相关产品推荐更多 >

AMPK gamma 1 Rabbit pAb, Biotin conjugated(bs-23404R-Bio)-100ul
¥2980
Growth hormone receptor Rabbit pAb, BF750 conjugated(bs-0654R-BF750)-100ul
¥2980
KCNMA1/BK channel Rabbit pAb, Biotin conjugated(bs-4775R-Bio)-100ul
¥2980
STK25 Rabbit pAb, Cy7 conjugated(bs-8330R-Cy7)-100ul
¥2980
HSPA4L Rabbit pAb, AP conjugated(bs-18082R-AP)-100ul
¥2980
万千商家帮你免费找货
0 人在求购买到急需产品
- 详细信息
- 文献和实验
- 技术资料
- 应用范围:
产品信息以Bioss网站为准
- 规格:
50ul/100ul/200ul
| 规格: | 50ul | 产品价格: | ¥1180.0 |
|---|---|---|---|
| 规格: | 100ul | 产品价格: | ¥1980.0 |
| 规格: | 200ul | 产品价格: | ¥2800.0 |
| 产品编号 | bs-1879R |
| 英文名称 | PSAP Rabbit pAb |
| 中文名称 | 鞘脂激活蛋白原抗体 |
| 英文别名 | Prosaposin; A1 activator; Cerebroside sulfate activator; Co-beta-glucosidase; Component C; CSAct; Dispersin; GLBA; Glucosylceramidase activator; Proactivator polypeptide; Proactivator polypeptide precursor; Prosaposin(sphingolipid activator protein 1); prosaposin(variant Gaucher disease and variant metachromatic leukodystrophy); Protein A; Protein C; PSAP; SAP-1; SAP-2; SAP_HUMAN; SAP1; Saposin A; Saposin B; Saposin B Val; Saposin C; Saposin D; Saposin-D; Saposins; Sgp1; Sphingolipid activator protein 1; Sphingolipid activator protein 2; Sulfated glycoprotein 1; Sulfatide/GM1 activator. |
| 产品应用 | WB=1:500-2000, IHC-P=1:100-500, IHC-F=1:100-500, IF=1:100-500 Not yet tested in other applications. |
| 交叉反应 | Mouse, Rat (Human, Dog) |
| 抗体来源 | Rabbit |
| 免疫原 | KLH conjugated synthetic peptide derived from human Prosaposin |
| 亚型 | IgG |
| 性状 | Liquid |
| 纯化方法 | affinity purified by Protein A |
| 克隆类型 | Polyclonal |
| 理论分子量 | 8.8/58 kDa |
| 浓度 | 1mg/ml |
| 储存液 | 0.01M TBS (pH7.4) with 1% BSA, 0.02% Proclin300 and 50% Glycerol. |
| 研究领域 | Metabolism > Pathways and Processes > Metabolic signaling pathways > Energy transfer pathways > Energy Metabolism Signal Transduction > Metabolism > Energy Metabolism Signal Transduction > Metabolism > Lipid metabolism |
| 亚基 | Saposin-B is a homodimer. |
| 亚细胞定位 | Lysosome. |
| 翻译后修饰 | This precursor is proteolytically processed to 4 small peptides, which are similar to each other and are sphingolipid hydrolase activator proteins.
N-linked glycans show a high degree of microheterogeneity. The one residue extended Saposin-B-Val is only found in 5% of the chains. |
| 相似性 | Contains 2 saposin A-type domains.
Contains 4 saposin B-type domains. |
| 功能 | The lysosomal degradation of sphingolipids takes place by the sequential action of specific hydrolases. Some of these enzymes require specific low-molecular mass, non-enzymic proteins: the sphingolipids activator proteins (coproteins).
Saposin-A and saposin-C stimulate the hydrolysis of glucosylceramide by beta-glucosylceramidase (EC 3.2.1.45) and galactosylceramide by beta-galactosylceramidase (EC 3.2.1.46). Saposin-C apparently acts by combining with the enzyme and acidic lipid to form an activated complex, rather than by solubilizing the substrate. Saposin-B stimulates the hydrolysis of galacto-cerebroside sulfate by arylsulfatase A (EC 3.1.6.8), GM1 gangliosides by beta-galactosidase (EC 3.2.1.23) and globotriaosylceramide by alpha-galactosidase A (EC 3.2.1.22). Saposin-B forms a solubilizing complex with the substrates of the sphingolipid hydrolases. Saposin-D is a specific sphingomyelin phosphodiesterase activator (EC 3.1.4.12). |
| 保存条件 | Shipped at 4℃. Store at -20℃ for one year. Avoid repeated freeze/thaw cycles. |
| 注意事项 | This product as supplied is intended for research use only, not for use in human, therapeutic or diagnostic applications. |
| 背景资料 | This gene encodes a highly conserved glycoprotein which is a precursor for 4 cleavage products: saposins A, B, C, and D. Each domain of the precursor protein is approximately 80 amino acid residues long with nearly identical placement of cysteine residues and glycosylation sites. Saposins A-D localize primarily to the lysosomal compartment where they facilitate the catabolism of glycosphingolipids with short oligosaccharide groups. The precursor protein exists both as a secretory protein and as an integral membrane protein and has neurotrophic activities. Mutations in this gene have been associated with Gaucher disease, Tay-Sachs disease, and metachromatic leukodystrophy. Alternative splicing results in multiple transcript variants encoding different isoforms. [provided by RefSeq, Jul 2008] |
| 应用 | 推荐稀释比例 |
| {WB} | {1:500-2000} |
| {IHC-P} | {1:100-500} |
| {IHC-F} | {1:100-500} |
| {IF} | {1:100-500} |

Testis (Rat) Lysate at 40 ug
BV-2 (Mouse) CellLysate at 30 ug
Primary: Anti-PSAP (bs-1879R) at 1/1000 dilution
Secondary: IRDye800CW Goat Anti-Rabbit IgG at 1/20000 dilution
Predicted band size: 8.8/58 kD
Observed band size: 58 kD

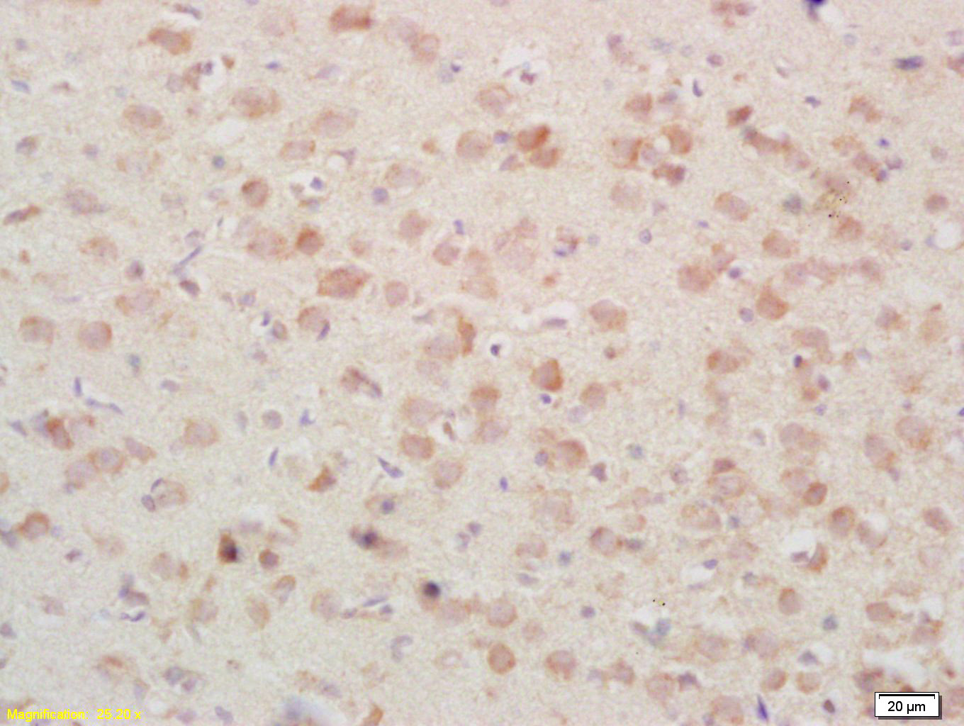
Antigen retrieval: citrate buffer ( 0.01M, pH 6.0 ), Boiling bathing for 15min; Block endogenous peroxidase by 3% Hydrogen peroxide for 30min; Blocking buffer (normal goat serum,C-0005) at 37℃ for 20 min;
Incubation: Anti-PSAP/PAP Polyclonal Antibody, Unconjugated(bs-1879R) 1:200, overnight at 4°C, followed by conjugation to the secondary antibody(SP-0023) and DAB(C-0010) staining

testis(rat) lysates at 30ug;
brain(rat) lysates at 30ug;
Primary: Anti-Anti-PSAP/PAP (bs-1879R) at 1:200;
Secondary: HRP conjugated Goat Anti-Rabbit IgG(bs-0295G-HRP) at 1: 3000;
ECL excitated the fluorescence;
Predicted band size : 58kD
Observed band size : 58kD

风险提示:丁香通仅作为第三方平台,为商家信息发布提供平台空间。用户咨询产品时请注意保护个人信息及财产安全,合理判断,谨慎选购商品,商家和用户对交易行为负责。对于医疗器械类产品,请先查证核实企业经营资质和医疗器械产品注册证情况。
文献和实验= NAL), appears to form upon oxidative cyclization of the nonfluorescent 2:1 lysine-HNE Michael adduct-Schiff base cross-link (Scheme 1). Polyclonal antibody (PAb) to the NAL-HNE fluorophore was raised in rabbit and found to be highly specific
GE Healthcare Benzamidine Sepharose™ 6B is p-aminobenzamidine covalently attached to Sepharose 6B by the epoxy coupling method. p-Aminobenzamidine (PAB), is a synthetic inhibitor of trypsin-like serine protease. Trypsin and trypsin
Nucleic Acid Programmable Protein Arrays: Versatile Tools for Array‐Based Functional Protein Studies
.g., Sigma) 50 mg/ml bis‐sulfosuccinimdylsuberate (BS3 ;Pierce, cat. no. PI 21580) in dimethylsulfoxide (DMSO) 5 mg/ml
技术资料暂无技术资料 索取技术资料






