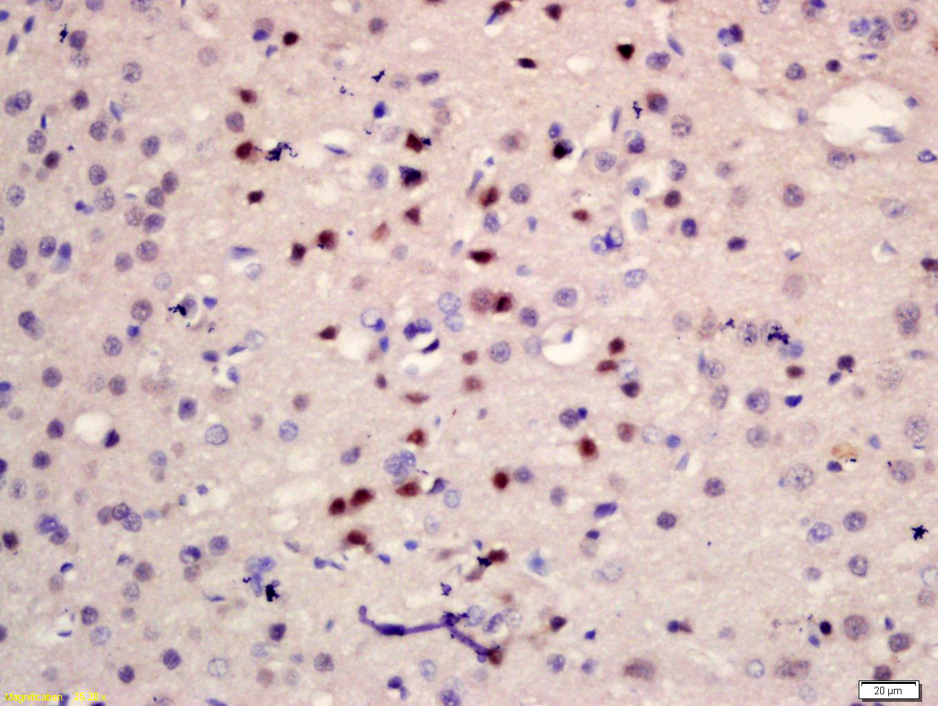
Tissue/cell: rat brain tissue; 4% Paraformaldehyde-fixed and paraffin-embedded;
Antigen retrieval: citrate buffer ( 0.01M, pH 6.0 ), Boiling bathing for 15min; Block endogenous peroxidase by 3% Hydrogen peroxide for 30min; Blocking buffer (normal goat serum,C-0005) at 37℃ for 20 min;
Incubation: Anti-Telomerase Binding Protein, P23 Antibody, Unconjugated(bs-1909R) 1:200, overnight at 4°C, followed by conjugation to the secondary antibody(SP-0023) and DAB(C-0010) staining
相关产品推荐更多 >

GALNTL4 Rabbit pAb(bs-16227R)-50ul/100ul/200ul
¥1180
ERBB2/HER2 Rabbit pAb, APC conjugated(bs-0125R-APC)-100ul
¥2980
phospho-PAK6 (Ser560) Rabbit pAb, HRP conjugated(bs-3314R-HRP)-100ul
¥2980
phospho-ERK1/ERK2(phospho-T183/Y185) Rabbit pAb, BF680 conjugated(bs-1522R-BF680)-100ul
¥2980
ERMAP Rabbit pAb, PE conjugated(bs-12333R-PE)-100ul
¥2980
万千商家帮你免费找货
0 人在求购买到急需产品
- 详细信息
- 技术资料
- 应用范围:
产品信息以Bioss网站为准
- 规格:
50ul/100ul/200ul
| 规格: | 50ul | 产品价格: | ¥1180.0 |
|---|---|---|---|
| 规格: | 100ul | 产品价格: | ¥1980.0 |
| 规格: | 200ul | 产品价格: | ¥2800.0 |
| 产品编号 | bs-1909R |
| 英文名称 | Telomerase Binding Protein, P23 Rabbit pAb |
| 中文名称 | 端粒酶结合蛋白P23抗体 |
| 英文别名 | Telomerase Binding Protein, P23; Prostaglandin E synthase 3; Cytosolic prostaglandin E2 synthase; cPGES; Telomerase-binding protein p23; Hsp90 co-chaperone; Progesterone receptor complex p23; PTGES3; P23; TEBP; TEBP_HUMAN. |
| 产品应用 | WB=1:500-2000, IHC-P=1:100-500, IHC-F=1:100-500, IF=1:100-500 Not yet tested in other applications. |
| 交叉反应 | Human, Rat (Mouse, Chicken, Dog, Pig, Cow, Horse, Rabbit) |
| 抗体来源 | Rabbit |
| 免疫原 | KLH conjugated synthetic peptide derived from human Telomerase Binding Protein, P23 |
| 亚型 | IgG |
| 性状 | Liquid |
| 纯化方法 | affinity purified by Protein A |
| 克隆类型 | Polyclonal |
| 理论分子量 | 18 kDa |
| 浓度 | 1mg/ml |
| 储存液 | 0.01M TBS (pH7.4) with 1% BSA, 0.02% Proclin300 and 50% Glycerol. |
| 研究领域 | Cancer > Cancer Metabolism > Metabolic signaling pathway > Hormone biosynthesis Epigenetics and Nuclear Signaling > Chromosome Structure > Telomeres Metabolism > Pathways and Processes > Endocrine metabolism > Hormone biosynthesis Metabolism > Types of disease > Cancer Signal Transduction > Metabolism > Lipid metabolism Signal Transduction > Protein Trafficking > Chaperones > Heat Shock Proteins |
| 亚基 | Binds to telomerase and to the progesterone receptor. |
| 亚细胞定位 | Cytoplasm. |
| 相似性 | Belongs to the p23/wos2 family.
Contains 1 CS domain. |
| 功能 | Molecular chaperone that localizes to genomic response elements in a hormone-dependent manner and disrupts receptor-mediated transcriptional activation, by promoting disassembly of transcriptional regulatory complexes. |
| 保存条件 | Shipped at 4℃. Store at -20℃ for one year. Avoid repeated freeze/thaw cycles. |
| 注意事项 | This product as supplied is intended for research use only, not for use in human, therapeutic or diagnostic applications. |
| 背景资料 | Molecular chaperone that localizes to genomic response elements in a hormone-dependent manner and disrupts receptor-mediated transcriptional activation, by promoting disassembly of transcriptional regulatory complexes. Belongs to the p23/wos2 family. |
| 应用 | 推荐稀释比例 |
| {WB} | {1:500-2000} |
| {IHC-P} | {1:100-500} |
| {IHC-F} | {1:100-500} |
| {IF} | {1:100-500} |


Sample:
Jurkat(Human) Cell Lysate at 30 ug
Primary: Anti-Telomerase Binding Protein, P23 (bs-1909R) at 1/500 dilution
Secondary: IRDye800CW Goat Anti-Rabbit IgG at 1/20000 dilution
Predicted band size: 18 kD
Observed band size: 18 kD
Jurkat(Human) Cell Lysate at 30 ug
Primary: Anti-Telomerase Binding Protein, P23 (bs-1909R) at 1/500 dilution
Secondary: IRDye800CW Goat Anti-Rabbit IgG at 1/20000 dilution
Predicted band size: 18 kD
Observed band size: 18 kD
风险提示:丁香通仅作为第三方平台,为商家信息发布提供平台空间。用户咨询产品时请注意保护个人信息及财产安全,合理判断,谨慎选购商品,商家和用户对交易行为负责。对于医疗器械类产品,请先查证核实企业经营资质和医疗器械产品注册证情况。
技术资料暂无技术资料 索取技术资料
Telomerase Binding Protein, P23 Rabbit pAb(bs-1909R)-50ul/100ul/200ul
¥1180 - 2800





