相关产品推荐更多 >

FNBP3 Rabbit pAb, AP conjugated(bs-13190R-AP)-100ul
¥2980
Anti-human TGM2 / Transglutaminase 2 (Zampilimab Biosimilar)(BIO0784SM)-1mg/5mg/20mg
¥3200
phospho-14-3-3 theta (Ser232) Rabbit pAb, PerCP conjugated(bs-13774R-PerCP)-100ul
¥2980
MRP2/ABCC2 Rabbit pAb, BF750 conjugated(bs-1092R-BF750)-100ul
¥2980
Rab25 Rabbit pAb(bs-6501R)-50ul/100ul/200ul
¥1180
万千商家帮你免费找货
0 人在求购买到急需产品
- 详细信息
- 文献和实验
- 技术资料
- 应用范围:
产品信息以Bioss网站为准
- 规格:
50ul/100ul/200ul
| 规格: | 50ul | 产品价格: | ¥1180.0 |
|---|---|---|---|
| 规格: | 100ul | 产品价格: | ¥1980.0 |
| 规格: | 200ul | 产品价格: | ¥2800.0 |
| 产品编号 | bs-0216R |
| 英文名称 | Fas Ligand Rabbit pAb |
| 中文名称 | FasL(CD178)抗体 |
| 英文别名 | Tumor necrosis factor ligand superfamily member 6; FASLG; APO1L; Apoptosis(APO 1) antigen ligand 1; Fas-L; Apoptosis antigen ligand 1; APTL; CD178; CD-178; CD 178; CD95L; CD95 ligand; CD95-L; CD95L protein; FAS antigen ligand; Fas L; FASL; Fas ligand(TNF superfamily member 6); Generalized lymphoproliferative disease; TNF superfamily member 6; TNFSF6; TNFL6_HUMAN; Apoptosis antigen ligand; Tumor necrosis factor ligand superfamily member 6, membrane form; Tumor necrosis factor ligand superfamily member 6, soluble form; FASLG. |
| 产品应用 | WB=1:500-2000, IHC-P=1:100-500, IHC-F=1:100-500, IF=1:100-500, Flow-Cyt=1μg/Test Not yet tested in other applications. |
| 交叉反应 | Human, Mouse, Rat (Cow) |
| 抗体来源 | Rabbit |
| 免疫原 | KLH conjugated synthetic peptide derived from human Fas Ligand |
| 亚型 | IgG |
| 性状 | Liquid |
| 纯化方法 | affinity purified by Protein A |
| 克隆类型 | Polyclonal |
| 理论分子量 | 31 kDa |
| 实际分子量 | 38-42 kDa |
| 浓度 | 1mg/ml |
| 储存液 | 0.01M TBS (pH7.4) with 1% BSA, 0.02% Proclin300 and 50% Glycerol. |
| 亚基 | Homotrimer (Probable). Interacts with ARHGAP9, BAIAP2L1, BTK, CACNB3, CACNB4, CRK, DLG2, DNMBP, DOCK4, EPS8L3, FGR, FYB, FYN, HCK, ITK, ITSN2, KALRN, LYN, MACC1, MIA, MPP4, MYO15A, NCF1, NCK1, NCK2, NCKIPSD, OSTF1, PIK3R1, PSTPIP1, RIMBP3C, SAMSN1, SH3GL3, SH3PXD2B, SH3PXD2A, SH3RF2, SKAP2, SNX33, SNX9, SORBS3, SPTA1, SRC, SRGAP1, SRGAP2, SRGAP3, TEC, TJP3 and YES1. |
| 亚细胞定位 | Cell membrane; Single-pass type II membrane protein. Secreted. Cytoplasmic vesicle lumen. Lysosome lumen. Note=May be released into the extracellular fluid, probably by cleavage form the cell surface. Is internalized into multivesicular bodies of secretory lysosomes after phosphorylation by FGR and monoubiquitination. |
| 翻译后修饰 | N-glycosylated.
The soluble form derives from the membrane form by proteolytic processing. Phosphorylated by FGR on tyrosine residues; this is required for ubiquitination and subsequent internalization. Monoubiquitinated. |
| 相似性 | Belongs to the tumor necrosis factor family. |
| 功能 | Cytokine that binds to TNFRSF6/FAS, a receptor that transduces the apoptotic signal into cells. May be involved in cytotoxic T-cell mediated apoptosis and in T-cell development. TNFRSF6/FAS-mediated apoptosis may have a role in the induction of peripheral tolerance, in the antigen-stimulated suicide of mature T-cells, or both. Binding to the decoy receptor TNFRSF6B/DcR3 modulates its effects. |
| 保存条件 | Shipped at 4℃. Store at -20℃ for one year. Avoid repeated freeze/thaw cycles. |
| 注意事项 | This product as supplied is intended for research use only, not for use in human, therapeutic or diagnostic applications. |
| 背景资料 | This gene is a member of the tumor necrosis factor superfamily. The primary function of the encoded transmembrane protein is the induction of apoptosis triggered by binding to FAS. The FAS/FASLG signaling pathway is essential for immune system regulation, including activation-induced cell death (AICD) of T cells and cytotoxic T lymphocyte induced cell death. It has also been implicated in the progression of several cancers. Defects in this gene may be related to some cases of systemic lupus erythematosus (SLE). Alternatively spliced transcript variants have been described. [provided by RefSeq, Nov 2014] |
| 应用 | 推荐稀释比例 |
| {WB} | {1:500-2000} |
| {IHC-P} | {1:100-500} |
| {IHC-F} | {1:100-500} |
| {IF} | {1:100-500} |
| {Flow-Cyt} | {1μg/Test} |

Jurkat(Human) Cell Lysate at 30 ug
Primary: Anti-Fas Ligand (bs-0216R) at 1/1000 dilution
Secondary: IRDye800CW Goat Anti-Rabbit IgG at 1/20000 dilution
Predicted band size: 31 kD
Observed band size: 40 kD

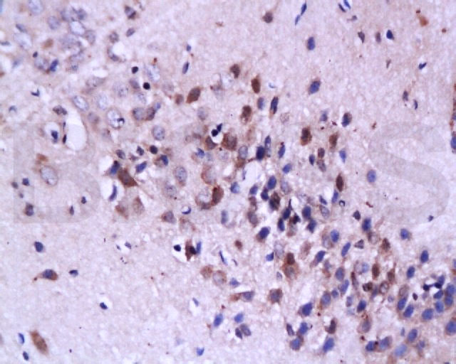
Antigen retrieval: citrate buffer ( 0.01M, pH 6.0 ), Boiling bathing for 15min; Block endogenous peroxidase by 3% Hydrogen peroxide for 30min; Blocking buffer (normal goat serum,C-0005) at 37℃ for 20 min;
Incubation: Anti-FasL Polyclonal Antibody, Unconjugated(bs-0216R) 1:200, overnight at 4°C, followed by conjugation to the secondary antibody(SP-0023) and DAB(C-0010) staining

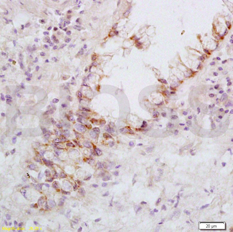
Antigen retrieval: citrate buffer ( 0.01M, pH 6.0 ), Boiling bathing for 15min; Block endogenous peroxidase by 3% Hydrogen peroxide for 30min; Blocking buffer (normal goat serum,C-0005) at 37℃ for 20 min;
Incubation: Anti-FasL Polyclonal Antibody, Unconjugated(bs-0216R) 1:200, overnight at 4°C, followed by conjugation to the secondary antibody(SP-0023) and DAB(C-0010) staining

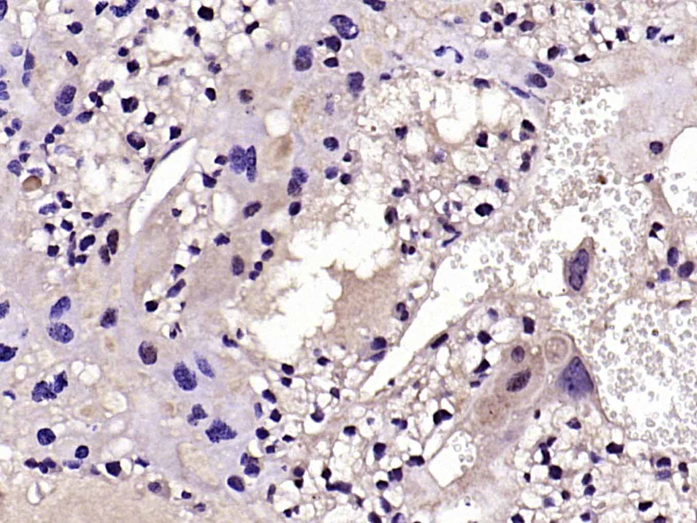
Antigen retrieval: citrate buffer ( 0.01M, pH 6.0 ), Boiling bathing for 15min; Blocking buffer (normal goat serum,C-0005) at 37℃ for 20 min;
Incubation: Anti-FasL Polyclonal Antibody, Unconjugated(bs-0216R) 1:200, overnight at 4°C; The secondary antibody was Goat Anti-Rabbit IgG, Cy3 conjugated(bs-0295G-Cy3)used at 1:200 dilution for 40 minutes at 37°C. DAPI(5ug/ml,blue,C-0033) was used to stain the cell nuclei

Isotype Control Antibody: Rabbit IgG(orange) ; Secondary Antibody: Goat anti-rabbit IgG-FITC(white blue), Dilution: 1:100 in 1 X PBS containing 0.5% BSA ; Primary Antibody Dilution: 1μl in 100 μL1X PBS containing 0.5% BSA(green).

Primary Antibody:Rabbit Anti-phospho-Fas Ligand antibody (bs-0216R,Green); Dilution: 1μg in 100 μL 1X PBS containing 0.5% BSA;
Isotype Control Antibody: Rabbit IgG(orange) ,used under the same conditions;
Secondary Antibody: Goat anti-rabbit IgG-FITC(white blue), Dilution: 1:200 in 1 X PBS containing 0.5% BSA.
Protocol
The cells were fixed with 2% Paraformaldehyde for 10 min at 37℃. Primary antibody (bs-0216R, 1μg /1x10^6 cells) were incubated for 30 min at room temperature, followed by 1 X PBS containing 0.5% BSA + 1 0% goat serum (15 min) to block non-specific protein-protein interactions. Then the Goat Anti-rabbit IgG/FITC antibody was added into the blocking buffer mentioned above to react with the primary antibody at 1/200 dilution for 40 min on ice. Acquisition of 20,000 events was performed.

Primary: Anti- Fas ligand (bs-0216R) at 1/300 dilution
Secondary: IRDye800CW Goat Anti-Rabbit IgG at 1/20000 dilution
Predicted band size: 31 kD
Observed band size: 46 kD

Lane 1: Bone (Mouse) Lysate at 40 ug
Lane 2: Bone (Rat) Lysate at 40 ug
Primary: Anti-Fas Ligand (bs-0216R) at 1/1000 dilution
Secondary: IRDye800CW Goat Anti-Rabbit IgG at 1/20000 dilution
Predicted band size: 40 kD
Observed band size: 40 kD

风险提示:丁香通仅作为第三方平台,为商家信息发布提供平台空间。用户咨询产品时请注意保护个人信息及财产安全,合理判断,谨慎选购商品,商家和用户对交易行为负责。对于医疗器械类产品,请先查证核实企业经营资质和医疗器械产品注册证情况。
文献和实验[IF={{ 5.699 }}] {Janos L. Tanyi. et al. Personalized cancer vaccine strategy elicits polyfunctional T cells and demonstrates clinical benefits in ovarian cancer. Npj Vaccines. 2021 Mar;6(1):1-14} {IHC} {Mouse}
[IF={{ 5.23 }}] {Lv, Yanhong, et al. "Antiproliferative and Apoptosis-inducing Effect of exo-Protoporphyrin IX based Sonodynamic Therapy on Human Oral Squamous Cell Carcinoma." Scientific Reports 7 (2017): 40967.} {WB} {="Mouse"}
[IF={{ 4.38 }}] {Lai, Ting-Yu. et al. Different methods of detaching adherent cells and their effects on the cell surface expression of Fas receptor and Fas ligand. SCI REP-UK. Sci Rep-Uk. 2022 Apr;12(1):1-8} {WB,IF} {Mouse}
[IF={{ 4.319 }}] {Le Zhang. et al. Dioscin Regulating Bone Marrow Apoptosis in Aplastic Anemia. DRUG DES DEV THER. 2022 Sep;16:3041-3053} {WB} {Mouse}
[IF={{ 4 }}] {Pengpeng Zhu. et al. The Polysaccharide from Dendrobium officinale Can Improve Mice with Sjögren’s Syndrome by Regulating BAFF and Fas Expressions. J FOOD BIOCHEM. 2023;2023:4733651} {IHC} {Mouse}
T 2000/3000 进口分装 F0290 TNF 相关凋亡诱导配体 (TRAIL/APO2 Ligand) ELISA 48T/96T 2000/3000 进口分装 F0291 血栓前体蛋白(TpP) ELISA 48T/96T 2000/3000 进口分装 F0300 尿激酶型纤溶酶原激活因子(uPA) ELISA 48T/96T 2000/3000 进口分装 F0301 尿激酶型纤溶酶原激活因子受体(uPA-R) ELISA 48T
T 2000/3000 进口分装 F0290 TNF 相关凋亡诱导配体 (TRAIL/APO2 Ligand) ELISA 48T/96T 2000/3000 进口分装 F0291 血栓前体蛋白(TpP) ELISA 48T/96T 2000/3000 进口分装 F0300 尿激酶型纤溶酶原激活因子(uPA) ELISA 48T/96T 2000/3000 进口分装 F0301 尿激酶型纤溶酶原激活因子受体(uPA-R) ELISA 48T
GE Healthcare Benzamidine Sepharose™ 6B is p-aminobenzamidine covalently attached to Sepharose 6B by the epoxy coupling method. p-Aminobenzamidine (PAB), is a synthetic inhibitor of trypsin-like serine protease. Trypsin and trypsin
技术资料暂无技术资料 索取技术资料






