit pAb, HRP conjugated(bs-13658R-HRP)-100ul
¥2980
NFKB p65 Rabbit pAb, RBITC conjugated(bs-0465R-RBITC)-100ul
¥2980
万千商家帮你免费找货
0 人在求购买到急需产品
- 详细信息
- 文献和实验
- 技术资料
- 应用范围:
产品信息以Bioss网站为准
- 规格:
50ul/100ul/200ul
| 规格: | 50ul | 产品价格: | ¥1180.0 |
|---|---|---|---|
| 规格: | 100ul | 产品价格: | ¥1980.0 |
| 规格: | 200ul | 产品价格: | ¥2800.0 |
| 产品编号 | bs-1901R |
| 英文名称 | STEAP1 Rabbit pAb |
| 中文名称 | 前列腺跨膜上皮1抗原抗体 |
| 英文别名 | Six transmbrane epithelial antigen of the prostate; MGC19484; PRSS 24; PRSS24; Six transmembrane epithelial antigen of the prostate; STEAP 1; STEAP1; STEA1_HUMAN. |
| 产品应用 | WB=1:500-2000, IHC-P=1:100-500, IHC-F=1:100-500, IF=1:100-500 Not yet tested in other applications. |
| 交叉反应 | Human (Mouse, Rat, Cow, Horse) |
| 抗体来源 | Rabbit |
| 免疫原 | KLH conjugated synthetic peptide derived from human STEAP1 |
| 亚型 | IgG |
| 性状 | Liquid |
| 纯化方法 | affinity purified by Protein A |
| 克隆类型 | Polyclonal |
| 理论分子量 | 40 kDa |
| 浓度 | 1mg/ml |
| 储存液 | 0.01M TBS (pH7.4) with 1% BSA, 0.02% Proclin300 and 50% Glycerol. |
| 研究领域 | Epigenetics and Nuclear Signaling > Transcription > Cancer susceptibility > Proto-oncogenes Tags & Cell Markers > Cell Type Markers > Tumor Associated |
| 亚细胞定位 | Endosome membrane; Multi-pass membrane protein. |
| 组织特异性 | Ubiquitously expressed. Highly expressed in prostate tumors. |
| 相似性 | Belongs to the STEAP family.
Contains 1 ferric oxidoreductase domain. |
| 功能 | Metalloreductase that has the ability to reduce both Fe(3+) to Fe(2+) and Cu(2+) to Cu(1+). Uses NAD(+) as acceptor. |
| 保存条件 | Shipped at 4℃. Store at -20℃ for one year. Avoid repeated freeze/thaw cycles. |
| 注意事项 | This product as supplied is intended for research use only, not for use in human, therapeutic or diagnostic applications. |
| 背景资料 | This gene is predominantly expressed in prostate tissue, and is found to be upregulated in multiple cancer cell lines. The gene product is predicted to be a six transmembrane protein, and was shown to be a cell surface antigen significantly expressed at cell cell junctions.Prostate cancer is the most frequently diagnosed cancer and is the second leading cause of cancer-related deaths in American men. Although the early serum detection of prostate-specific antigen (PSA) plays important roles in early diagnosis, it may not distinguish prostate cancer from benign diseases. Recently, a novel protein, which contains 339 amino acids, named STEAP (six transmembrane epithelial antigen of the prostate), was identified in advanced prostate cancer. STEAP is unique among the currently known prostate cancer markers because of its putative secondary structure, from which one may predict that it functions as a potential channel protein. STEAP is strongly expressed in advanced prostate cancer and some extent expression in other cancers, such as colon and ovarian cancer cell lines. |
| 应用 | 推荐稀释比例 |
| {WB} | {1:500-2000} |
| {IHC-P} | {1:100-500} |
| {IHC-F} | {1:100-500} |
| {IF} | {1:100-500} |

A549(Human) Cell Lysate at 30 ug
Primary: Anti-STEAP1 (bs-1901R) at 1/1000 dilution
Secondary: IRDye800CW Goat Anti-Rabbit IgG at 1/20000 dilution
Predicted band size: 40 kD
Observed band size: 40 kD

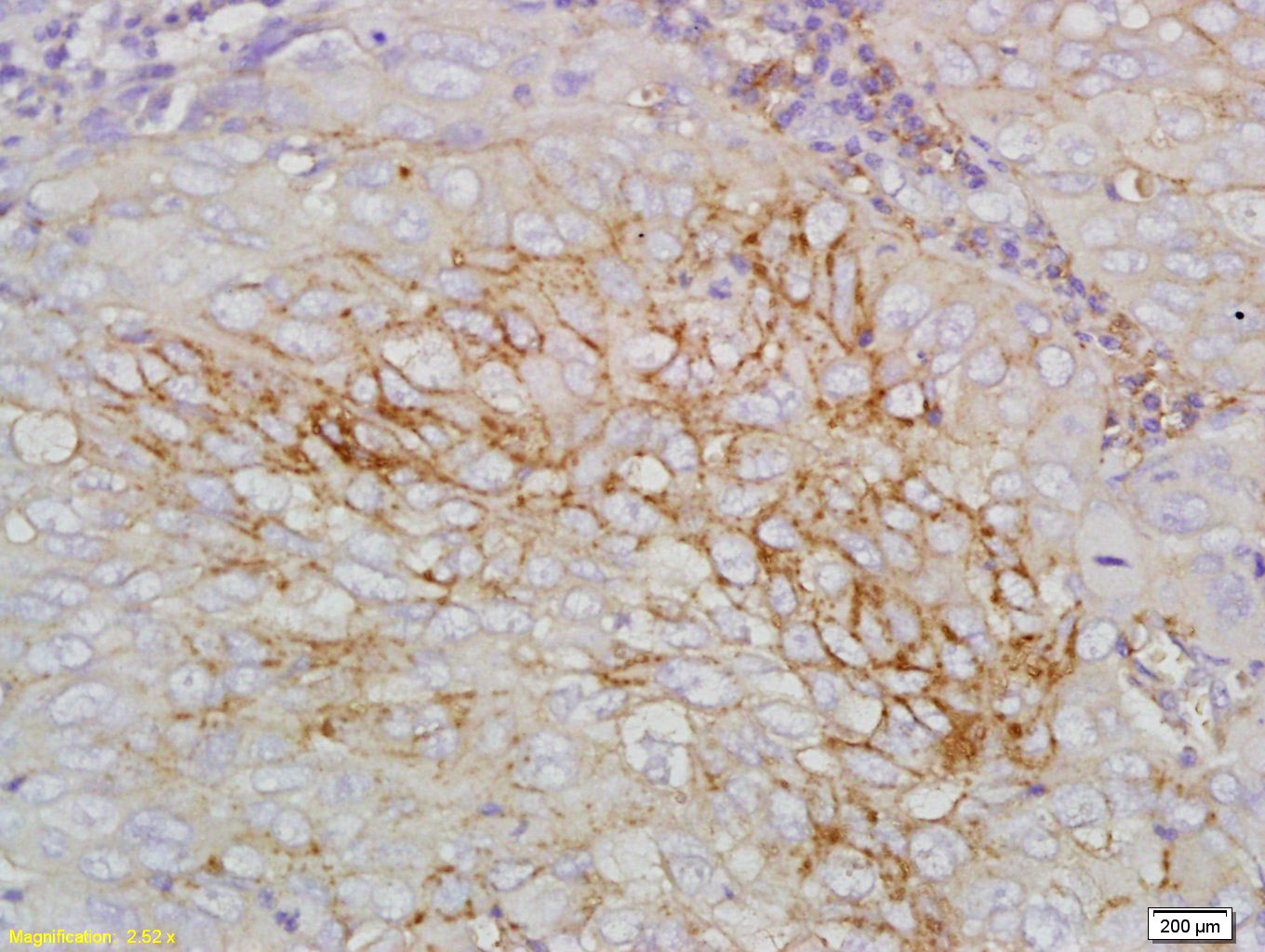
Antigen retrieval: citrate buffer ( 0.01M, pH 6.0 ), Boiling bathing for 15min; Block endogenous peroxidase by 3% Hydrogen peroxide for 30min; Blocking buffer (normal goat serum,C-0005) at 37℃ for 20 min;
Incubation: Anti-STEAP1 Polyclonal Antibody, Unconjugated(bs-1901R) 1:200, overnight at 4°C, followed by conjugation to the secondary antibody(SP-0023) and DAB(C-0010) staining
风险提示:丁香通仅作为第三方平台,为商家信息发布提供平台空间。用户咨询产品时请注意保护个人信息及财产安全,合理判断,谨慎选购商品,商家和用户对交易行为负责。对于医疗器械类产品,请先查证核实企业经营资质和医疗器械产品注册证情况。
文献和实验[IF={{ 5.7 }}] {Chengji Jin. et al.Contribution of cuproptosis and immune-related genes to idiopathic pulmonary fibrosis disease.FRONT. IMMUNOL..2025 Feb 7:16:1458341.} {IHC} {Human}
= NAL), appears to form upon oxidative cyclization of the nonfluorescent 2:1 lysine-HNE Michael adduct-Schiff base cross-link (Scheme 1). Polyclonal antibody (PAb) to the NAL-HNE fluorophore was raised in rabbit and found to be highly specific
GE Healthcare Benzamidine Sepharose™ 6B is p-aminobenzamidine covalently attached to Sepharose 6B by the epoxy coupling method. p-Aminobenzamidine (PAB), is a synthetic inhibitor of trypsin-like serine protease. Trypsin and trypsin
Nucleic Acid Programmable Protein Arrays: Versatile Tools for Array‐Based Functional Protein Studies
.g., Sigma) 50 mg/ml bis‐sulfosuccinimdylsuberate (BS3 ;Pierce, cat. no. PI 21580) in dimethylsulfoxide (DMSO) 5 mg/ml
技术资料暂无技术资料 索取技术资料






