相关产品推荐更多 >

IRF1 Rabbit pAb, PerCP-Cy5.5 conjugated(bs-1404R-PerCP-Cy5.5)-100ul
¥2980
CXCL2/GRO Beta Rabbit pAb, FITC conjugated(bs-1162R-FITC)-100ul
¥2980
S100A7 Rabbit pAb(bs-6238R)-50ul/100ul/200ul
¥1180
RNA polymerase II CTD repeat YSPTSPS (phospho S2) Rabbit pAb, PE-Cy7 conjugated(bs-6581R-PE-Cy7)-100ul
¥2980
TBX3 Rabbit pAb, Biotin conjugated(bs-10266R-Bio)-100ul
¥2980
万千商家帮你免费找货
0 人在求购买到急需产品
- 详细信息
- 技术资料
- 应用范围:
产品信息以Bioss网站为准
- 规格:
50ul/100ul/200ul
| 规格: | 50ul | 产品价格: | ¥1180.0 |
|---|---|---|---|
| 规格: | 100ul | 产品价格: | ¥1980.0 |
| 规格: | 200ul | 产品价格: | ¥2800.0 |
| 产品编号 | bs-3515R |
| 英文名称 | ID2 Rabbit pAb |
| 中文名称 | DNA结合抑制因子2抗体 |
| 英文别名 | GIG-8; GIG8; GIG 8; Helix loop helix protein ID2; ID2A; ID-2; ID2H; Inhibitor of differentiation 2; Inhibitor of DNA binding 2; Inhibitor of DNA binding 2, dominant negative helix loop helix protein; MGC26389; bHLHb26; Cell growth inhibiting gene 8; DNA binding protein inhibitor ID 2; BHLHB26; ID2_HUMAN. |
| 产品应用 | IHC-P=1:100-500, IHC-F=1:100-500, IF=1:100-500, Flow-Cyt=2ug/Test Not yet tested in other applications. |
| 交叉反应 | Human, Rat (Mouse, Chicken, Dog, Pig, Cow, Horse, Rabbit) |
| 抗体来源 | Rabbit |
| 免疫原 | KLH conjugated synthetic peptide derived from human GIG8/ID2 |
| 亚型 | IgG |
| 性状 | Liquid |
| 纯化方法 | affinity purified by Protein A |
| 克隆类型 | Polyclonal |
| 理论分子量 | 15 kDa |
| 浓度 | 1mg/ml |
| 储存液 | 0.01M TBS (pH7.4) with 1% BSA, 0.02% Proclin300 and 50% Glycerol. |
| 研究领域 | Epigenetics and Nuclear Signaling > Transcription > Domain Families > HLH / Leucine Zipper > HLH Stem Cells > Signaling Pathways > TGF beta > Nuclear |
| 亚基 | Heterodimer with other HLH proteins. Interacts with GATA4, IFI204 and NKX2-5. Interacts with NR0B2. |
| 亚细胞定位 | Cytoplasm. Nucleus. |
| 组织特异性 | Highly expressed in early fetal tissues, including those of the central nervous system. |
| 相似性 | Contains 1 basic helix-loop-helix (bHLH) domain. |
| 功能 | ID (inhibitor of DNA binding) HLH proteins lack a basic DNA-binding domain but are able to form heterodimers with other HLH proteins, thereby inhibiting DNA binding. ID-2 may be an inhibitor of tissue-specific gene expression. |
| 保存条件 | Shipped at 4℃. Store at -20℃ for one year. Avoid repeated freeze/thaw cycles. |
| 注意事项 | This product as supplied is intended for research use only, not for use in human, therapeutic or diagnostic applications. |
| 背景资料 | The protein encoded by this gene belongs to the inhibitor of DNA binding (ID) family, and may play a role in negatively regulating cell differentiation. Members of the ID family are transcriptional regulators that contain a helix-loop-helix (HLH) domain but not a basic domain. They inhibit the functions of basic helix-loop-helix transcription factors in a dominant-negative manner, by suppressing their heterodimerization partners through the HLH domains. |
| 应用 | 推荐稀释比例 |
| {IHC-P} | {1:100-500} |
| {IHC-F} | {1:100-500} |
| {IF} | {1:100-500} |
| {Flow-Cyt} | {2ug/Test} |

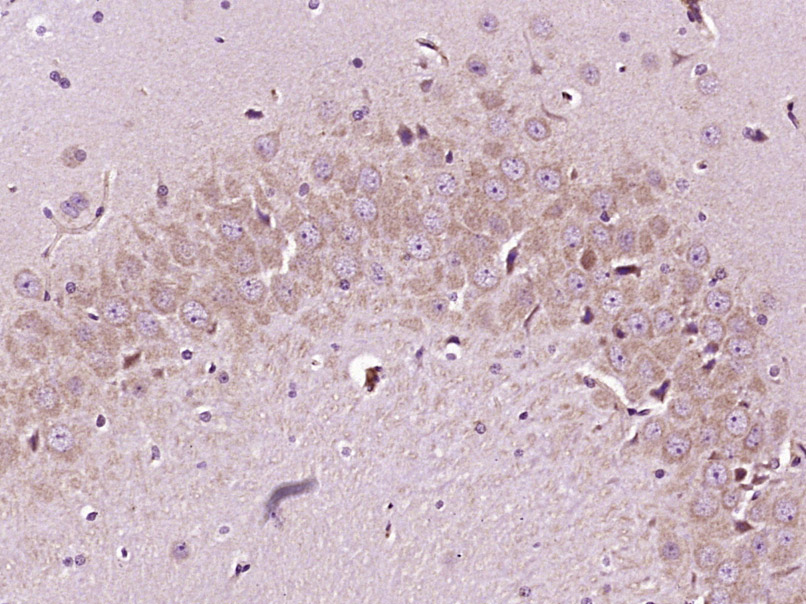
Paraformaldehyde-fixed, paraffin embedded (Rat brain); Antigen retrieval by boiling in sodium citrate buffer (pH6.0) for 15min; Block endogenous peroxidase by 3% hydrogen peroxide for 20 minutes; Blocking buffer (normal goat serum) at 37°C for 30min; Antibody incubation with (ID2) Polyclonal Antibody, Unconjugated (bs-3515R) at 1:400 overnight at 4°C, followed by operating according to SP Kit(Rabbit) (sp-0023) instructionsand DAB staining.

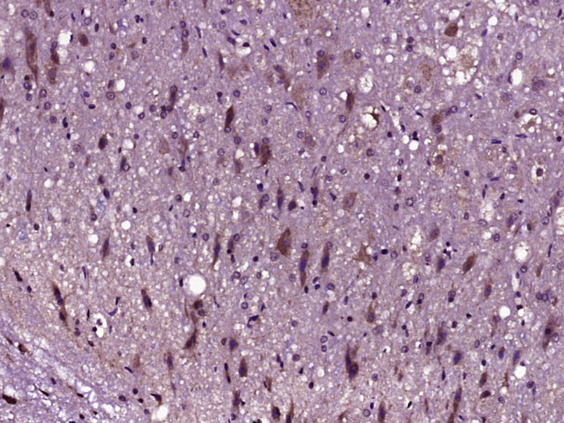
Paraformaldehyde-fixed, paraffin embedded (Rat spinal cord); Antigen retrieval by boiling in sodium citrate buffer (pH6.0) for 15min; Block endogenous peroxidase by 3% hydrogen peroxide for 20 minutes; Blocking buffer (normal goat serum) at 37°C for 30min; Antibody incubation with (ID2) Polyclonal Antibody, Unconjugated (bs-3515R) at 1:400 overnight at 4°C, followed by operating according to SP Kit(Rabbit) (sp-0023) instructionsand DAB staining.

Blank control(black line):Hela.
Primary Antibody (green line): Rabbit Anti-ID2 antibody (bs-3515R)
Dilution:2ug/Test;
Secondary Antibody(white blue line): Goat anti-rabbit IgG-FITC
Dilution: 0.5ug/Test.
Isotype control(orange line): Normal Rabbit IgG
Protocol
The cells were fixed with 4% PFA (10min at room temperature)and then permeabilized with 90% ice-cold methanol for 20 min at -20℃, The cells were then incubated in 5%BSA to block non-specific protein-protein interactions for 30 min at room temperature .Cells stained with Primary Antibody for 30 min at room temperature. The secondary antibody used for 40 min at room temperature. Acquisition of 20,000 events was performed.
Primary Antibody (green line): Rabbit Anti-ID2 antibody (bs-3515R)
Dilution:2ug/Test;
Secondary Antibody(white blue line): Goat anti-rabbit IgG-FITC
Dilution: 0.5ug/Test.
Isotype control(orange line): Normal Rabbit IgG
Protocol
The cells were fixed with 4% PFA (10min at room temperature)and then permeabilized with 90% ice-cold methanol for 20 min at -20℃, The cells were then incubated in 5%BSA to block non-specific protein-protein interactions for 30 min at room temperature .Cells stained with Primary Antibody for 30 min at room temperature. The secondary antibody used for 40 min at room temperature. Acquisition of 20,000 events was performed.
风险提示:丁香通仅作为第三方平台,为商家信息发布提供平台空间。用户咨询产品时请注意保护个人信息及财产安全,合理判断,谨慎选购商品,商家和用户对交易行为负责。对于医疗器械类产品,请先查证核实企业经营资质和医疗器械产品注册证情况。
技术资料暂无技术资料 索取技术资料
ID2 Rabbit pAb(bs-3515R)-50ul/100ul/200ul
¥1180 - 2800





