相关产品推荐更多 >

phospho-HSP70 (Tyr611) Rabbit pAb, Cy3 conjugated(bs-10448R-Cy3)-100ul
¥2980
CENPC1 Rabbit pAb, HRP conjugated(bs-15555R-HRP)-100ul
¥2980
FAM20C Rabbit pAb(bs-12376R)-50ul/100ul/200ul
¥1180
Acetyl-Histone H4 (Lys16) Rabbit pAb(bs-60036R)-50ul/100ul
¥1580
Histone H3 (tri methyl K4) Mouse mAb, HRP conjugated(bsm-33110M-HRP)-100ul
¥2980
万千商家帮你免费找货
0 人在求购买到急需产品
- 详细信息
- 文献和实验
- 技术资料
- 应用范围:
产品信息以Bioss网站为准
- 规格:
50ul/100ul/200ul
| 规格: | 50ul | 产品价格: | ¥1180.0 |
|---|---|---|---|
| 规格: | 100ul | 产品价格: | ¥1980.0 |
| 规格: | 200ul | 产品价格: | ¥2800.0 |
| 产品编号 | bs-0289R |
| 英文名称 | Neurofascin Rabbit pAb |
| 中文名称 | 神经束蛋白抗体 |
| 英文别名 | KIAA0756; Neurofascin; Neurofascin homolog; NF; Nfasc; Nfasc protein; NFASC_HUMAN; NRCAML; neurofascin 155 kDa isoform; Neurofascin155; Neurofascin-155; NF-155. |
| 产品应用 | WB=1:500-2000, IHC-P=1:100-500, IHC-F=1:100-500, IF=1:100-500 Not yet tested in other applications. |
| 交叉反应 | Mouse, Rat (Human, Chicken, Dog, Cow, Horse) |
| 抗体来源 | Rabbit |
| 免疫原 | KLH conjugated synthetic peptide derived from human Neurofascin-155 |
| 亚型 | IgG |
| 性状 | Liquid |
| 纯化方法 | affinity purified by Protein A |
| 克隆类型 | Polyclonal |
| 理论分子量 | 132/150 kDa |
| 浓度 | 1mg/ml |
| 储存液 | 0.01M TBS (pH7.4) with 1% BSA, 0.02% Proclin300 and 50% Glycerol. |
| 研究领域 | Neuroscience > Cell Type Marker > Neuron marker > Axon marker Neuroscience > Cell Type Marker > Neuron marker > Growth Cone Neuroscience > Neurology process > Growth and Development > Axonal Guidance Proteins Neuroscience > Neurology process > Neurogenesis |
| 亚基 | Horseshoe-shaped homodimer. |
| 亚细胞定位 | Cell membrane; Single-pass type I membrane protein. |
| 相似性 | Belongs to the immunoglobulin superfamily. L1/neurofascin/NgCAM family. |
| 功能 | Cell adhesion, ankyrin-binding protein which may be involved in neurite extension, axonal guidance, synaptogenesis, myelination and neuron-glial cell interactions. |
| 保存条件 | Shipped at 4℃. Store at -20℃ for one year. Avoid repeated freeze/thaw cycles. |
| 注意事项 | This product as supplied is intended for research use only, not for use in human, therapeutic or diagnostic applications. |
| 背景资料 | Neurofascin is a cell adhesion molecule involved in mediating axon recognition but also signaling axonal contact. Immunoglobulin domain cell adhesion molecule (cam) subfamily; members are components of neural cell adhesion molecules (N-CAM L1), Fasciclin II and the insect immune protein Hemolin. The subfamily also includes receptor domains such as as the extracelluar ligand binding domain of Fibroblast Growth Factor Receptor 2. Members are phylogenetically diverse, occuring throughout metazoa, and are not components of the adaptive immune system molecules found in jawed vertebrates. A predominant feature of most Ig domains is a disulfide bridge connecting 2 beta-sheets with a Trp packing against the disulfide bond. |
| 应用 | 推荐稀释比例 |
| {WB} | {1:500-2000} |
| {IHC-P} | {1:100-500} |
| {IHC-F} | {1:100-500} |
| {IF} | {1:100-500} |

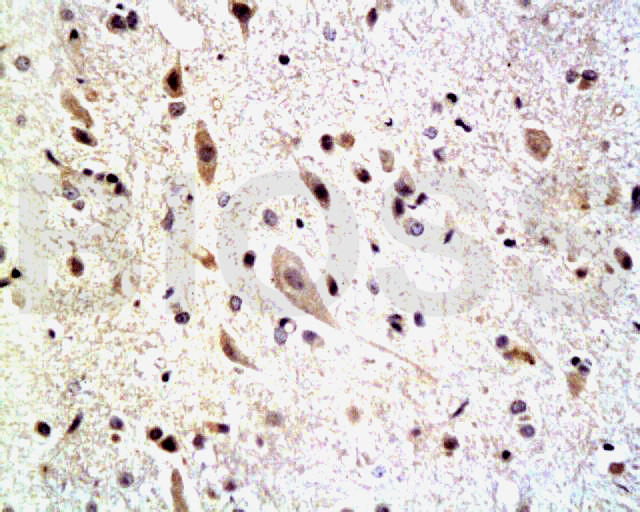
Antigen retrieval: citrate buffer ( 0.01M, pH 6.0 ), Boiling bathing for 15min; Block endogenous peroxidase by 3% Hydrogen peroxide for 30min; Blocking buffer (normal goat serum,C-0005) at 37∩ for 20 min;
Incubation: Anti-Neurofascin Polyclonal Antibody, Unconjugated(bs-0289R) 1:200, overnight at 4∑C, followed by conjugation to the secondary antibody(SP-0023) and DAB(C-0010) staining

Antigen retrieval: citrate buffer ( 0.01M, pH 6.0 ), Boiling bathing for 15min; Block endogenous peroxidase by 3% Hydrogen peroxide for 30min; Blocking buffer (normal goat serum,C-0005) at 37∩ for 20 min;
Incubation: Anti-Neurofascin Polyclonal Antibody, Unconjugated(bs-0289R) 1:500, overnight at 4∑C, followed by conjugation to the secondary antibody(SP-0023) and DAB(C-0010) staining

Primary: Anti- Neurofascin Polyclonal (bs-0289R) at 1/300 dilution
Secondary: IRDye800CW Goat Anti-Rabbit IgG at 1/20000 dilution
Predicted band size: 132/150 kD
Observed band size: 136 kD

Lane 1: Cerebrum (Mouse) Lysate at 40 ug
Lane 2: Cerebellum (Mouse) Lysate at 40 ug
Lane 3: Cerebrum (Rat) Lysate at 40 ug
Lane 4: Cerebellum (Rat) Lysate at 40 ug
Primary: Anti-Neurofascin (bs-0289R) at 1/1000 dilution
Secondary: IRDye800CW Goat Anti-Rabbit IgG at 1/20000 dilution
Predicted band size: 132 kD
Observed band size: 132 kD

Cerebral cortex (Mouse) Lysate at 40 ug
Primary: Anti-Neurofascin (bs-0289R) at 1/1000 dilution
Secondary: IRDye800CW Goat Anti-Rabbit IgG at 1/20000 dilution
Predicted band size: 132/150 kD
Observed band size: 150 kD
风险提示:丁香通仅作为第三方平台,为商家信息发布提供平台空间。用户咨询产品时请注意保护个人信息及财产安全,合理判断,谨慎选购商品,商家和用户对交易行为负责。对于医疗器械类产品,请先查证核实企业经营资质和医疗器械产品注册证情况。
文献和实验= NAL), appears to form upon oxidative cyclization of the nonfluorescent 2:1 lysine-HNE Michael adduct-Schiff base cross-link (Scheme 1). Polyclonal antibody (PAb) to the NAL-HNE fluorophore was raised in rabbit and found to be highly specific
/96T 2000/3000 进口分装 F0021 骨成型蛋白-9(BMP-9) ELISA 48T/96T 2000/3000 进口分装 F0022 BMP-R1A ELISA 48T/96T 2000/3000 进口分装 F0023 BMP-R2 ELISA 48T/96T 2000/3000 进口分装 F0024 BTC ELISA 48T/96T 2000/3100 进口分装 F0030 CAE-Ab ELISA 96
/96T 2000/3000 进口分装 F0021 骨成型蛋白-9(BMP-9) ELISA 48T/96T 2000/3000 进口分装 F0022 BMP-R1A ELISA 48T/96T 2000/3000 进口分装 F0023 BMP-R2 ELISA 48T/96T 2000/3000 进口分装 F0024 BTC ELISA 48T/96T 2000/3100 进口分装 F0030 CAE-Ab ELISA 96
技术资料暂无技术资料 索取技术资料





