相关产品推荐更多 >

phospho-IKB alpha (Ser36) Rabbit pAb, APC-Cy5.5 conjugated(bs-18129R-APC-Cy5.5)-100ul
¥2980
phospho-STAT3 (Tyr705) Mouse mAb(bsm-33301M)-50ul/100ul/200ul/200ug
¥1180
CXCR3 Rabbit pAb(bs-0341R)-50ul/100ul/200ul
¥1180
Lck Rabbit pAb(bs-24944R)-50ul/100ul/200ul
¥1180
TRAF3 Rabbit pAb, BF405 conjugated(bs-1185R-BF405)-100ul
¥2980
万千商家帮你免费找货
0 人在求购买到急需产品
- 详细信息
- 文献和实验
- 技术资料
- 应用范围:
产品信息以Bioss网站为准
- 规格:
50ul/100ul/200ul
| 规格: | 50ul | 产品价格: | ¥1180.0 |
|---|---|---|---|
| 规格: | 100ul | 产品价格: | ¥1980.0 |
| 规格: | 200ul | 产品价格: | ¥2800.0 |
| 产品编号 | bs-10585R |
| 英文名称 | IGFBP4 Rabbit pAb |
| 中文名称 | 胰岛素样生长因子结合蛋白4抗体 |
| 英文别名 | Insulin-like Growth Factor Binding Protein 4; BP 4; BP4; HT29 IGFBP; IBP 4; IBP4; IGF binding protein 4; IGFBP 4; IBP4_HUMAN. |
| 产品应用 | WB=1:500-2000, IHC-P=1:100-500, IHC-F=1:100-500, IF=1:100-500 Not yet tested in other applications. |
| 交叉反应 | Mouse, Rat (Human, Chicken, Pig, Cow, Horse, Sheep) |
| 抗体来源 | Rabbit |
| 免疫原 | KLH conjugated synthetic peptide derived from human IGFBP4 |
| 亚型 | IgG |
| 性状 | Liquid |
| 纯化方法 | affinity purified by Protein A |
| 克隆类型 | Polyclonal |
| 理论分子量 | 26 kDa |
| 浓度 | 1mg/ml |
| 储存液 | 0.01M TBS (pH7.4) with 1% BSA, 0.02% Proclin300 and 50% Glycerol. |
| 研究领域 | Cardiovascular > Angiogenesis > Growth Factors Signal Transduction > Cytoskeleton / ECM > Extracellular Matrix > Structures > Bone Signal Transduction > Growth Factors/Hormones > Insulin / Insulin-like Signal Transduction > Signaling Pathway > Lipid Signaling |
| 亚基 | Binds IGF2 more than IGF1. |
| 亚细胞定位 | Secreted. |
| 相似性 | Contains 1 IGFBP N-terminal domain. Contains 1 thyroglobulin type-1 domain. |
| 功能 | IGF-binding proteins prolong the half-life of the IGFs and have been shown to either inhibit or stimulate the growth promoting effects of the IGFs on cell culture. They alter the interaction of IGFs with their cell surface receptors. |
| 保存条件 | Shipped at 4℃. Store at -20℃ for one year. Avoid repeated freeze/thaw cycles. |
| 注意事项 | This product as supplied is intended for research use only, not for use in human, therapeutic or diagnostic applications. |
| 背景资料 | Insulin like growth factor binding protein 4 (IGFBP4) is produced from a DNA sequence encoding the human IGFBP4 protein. Mature human IGFBP4 has a calculated molecular mass of approximately 26 kDa. Due to glycosylation, the recombinant protein migrates as a 32 kDa and 25 kDa protein under reducing and non reducing conditions, respectively. Human IGFBP4 has a potential N-linked glycosylation site and shares approximately 90% amino acid sequence identity with both mouse and rat IGFBP4. IGFBP4 is a member of the superfamily of insulin-like growth factor (IGF) binding proteins which include six high affinity IGF binding proteins (IGFBP) and at least four low affinity binding proteins referred to as IGFBP related proteins (IGFBPrP). IGFBP4 functions as an inhibitor of IGF action and its main function may be to protect cells from overstimulation by IGFs or to allow activation of alternate transmembrane signaling pathways that are inhibited by IGF exposure. IGFBP4 is expressed in multiple tissues including adrenal, testis, spleen, heart, lung, kidney, liver, stomach, hypothalamus, and brain cortex. |
| 应用 | 推荐稀释比例 |
| {WB} | {1:500-2000} |
| {IHC-P} | {1:100-500} |
| {IHC-F} | {1:100-500} |
| {IF} | {1:100-500} |

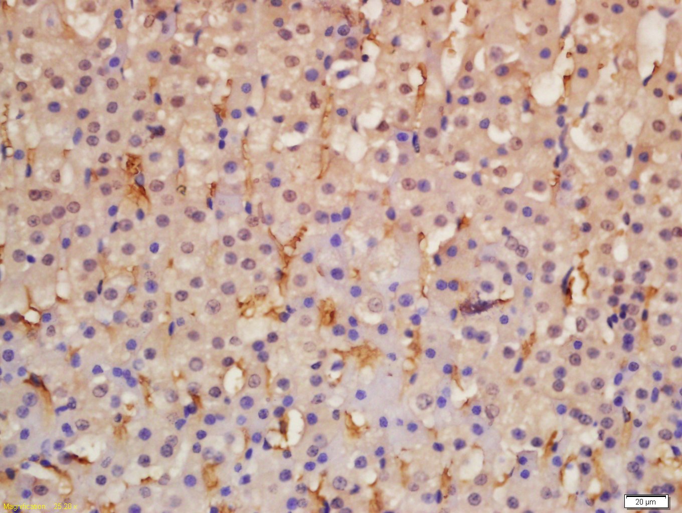
Antigen retrieval: citrate buffer ( 0.01M, pH 6.0 ), Boiling bathing for 15min; Block endogenous peroxidase by 3% Hydrogen peroxide for 30min; Blocking buffer (normal goat serum,C-0005) at 37℃ for 20 min;
Incubation: Anti-IGFBP4 Polyclonal Antibody, Unconjugated(bs-10585R) 1:200, overnight at 4°C, followed by conjugation to the secondary antibody(SP-0023) and DAB(C-0010) staining

Antigen retrieval: citrate buffer ( 0.01M, pH 6.0 ), Boiling bathing for 15min; Block endogenous peroxidase by 3% Hydrogen peroxide for 30min; Blocking buffer (normal goat serum,C-0005) at 37℃ for 20 min;
Incubation: Anti-IGFBP4 Polyclonal Antibody, Unconjugated(bs-10585R) 1:200, overnight at 4°C, followed by conjugation to the secondary antibody(SP-0023) and DAB(C-0010) staining

Liver (Mouse) Lysate at 40 ug
Primary: Anti-IGFBP4 (bs-10585R) at 1/1000 dilution
Secondary: IRDye800CW Goat Anti-Rabbit IgG at 1/20000 dilution
Predicted band size: 26 kD
Observed band size: 27 kD
风险提示:丁香通仅作为第三方平台,为商家信息发布提供平台空间。用户咨询产品时请注意保护个人信息及财产安全,合理判断,谨慎选购商品,商家和用户对交易行为负责。对于医疗器械类产品,请先查证核实企业经营资质和医疗器械产品注册证情况。
文献和实验[IF={{ 4.996 }}] {Xi, Yue. et al. Low expression of IGFBP4 and TAGLN accelerate the poor overall survival of osteosarcoma. SCI REP-UK. 2022 Jun;12(1):1-20} {IF} {Human, Mouse}
= NAL), appears to form upon oxidative cyclization of the nonfluorescent 2:1 lysine-HNE Michael adduct-Schiff base cross-link (Scheme 1). Polyclonal antibody (PAb) to the NAL-HNE fluorophore was raised in rabbit and found to be highly specific
GE Healthcare Benzamidine Sepharose™ 6B is p-aminobenzamidine covalently attached to Sepharose 6B by the epoxy coupling method. p-Aminobenzamidine (PAB), is a synthetic inhibitor of trypsin-like serine protease. Trypsin and trypsin
Nucleic Acid Programmable Protein Arrays: Versatile Tools for Array‐Based Functional Protein Studies
.g., Sigma) 50 mg/ml bis‐sulfosuccinimdylsuberate (BS3 ;Pierce, cat. no. PI 21580) in dimethylsulfoxide (DMSO) 5 mg/ml
技术资料暂无技术资料 索取技术资料





